JavaScript is disabled in your browser. Please enable JavaScript to view this website.
AB247040

Anti-GBP2 antibody

Be the first to review this product! Submit a review

|

(0 Publication)

Rabbit Polyclonal GBP2 antibody. Suitable for IHC-P, WB, ICC/IF and reacts with Human samples. Immunogen corresponding to Recombinant Fragment Protein within Human GBP2 aa 550 to C-terminus.

View Alternative Names

Guanylate-binding protein 2, GTP-binding protein 2, Guanine nucleotide-binding protein 2, Interferon-induced guanylate-binding protein 2, GBP-2, HuGBP-2, GBP2

3 Images
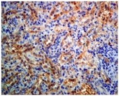
Immunohistochemistry (Formalin/PFA-fixed paraffin-embedded sections) - Anti-GBP2 antibody (AB247040)
  • IHC-P

Unknown

Immunohistochemistry (Formalin/PFA-fixed paraffin-embedded sections) - Anti-GBP2 antibody (AB247040)

Paraffin-embedded human urinary bladder tissue stained for GBP2 using ab247040 at 1/50 dilution in immunohistochemical analysis.

Immunocytochemistry/ Immunofluorescence - Anti-GBP2 antibody (AB247040)
  • ICC/IF

Unknown

Immunocytochemistry/ Immunofluorescence - Anti-GBP2 antibody (AB247040)

PFA fixed, Triton X-100 permeabilized RT4 (Human urinary bladder cancer cell line) cells labeling GBP2 using ab247040 at 4 μg/ml (green) in ICC/IF.

Western blot - Anti-GBP2 antibody (AB247040)
  • WB

Unknown

Western blot - Anti-GBP2 antibody (AB247040)

All lanes:

Western blot - Anti-GBP2 antibody (ab247040) at 0.4 µg/mL

All lanes:

RT4 (Human urinary bladder cancer cell line) cell lysate

Predicted band size: 67 kDa

false

Key facts

Host species

Rabbit

Clonality

Polyclonal

Isotype

IgG

Carrier free

No

Reacts with

Human

Applications

WB, ICC/IF, IHC-P

applications

Immunogen

Recombinant Fragment Protein within Human GBP2 aa 550 to C-terminus. The exact immunogen used to generate this antibody is proprietary information.

P32456

Reactivity data

{ "title": "Reactivity Data", "filters": { "stats": ["", "Species", "Dilution Info", "Notes"], "tabs": { "all-applications": {"fullname" : "All Applications", "shortname": "All Applications"}, "IHCP" : {"fullname" : "Immunohistochemistry (Formalin/PFA-fixed paraffin-embedded sections)", "shortname":"IHC-P"}, "WB" : {"fullname" : "Western blot", "shortname":"WB"}, "ICCIF" : {"fullname" : "Immunocytochemistry/ Immunofluorescence", "shortname":"ICC/IF"} }, "product-promise": { "all": "all", "testedAndGuaranteed": "tested", "guaranteed": "expected", "predicted": "predicted", "notRecommended": "not-recommended" } }, "values": { "Human": { "IHCP-species-checked": "testedAndGuaranteed", "IHCP-species-dilution-info": "1/50 - 1/200", "IHCP-species-notes": "<p></p> Perform heat-mediated antigen retrieval with citrate buffer pH 6 before commencing with IHC staining protocol.", "WB-species-checked": "testedAndGuaranteed", "WB-species-dilution-info": "0.04-0.4 µg/mL", "WB-species-notes": "<p></p>", "ICCIF-species-checked": "testedAndGuaranteed", "ICCIF-species-dilution-info": "0.25-2 µg/mL", "ICCIF-species-notes": "<p>Fixation/Permeabilization: PFA/Triton X-100.</p>" } } }

Properties and storage information

Form
Liquid
Purification technique
Affinity purification Immunogen
Storage buffer
pH: 7.2 Preservative: 0.02% Sodium azide Constituents: PBS, 40% Glycerol (glycerin, glycerine)
Shipped at conditions
Blue Ice
Appropriate short-term storage duration
1-2 weeks
Appropriate short-term storage conditions
+4°C
Appropriate long-term storage conditions
-20°C
Aliquoting information
Upon delivery aliquot
Storage information
Avoid freeze / thaw cycle

Supplementary information

This supplementary information is collated from multiple sources and compiled automatically.

GBP2 also known as Guanylate Binding Protein 2 is a member of the dynamin superfamily of large GTPases. It has an approximate mass of 67 kDa. This protein finds expression predominantly in macrophages and other immune cells. The involvement of GBP2 in cellular defense mechanisms reflects its upregulation by interferon-gamma where it takes part in immune responses against microbial and viral infections.
Biological function summary

Guanylate Binding Protein 2 participates in immune response regulation. It does not function as part of a large multiprotein complex but acts primarily as a monomer. GBP2 disrupts pathogenic molecular machinery by binding to microbial enzymes leading to their inhibition which limits pathogen survival. This mechanism ensures that GBP2 remains a significant factor in the cell's intrinsic ability to fight infections at the molecular level.

Pathways

Guanylate Binding Protein 2 plays an important role in the interferon-induced defense pathways. It participates in the immune effector pathways primarily connecting to processes like the JAK-STAT signaling pathway. Through this involvement GBP2 helps enhance the expression of a variety of immunologically relevant genes. Additionally GBP2 often interacts with other members of the GBP family including GBP1 and GBP5 to amplify immune responses and signaling cascades.

Guanylate Binding Protein 2 shows a significant connection to infectious diseases like tuberculosis and viral infections such as hepatitis C. Overexpression or dysregulation of GBP2 can influence the progression and severity of these conditions. Additionally GBP2's interaction with proteins involved in inflammatory responses such as other interferon-induced proteins highlights its influence over auto-inflammatory conditions and its potential as a biomarker for disease progression.

Product protocols

For this product, it's our understanding that no specific protocols are required. You can visit:

Target data

Interferon (IFN)-inducible GTPase that plays important roles in innate immunity against a diverse range of bacterial, viral and protozoan pathogens (PubMed : 31091448). Hydrolyzes GTP to GMP in 2 consecutive cleavage reactions, but the major reaction product is GDP (PubMed : 8706832). Following infection, recruited to the pathogen-containing vacuoles or vacuole-escaped bacteria and acts as a positive regulator of inflammasome assembly by promoting the release of inflammasome ligands from bacteria (By similarity). Acts by promoting lysis of pathogen-containing vacuoles, releasing pathogens into the cytosol (By similarity). Following pathogen release in the cytosol, promotes recruitment of proteins that mediate bacterial cytolysis : this liberates ligands that are detected by inflammasomes, such as lipopolysaccharide (LPS) that activates the non-canonical CASP4/CASP11 inflammasome or double-stranded DNA (dsDNA) that activates the AIM2 inflammasome (By similarity). Confers protection to the protozoan pathogen Toxoplasma gondii (By similarity). Independently of its GTPase activity, acts as an inhibitor of various viruses infectivity, such as HIV-1, Zika and influenza A viruses, by inhibiting FURIN-mediated maturation of viral envelope proteins (PubMed : 31091448).
See full target information GBP2

Product promise

We are committed to supporting your work with high-quality reagents, and we're here for you every step of the way. In the unlikely event that one of our products does not perform as expected, you're protected by our Product Promise.
For full details, please see our Terms & Conditions

Please note: All products are 'FOR RESEARCH USE ONLY. NOT FOR USE IN DIAGNOSTIC OR THERAPEUTIC PROCEDURES'.

For licensing inquiries, please contact partnerships@abcam.com