JavaScript is disabled in your browser. Please enable JavaScript to view this website.
AB154837

Anti-GBGT1 antibody [EPR10467]

Be the first to review this product! Submit a review

|

(1 Publication)

Rabbit Recombinant Monoclonal GBGT1 antibody. Suitable for IHC-P, WB, Flow Cyt (Intra) and reacts with Human samples. Cited in 1 publication.

View Alternative Names

UNQ2513/PRO6002, GBGT1, Forssman glycolipid synthase-like protein

4 Images
Flow Cytometry (Intracellular) - Anti-GBGT1 antibody [EPR10467] (AB154837)
  • Flow Cyt (Intra)

Unknown

Flow Cytometry (Intracellular) - Anti-GBGT1 antibody [EPR10467] (AB154837)

Intracellular Flow Cytometry analysis of permeabilized Jurkat cells labeling GBGT1 (red), using ab154837 at a 1/10 dilution, and negative control cells probed with a Rabbit IgG (green)

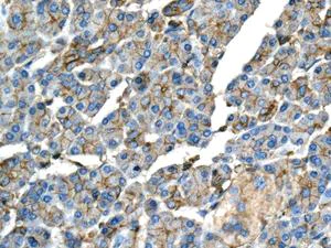
Immunohistochemistry (Formalin/PFA-fixed paraffin-embedded sections) - Anti-GBGT1 antibody [EPR10467] (AB154837)
  • IHC-P

Unknown

Immunohistochemistry (Formalin/PFA-fixed paraffin-embedded sections) - Anti-GBGT1 antibody [EPR10467] (AB154837)

Immunohistochemical analysis of formalin-fixed paraffin-embedded Human pancreas tissue labeling GBGT1 using ab154837 at a 1/100 dilution.

Perform heat mediated antigen retrieval with citrate buffer pH 6 before commencing with IHC staining protocol.

Immunohistochemistry (Formalin/PFA-fixed paraffin-embedded sections) - Anti-GBGT1 antibody [EPR10467] (AB154837)
  • IHC-P

Unknown

Immunohistochemistry (Formalin/PFA-fixed paraffin-embedded sections) - Anti-GBGT1 antibody [EPR10467] (AB154837)

Immunohistochemical analysis of formalin-fixed paraffin-embedded Human kidney tissue labeling GBGT1 using ab154837 at a 1/100 dilution.

Perform heat mediated antigen retrieval with citrate buffer pH 6 before commencing with IHC staining protocol.

Western blot - Anti-GBGT1 antibody [EPR10467] (AB154837)
  • WB

Unknown

Western blot - Anti-GBGT1 antibody [EPR10467] (AB154837)

All lanes:

Western blot - Anti-GBGT1 antibody [EPR10467] (ab154837) at 1/1000 dilution

Lane 1:

Human placenta tissue lysate at 10 µg

Lane 2:

Human ovary cancer tissue lysate at 10 µg

Lane 3:

Human fetal heart tissue lysate at 10 µg

Lane 4:

Human fetal lung tissue lysate at 10 µg

Lane 5:

HeLa cell lysate at 10 µg

Lane 6:

Jurkat cell lysate at 10 µg

Predicted band size: 40 kDa

false

Key facts

Host species

Rabbit

Clonality

Monoclonal

Clone number

EPR10467

Isotype

IgG

Carrier free

No

Reacts with

Human

Applications

IHC-P, WB, Flow Cyt (Intra)

applications

Immunogen

The exact immunogen used to generate this antibody is proprietary information.

Reactivity data

{ "title": "Reactivity Data", "filters": { "stats": ["", "Species", "Dilution Info", "Notes"], "tabs": { "all-applications": {"fullname" : "All Applications", "shortname": "All Applications"}, "IHCP" : {"fullname" : "Immunohistochemistry (Formalin/PFA-fixed paraffin-embedded sections)", "shortname":"IHC-P"}, "IP" : {"fullname" : "Immunoprecipitation", "shortname":"IP"}, "WB" : {"fullname" : "Western blot", "shortname":"WB"}, "ICCIF" : {"fullname" : "Immunocytochemistry/ Immunofluorescence", "shortname":"ICC/IF"}, "FlowCytIntra" : {"fullname" : "Flow Cytometry (Intracellular)", "shortname":"Flow Cyt (Intra)"} }, "product-promise": { "all": "all", "testedAndGuaranteed": "tested", "guaranteed": "expected", "predicted": "predicted", "notRecommended": "not-recommended" } }, "values": { "Human": { "IHCP-species-checked": "testedAndGuaranteed", "IHCP-species-dilution-info": "1/100 - 1/250", "IHCP-species-notes": "<p></p>", "IP-species-checked": "notRecommended", "IP-species-dilution-info": "", "IP-species-notes": "<p></p>", "WB-species-checked": "testedAndGuaranteed", "WB-species-dilution-info": "1/1000 - 1/10000", "WB-species-notes": "<p></p>", "ICCIF-species-checked": "notRecommended", "ICCIF-species-dilution-info": "", "ICCIF-species-notes": "<p></p>", "FlowCytIntra-species-checked": "testedAndGuaranteed", "FlowCytIntra-species-dilution-info": "1/10 - 1/100", "FlowCytIntra-species-notes": "<p><a href='/en-us/products/primary-antibodies/rabbit-igg-monoclonal-epr25a-isotype-control-ab172730'>ab172730</a> - Rabbit monoclonal IgG, is suitable for use as an isotype control with this antibody.</p>" }, "Mouse": { "IHCP-species-checked": "predicted", "IHCP-species-dilution-info": "", "IHCP-species-notes": "", "IP-species-checked": "notRecommended", "IP-species-dilution-info": "", "IP-species-notes": "", "WB-species-checked": "predicted", "WB-species-dilution-info": "", "WB-species-notes": "", "ICCIF-species-checked": "notRecommended", "ICCIF-species-dilution-info": "", "ICCIF-species-notes": "", "FlowCytIntra-species-checked": "predicted", "FlowCytIntra-species-dilution-info": "", "FlowCytIntra-species-notes": "" }, "Rat": { "IHCP-species-checked": "predicted", "IHCP-species-dilution-info": "", "IHCP-species-notes": "", "IP-species-checked": "notRecommended", "IP-species-dilution-info": "", "IP-species-notes": "", "WB-species-checked": "predicted", "WB-species-dilution-info": "", "WB-species-notes": "", "ICCIF-species-checked": "notRecommended", "ICCIF-species-dilution-info": "", "ICCIF-species-notes": "", "FlowCytIntra-species-checked": "predicted", "FlowCytIntra-species-dilution-info": "", "FlowCytIntra-species-notes": "" } } }

Product details

Patented technology
Our RabMAb® technology is a patented hybridoma-based technology for making rabbit monoclonal antibodies. For details on our patents, please refer to RabMAb® patents.

What are the advantages of a recombinant monoclonal antibody?
This product is a recombinant monoclonal antibody, which offers several advantages including:

  • - High batch-to-batch consistency and reproducibility
  • - Improved sensitivity and specificity
  • - Long-term security of supply
  • - Animal-free batch production

For more information, read more on recombinant antibodies.

Properties and storage information

Form
Liquid
Purification technique
Affinity purification Protein A
Storage buffer
pH: 7.2 - 7.4 Preservative: 0.01% Sodium azide Constituents: PBS, 50% Tissue culture supernatant, 40% Glycerol (glycerin, glycerine), 0.05% BSA
Shipped at conditions
Blue Ice
Appropriate short-term storage conditions
+4°C
Appropriate long-term storage conditions
-20°C

Supplementary information

This supplementary information is collated from multiple sources and compiled automatically.

The GBGT1 protein also known as Forssman glycosyltransferase functions as an enzyme involved in the biosynthesis of the Forssman antigen. It is a glycosyltransferase enzyme that adds a specific sugar residue to the terminal position on glyco-conjugates. This enzyme typically weighs around 37 kDa. GBGT1 is expressed in a variety of tissues including the kidney heart and small intestine but its expression varies significantly among different species.
Biological function summary

The Forssman glycosyltransferase enzyme is responsible for the generation of Forssman glycolipids contributing to the structure of cell membranes. These glycolipids play a role in cell-cell interactions. GBGT1 is not typically part of a larger protein complex but acts independently to modify glycolipids affecting cellular communication and recognition processes.

Pathways

GBGT1 is involved in glycosphingolipid biosynthesis pathways specifically influencing the metabolic progression from globoseries to Forssman series glycolipids. This pathway closely interacts with other enzymes like α13-galactosyltransferase which also contributes to glycolipid modification. These enzymes together maintain proper cellular roles involving signaling and interactions at the cell surface.

GBGT1 engagement has been associated with immunological responses and cancer. Aberrant expression or mutation in this enzyme affects antigen presentation which contributes to various cancer types as the presence of Forssman antigen is often noted in tumor tissues. Furthermore it has connections with the α-galactosyltransferase enzyme in xenotransplantation as both are involved in the synthesis of glycolipids that can trigger immune rejection events.

Product protocols

For this product, it's our understanding that no specific protocols are required. You can visit:

Target data

Has lost the ability to synthesize Forssman glycolipid antigen (FORS1/FG) (PubMed : 10506200). Might have acquired an alternative function in glycosphingolipid metabolism, but it remains to be established. It appears to have drifted more slowly than confirmed pseudogenes in the glycosyltransferase 6 family, suggesting that it has remained under evolutionary pressure.
See full target information GBGT1

Publications (1)

Recent publications for all applications. Explore the full list and refine your search

The Journal of neuroscience : the official journal : PubMed33478991

2021

Tuba activates Cdc42 during neuronal polarization downstream of the small GTPase Rab8a.

Applications

Unspecified application

Species

Unspecified reactive species

Pamela J Urrutia,Felipe Bodaleo,Daniel A Bórquez,Yuta Homma,Victoria Rozes-Salvador,Cristopher Villablanca,Cecilia Conde,Mitsunori Fukuda,Christian González-Billault
View all publications

Product promise

We are committed to supporting your work with high-quality reagents, and we're here for you every step of the way. In the unlikely event that one of our products does not perform as expected, you're protected by our Product Promise.
For full details, please see our Terms & Conditions

Please note: All products are 'FOR RESEARCH USE ONLY. NOT FOR USE IN DIAGNOSTIC OR THERAPEUTIC PROCEDURES'.

For licensing inquiries, please contact partnerships@abcam.com