JavaScript is disabled in your browser. Please enable JavaScript to view this website.
AB255788

Anti-GBP1 antibody [1B1] - BSA and Azide free

Be the first to review this product! Submit a review

|

(0 Publication)

Rat Recombinant Monoclonal GBP1 antibody. Carrier free. Suitable for WB, IHC-P, ICC/IF and reacts with Human samples.

View Alternative Names

Guanylate-binding protein 1, GTP-binding protein 1, Guanine nucleotide-binding protein 1, Interferon-induced guanylate-binding protein 1, GBP-1, HuGBP-1, hGBP1, GBP1

4 Images
Immunohistochemistry (Formalin/PFA-fixed paraffin-embedded sections) - Anti-GBP1 antibody [1B1] - BSA and Azide free (AB255788)
  • IHC-P

Supplier Data

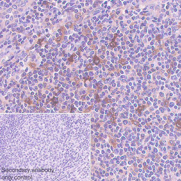
Immunohistochemistry (Formalin/PFA-fixed paraffin-embedded sections) - Anti-GBP1 antibody [1B1] - BSA and Azide free (AB255788)

Formalin-fixed, paraffin-embedded human tonsil tissue stained for GBP1 using ab252832 at 1/100 dilution in immunohistochemical analysis followed by a ready to use Goat Anti-Rat IgG H&L (HRP polymer) (ab214882). Counterstained with hematoxylin. Heat mediated antigen retrieval with Tris-EDTA buffer (pH 9.0, epitope retrieval solution2) for 20 mins. Cytoplasmic staining on human tonsil. The section was incubated with ab252832 for 30 mins at room temperature. The immunostaining was performed on a Leica Biosystems BOND® RX instrument.

Secondary antibody only control : Used PBS instead of primary antibody. Secondary antibody was a ready to use Goat Anti-Rat IgG H&L (HRP polymer) (ab214882).

This data was developed using the same antibody clone in a different buffer formulation containing PBS, BSA, glycerol, and sodium azide (ab252832).

Immunocytochemistry/ Immunofluorescence - Anti-GBP1 antibody [1B1] - BSA and Azide free (AB255788)
  • ICC/IF

Supplier Data

Immunocytochemistry/ Immunofluorescence - Anti-GBP1 antibody [1B1] - BSA and Azide free (AB255788)

ICC/IF analysis of 4% Paraformaldehyde-fixed, 0.1% TritonX-100 permeabilized HeLa (+/-IFN gamma (100 U/ml 24h)) cells labeling GBP1 (Green) using ab252832 at 1/30 dilution followed by ab150157 Goat Anti-Rat IgG H&L (Alexa Fluor® 488) at 1/1000 dilution. Tubulin was counterstained using ab179504 Anti-beta IV Tubulin at 1/200 dilution followed by ab150080 Goat Anti-Rabbit IgG H&L (Alexa Fluor® 594) at 1/1000 diluton (Red). The nuclear counterstain was DAPI (Blue). Confocal image showing cytoplasmic staining in HeLa cells treated with interferon gamma (100U/ml) for 24 hours.

This data was developed using the same antibody clone in a different buffer formulation containing PBS, BSA, glycerol, and sodium azide (ab252832).

Immunohistochemistry (Formalin/PFA-fixed paraffin-embedded sections) - Anti-GBP1 antibody [1B1] - BSA and Azide free (AB255788)
  • IHC-P

Supplier Data

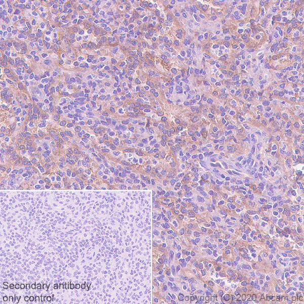
Immunohistochemistry (Formalin/PFA-fixed paraffin-embedded sections) - Anti-GBP1 antibody [1B1] - BSA and Azide free (AB255788)

Formalin-fixed, paraffin-embedded human spleen tissue stained for GBP1 using ab252832 at 1/100 dilution in immunohistochemical analysis followed by a ready to use Goat Anti-Rat IgG H&L (HRP polymer) (ab214882). Counterstained with hematoxylin. Heat mediated antigen retrieval with Tris-EDTA buffer (pH 9.0, epitope retrieval solution2) for 20 mins. Cytoplasmic staining on human spleen. The section was incubated with ab252832 for 30 mins at room temperature. The immunostaining was performed on a Leica Biosystems BOND® RX instrument.

Secondary antibody only control : Used PBS instead of primary antibody. Secondary antibody was a ready to use Goat Anti-Rat IgG H&L (HRP polymer) (ab214882).

This data was developed using the same antibody clone in a different buffer formulation containing PBS, BSA, glycerol, and sodium azide (ab252832).

Western blot - Anti-GBP1 antibody [1B1] - BSA and Azide free (AB255788)
  • WB

Supplier Data

Western blot - Anti-GBP1 antibody [1B1] - BSA and Azide free (AB255788)

The expression profile observed is consistent with what has been described in the literature (PMID : 19079332)

Blocking/diluting buffer and concentration : 5% NFDM/TBST.

This data was developed using the same antibody clone in a different buffer formulation containing PBS, BSA, glycerol, and sodium azide (ab252832).

All lanes:

Western blot - Anti-GBP1 antibody [1B1] (<a href='/en-us/products/primary-antibodies/gbp1-antibody-1b1-ab252832'>ab252832</a>) at 1/1000 dilution

Lane 1:

Untreated HeLa (human cervix adenocarcinoma epithelial cell), whole cell lysate at 10 µg

Lane 2:

HeLa treated with 100U/ml IFN gamma (<a href='/en-us/products/proteins-peptides/recombinant-human-interferon-gamma-protein-active-ab9659'>ab9659</a>) for 24 hours, whole cell lysate at 10 µg

Secondary

All lanes:

Western blot - Goat Anti-Rat IgG H&L (HRP) (<a href='/en-us/products/secondary-antibodies/goat-rat-igg-h-l-hrp-ab205720'>ab205720</a>) at 1/5000 dilution

Predicted band size: 68 kDa

Observed band size: 67 kDa

false

Exposure time: 3s

Key facts

Host species

Rat

Clonality

Monoclonal

Clone number

1B1

Isotype

IgG1

Carrier free

Yes

Reacts with

Human

Applications

ICC/IF, IHC-P, WB

applications

Immunogen

The exact immunogen used to generate this antibody is proprietary information.

Reactivity data

{ "title": "Reactivity Data", "filters": { "stats": ["", "Species", "Dilution Info", "Notes"], "tabs": { "all-applications": {"fullname" : "All Applications", "shortname": "All Applications"}, "IP" : {"fullname" : "Immunoprecipitation", "shortname":"IP"}, "WB" : {"fullname" : "Western blot", "shortname":"WB"}, "IHCP" : {"fullname" : "Immunohistochemistry (Formalin/PFA-fixed paraffin-embedded sections)", "shortname":"IHC-P"}, "ICCIF" : {"fullname" : "Immunocytochemistry/ Immunofluorescence", "shortname":"ICC/IF"} }, "product-promise": { "all": "all", "testedAndGuaranteed": "tested", "guaranteed": "expected", "predicted": "predicted", "notRecommended": "not-recommended" } }, "values": { "Human": { "IP-species-checked": "notRecommended", "IP-species-dilution-info": "", "IP-species-notes": "<p></p>", "WB-species-checked": "testedAndGuaranteed", "WB-species-dilution-info": "", "WB-species-notes": "<p></p>", "IHCP-species-checked": "testedAndGuaranteed", "IHCP-species-dilution-info": "", "IHCP-species-notes": "<p></p>", "ICCIF-species-checked": "testedAndGuaranteed", "ICCIF-species-dilution-info": "", "ICCIF-species-notes": "<p></p>" }, "Mouse": { "IP-species-checked": "notRecommended", "IP-species-dilution-info": "", "IP-species-notes": "", "WB-species-checked": "notRecommended", "WB-species-dilution-info": "", "WB-species-notes": "", "IHCP-species-checked": "notRecommended", "IHCP-species-dilution-info": "", "IHCP-species-notes": "<p></p>", "ICCIF-species-checked": "notRecommended", "ICCIF-species-dilution-info": "", "ICCIF-species-notes": "" }, "Rat": { "IP-species-checked": "notRecommended", "IP-species-dilution-info": "", "IP-species-notes": "", "WB-species-checked": "notRecommended", "WB-species-dilution-info": "", "WB-species-notes": "", "IHCP-species-checked": "notRecommended", "IHCP-species-dilution-info": "", "IHCP-species-notes": "<p></p>", "ICCIF-species-checked": "notRecommended", "ICCIF-species-dilution-info": "", "ICCIF-species-notes": "" } } }

Product details

ab255788 is the carrier-free version of ab252832.

What are the advantages of a recombinant monoclonal antibody?
This product is a recombinant monoclonal antibody, which offers several advantages including:

  • - High batch-to-batch consistency and reproducibility
  • - Improved sensitivity and specificity
  • - Long-term security of supply
  • - Animal-free batch production

For more information, read more on recombinant antibodies.

Want a custom formulation?
This antibody clone is manufactured by Abcam. If you require a custom buffer formulation or conjugation for your experiments, please contact orders@abcam.com

Conjugation ready
Our carrier-free antibodies are typically supplied in a PBS-only formulation, purified and free of BSA, sodium azide and glycerol. This conjugation-ready format is designed for use with fluorochromes, metal isotopes, oligonucleotides, and enzymes, which makes them ideal for antibody labelling, functional and cell-based assays, flow-based assays (e.g. mass cytometry) and Multiplex Imaging applications.

Use our conjugation kits for antibody conjugates that are ready-to-use in as little as 20 minutes with 1 minute hands-on-time and 100% antibody recovery: available for fluorescent dyes, HRP, biotin and gold.

Compatibility
This product is compatible with the Maxpar® Antibody Labeling Kit from Fluidigm, without the need for antibody preparation. Maxpar® is a trademark of Fluidigm Canada Inc.

Properties and storage information

Form
Liquid
Purification technique
Affinity purification Protein A
Storage buffer
pH: 7.2 - 7.4 Constituents: PBS
Shipped at conditions
Blue Ice
Appropriate short-term storage conditions
+4°C
Appropriate long-term storage conditions
+4°C
Storage information
Do Not Freeze

Supplementary information

This supplementary information is collated from multiple sources and compiled automatically.

The target known commonly as GBP1 or guanylate-binding protein 1 plays a mechanical role as a large GTPase with a molecular mass of approximately 67 kDa. This protein is expressed in various tissues most notably in interferon-gamma-induced human cells. GBP1 localizes mainly in the cytoplasm and associates with cellular membranes. Alternate designations for the GBP1 protein include GBP 1. Its role as a GTPase involves hydrolyzing GTP which is critical for its cellular functions.
Biological function summary

The GBP1 protein supports cellular defense mechanisms against pathogens such as viruses and bacteria. GBP1 participates in the hydrolysis of GTP to GMP an action that influences its anti-pathogenic effects. It is a member of the interferon-inducible large GTPase family and can form oligomeric complexes enhancing its antiviral and antimicrobial activity. It interacts with various proteins linked to innate immunity and contributes to modulating the immune response.

Pathways

GBP1 is involved in pathways linked to interferon signaling and innate immunity. The protein plays a significant role in the JAK-STAT signaling pathway where it exerts its antiviral effects. GBP1 interacts closely with other proteins such as STAT1 and is responsive to interferon signals influencing gene expression and immune responses. Its activity in these pathways is critical for mounting an effective defense against infections.

GBP1 has been associated with inflammatory diseases and cancer. The protein's expression levels often increase in response to inflammatory signals implicating it in the pathogenesis of diseases like Crohn's disease. Moreover GBP1 has a connection with cancer-related mechanisms where it might affect tumor cell proliferation. In these contexts proteins such as STAT1 and other interferon-responsive proteins relate closely to the function and regulatory mechanisms of GBP1.

Product protocols

For this product, it's our understanding that no specific protocols are required. You can visit:

Target data

Interferon (IFN)-inducible GTPase that plays important roles in innate immunity against a diverse range of bacterial, viral and protozoan pathogens (PubMed : 16511497, PubMed : 22106366, PubMed : 29144452, PubMed : 31268602, PubMed : 32510692, PubMed : 32581219, PubMed : 37797010, PubMed : 7512561). Hydrolyzes GTP to GMP in two consecutive cleavage reactions : GTP is first hydrolyzed to GDP and then to GMP in a processive manner (PubMed : 16511497, PubMed : 32510692, PubMed : 7512561). Following infection, recruited to the pathogen-containing vacuoles or vacuole-escaped bacteria and promotes both inflammasome assembly and autophagy (PubMed : 29144452, PubMed : 31268602). Acts as a positive regulator of inflammasome assembly by facilitating the detection of inflammasome ligands from pathogens (PubMed : 31268602, PubMed : 32510692, PubMed : 32581219). Involved in the lysis of pathogen-containing vacuoles, releasing pathogens into the cytosol (By similarity). Following pathogen release in the cytosol, forms a protein coat in a GTPase-dependent manner that encapsulates pathogens and promotes the detection of ligands by pattern recognition receptors (PubMed : 32510692, PubMed : 32581219). Plays a key role in inflammasome assembly in response to infection by Gram-negative bacteria : following pathogen release in the cytosol, forms a protein coat that encapsulates Gram-negative bacteria and directly binds to lipopolysaccharide (LPS), disrupting the O-antigen barrier and unmasking lipid A that is that detected by the non-canonical inflammasome effector CASP4/CASP11 (PubMed : 32510692, PubMed : 32581219). Also promotes recruitment of proteins that mediate bacterial cytolysis, leading to release double-stranded DNA (dsDNA) that activates the AIM2 inflammasome (PubMed : 31268602). Involved in autophagy by regulating bacteriolytic peptide generation via its interaction with ubiquitin-binding protein SQSTM1, which delivers monoubiquitinated proteins to autolysosomes for the generation of bacteriolytic peptides (By similarity). Confers protection to several pathogens, including the bacterial pathogens L.monocytogenes and M.bovis BCG as well as the protozoan pathogen T.gondii (PubMed : 31268602). Exhibits antiviral activity against influenza virus (PubMed : 22106366).
See full target information GBP1

Product promise

We are committed to supporting your work with high-quality reagents, and we're here for you every step of the way. In the unlikely event that one of our products does not perform as expected, you're protected by our Product Promise.
For full details, please see our Terms & Conditions

Please note: All products are 'FOR RESEARCH USE ONLY. NOT FOR USE IN DIAGNOSTIC OR THERAPEUTIC PROCEDURES'.

For licensing inquiries, please contact partnerships@abcam.com