JavaScript is disabled in your browser. Please enable JavaScript to view this website.
AB131255

Anti-GBP1 antibody [EPR8285]

Be the first to review this product! Submit a review

|

(17 Publications)

Rabbit Recombinant Monoclonal GBP1 antibody. Suitable for IHC-P, WB, ICC/IF and reacts with Human samples. Cited in 17 publications.

View Alternative Names

Guanylate-binding protein 1, GTP-binding protein 1, Guanine nucleotide-binding protein 1, Interferon-induced guanylate-binding protein 1, GBP-1, HuGBP-1, hGBP1, GBP1

5 Images
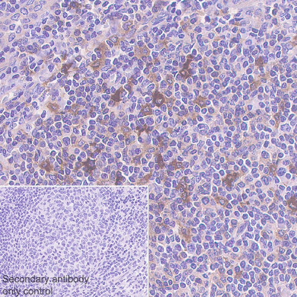
Immunohistochemistry (Formalin/PFA-fixed paraffin-embedded sections) - Anti-GBP1 antibody [EPR8285] (AB131255)
  • IHC-P

Unknown

Immunohistochemistry (Formalin/PFA-fixed paraffin-embedded sections) - Anti-GBP1 antibody [EPR8285] (AB131255)

Immunohistochemical analysis of paraffin embedded Human spleen tissue labelling GBP1 with ab131255 antibody at 1/50 dilution.

Perform heat mediated antigen retrieval with citrate buffer pH 6 before commencing with IHC staining protocol.

Immunocytochemistry/ Immunofluorescence - Anti-GBP1 antibody [EPR8285] (AB131255)
  • ICC/IF

Unknown

Immunocytochemistry/ Immunofluorescence - Anti-GBP1 antibody [EPR8285] (AB131255)

Immunofluorescent analysis of IFN-gamma induced HeLa cells labelling GBP1 with ab131255 antibody at 1/100 dilution.

Western blot - Anti-GBP1 antibody [EPR8285] (AB131255)
  • WB

Lab

Western blot - Anti-GBP1 antibody [EPR8285] (AB131255)

Lanes 1-4 : Merged signal (red and green). Green - ab131255 observed at 68 kDa. Red - loading control ab8245 observed at 36 kDa.

ab131255 Anti-GBP1 antibody [EPR8285] was shown to specifically react with GBP1 in wild-type A549 cells. Loss of signal was observed when knockout cell line ab267202 (knockout cell lysate ab257960) was used. Wild-type and GBP1 knockout samples were subjected to SDS-PAGE. ab131255 and Anti-GAPDH antibody [6C5] - Loading Control (ab8245) were incubated overnight at 4°C at 1 in 1000 dilution and 1 in 20000 dilution respectively. Blots were developed with Goat anti-Rabbit IgG H&L (IRDye® 800CW) preadsorbed (ab216773) and Goat anti-Mouse IgG H&L (IRDye® 680RD) preadsorbed (ab216776) secondary antibodies at 1 in 20000 dilution for 1 hour at room temperature before imaging.

All lanes:

Western blot - Anti-GBP1 antibody [EPR8285] (ab131255) at 1/1000 dilution

Lane 1:

Wild-type A549 cell lysate at 20 µg

Lane 2:

GBP1 knockout A549 cell lysate at 20 µg

Lane 2:

Western blot - Human GBP1 knockout A549 cell line (<a href='/en-us/products/cell-lines/human-gbp1-knockout-a549-cell-line-ab267202'>ab267202</a>)

Lane 3:

HeLa treated with 10ng/ml IFN-γ for 24 hours, whole cell lysate at 20 µg

Lane 4:

Untreated HeLa cell lysate at 20 µg

Secondary

All lanes:

Western blot - Goat anti-Rabbit IgG H&L (IRDye® 800CW) preadsorbed (<a href='/en-us/products/secondary-antibodies/goat-rabbit-igg-h-l-irdye-800cw-preadsorbed-ab216773'>ab216773</a>) at 1/10000 dilution

Predicted band size: 68 kDa

Observed band size: 68 kDa

false

Western blot - Anti-GBP1 antibody [EPR8285] (AB131255)
  • WB

Unknown

Western blot - Anti-GBP1 antibody [EPR8285] (AB131255)

All lanes:

Western blot - Anti-GBP1 antibody [EPR8285] (ab131255) at 1/1000 dilution

Lane 1:

HeLa cell lysate, treated with IFN gamma at 10 µg

Lane 2:

HeLa cell lysate at 10 µg

Secondary

All lanes:

HRP labelled Goat anti Rabbit IgG at 1/2000 dilution

Predicted band size: 68 kDa

false

OI-RD Scanning - Anti-GBP1 antibody [EPR8285] (AB131255)
  • OI-RD Scanning

Unknown

OI-RD Scanning - Anti-GBP1 antibody [EPR8285] (AB131255)

We have systematically measured KD (the equilibrium dissociation constant between the antibody and its antigen), of more than 840 recombinant antibodies to assess not only their individual KD values but also to see the average affinity of antibody. Based on the comparison with published literature values for mouse monoclonal antibodies, Recombinant antibodies appear to be on average 1-2 order of magnitude higher affinity.

Key facts

Host species

Rabbit

Clonality

Monoclonal

Clone number

EPR8285

Isotype

IgG

Carrier free

No

Reacts with

Human

Applications

IHC-P, WB, ICC/IF

applications

Immunogen

The exact immunogen used to generate this antibody is proprietary information.

Reactivity data

{ "title": "Reactivity Data", "filters": { "stats": ["", "Species", "Dilution Info", "Notes"], "tabs": { "all-applications": {"fullname" : "All Applications", "shortname": "All Applications"}, "IHCP" : {"fullname" : "Immunohistochemistry (Formalin/PFA-fixed paraffin-embedded sections)", "shortname":"IHC-P"}, "IP" : {"fullname" : "Immunoprecipitation", "shortname":"IP"}, "FlowCyt" : {"fullname" : "Flow Cytometry", "shortname":"Flow Cyt"}, "WB" : {"fullname" : "Western blot", "shortname":"WB"}, "ICCIF" : {"fullname" : "Immunocytochemistry/ Immunofluorescence", "shortname":"ICC/IF"} }, "product-promise": { "all": "all", "testedAndGuaranteed": "tested", "guaranteed": "expected", "predicted": "predicted", "notRecommended": "not-recommended" } }, "values": { "Human": { "IHCP-species-checked": "testedAndGuaranteed", "IHCP-species-dilution-info": "1/50 - 1/100", "IHCP-species-notes": "<p></p>", "IP-species-checked": "notRecommended", "IP-species-dilution-info": "", "IP-species-notes": "<p></p>", "FlowCyt-species-checked": "notRecommended", "FlowCyt-species-dilution-info": "", "FlowCyt-species-notes": "<p></p>", "WB-species-checked": "testedAndGuaranteed", "WB-species-dilution-info": "1/1000 - 1/10000", "WB-species-notes": "<p></p>", "ICCIF-species-checked": "testedAndGuaranteed", "ICCIF-species-dilution-info": "1/100 - 1/250", "ICCIF-species-notes": "<p></p>" } } }

Product details

Species reactivity
Mouse, Rat: We have preliminary internal testing data to indicate this antibody may not react with these species.
Please contact us for more information.

Patented technology
Our RabMAb® technology is a patented hybridoma-based technology for making rabbit monoclonal antibodies. For details on our patents, please refer to RabMAb® patents.

What are the advantages of a recombinant monoclonal antibody?
This product is a recombinant monoclonal antibody, which offers several advantages including:

  • - High batch-to-batch consistency and reproducibility
  • - Improved sensitivity and specificity
  • - Long-term security of supply
  • - Animal-free batch production

For more information, read more on recombinant antibodies.

Properties and storage information

Form
Liquid
Purification technique
Affinity purification Protein A
Storage buffer
pH: 7.2 - 7.4 Preservative: 0.01% Sodium azide Constituents: PBS, 50% Tissue culture supernatant, 40% Glycerol (glycerin, glycerine), 0.05% BSA
Shipped at conditions
Blue Ice
Appropriate short-term storage conditions
+4°C
Appropriate long-term storage conditions
-20°C
Storage information
Stable for 12 months at -20°C

Supplementary information

This supplementary information is collated from multiple sources and compiled automatically.

The target known commonly as GBP1 or guanylate-binding protein 1 plays a mechanical role as a large GTPase with a molecular mass of approximately 67 kDa. This protein is expressed in various tissues most notably in interferon-gamma-induced human cells. GBP1 localizes mainly in the cytoplasm and associates with cellular membranes. Alternate designations for the GBP1 protein include GBP 1. Its role as a GTPase involves hydrolyzing GTP which is critical for its cellular functions.
Biological function summary

The GBP1 protein supports cellular defense mechanisms against pathogens such as viruses and bacteria. GBP1 participates in the hydrolysis of GTP to GMP an action that influences its anti-pathogenic effects. It is a member of the interferon-inducible large GTPase family and can form oligomeric complexes enhancing its antiviral and antimicrobial activity. It interacts with various proteins linked to innate immunity and contributes to modulating the immune response.

Pathways

GBP1 is involved in pathways linked to interferon signaling and innate immunity. The protein plays a significant role in the JAK-STAT signaling pathway where it exerts its antiviral effects. GBP1 interacts closely with other proteins such as STAT1 and is responsive to interferon signals influencing gene expression and immune responses. Its activity in these pathways is critical for mounting an effective defense against infections.

GBP1 has been associated with inflammatory diseases and cancer. The protein's expression levels often increase in response to inflammatory signals implicating it in the pathogenesis of diseases like Crohn's disease. Moreover GBP1 has a connection with cancer-related mechanisms where it might affect tumor cell proliferation. In these contexts proteins such as STAT1 and other interferon-responsive proteins relate closely to the function and regulatory mechanisms of GBP1.

Product protocols

For this product, it's our understanding that no specific protocols are required. You can visit:

Target data

Interferon (IFN)-inducible GTPase that plays important roles in innate immunity against a diverse range of bacterial, viral and protozoan pathogens (PubMed : 16511497, PubMed : 22106366, PubMed : 29144452, PubMed : 31268602, PubMed : 32510692, PubMed : 32581219, PubMed : 37797010, PubMed : 7512561). Hydrolyzes GTP to GMP in two consecutive cleavage reactions : GTP is first hydrolyzed to GDP and then to GMP in a processive manner (PubMed : 16511497, PubMed : 32510692, PubMed : 7512561). Following infection, recruited to the pathogen-containing vacuoles or vacuole-escaped bacteria and promotes both inflammasome assembly and autophagy (PubMed : 29144452, PubMed : 31268602). Acts as a positive regulator of inflammasome assembly by facilitating the detection of inflammasome ligands from pathogens (PubMed : 31268602, PubMed : 32510692, PubMed : 32581219). Involved in the lysis of pathogen-containing vacuoles, releasing pathogens into the cytosol (By similarity). Following pathogen release in the cytosol, forms a protein coat in a GTPase-dependent manner that encapsulates pathogens and promotes the detection of ligands by pattern recognition receptors (PubMed : 32510692, PubMed : 32581219). Plays a key role in inflammasome assembly in response to infection by Gram-negative bacteria : following pathogen release in the cytosol, forms a protein coat that encapsulates Gram-negative bacteria and directly binds to lipopolysaccharide (LPS), disrupting the O-antigen barrier and unmasking lipid A that is that detected by the non-canonical inflammasome effector CASP4/CASP11 (PubMed : 32510692, PubMed : 32581219). Also promotes recruitment of proteins that mediate bacterial cytolysis, leading to release double-stranded DNA (dsDNA) that activates the AIM2 inflammasome (PubMed : 31268602). Involved in autophagy by regulating bacteriolytic peptide generation via its interaction with ubiquitin-binding protein SQSTM1, which delivers monoubiquitinated proteins to autolysosomes for the generation of bacteriolytic peptides (By similarity). Confers protection to several pathogens, including the bacterial pathogens L.monocytogenes and M.bovis BCG as well as the protozoan pathogen T.gondii (PubMed : 31268602). Exhibits antiviral activity against influenza virus (PubMed : 22106366).
See full target information GBP1

Publications (17)

Recent publications for all applications. Explore the full list and refine your search

Breast cancer research : BCR 27:162 PubMed40999477

2025

A STAT1-GBP1 axis modulates epithelial proliferation in postpartum breast tissue by repressing CDKI expression.

Applications

Unspecified application

Species

Unspecified reactive species

Joshua W Ogony,Laura M Pacheco-Spann,Amanda Arnold,Jennifer V Cabezas,Nicole Cruz-Reyes,Camila Pacheco Erak,Pria J Westerman,Savanna A Touré,Sharoon Akhtar,Stacey J Winham,Sarah McLaughlin,Amy C Degnim,Mark E Sherman,Derek C Radisky

Frontiers in oncology 15:1434249 PubMed40018406

2025

Role of guanylate-binding protein 1 in the proliferation of invasive lung adenocarcinoma cells.

Applications

Unspecified application

Species

Unspecified reactive species

Takashi Kumada,Takahiro Mimae,Norifumi Tsubokawa,Kei Kushitani,Yukio Takeshima,Yoshihiro Miyata,Morihito Okada

Immunity 57:1812-1827.e7 PubMed38955184

2024

The canonical antiviral protein oligoadenylate synthetase 1 elicits antibacterial functions by enhancing IRF1 translation.

Applications

Unspecified application

Species

Unspecified reactive species

Munesh K Harioudh,Joseph Perez,Lomon So,Mayank Maheshwari,Thomas S Ebert,Veit Hornung,Ram Savan,A Rouf Banday,Michael S Diamond,Vijay A Rathinam,Saumendra N Sarkar

Journal of medical virology 96:e29730 PubMed38860570

2024

Guanylate-binding protein 1 inhibits Hantaan virus infection by restricting virus entry.

Applications

Unspecified application

Species

Unspecified reactive species

Tianle Gu,Sirui Qu,Junmei Zhang,Qikang Ying,Xiaoxiao Zhang,Yunhua Lv,Rongrong Liu,Yunan Feng,Fang Wang,Xingan Wu

mBio 14:e0170723 PubMed37737612

2023

Human GBP1 facilitates the rupture of the containing vacuole and inflammasome activation.

Applications

Unspecified application

Species

Unspecified reactive species

Antonia R Bass,Marisa S Egan,Jasmine Alexander-Floyd,Natasha Lopes Fischer,Jessica Doerner,Sunny Shin

Pathogens and disease 81: PubMed37012222

2023

Comparative study of GBP recruitment on two cytosol-dwelling pathogens, Francisella novicida and Shigella flexneri highlights differences in GBP repertoire and in GBP1 motif requirements.

Applications

Unspecified application

Species

Unspecified reactive species

Stanimira V Valeva,Manon Degabriel,Fanny Michal,Gabrielle Gay,John R Rohde,Felix Randow,Brice Lagrange,Thomas Henry

mBio 13:e0188822 PubMed36154443

2022

Interferon-Inducible E3 Ligase RNF213 Facilitates Host-Protective Linear and K63-Linked Ubiquitylation of Toxoplasma gondii Parasitophorous Vacuoles.

Applications

Unspecified application

Species

Unspecified reactive species

Dulcemaria Hernandez,Stephen Walsh,Luz Saavedra Sanchez,Mary S Dickinson,Jörn Coers

The journal of obstetrics and gynaecology research 47:3913-3922 PubMed34482592

2021

Downregulation of GTSE1 leads to the inhibition of proliferation, migration, and Warburg effect in cervical cancer by blocking LHDA expression.

Applications

Unspecified application

Species

Unspecified reactive species

Longyi Chen,Youwen Zhong,Xiuwei Yang,Qingyue Zhang,Xiaoling Wu

mBio 12:e0205421 PubMed34399626

2021

Guanylate-Binding Protein-Dependent Noncanonical Inflammasome Activation Prevents Burkholderia thailandensis-Induced Multinucleated Giant Cell Formation.

Applications

Unspecified application

Species

Unspecified reactive species

Marisa Dilucca,Saray Ramos,Kateryna Shkarina,José Carlos Santos,Petr Broz

Journal of immunology (Baltimore, Md. : 1950) 207:555-568 PubMed34233910

2021

IFN-γ Drives Human Monocyte Differentiation into Highly Proinflammatory Macrophages That Resemble a Phenotype Relevant to Psoriasis.

Applications

Unspecified application

Species

Unspecified reactive species

Rosario Luque-Martin,Davina C Angell,Mathias Kalxdorf,Sharon Bernard,William Thompson,H Christian Eberl,Charlotte Ashby,Johannes Freudenberg,Catriona Sharp,Jan Van den Bossche,Wouter J de Jonge,Inmaculada Rioja,Rab K Prinjha,Annette E Neele,Menno P J de Winther,Palwinder K Mander
View all publications

Product promise

We are committed to supporting your work with high-quality reagents, and we're here for you every step of the way. In the unlikely event that one of our products does not perform as expected, you're protected by our Product Promise.
For full details, please see our Terms & Conditions

Please note: All products are 'FOR RESEARCH USE ONLY. NOT FOR USE IN DIAGNOSTIC OR THERAPEUTIC PROCEDURES'.

For licensing inquiries, please contact partnerships@abcam.com