JavaScript is disabled in your browser. Please enable JavaScript to view this website.
AB313391

Anti-GBP5 antibody [EPR28367-83] - BSA and Azide free

Be the first to review this product! Submit a review

|

(0 Publication)

Rabbit Recombinant Monoclonal GBP5 antibody. Carrier free. Suitable for Flow Cyt (Intra), WB, ICC/IF, IHC-P and reacts with Human, Mouse, Rat samples.

View Alternative Names

UNQ2427/PRO4987, GBP5, Guanylate-binding protein 5, GBP-TA antigen, GTP-binding protein 5, Guanine nucleotide-binding protein 5, GBP-5

16 Images
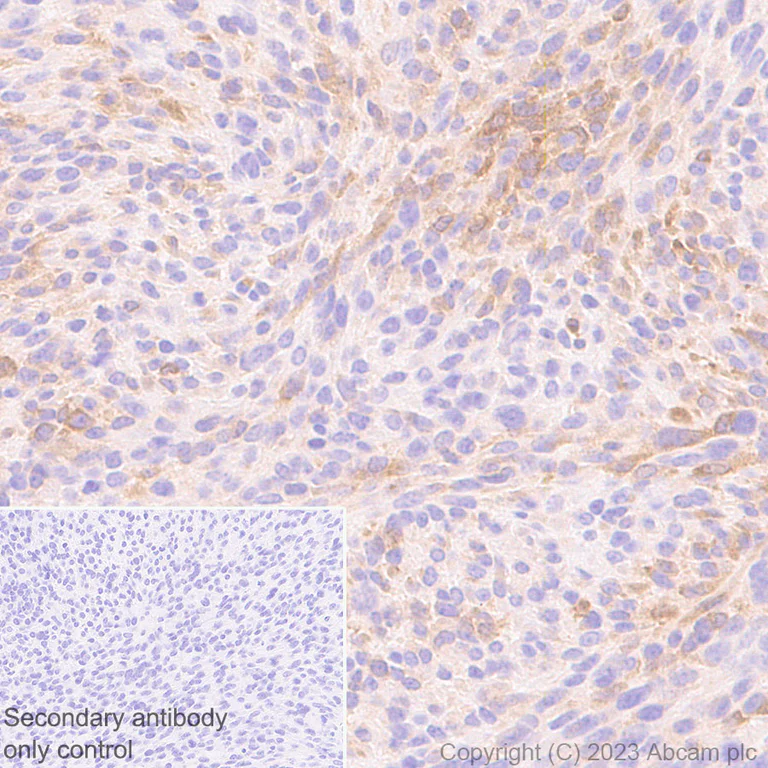
Immunohistochemistry (Formalin/PFA-fixed paraffin-embedded sections) - Anti-GBP5 antibody [EPR28367-83] - BSA and Azide free (AB313391)
  • IHC-P

Supplier Data

Immunohistochemistry (Formalin/PFA-fixed paraffin-embedded sections) - Anti-GBP5 antibody [EPR28367-83] - BSA and Azide free (AB313391)

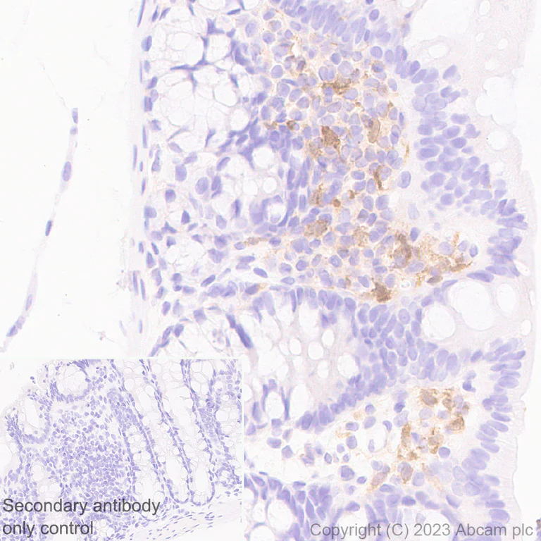
This data was developed using ab313390, the same antibody clone in a different buffer formulation. Immunohistochemical analysis of paraffin-embedded Human colon carcinom tissue labeling GBP5 with ab313390 at 1/4000 (0.127 ug/ml) followed by a ready to use LeicaDS9800 (Bond™ Polymer Refine Detection). Positive staining on immune cells of human colon carcinoma. The section was incubated with ab313390 for 30 mins at room temperature. The immunostaining was performed on a Leica Biosystems BOND® RX instrument. Incubate slides with 3% Hydrogen Peroxide for 10 mins at room temperature after secondary antibody incubation to reduce the background. Counterstained with Hematoxylin. Secondary antibody only control : Secondary antibody is a ready to use LeicaDS9800 (Bond™ Polymer Refine Detection). Heat mediated antigen retrieval was performed with Tris-EDTA buffer (pH 9.0, Epitope Retrieval Solution2) for 20 mins

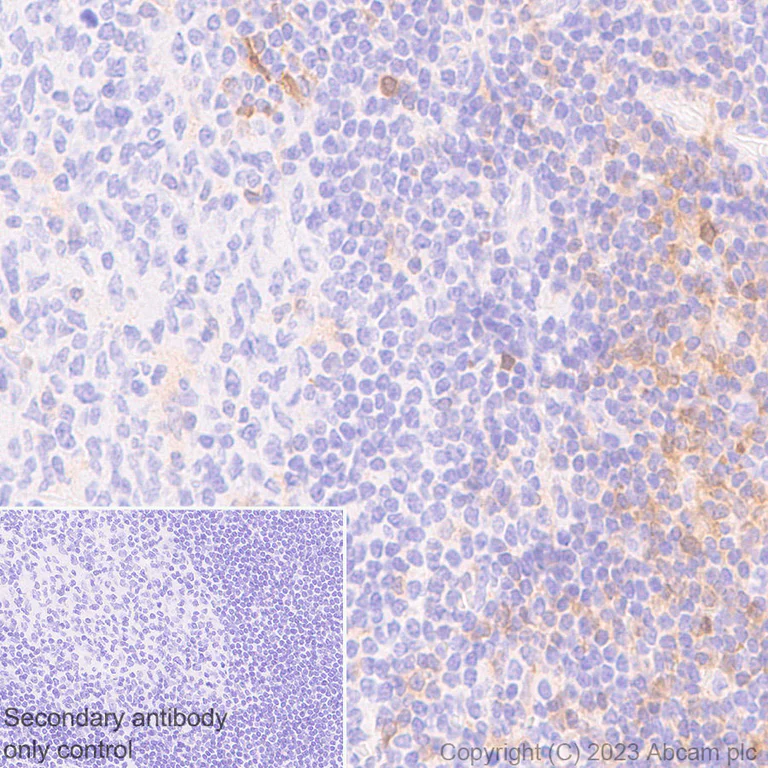
Immunohistochemistry (Formalin/PFA-fixed paraffin-embedded sections) - Anti-GBP5 antibody [EPR28367-83] - BSA and Azide free (AB313391)
  • IHC-P

Supplier Data

Immunohistochemistry (Formalin/PFA-fixed paraffin-embedded sections) - Anti-GBP5 antibody [EPR28367-83] - BSA and Azide free (AB313391)

This data was developed using ab313390, the same antibody clone in a different buffer formulation. Immunohistochemical analysis of paraffin-embedded (A) THP-1 (human mon tissue labeling GBP5 with ab313390 at 1/2000 (0.254 ug/ml) followed by a ready to use LeicaDS9800 (Bond™ Polymer Refine Detection). Positive staining on (A) THP-1 treated with 1ug/ml LPS and IFN gamma for 24 hours cell pellet, no staining on (B) Untreated THP-1 cell pellet. The section was incubated with ab313390 for 30 mins at room temperature.The immunostaining was performed on a Leica Biosystems BOND® RX instrument. Incubate slides with 3% Hydrogen Peroxide for 10 mins at room temperature after secondary antibody incubation to reduce the background. Counterstained with Hematoxylin. Secondary antibody only control : Secondary antibody is a ready to use LeicaDS9800 (Bond™ Polymer Refine Detection). Heat mediated antigen retrieval was performed with Tris-EDTA buffer (pH 9.0, Epitope Retrieval Solution2) for 20 mins

Immunohistochemistry (Formalin/PFA-fixed paraffin-embedded sections) - Anti-GBP5 antibody [EPR28367-83] - BSA and Azide free (AB313391)
  • IHC-P

Supplier Data

Immunohistochemistry (Formalin/PFA-fixed paraffin-embedded sections) - Anti-GBP5 antibody [EPR28367-83] - BSA and Azide free (AB313391)

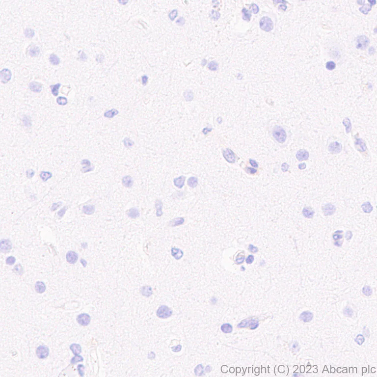
This data was developed using ab313390, the same antibody clone in a different buffer formulation. Immunohistochemical analysis of paraffin-embedded Human cerebrum tissue labeling GBP5 with ab313390 at 1/4000 (0.127 ug/ml) followed by a ready to use LeicaDS9800 (Bond™ Polymer Refine Detection). Low expression : no staining on human cerebrum (PMID : 33608513). The section was incubated with ab313390 for 30 mins at room temperature. The immunostaining was performed on a Leica Biosystems BOND® RX instrument. Incubate slides with 3% Hydrogen Peroxide for 10 mins at room temperature after secondary antibody incubation to reduce the background. Counterstained with Hematoxylin. Secondary antibody only control : Secondary antibody is a ready to use LeicaDS9800 (Bond™ Polymer Refine Detection). Heat mediated antigen retrieval was performed with Tris-EDTA buffer (pH 9.0, Epitope Retrieval Solution2) for 20 mins

Immunocytochemistry/ Immunofluorescence - Anti-GBP5 antibody [EPR28367-83] - BSA and Azide free (AB313391)
  • ICC/IF

Supplier Data

Immunocytochemistry/ Immunofluorescence - Anti-GBP5 antibody [EPR28367-83] - BSA and Azide free (AB313391)

This data was developed using ab313390, the same antibody clone in a different buffer formulation. Immunofluorescent analysis of 4% Paraformaldehyde-fixed, 0.1% TritonX-100 permeabilized THP-1 (human monocytic leukemia monocyte) cells labelling GBP5 with ab313390 at 1/50 (10.14 ug/ml) dilution, followed by ab150081 Goat Anti-Rabbit IgG H&L (Alexa Fluor® 488) preadsorbed antibody at 1/1000 2 ug/ml dilution (Green). Confocal image showing cytoplasmic staining in THP-1 cells treated with 1 µg/mL LPS (lipopolysaccharide) and 40 ng/mL IFN gamma for 24 hours, while showing no staining in untreated THP-1 cells.Image was taken with a confocal microscope(Leica-Microsystems, TCS SP8). is observed. ab195889 Anti-alpha Tubulin mouse monoclonal antibody - Microtubule Marker (Alexa Fluor® 594) was used to counterstain tubulin at 1/200 2.5ug/ml dilution (Red). The Nuclear counterstain was DAPI (Blue). Secondary antibody only control : Secondary antibody is ab150081 Goat Anti-Rabbit IgG H&L (Alexa Fluor® 488) preadsorbed at 1/1000 2 ug/ml dilution.

Immunohistochemistry (Formalin/PFA-fixed paraffin-embedded sections) - Anti-GBP5 antibody [EPR28367-83] - BSA and Azide free (AB313391)
  • IHC-P

Supplier Data

Immunohistochemistry (Formalin/PFA-fixed paraffin-embedded sections) - Anti-GBP5 antibody [EPR28367-83] - BSA and Azide free (AB313391)

This data was developed using ab313390, the same antibody clone in a different buffer formulation. Immunohistochemical analysis of paraffin-embedded Human tonsil tissue labeling GBP5 with ab313390 at 1/4000 (0.127 ug/ml) followed by a ready to use LeicaDS9800 (Bond™ Polymer Refine Detection). Positive staining on human tonsil. The section was incubated with ab313390 for 30 mins at room temperature.The immunostaining was performed on a Leica Biosystems BOND® RX instrument. Incubate slides with 3% Hydrogen Peroxide for 10 mins at room temperature after secondary antibody incubation to reduce the background. Counterstained with Hematoxylin. Secondary antibody only control : Secondary antibody is a ready to use LeicaDS9800 (Bond™ Polymer Refine Detection). Heat mediated antigen retrieval was performed with Tris-EDTA buffer (pH 9.0, Epitope Retrieval Solution2) for 20 mins

Flow Cytometry (Intracellular) - Anti-GBP5 antibody [EPR28367-83] - BSA and Azide free (AB313391)
  • Flow Cyt (Intra)

Supplier Data

Flow Cytometry (Intracellular) - Anti-GBP5 antibody [EPR28367-83] - BSA and Azide free (AB313391)

This data was developed using ab313390, the same antibody clone in a different buffer formulation. Flow cytometric analysis of THP-1 (human monocytic leukemia monocyte) treated with 1µg/mL LPS for 24h and then 40ng/mL IFN gamma for 24h (Red) / untreated THP-1 (Green) cells labelling GBP5 with ab313390 at 1/500 dilution (0.1 ug)/Red and Green compared with a Rabbit monoclonal IgG (ab172730) (Black) isotype control and an unlabelled control (cells without incubation with primary antibody and secondary antibody) (Blue). Goat Anti-Rabbit IgG (Alexa Fluor® 488, ab150081) at 1/5000 dilution was used as the secondary antibody.

Flow Cytometry (Intracellular) - Anti-GBP5 antibody [EPR28367-83] - BSA and Azide free (AB313391)
  • Flow Cyt (Intra)

Supplier Data

Flow Cytometry (Intracellular) - Anti-GBP5 antibody [EPR28367-83] - BSA and Azide free (AB313391)

This data was developed using ab313390, the same antibody clone in a different buffer formulation. Flow cytometric analysis of J774A.1 (mouse reticulum cell sarcoma monocyte/macrophage) treated with 1µg/mL LPS for 24h and then 40ng/mL IFN gamma for 24h (Red) / untreated J774A.1 (Green) cells labelling GBP5 with ab313390 at 1/500 dilution (0.1 ug)/Red and Green compared with a Rabbit monoclonal IgG (ab172730) (Black) isotype control and an unlabelled control (cells without incubation with primary antibody and secondary antibody) (Blue). Goat Anti-Rabbit IgG (Alexa Fluor® 488, ab150081) at 1/5000 dilution was used as the secondary antibody.

Immunohistochemistry (Formalin/PFA-fixed paraffin-embedded sections) - Anti-GBP5 antibody [EPR28367-83] - BSA and Azide free (AB313391)
  • IHC-P

Supplier Data

Immunohistochemistry (Formalin/PFA-fixed paraffin-embedded sections) - Anti-GBP5 antibody [EPR28367-83] - BSA and Azide free (AB313391)

This data was developed using ab313390, the same antibody clone in a different buffer formulation. Immunohistochemical analysis of paraffin-embedded Rat cerebrum tissue labeling GBP5 with ab313390 at 1/2000 (0.254 ug/ml) followed by a ready to use LeicaDS9800 (Bond™ Polymer Refine Detection). Low expression : no staining on rat cerebrum. The section was incubated with ab313390 for 30 mins at room temperature. The immunostaining was performed on a Leica Biosystems BOND® RX instrument. Incubate slides with 3% Hydrogen Peroxide for 10 mins at room temperature after secondary antibody incubation to reduce the background. Counterstained with Hematoxylin. Secondary antibody only control : Secondary antibody is a ready to use LeicaDS9800 (Bond™ Polymer Refine Detection). Heat mediated antigen retrieval was performed with Tris-EDTA buffer (pH 9.0, Epitope Retrieval Solution2) for 20 mins

Immunohistochemistry (Formalin/PFA-fixed paraffin-embedded sections) - Anti-GBP5 antibody [EPR28367-83] - BSA and Azide free (AB313391)
  • IHC-P

Supplier Data

Immunohistochemistry (Formalin/PFA-fixed paraffin-embedded sections) - Anti-GBP5 antibody [EPR28367-83] - BSA and Azide free (AB313391)

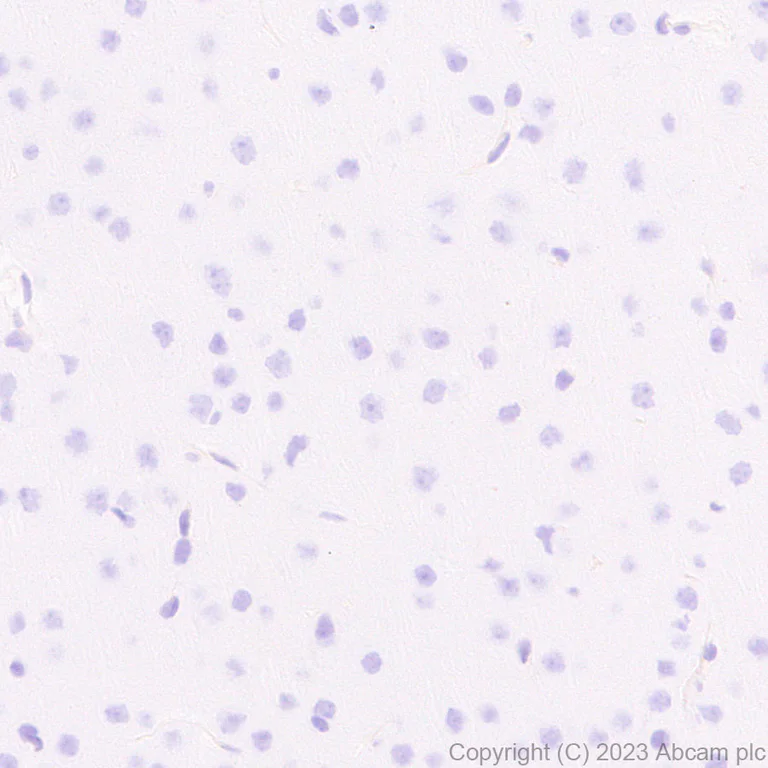
This data was developed using ab313390, the same antibody clone in a different buffer formulation. Immunohistochemical analysis of paraffin-embedded Mouse cerebrum tissue labeling GBP5 with ab313390 at 1/2000 (0.254 ug/ml) followed by a ready to use LeicaDS9800 (Bond™ Polymer Refine Detection). Low expression : no staining on mouse cerebrum. The section was incubated with ab313390 for 30 mins at room temperature. The immunostaining was performed on a Leica Biosystems BOND® RX instrument. Incubate slides with 3% Hydrogen Peroxide for 10 mins at room temperature after secondary antibody incubation to reduce the background. Counterstained with Hematoxylin. Secondary antibody only control : Secondary antibody is a ready to use LeicaDS9800 (Bond™ Polymer Refine Detection). Heat mediated antigen retrieval was performed with Tris-EDTA buffer (pH 9.0, Epitope Retrieval Solution2) for 20 mins

Immunohistochemistry (Formalin/PFA-fixed paraffin-embedded sections) - Anti-GBP5 antibody [EPR28367-83] - BSA and Azide free (AB313391)
  • IHC-P

Supplier Data

Immunohistochemistry (Formalin/PFA-fixed paraffin-embedded sections) - Anti-GBP5 antibody [EPR28367-83] - BSA and Azide free (AB313391)

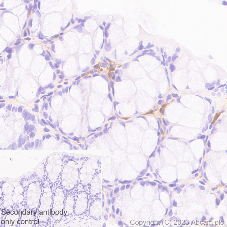
This data was developed using ab313390, the same antibody clone in a different buffer formulation. Immunohistochemical analysis of paraffin-embedded Mouse colon tissue labeling GBP5 with ab313390 at 1/2000 (0.254 ug/ml) followed by a ready to use LeicaDS9800 (Bond™ Polymer Refine Detection). Positive staining on immune cells of mouse colon. The section was incubated with ab313390 for 30 mins at room temperature.The immunostaining was performed on a Leica Biosystems BOND® RX instrument. Incubate slides with 3% Hydrogen Peroxide for 10 mins at room temperature after secondary antibody incubation to reduce the background. Counterstained with Hematoxylin. Secondary antibody only control : Secondary antibody is a ready to use LeicaDS9800 (Bond™ Polymer Refine Detection). Heat mediated antigen retrieval was performed with Tris-EDTA buffer (pH 9.0, Epitope Retrieval Solution2) for 20 mins

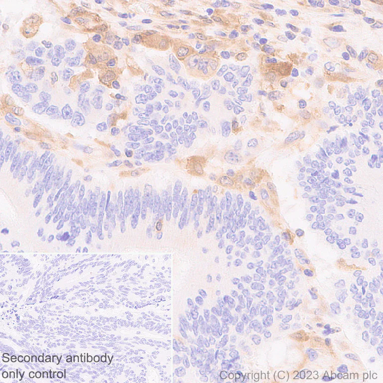
Immunohistochemistry (Formalin/PFA-fixed paraffin-embedded sections) - Anti-GBP5 antibody [EPR28367-83] - BSA and Azide free (AB313391)
  • IHC-P

Supplier Data

Immunohistochemistry (Formalin/PFA-fixed paraffin-embedded sections) - Anti-GBP5 antibody [EPR28367-83] - BSA and Azide free (AB313391)

This data was developed using ab313390, the same antibody clone in a different buffer formulation. Immunohistochemical analysis of paraffin-embedded Mouse glioblastoma tissue labeling GBP5 with ab313390 at 1/2000 (0.254 ug/ml) followed by a ready to use LeicaDS9800 (Bond™ Polymer Refine Detection). Positive staining on mouse glioblastoma. The section was incubated with ab313390 for 30 mins at room temperature. The immunostaining was performed on a Leica Biosystems BOND® RX instrument. Incubate slides with 3% Hydrogen Peroxide for 10 mins at room temperature after secondary antibody incubation to reduce the background. Counterstained with Hematoxylin. Secondary antibody only control : Secondary antibody is a ready to use LeicaDS9800 (Bond™ Polymer Refine Detection). Heat mediated antigen retrieval was performed with Tris-EDTA buffer (pH 9.0, Epitope Retrieval Solution2) for 20 mins

Immunohistochemistry (Formalin/PFA-fixed paraffin-embedded sections) - Anti-GBP5 antibody [EPR28367-83] - BSA and Azide free (AB313391)
  • IHC-P

Supplier Data

Immunohistochemistry (Formalin/PFA-fixed paraffin-embedded sections) - Anti-GBP5 antibody [EPR28367-83] - BSA and Azide free (AB313391)

This data was developed using ab313390, the same antibody clone in a different buffer formulation. Immunohistochemical analysis of paraffin-embedded Rat colon tissue labeling GBP5 with ab313390 at 1/2000 (0.254 ug/ml) followed by a ready to use LeicaDS9800 (Bond™ Polymer Refine Detection). Positive staining on immune cells of rat colon. The section was incubated with ab313390 for 30 mins at room temperature.The immunostaining was performed on a Leica Biosystems BOND® RX instrument. Incubate slides with 3% Hydrogen Peroxide for 10 mins at room temperature after secondary antibody incubation to reduce the background. Counterstained with Hematoxylin. Secondary antibody only control : Secondary antibody is a ready to use LeicaDS9800 (Bond™ Polymer Refine Detection). Heat mediated antigen retrieval was performed with Tris-EDTA buffer (pH 9.0, Epitope Retrieval Solution2) for 20 mins

Immunocytochemistry/ Immunofluorescence - Anti-GBP5 antibody [EPR28367-83] - BSA and Azide free (AB313391)
  • ICC/IF

Supplier Data

Immunocytochemistry/ Immunofluorescence - Anti-GBP5 antibody [EPR28367-83] - BSA and Azide free (AB313391)

This data was developed using ab313390, the same antibody clone in a different buffer formulation. Immunofluorescent analysis of 4% Paraformaldehyde-fixed, 0.1% TritonX-100 permeabilized J774A.1 (mouse reticulum cell sarcoma monocyte/macrophage) cells labelling GBP5 with ab313390 at 1/50 (10.14 ug/ml) dilution, followed by ab150081 Goat Anti-Rabbit IgG H&L (Alexa Fluor® 488) preadsorbed antibody at 1/1000 2 ug/ml dilution (Green). Confocal image showing cytoplasmic staining in J774A.1 cells treated with 1 µg/mL LPS (lipopolysaccharide) and 200 ng/mL IFN gamma (mouse) for 24 hours, while showing no staining in untreated J774A.1 cells.Image was taken with a confocal microscope(Leica-Microsystems, TCS SP8). is observed. ab195889 Anti-alpha Tubulin mouse monoclonal antibody - Microtubule Marker (Alexa Fluor® 594) was used to counterstain tubulin at 1/200 2.5ug/ml dilution (Red). The Nuclear counterstain was DAPI (Blue). Secondary antibody only control : Secondary antibody is ab150081 Goat Anti-Rabbit IgG H&L (Alexa Fluor® 488) preadsorbed at 1/1000 2 ug/ml dilution.

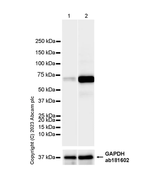
Western blot - Anti-GBP5 antibody [EPR28367-83] - BSA and Azide free (AB313391)
  • WB

Supplier Data

Western blot - Anti-GBP5 antibody [EPR28367-83] - BSA and Azide free (AB313391)

This data was developed using ab313390, the same antibody clone in a different buffer formulation. Blocking and diluting buffer and concentration : 5% NFDM/TBST Low expression : brain(PMID : 33608513). In Western blot, anti-GAPDH antibody (ab181602) loading control staining at 1/200000 dilution. Exposure time : 180 seconds

All lanes:

Western blot - Anti-GBP5 antibody [EPR28367-83] (<a href='/en-us/products/primary-antibodies/gbp5-antibody-epr28367-83-ab313390'>ab313390</a>) at 1/1000 dilution

Lane 1:

Human colon tissue lysate at 20 µg

Lane 2:

Human brain tissue lysate at 20 µg

Secondary

All lanes:

Western blot - Goat Anti-Rabbit IgG H&L (HRP) (<a href='/en-us/products/secondary-antibodies/goat-rabbit-igg-h-l-hrp-ab97051'>ab97051</a>) at 1/100000 dilution

Observed band size: 66 kDa

false

Exposure time: 180s

Western blot - Anti-GBP5 antibody [EPR28367-83] - BSA and Azide free (AB313391)
  • WB

Supplier Data

Western blot - Anti-GBP5 antibody [EPR28367-83] - BSA and Azide free (AB313391)

This data was developed using ab313390, the same antibody clone in a different buffer formulation. Blocking and diluting buffer and concentration : 5% NFDM/TBST The cell induction condition was referenced from literature(PMID : 22461501). In Western blot, anti-GAPDH antibody (ab181602) loading control staining at 1/200000 dilution. Exposure time : Lane1-2 : 180 seconds, lane3-4 : 15 seconds

All lanes:

Western blot - Anti-GBP5 antibody [EPR28367-83] (<a href='/en-us/products/primary-antibodies/gbp5-antibody-epr28367-83-ab313390'>ab313390</a>) at 1/1000 dilution

Lane 1:

Untreated HeLa (human cervical adenocarcinoma epithelial cell) whole cell lysate at 20 µg

Lane 2:

HeLa treated with /ml IFN alpha for 16 hours whole cell lysate at 20 µg

Lane 3:

Untreated THP-1 (human monocytic leukemia monocyte) whole cell lysate at 20 µg

Lane 4:

THP-1 treated with /ml LPS and IFN gamma for 24 hours whole cell lysate at 20 µg

Secondary

All lanes:

Western blot - Goat Anti-Rabbit IgG H&L (HRP) (<a href='/en-us/products/secondary-antibodies/goat-rabbit-igg-h-l-hrp-ab97051'>ab97051</a>) at 1/100000 dilution

Observed band size: 66 kDa

false

Western blot - Anti-GBP5 antibody [EPR28367-83] - BSA and Azide free (AB313391)
  • WB

Supplier Data

Western blot - Anti-GBP5 antibody [EPR28367-83] - BSA and Azide free (AB313391)

This data was developed using ab313390, the same antibody clone in a different buffer formulation. Blocking and diluting buffer and concentration : 5% NFDM/TBST The cell induction condition was referenced from literature(PMID : 22461501). In Western blot, anti-GAPDH antibody (ab181602) loading control staining at 1/200000 dilution. Exposure time : 15 seconds

All lanes:

Western blot - Anti-GBP5 antibody [EPR28367-83] (<a href='/en-us/products/primary-antibodies/gbp5-antibody-epr28367-83-ab313390'>ab313390</a>) at 1/1000 dilution

Lane 1:

Untreated J774A.1 (Mouse reticum cell sarcoma monocyte macrophage) whole cell lysate at 20 µg

Lane 2:

J774A.1 treated with /ml LPS and IFN gamma for 24 hours, was then added for an additional 300ng/ml BFA for last 20 hours whole cell lysate at 20 µg

Secondary

All lanes:

Western blot - Goat Anti-Rabbit IgG H&L (HRP) (<a href='/en-us/products/secondary-antibodies/goat-rabbit-igg-h-l-hrp-ab97051'>ab97051</a>) at 1/100000 dilution

Observed band size: 66 kDa

false

Exposure time: 15s

Key facts

Host species

Rabbit

Clonality

Monoclonal

Clone number

EPR28367-83

Isotype

IgG

Carrier free

Yes

Reacts with

Human, Mouse, Rat

Applications

WB, IHC-P, ICC/IF, Flow Cyt (Intra)

applications

Immunogen

The exact immunogen used to generate this antibody is proprietary information.

Reactivity data

{ "title": "Reactivity Data", "filters": { "stats": ["", "Species", "Dilution Info", "Notes"], "tabs": { "all-applications": {"fullname" : "All Applications", "shortname": "All Applications"}, "FlowCytIntra" : {"fullname" : "Flow Cytometry (Intracellular)", "shortname":"Flow Cyt (Intra)"}, "WB" : {"fullname" : "Western blot", "shortname":"WB"}, "ICCIF" : {"fullname" : "Immunocytochemistry/ Immunofluorescence", "shortname":"ICC/IF"}, "IHCP" : {"fullname" : "Immunohistochemistry (Formalin/PFA-fixed paraffin-embedded sections)", "shortname":"IHC-P"}, "IP" : {"fullname" : "Immunoprecipitation", "shortname":"IP"} }, "product-promise": { "all": "all", "testedAndGuaranteed": "tested", "guaranteed": "expected", "predicted": "predicted", "notRecommended": "not-recommended" } }, "values": { "Human": { "FlowCytIntra-species-checked": "testedAndGuaranteed", "FlowCytIntra-species-dilution-info": "", "FlowCytIntra-species-notes": "<p></p>", "WB-species-checked": "testedAndGuaranteed", "WB-species-dilution-info": "", "WB-species-notes": "<p></p>", "ICCIF-species-checked": "testedAndGuaranteed", "ICCIF-species-dilution-info": "", "ICCIF-species-notes": "<p></p>", "IHCP-species-checked": "testedAndGuaranteed", "IHCP-species-dilution-info": "", "IHCP-species-notes": "<p></p>", "IP-species-checked": "notRecommended", "IP-species-dilution-info": "", "IP-species-notes": "<p></p>" }, "Mouse": { "FlowCytIntra-species-checked": "testedAndGuaranteed", "FlowCytIntra-species-dilution-info": "", "FlowCytIntra-species-notes": "<p></p>", "WB-species-checked": "testedAndGuaranteed", "WB-species-dilution-info": "", "WB-species-notes": "<p></p>", "ICCIF-species-checked": "testedAndGuaranteed", "ICCIF-species-dilution-info": "", "ICCIF-species-notes": "<p></p>", "IHCP-species-checked": "testedAndGuaranteed", "IHCP-species-dilution-info": "", "IHCP-species-notes": "<p></p>", "IP-species-checked": "notRecommended", "IP-species-dilution-info": "", "IP-species-notes": "" }, "Rat": { "FlowCytIntra-species-checked": "guaranteed", "FlowCytIntra-species-dilution-info": "", "FlowCytIntra-species-notes": "", "WB-species-checked": "notRecommended", "WB-species-dilution-info": "", "WB-species-notes": "<p></p>", "ICCIF-species-checked": "guaranteed", "ICCIF-species-dilution-info": "", "ICCIF-species-notes": "", "IHCP-species-checked": "testedAndGuaranteed", "IHCP-species-dilution-info": "", "IHCP-species-notes": "<p></p>", "IP-species-checked": "notRecommended", "IP-species-dilution-info": "", "IP-species-notes": "" } } }

Product details

Patented technology
Our RabMAb® technology is a patented hybridoma-based technology for making rabbit monoclonal antibodies. For details on our patents, please refer to RabMAb® patents.

What are the advantages of a recombinant monoclonal antibody?
This product is a recombinant monoclonal antibody, which offers several advantages including:

  • - High batch-to-batch consistency and reproducibility
  • - Improved sensitivity and specificity
  • - Long-term security of supply
  • - Animal-free batch production

For more information, read more on recombinant antibodies.

Conjugation ready
Our carrier-free antibodies are typically supplied in a PBS-only formulation, purified and free of BSA, sodium azide and glycerol. This conjugation-ready format is designed for use with fluorochromes, metal isotopes, oligonucleotides, and enzymes, which makes them ideal for antibody labelling, functional and cell-based assays, flow-based assays (e.g. mass cytometry) and Multiplex Imaging applications.

Use our conjugation kits for antibody conjugates that are ready-to-use in as little as 20 minutes with 1 minute hands-on-time and 100% antibody recovery: available for fluorescent dyes, HRP, biotin and gold.

Compatibility
This product is compatible with the Maxpar® Antibody Labeling Kit from Fluidigm, without the need for antibody preparation. Maxpar® is a trademark of Fluidigm Canada Inc.

Properties and storage information

Form
Liquid
Purification technique
Affinity purification Protein A
Storage buffer
pH: 7.2 - 7.4 Constituents: PBS
Shipped at conditions
Blue Ice
Appropriate short-term storage conditions
+4°C
Appropriate long-term storage conditions
+4°C

Supplementary information

This supplementary information is collated from multiple sources and compiled automatically.

GBP5 or Guanylate Binding Protein 5 serves an important role in the immune response particularly within the innate immune system. GBP5 is a GTPase with a molecular mass of approximately 71 kDa. It expresses in a variety of tissues including immune cells like macrophages and lymphocytes. Its mechanical function involves binding to guanosine triphosphate (GTP) and converting it to guanosine diphosphate (GDP) a process which then triggers further downstream immune responses.
Biological function summary

GBP5 acts in immune defense against intracellular pathogens. It forms part of a multiprotein complex that can directly target and destroy bacterial membranes. GBP5 enhances the cell-autonomous immunity by promoting inflammasome activation which boosts cytokine production leading to a stronger inflammatory response. Its activity reflects in the ability of immune cells to restrict the growth of certain pathogens hence forming an important part of the host defense mechanism.

Pathways

GBP5 is part of the interferon-gamma signaling pathway. This pathway engages in regulating immune responses during infections particularly by modulating the activity of other immune-related proteins such as GBP1 and GBP2. GBP5 links to the NF-kB pathway as well where it helps regulation of inflammatory responses. The efficient functioning of these pathways ensures that immune responses remain robust and effective against pathogens.

GBP5 is linked to tuberculosis and Crohn’s disease. Its role in immune responses impacts how efficiently the body can deal with intracellular mycobacterial infections typical of tuberculosis. In Crohn’s disease GBP5 associates with inflammatory processes that drive pathology. Through these conditions GBP5 often interfaces with proteins like NOD2 which shares a similar role in recognizing and responding to microbial components.

Product protocols

For this product, it's our understanding that no specific protocols are required. You can visit:

Target data

Interferon (IFN)-inducible GTPase that plays important roles in innate immunity against a diverse range of bacterial, viral and protozoan pathogens (By similarity). Hydrolyzes GTP, but in contrast to other family members, does not produce GMP (PubMed : 20180847). Following infection, recruited to the pathogen-containing vacuoles or vacuole-escaped bacteria and acts as a positive regulator of inflammasome assembly by promoting the release of inflammasome ligands from bacteria (By similarity). Acts by promoting lysis of pathogen-containing vacuoles, releasing pathogens into the cytosol (By similarity). Following pathogen release in the cytosol, promotes recruitment of proteins that mediate bacterial cytolysis : this liberates ligands that are detected by inflammasomes, such as lipopolysaccharide (LPS) that activates the non-canonical CASP4/CASP11 inflammasome or double-stranded DNA (dsDNA) that activates the AIM2 inflammasome (By similarity). As an activator of NLRP3 inflammasome assembly : promotes selective NLRP3 inflammasome assembly in response to microbial and soluble, but not crystalline, agents (PubMed : 22461501). Independently of its GTPase activity, acts as an inhibitor of various viruses infectivity, such as HIV-1, Zika and influenza A viruses, by inhibiting FURIN-mediated maturation of viral envelope proteins (PubMed : 26996307, PubMed : 31091448).. Antigenic tumor-specific truncated splice form.
See full target information GBP5

Product promise

We are committed to supporting your work with high-quality reagents, and we're here for you every step of the way. In the unlikely event that one of our products does not perform as expected, you're protected by our Product Promise.
For full details, please see our Terms & Conditions

Please note: All products are 'FOR RESEARCH USE ONLY. NOT FOR USE IN DIAGNOSTIC OR THERAPEUTIC PROCEDURES'.

For licensing inquiries, please contact partnerships@abcam.com