JavaScript is disabled in your browser. Please enable JavaScript to view this website.
AB122404

Anti-GC-C antibody

4

(1 Review)

|

(3 Publications)

Rabbit Polyclonal GC-C antibody. Suitable for IHC-P and reacts with Human samples. Cited in 3 publications. Immunogen corresponding to Recombinant Fragment Protein within Human GUCY2C aa 950 to C-terminus.

View Alternative Names

GUC2C, STAR, GUCY2C, Guanylyl cyclase C, GC-C, Heat-stable enterotoxin receptor, Intestinal guanylate cyclase, STA receptor, hSTAR

2 Images
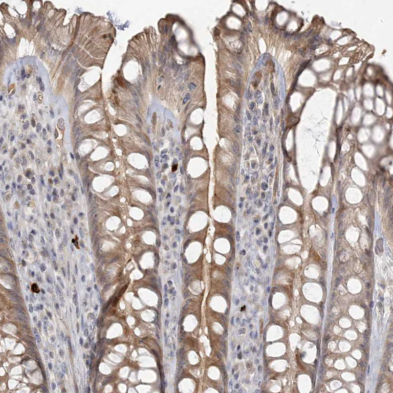
Immunohistochemistry (Formalin/PFA-fixed paraffin-embedded sections) - Anti-GC-C antibody (AB122404)
  • IHC-P

Unknown

Immunohistochemistry (Formalin/PFA-fixed paraffin-embedded sections) - Anti-GC-C antibody (AB122404)

Immunohistochemical analysis of human small intestine tissue labeling GC-C with ab122404 at 1/500 dilution.

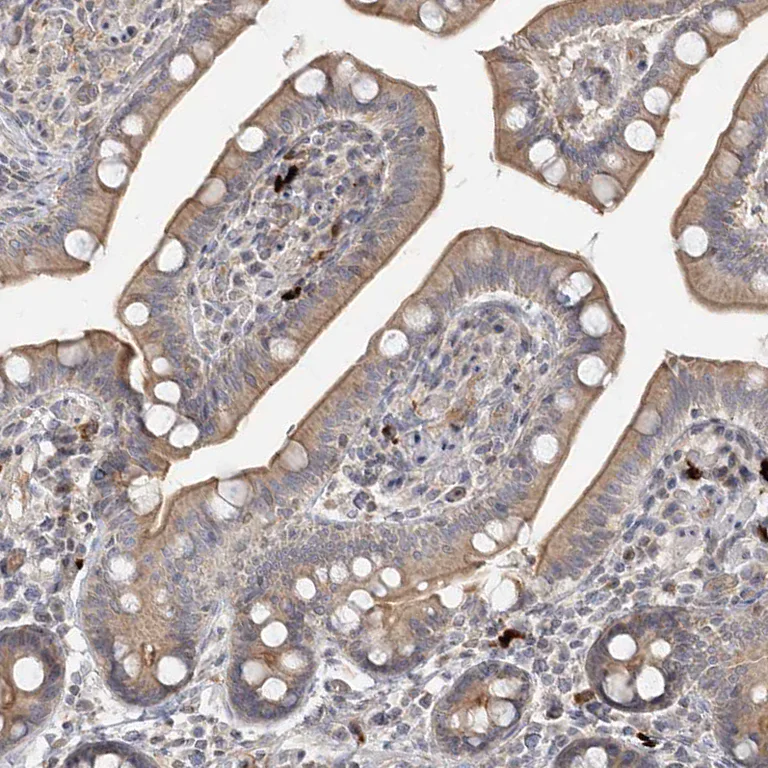
Immunohistochemistry (Formalin/PFA-fixed paraffin-embedded sections) - Anti-GC-C antibody (AB122404)
  • IHC-P

Unknown

Immunohistochemistry (Formalin/PFA-fixed paraffin-embedded sections) - Anti-GC-C antibody (AB122404)

Immunohistochemical analysis of human rectum tissue labeling GC-C with ab122404 at 1/500 dilution.

Key facts

Host species

Rabbit

Clonality

Polyclonal

Isotype

IgG

Carrier free

No

Reacts with

Human

Applications

IHC-P

applications

Immunogen

Recombinant Fragment Protein within Human GUCY2C aa 950 to C-terminus. The exact immunogen used to generate this antibody is proprietary information.

P25092

Reactivity data

{ "title": "Reactivity Data", "filters": { "stats": ["", "Species", "Dilution Info", "Notes"], "tabs": { "all-applications": {"fullname" : "All Applications", "shortname": "All Applications"}, "IHCP" : {"fullname" : "Immunohistochemistry (Formalin/PFA-fixed paraffin-embedded sections)", "shortname":"IHC-P"} }, "product-promise": { "all": "all", "testedAndGuaranteed": "tested", "guaranteed": "expected", "predicted": "predicted", "notRecommended": "not-recommended" } }, "values": { "Human": { "IHCP-species-checked": "testedAndGuaranteed", "IHCP-species-dilution-info": "1/200 - 1/500", "IHCP-species-notes": "<p></p> Perform heat-mediated antigen retrieval with citrate buffer pH 6 before commencing with IHC staining protocol." } } }

Properties and storage information

Form
Liquid
Purification technique
Affinity purification Immunogen
Storage buffer
pH: 7.2 Preservative: 0.02% Sodium azide Constituents: PBS, 40% Glycerol (glycerin, glycerine)
Shipped at conditions
Blue Ice
Appropriate short-term storage conditions
+4°C
Appropriate long-term storage conditions
-20°C
Aliquoting information
Upon delivery aliquot
Storage information
Avoid freeze / thaw cycle

Supplementary information

This supplementary information is collated from multiple sources and compiled automatically.

GC-C also known as guanylate cyclase C is an enzyme with mass around 120 kDa expressed mainly in the intestinal epithelium. This membrane-bound receptor plays an important role in the regulation of fluid and electrolyte balance in the intestine. GC-C gets activated by its ligands including bacterial heat-stable enterotoxins as well as endogenous peptides like guanylin and uroguanylin. Upon activation GC-C catalyzes the conversion of GTP to cGMP thereby initiating a signaling cascade that affects ion transport in intestinal cells.
Biological function summary

GC-C is part of a signaling mechanism involved in maintaining fluid balance and gut homeostasis. The enzyme participates in the cGMP-mediated signaling pathway essential for modulating chloride and bicarbonate ion secretion leading to water loss into the intestinal lumen. GC-C does not work in isolation but cooperates with other molecules to facilitate these functions. Specifically it associates with ion transporters and channels influencing the enteric nervous system.

Pathways

GC-C functions within the cGMP pathway which is critical for intestinal fluid regulation. GC-C also connects with the Wnt signaling pathway an important metabolic relay influencing cell proliferation and differentiation. By producing cGMP GC-C influences down-stream proteins such as protein kinase G (PKG) and cystic fibrosis transmembrane conductance regulator (CFTR). These proteins play pivotal roles in maintaining the physiological processes in the intestine.

GC-C relates to irritable bowel syndrome (IBS) and colorectal cancer. Overactivation of GC-C by bacterial toxins can lead to enterotoxigenic diarrhea common in IBS. Its role in colorectal cancer arises from dysregulated signaling pathways affecting cellular growth. Mutations and alterations in GC-C expression may contribute to cancer progression. Furthermore GC-C-related dysregulation can involve other proteins like E-cadherin which modulates cell adhesion in tumor pathways complicating disease dynamics.

Product protocols

For this product, it's our understanding that no specific protocols are required. You can visit:

Target data

Guanylyl cyclase that catalyzes synthesis of cyclic GMP (cGMP) from GTP (PubMed : 11950846, PubMed : 1718270, PubMed : 22436048, PubMed : 22521417, PubMed : 23269669). Receptor for the E.coli heat-stable enterotoxin; E.coli enterotoxin markedly stimulates the accumulation of cGMP in mammalian cells expressing GUCY2C (PubMed : 1680854, PubMed : 1718270). Also activated by the endogenous peptides guanylin and uroguanylin (PubMed : 8381596).
See full target information GUCY2C

Publications (3)

Recent publications for all applications. Explore the full list and refine your search

Journal of oncology 2022:9775736 PubMed36276271

2022

A Machine Learning Workflow of Multiplexed Immunofluorescence Images to Interrogate Activator and Tolerogenic Profiles of Conventional Type 1 Dendritic Cells Infiltrating Melanomas of Disease-Free and Metastatic Patients.

Applications

Unspecified application

Species

Unspecified reactive species

Saraí G De León Rodríguez,Paúl Hernández Herrera,Cristina Aguilar Flores,Vadim Pérez Koldenkova,Adán Guerrero,Alejandra Mantilla,Ezequiel M Fuentes-Pananá,Christopher Wood,Laura C Bonifaz

Oncotarget 13:156-172 PubMed35070080

2022

Synthesis of a novel nanobioconjugate for targeted photodynamic therapy of colon cancer enhanced with cannabidiol.

Applications

Unspecified application

Species

Unspecified reactive species

Nkune Williams Nkune,Cherie Ann Kruger,Heidi Abrahamse

International journal of molecular sciences 22: PubMed34575942

2021

Targeted Nanoparticle Photodynamic Diagnosis and Therapy of Colorectal Cancer.

Applications

Unspecified application

Species

Unspecified reactive species

Nokuphila Winifred Nompumelelo Simelane,Cherie Ann Kruger,Heidi Abrahamse
View all publications

Product promise

We are committed to supporting your work with high-quality reagents, and we're here for you every step of the way. In the unlikely event that one of our products does not perform as expected, you're protected by our Product Promise.
For full details, please see our Terms & Conditions

Please note: All products are 'FOR RESEARCH USE ONLY. NOT FOR USE IN DIAGNOSTIC OR THERAPEUTIC PROCEDURES'.

For licensing inquiries, please contact partnerships@abcam.com