JavaScript is disabled in your browser. Please enable JavaScript to view this website.
AB101267

Anti-GC1q R antibody

Be the first to review this product! Submit a review

|

(6 Publications)

Rabbit Polyclonal GC1q R antibody. Suitable for IHC-P, IP, WB and reacts with Human, Mouse samples. Cited in 6 publications. Immunogen corresponding to Synthetic Peptide within Human C1QBP aa 150-200.

View Alternative Names

GC1QBP, HABP1, SF2P32, C1QBP, ASF/SF2-associated protein p32, Glycoprotein gC1qBP, Hyaluronan-binding protein 1, Mitochondrial matrix protein p32, gC1q-R protein, p33, C1qBP, SF2AP32

3 Images
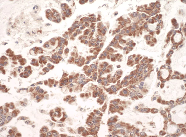
Immunohistochemistry (Formalin/PFA-fixed paraffin-embedded sections) - Anti-GC1q R antibody (AB101267)
  • IHC-P

Unknown

Immunohistochemistry (Formalin/PFA-fixed paraffin-embedded sections) - Anti-GC1q R antibody (AB101267)

Immunohistochemistry (Formalin/PFA-fixed paraffin-embedded sections) analysis of human lung carcinoma tissue labelling GC1q R with ab101267 at 1/1000 (1µg/ml).

Immunoprecipitation - Anti-GC1q R antibody (AB101267)
  • IP

Unknown

Immunoprecipitation - Anti-GC1q R antibody (AB101267)

Detection of Human GC1q R in 1mg HeLa whole cell lysate (20% of IP loaded) using ab101267 at 3µg/mg of lysate. Further Western Blot detection was performed using ab101267 at 0.4µg/ml.
Lane 1 : ab101267 IP.
Lane 2 : control IgG IP.

All lanes:

Immunoprecipitation - Anti-GC1q R antibody (ab101267)

Predicted band size: 31 kDa

false

Western blot - Anti-GC1q R antibody (AB101267)
  • WB

Unknown

Western blot - Anti-GC1q R antibody (AB101267)

All lanes:

Western blot - Anti-GC1q R antibody (ab101267) at 0.1 µg/mL

Lane 1:

HeLa whole cell lysate at 50 µg/mL

Lane 2:

HeLa whole cell lysate at 15 µg/mL

Lane 3:

HeLa whole cell lysate at 5 µg/mL

Lane 4:

293T whole cell lysate at 50 µg/mL

Lane 5:

NIH3T3 whole cell lysate at 50 µg/mL

Predicted band size: 31 kDa

true

Exposure time: 30s

Key facts

Host species

Rabbit

Clonality

Polyclonal

Isotype

IgG

Carrier free

No

Reacts with

Mouse, Human

Applications

IHC-P, WB, IP

applications

Immunogen

Synthetic Peptide within Human C1QBP aa 150-200. The exact immunogen used to generate this antibody is proprietary information.

Q07021

Reactivity data

{ "title": "Reactivity Data", "filters": { "stats": ["", "Species", "Dilution Info", "Notes"], "tabs": { "all-applications": {"fullname" : "All Applications", "shortname": "All Applications"}, "IHCP" : {"fullname" : "Immunohistochemistry (Formalin/PFA-fixed paraffin-embedded sections)", "shortname":"IHC-P"}, "IP" : {"fullname" : "Immunoprecipitation", "shortname":"IP"}, "WB" : {"fullname" : "Western blot", "shortname":"WB"} }, "product-promise": { "all": "all", "testedAndGuaranteed": "tested", "guaranteed": "expected", "predicted": "predicted", "notRecommended": "not-recommended" } }, "values": { "Human": { "IHCP-species-checked": "testedAndGuaranteed", "IHCP-species-dilution-info": "1/500 - 1/2000", "IHCP-species-notes": "<p></p> Perform heat-mediated antigen retrieval with citrate buffer pH 6 before commencing with IHC staining protocol.", "IP-species-checked": "testedAndGuaranteed", "IP-species-dilution-info": "2-5 µg/mg of lysate", "IP-species-notes": "<p></p>", "WB-species-checked": "testedAndGuaranteed", "WB-species-dilution-info": "1/2000 - 1/10000", "WB-species-notes": "<p></p>" }, "Mouse": { "IHCP-species-checked": "guaranteed", "IHCP-species-dilution-info": "", "IHCP-species-notes": "", "IP-species-checked": "guaranteed", "IP-species-dilution-info": "", "IP-species-notes": "", "WB-species-checked": "testedAndGuaranteed", "WB-species-dilution-info": "1/2000 - 1/10000", "WB-species-notes": "<p></p>" }, "Bat": { "IHCP-species-checked": "predicted", "IHCP-species-dilution-info": "", "IHCP-species-notes": "", "IP-species-checked": "predicted", "IP-species-dilution-info": "", "IP-species-notes": "", "WB-species-checked": "predicted", "WB-species-dilution-info": "", "WB-species-notes": "" }, "Chimpanzee": { "IHCP-species-checked": "predicted", "IHCP-species-dilution-info": "", "IHCP-species-notes": "", "IP-species-checked": "predicted", "IP-species-dilution-info": "", "IP-species-notes": "", "WB-species-checked": "predicted", "WB-species-dilution-info": "", "WB-species-notes": "" }, "Gorilla": { "IHCP-species-checked": "predicted", "IHCP-species-dilution-info": "", "IHCP-species-notes": "", "IP-species-checked": "predicted", "IP-species-dilution-info": "", "IP-species-notes": "", "WB-species-checked": "predicted", "WB-species-dilution-info": "", "WB-species-notes": "" }, "Horse": { "IHCP-species-checked": "predicted", "IHCP-species-dilution-info": "", "IHCP-species-notes": "", "IP-species-checked": "predicted", "IP-species-dilution-info": "", "IP-species-notes": "", "WB-species-checked": "predicted", "WB-species-dilution-info": "", "WB-species-notes": "" }, "Orangutan": { "IHCP-species-checked": "predicted", "IHCP-species-dilution-info": "", "IHCP-species-notes": "", "IP-species-checked": "predicted", "IP-species-dilution-info": "", "IP-species-notes": "", "WB-species-checked": "predicted", "WB-species-dilution-info": "", "WB-species-notes": "" } } }

Properties and storage information

Form
Liquid
Purification technique
Affinity purification Immunogen
Storage buffer
pH: 7 - 8 Preservative: 0.09% Sodium azide Constituents: Tris citrate/phosphate
Shipped at conditions
Blue Ice
Appropriate short-term storage conditions
+4°C
Appropriate long-term storage conditions
+4°C
Aliquoting information
Upon delivery aliquot
Storage information
Avoid freeze / thaw cycle

Supplementary information

This supplementary information is collated from multiple sources and compiled automatically.

The gC1qR also known as gC1q-binding protein or C1qbp is a multifunctional protein involved in various cellular processes. It has an approximate mass of 33 kDa and is widely expressed on the cell surface mitochondria and in the cytoplasm of different cell types. gC1qR interacts with several ligands including C1q involved in the classical complement pathway. Its versatility in binding interactions allows it to influence several cellular environments and functions.
Biological function summary

GC1qR takes part in complement activation and immune surveillance by interacting with the complement C1 complex and various plasma proteins. As a component of high-molecular-weight complexes it modulates important cellular processes like inflammation apoptosis and infection regulation. Its presence on the mitochondrial membrane suggests a role in maintaining mitochondrial dynamics and function under stress conditions. By engaging in these arenas gC1qR serves as an intermediary in cellular signaling and immune response.

Pathways

GC1qR is significant in the classical complement pathway and apoptotic signaling pathways. It interacts with proteins like C1q and thrombomodulin influencing complement activation and coagulation pathways. It contributes to the propagation of immune responses by enhancing the interface between innate and adaptive immunity. Its interactions within these pathways highlight its role in maintaining cellular homeostasis and responding to environmental challenges.

GC1qR associates closely with systemic lupus erythematosus and cancer. Dysregulation in its expression or function can lead to aberrant immune responses and contribute to autoimmune diseases. In the context of cancer gC1qR may interact with proteins such as HMGB1 and annexin A2 affecting tumor progression and metastasis. Understanding its role in these disorders aids in exploring potential therapeutic strategies targeting gC1qR interactions.

Product protocols

For this product, it's our understanding that no specific protocols are required. You can visit:

Target data

Multifunctional and multicompartmental protein involved in inflammation and infection processes, ribosome biogenesis, protein synthesis in mitochondria, regulation of apoptosis, transcriptional regulation and pre-mRNA splicing (PubMed : 10022843, PubMed : 10479529, PubMed : 10722602, PubMed : 11086025, PubMed : 11859136, PubMed : 15243141, PubMed : 16140380, PubMed : 16177118, PubMed : 17881511, PubMed : 18676636, PubMed : 19004836, PubMed : 19164550, PubMed : 20810993, PubMed : 21536856, PubMed : 21544310, PubMed : 22700724, PubMed : 28942965, PubMed : 8662673, PubMed : 8710908, PubMed : 9461517). At the cell surface is thought to act as an endothelial receptor for plasma proteins of the complement and kallikrein-kinin cascades (PubMed : 10479529, PubMed : 11859136, PubMed : 8662673, PubMed : 8710908). Putative receptor for C1q; specifically binds to the globular 'heads' of C1q thus inhibiting C1; may perform the receptor function through a complex with C1qR/CD93 (PubMed : 20810993, PubMed : 8195709). In complex with cytokeratin-1/KRT1 is a high affinity receptor for kininogen-1/HMWK (PubMed : 21544310). Can also bind other plasma proteins, such as coagulation factor XII leading to its autoactivation. May function to bind initially fluid kininogen-1 to the cell membrane. The secreted form may enhance both extrinsic and intrinsic coagulation pathways. It is postulated that the cell surface form requires docking with transmembrane proteins for downstream signaling which might be specific for a cell-type or response. By acting as C1q receptor is involved in chemotaxis of immature dendritic cells and neutrophils and is proposed to signal through CD209/DC-SIGN on immature dendritic cells, through integrin alpha-4/beta-1 during trophoblast invasion of the decidua, and through integrin beta-1 during endothelial cell adhesion and spreading (PubMed : 16140380, PubMed : 22700724, PubMed : 9461517). Signaling involved in inhibition of innate immune response is implicating the PI3K-AKT/PKB pathway (PubMed : 16177118). Required for protein synthesis in mitochondria (PubMed : 28942965). In mitochondrial translation may be involved in formation of functional 55S mitoribosomes; the function seems to involve its RNA-binding activity (By similarity). May be involved in the nucleolar ribosome maturation process; the function may involve the exchange of FBL for RRP1 in the association with pre-ribosome particles (By similarity). Involved in regulation of RNA splicing by inhibiting the RNA-binding capacity of SRSF1 and its phosphorylation (PubMed : 10022843, PubMed : 21536856). Is required for the nuclear translocation of splicing factor U2AF1L4 (By similarity). Involved in regulation of CDKN2A- and HRK-mediated apoptosis. Stabilizes mitochondrial CDKN2A isoform smARF (PubMed : 17486078). May be involved in regulation of FOXC1 transcriptional activity and NFY/CCAAT-binding factor complex-mediated transcription (PubMed : 15243141, PubMed : 18676636). May play a role in antibacterial defense as it can bind to cell surface hyaluronan and inhibit Streptococcus pneumoniae hyaluronate lyase (PubMed : 19004836). May be involved in modulation of the immune response; ligation by HCV core protein is resulting in suppression of interleukin-12 production in monocyte-derived dendritic cells (PubMed : 11086025, PubMed : 17881511). Involved in regulation of antiviral response by inhibiting RIGI- and IFIH1-mediated signaling pathways probably involving its association with MAVS after viral infection (PubMed : 19164550). Acts as a regulator of DNA repair via homologous recombination by inhibiting the activity of MRE11 : interacts with unphosphorylated MRE11 and RAD50 in absence of DNA damage, preventing formation and activity of the MRN complex. Following DNA damage, dissociates from phosphorylated MRE11, allowing formation of the MRN complex (PubMed : 31353207).. (Microbial infection) Involved in HIV-1 replication, presumably by contributing to splicing of viral RNA.. (Microbial infection) In infection processes acts as an attachment site for microbial proteins, including Listeria monocytogenes internalin B (InlB) and Staphylococcus aureus protein A.. (Microbial infection) Involved in replication of Rubella virus.
See full target information C1QBP

Publications (6)

Recent publications for all applications. Explore the full list and refine your search

Nucleic acids research 53: PubMed40239991

2025

Autophagy induction enhances homologous recombination-associated CRISPR-Cas9 gene editing.

Applications

Unspecified application

Species

Unspecified reactive species

Hye Jin Nam,Jun Hee Han,Jihyeon Yu,Chang Sik Cho,Dongha Kim,Young Eun Kim,Min Ji Kim,Jeong Hun Kim,Dong Hyun Jo,Sangsu Bae

Journal of experimental & clinical cancer research : CR 43:119 PubMed38641828

2024

N6-methyladenosine-modified circSLCO1B3 promotes intrahepatic cholangiocarcinoma progression via regulating HOXC8 and PD-L1.

Applications

Unspecified application

Species

Unspecified reactive species

Jing Li,Xiaohong Xu,Kaihao Xu,Xueliang Zhou,Kunpeng Wu,Yuan Yao,Zaoqu Liu,Chen Chen,Ling Wang,Zhenqiang Sun,Dechao Jiao,Xinwei Han

International journal of biological sciences 20:516-536 PubMed38169635

2024

p32 regulates glycometabolism and TCA cycle to inhibit ccRCC progression via copper-induced DLAT lipoylation oligomerization.

Applications

Unspecified application

Species

Unspecified reactive species

Shaoping Tian,Rui Wang,Yiting Wang,Ruibing Chen,Tianyu Lin,Xuesong Xiao,Xinyu Liu,Justin Eze Ideozu,Hua Geng,Yong Wang,Dan Yue

International journal of medical sciences 19:842-857 PubMed35693733

2022

C1QBP regulates apoptosis of renal cell carcinoma via modulating xanthine dehydrogenase (XDH) mediated ROS generation.

Applications

Unspecified application

Species

Unspecified reactive species

Yiting Wang,Shuang Liu,Shaoping Tian,Runxuan Du,Tianyu Lin,Xuesong Xiao,Rui Wang,Ruibing Chen,Hua Geng,Saravanan Subramanian,Yuanjie Niu,Yong Wang,Dan Yue

Molecular cancer 21:92 PubMed35366893

2022

Circular RNA MTCL1 promotes advanced laryngeal squamous cell carcinoma progression by inhibiting C1QBP ubiquitin degradation and mediating beta-catenin activation.

Applications

Unspecified application

Species

Unspecified reactive species

Zheng Wang,Anqi Sun,Aihui Yan,Jian Yao,Haibo Huang,Ziming Gao,Tao Han,Jia Gu,Ni Li,Huizhe Wu,Kai Li

Human gene therapy 31:863-880 PubMed32394753

2020

LyP-1-Modified Oncolytic Adenoviruses Targeting Transforming Growth Factor β Inhibit Tumor Growth and Metastases and Augment Immune Checkpoint Inhibitor Therapy in Breast Cancer Mouse Models.

Applications

Unspecified application

Species

Unspecified reactive species

Weidong Xu,Yuefeng Yang,Zebin Hu,Maria Head,Kathy A Mangold,Megan Sullivan,Edward Wang,Poornima Saha,Kamalakar Gulukota,Donald L Helseth,Theresa Guise,Bellur S Prabhkar,Karen Kaul,Hans Schreiber,Prem Seth
View all publications

Product promise

We are committed to supporting your work with high-quality reagents, and we're here for you every step of the way. In the unlikely event that one of our products does not perform as expected, you're protected by our Product Promise.
For full details, please see our Terms & Conditions

Please note: All products are 'FOR RESEARCH USE ONLY. NOT FOR USE IN DIAGNOSTIC OR THERAPEUTIC PROCEDURES'.

For licensing inquiries, please contact partnerships@abcam.com