JavaScript is disabled in your browser. Please enable JavaScript to view this website.
AB232689

Anti-GBP4 antibody

Be the first to review this product! Submit a review

|

(1 Publication)

Rabbit Polyclonal GBP4 antibody. Suitable for WB, IHC-P and reacts with Mouse samples. Cited in 1 publication. Immunogen corresponding to Recombinant Fragment Protein within Mouse Gbp3 aa 1-350.

View Alternative Names

Guanylate-binding protein 3, GTP-binding protein 3, Guanine nucleotide-binding protein 3, GBP-3, Gbp3

6 Images
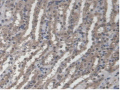
Immunohistochemistry (Formalin/PFA-fixed paraffin-embedded sections) - Anti-GBP4 antibody (AB232689)
  • IHC-P

Supplier Data

Immunohistochemistry (Formalin/PFA-fixed paraffin-embedded sections) - Anti-GBP4 antibody (AB232689)

Paraffin-embedded mouse kidney tissue stained for GBP4 using ab232689 at 20 μg/ml in immunohistochemical analysis. DAB staining.

Immunohistochemistry (Formalin/PFA-fixed paraffin-embedded sections) - Anti-GBP4 antibody (AB232689)
  • IHC-P

Supplier Data

Immunohistochemistry (Formalin/PFA-fixed paraffin-embedded sections) - Anti-GBP4 antibody (AB232689)

Paraffin-embedded mouse testis tissue stained for GBP4 using ab232689 at 20 μg/ml in immunohistochemical analysis. DAB staining.

Immunohistochemistry (Formalin/PFA-fixed paraffin-embedded sections) - Anti-GBP4 antibody (AB232689)
  • IHC-P

Supplier Data

Immunohistochemistry (Formalin/PFA-fixed paraffin-embedded sections) - Anti-GBP4 antibody (AB232689)

Paraffin-embedded mouse stomach tissue stained for GBP4 using ab232689 at 20 μg/ml in immunohistochemical analysis. DAB staining.

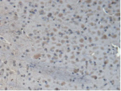
Immunohistochemistry (Formalin/PFA-fixed paraffin-embedded sections) - Anti-GBP4 antibody (AB232689)
  • IHC-P

Supplier Data

Immunohistochemistry (Formalin/PFA-fixed paraffin-embedded sections) - Anti-GBP4 antibody (AB232689)

Paraffin-embedded mouse brain tissue stained for GBP4 using ab232689 at 20 μg/ml in immunohistochemical analysis. DAB staining.

Western blot - Anti-GBP4 antibody (AB232689)
  • WB

Supplier Data

Western blot - Anti-GBP4 antibody (AB232689)

All lanes:

Western blot - Anti-GBP4 antibody (ab232689) at 1 µg/mL

Lane 1:

Mouse serum

Lane 2:

Mouse placenta lysate

Lane 3:

Mouse pancreas lysate

Secondary

All lanes:

HRP-Linked Guinea pig Anti-Rabbit at 1/2000 dilution

Predicted band size: 73 kDa

false

Western blot - Anti-GBP4 antibody (AB232689)
  • WB

Supplier Data

Western blot - Anti-GBP4 antibody (AB232689)

All lanes:

Western blot - Anti-GBP4 antibody (ab232689) at 1 µg/mL

All lanes:

Recombinant mouse GBP4 protein

Secondary

All lanes:

HRP-Linked Guinea pig Anti-Rabbit at 1/2000 dilution

Predicted band size: 73 kDa

false

Key facts

Host species

Rabbit

Clonality

Polyclonal

Isotype

IgG

Carrier free

No

Reacts with

Mouse

Applications

IHC-P, WB

applications

Immunogen

Recombinant Fragment Protein within Mouse Gbp3 aa 1-350. The exact immunogen used to generate this antibody is proprietary information.

Q61107

Reactivity data

{ "title": "Reactivity Data", "filters": { "stats": ["", "Species", "Dilution Info", "Notes"], "tabs": { "all-applications": {"fullname" : "All Applications", "shortname": "All Applications"}, "WB" : {"fullname" : "Western blot", "shortname":"WB"}, "IHCP" : {"fullname" : "Immunohistochemistry (Formalin/PFA-fixed paraffin-embedded sections)", "shortname":"IHC-P"} }, "product-promise": { "all": "all", "testedAndGuaranteed": "tested", "guaranteed": "expected", "predicted": "predicted", "notRecommended": "not-recommended" } }, "values": { "Mouse": { "WB-species-checked": "testedAndGuaranteed", "WB-species-dilution-info": "0.5-2 µg/mL", "WB-species-notes": "<p></p>", "IHCP-species-checked": "testedAndGuaranteed", "IHCP-species-dilution-info": "5-20 µg/mL", "IHCP-species-notes": "<p></p>" } } }

Properties and storage information

Form
Liquid
Purification technique
Affinity purification Immunogen
Purification notes
ab232689 was purified by antigen-specific affinity chromatography followed by Protein A affinity chromatography.
Storage buffer
pH: 7.4 Preservative: 0.011% Proclin 300 Constituents: PBS, 55.77% Glycerol (glycerin, glycerine)
Shipped at conditions
Blue Ice
Appropriate short-term storage duration
1-2 weeks
Appropriate short-term storage conditions
+4°C
Appropriate long-term storage conditions
-20°C
Aliquoting information
Upon delivery aliquot
Storage information
Avoid freeze / thaw cycle

Supplementary information

This supplementary information is collated from multiple sources and compiled automatically.

GBP4 also known as guanylate-binding protein 4 is a member of the guanylate-binding protein family. This family is known for its role in hydrolyzing GTP to GDP and GMP an important mechanical activity that GBP4 performs. GBP4 has a mass of approximately 68 kDa. The protein is expressed in a variety of tissues but it shows higher expression in immune-related cells. It is often upregulated in response to interferon-gamma a cytokine important for immune response modulation.
Biological function summary

GBP4 plays an important role in immune response against pathogens. By disrupting microbial membranes GBP4 aids in restricting the spread of certain intracellular bacteria. It may also participate in forming a larger complex with other GBP proteins for more efficient pathogen targeting. This action is particularly significant during infections where increased GBP4 expression provides a stronger defense mechanism as part of the innate immune system.

Pathways

GBP4 integrates functionally into interferon-gamma and JAK-STAT signaling pathways. These pathways are key components of the immune response to infections and inflammation. GBP4's role in these pathways highlights its interaction with other immune proteins such as STAT1 and other guanylate-binding proteins. These interactions highlight GBP4's importance in signaling cascades that strategize cellular immune defenses.

GBP4 exhibits links to conditions like autoimmune diseases and certain infections. In autoimmune pathologies dysregulation involving GBP4 may contribute to inappropriate immune activation potentially related to proteins such as interferon-gamma. Additionally in infections GBP4 plays a role in controlling bacterial infections within macrophages often in cooperation with other members of the guanylate-binding protein family. Understanding these connections provides insights into therapeutic interventions targeting immune pathways in disease management.

Product protocols

For this product, it's our understanding that no specific protocols are required. You can visit:

Target data

Interferon (IFN)-inducible GTPase that plays important roles in innate immunity against a diverse range of bacterial, viral and protozoan pathogens (PubMed : 24715728, PubMed : 24739961). Hydrolyzes GTP very efficiently; GDP rather than GMP is the major reaction product (PubMed : 9659399). Following infection, recruited to the pathogen-containing vacuoles or vacuole-escaped bacteria and acts as a positive regulator of inflammasome assembly by promoting the release of inflammasome ligands from bacteria (PubMed : 24715728, PubMed : 24739961). Acts by promoting lysis of pathogen-containing vacuoles, releasing pathogens into the cytosol (PubMed : 24715728, PubMed : 24739961). Following pathogen release in the cytosol, promotes recruitment of proteins that mediate bacterial cytolysis, such as Gm12250/Irgb10 : this liberates ligands that are detected by inflammasomes, such as lipopolysaccharide (LPS) that activates the non-canonical CASP4/CASP11 inflammasome or double-stranded DNA (dsDNA) that activates the AIM2 inflammasome (PubMed : 24715728, PubMed : 24739961). May play a role in erythroid differentiation (PubMed : 9659399).
See full target information Gbp3

Publications (1)

Recent publications for all applications. Explore the full list and refine your search

Journal of biological engineering 13:60 PubMed31303891

2019

Long non-coding RNA PVT1 knockdown suppresses fibroblast-like synoviocyte inflammation and induces apoptosis in rheumatoid arthritis through demethylation of .

Applications

Unspecified application

Species

Unspecified reactive species

Chun-Wang Zhang,Xia Wu,Dan Liu,Wei Zhou,Wei Tan,Yu-Xuan Fang,Yu Zhang,Yan-Qing Liu,Guo-Qing Li
View all publications

Product promise

We are committed to supporting your work with high-quality reagents, and we're here for you every step of the way. In the unlikely event that one of our products does not perform as expected, you're protected by our Product Promise.
For full details, please see our Terms & Conditions

Please note: All products are 'FOR RESEARCH USE ONLY. NOT FOR USE IN DIAGNOSTIC OR THERAPEUTIC PROCEDURES'.

For licensing inquiries, please contact partnerships@abcam.com