JavaScript is disabled in your browser. Please enable JavaScript to view this website.
AB270038

Anti-GC1q R antibody [EPR23238-107] - BSA and Azide free

Be the first to review this product! Submit a review

|

(0 Publication)

Rabbit Recombinant Monoclonal GC1q R antibody. Carrier free. Suitable for WB, ICC/IF, Flow Cyt (Intra), IHC-P and reacts with Mouse, Rat, Human samples.

View Alternative Names

GC1QBP, HABP1, SF2P32, C1QBP, ASF/SF2-associated protein p32, Glycoprotein gC1qBP, Hyaluronan-binding protein 1, Mitochondrial matrix protein p32, gC1q-R protein, p33, C1qBP, SF2AP32

7 Images
Flow Cytometry (Intracellular) - Anti-GC1q R antibody [EPR23238-107] - BSA and Azide free (AB270038)
  • Flow Cyt (Intra)

Supplier Data

Flow Cytometry (Intracellular) - Anti-GC1q R antibody [EPR23238-107] - BSA and Azide free (AB270038)

Intracellular flow cytometric analysis of 4% paraformaldehyde fixed 90% methanol permeabilized HeLa (Human cervix adenocarcinoma epithelial cell) cells labeling GC1q R with ab270032 at 1/600 dilution (Red) compared with a Rabbit monoclonal IgG (ab172730) (Black) isotype control and an unlabeled control (cells without incubation with primary antibody and secondary antibody) (Blue). A Goat anti rabbit IgG (Alexa Fluor® 488, ab150077) at 1/2000 dilution was used as the secondary antibody.

This data was developed using the same antibody clone in a different buffer formulation containing PBS, BSA, glycerol, and sodium azide (ab270032).

Immunocytochemistry/ Immunofluorescence - Anti-GC1q R antibody [EPR23238-107] - BSA and Azide free (AB270038)
  • ICC/IF

Supplier Data

Immunocytochemistry/ Immunofluorescence - Anti-GC1q R antibody [EPR23238-107] - BSA and Azide free (AB270038)

Immunofluorescent analysis of 4% Paraformaldehyde-fixed, 0.1% Triton X-100 permeabilized HeLa cells labeling GC1q R with ab270032 at 1/100 dilution, followed by ab150077 Goat Anti-Rabbit IgG H&L (Alexa Fluor® 488) antibody at 1/1000 dilution (Green). Confocal image showing mitochondrial staining in HeLa cell line. ab33985 Anti-COX IV antibody (human) was used to counterstain tubulin at 1/1000 dilution (Red). The nuclear counterstain was DAPI (Blue).

Negative controls :
-ve control 1 : ab270032 at 1/100 dilution followed by ab150120 at 1/1000 dilution.
-ve control 2 : ab150077 at 1/1000 dilution followed by ab33985 at 1/1000 dilution.

This data was developed using the same antibody clone in a different buffer formulation containing PBS, BSA, glycerol, and sodium azide (ab270032).

Immunohistochemistry (Formalin/PFA-fixed paraffin-embedded sections) - Anti-GC1q R antibody [EPR23238-107] - BSA and Azide free (AB270038)
  • IHC-P

Supplier Data

Immunohistochemistry (Formalin/PFA-fixed paraffin-embedded sections) - Anti-GC1q R antibody [EPR23238-107] - BSA and Azide free (AB270038)

Immunohistochemical analysis of paraffin-embedded human cerebral cortex tissue labeling GC1q R with ab270032 at 1/2000 (0.248 μg/ml) followed by a ready to use Rabbit specific IHC polymer detection kit HRP/DAB (ab209101). Positive staining on human cerebral cortex (PMID : 23924515). The section was incubated with ab270032 for 30 mins at room temperature.The immunostaining was performed on a Leica Biosystems BOND® RX instrument Counterstained with hematoxylin. Heat mediated antigen retrieval with Tris-EDTA buffer (pH 9.0, epitope retrieval solution2) for 20 mins.

Secondary antibody only control : Used PBS instead of primary antibody, secondary antibody is a ready to use Rabbit specific IHC polymer detection kit HRP/DAB (ab209101).

This data was developed using the same antibody clone in a different buffer formulation containing PBS, BSA, glycerol, and sodium azide (ab270032).

Immunohistochemistry (Formalin/PFA-fixed paraffin-embedded sections) - Anti-GC1q R antibody [EPR23238-107] - BSA and Azide free (AB270038)
  • IHC-P

Supplier Data

Immunohistochemistry (Formalin/PFA-fixed paraffin-embedded sections) - Anti-GC1q R antibody [EPR23238-107] - BSA and Azide free (AB270038)

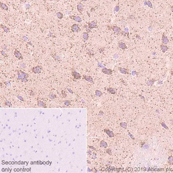
Immunohistochemical analysis of paraffin-embedded mouse cerebral cortex tissue labeling GC1q R with ab270032 at 1/2000 (0.248 μg/ml) followed by a ready to use Rabbit specific IHC polymer detection kit HRP/DAB (ab209101). Positive staining on mouse cerebral cortex (PMID : 9414106). The section was incubated with ab270032 for 30 mins at room temperature.The immunostaining was performed on a Leica Biosystems BOND® RX instrument Counterstained with hematoxylin. Heat mediated antigen retrieval with Tris-EDTA buffer (pH 9.0, epitope retrieval solution2) for 20 mins.

Secondary antibody only control : Used PBS instead of primary antibody, secondary antibody is a ready to use Rabbit specific IHC polymer detection kit HRP/DAB (ab209101).

This data was developed using the same antibody clone in a different buffer formulation containing PBS, BSA, glycerol, and sodium azide (ab270032).

Immunohistochemistry (Formalin/PFA-fixed paraffin-embedded sections) - Anti-GC1q R antibody [EPR23238-107] - BSA and Azide free (AB270038)
  • IHC-P

Supplier Data

Immunohistochemistry (Formalin/PFA-fixed paraffin-embedded sections) - Anti-GC1q R antibody [EPR23238-107] - BSA and Azide free (AB270038)

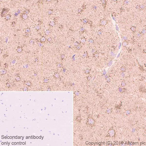
Immunohistochemical analysis of paraffin-embedded rat cerebral cortex tissue labeling GC1q R with ab270032 at 1/2000 (0.248 μg/ml) followed by a ready to use Rabbit specific IHC polymer detection kit HRP/DAB (ab209101). Positive staining on rat cerebral cortex (PMID : 9414106). The section was incubated with ab270032 for 30 mins at room temperature.The immunostaining was performed on a Leica Biosystems BOND® RX instrument Counterstained with hematoxylin. Heat mediated antigen retrieval with Tris-EDTA buffer (pH 9.0, epitope retrieval solution2) for 20 mins.

Secondary antibody only control : Used PBS instead of primary antibody, secondary antibody is a ready to use Rabbit specific IHC polymer detection kit HRP/DAB (ab209101).

This data was developed using the same antibody clone in a different buffer formulation containing PBS, BSA, glycerol, and sodium azide (ab270032).

Flow Cytometry (Intracellular) - Anti-GC1q R antibody [EPR23238-107] - BSA and Azide free (AB270038)
  • Flow Cyt (Intra)

Supplier Data

Flow Cytometry (Intracellular) - Anti-GC1q R antibody [EPR23238-107] - BSA and Azide free (AB270038)

Intracellular flow cytometric analysis of 4% paraformaldehyde fixed 90% methanol permeabilized C2C12 (Mouse myoblasts myoblast) cells labeling GC1q R with ab270032 at 1/600 dilution (Red) compared with a Rabbit monoclonal IgG (ab172730) (Black) isotype control and an unlabeled control (cells without incubation with primary antibody and secondary antibody) (Blue). A Goat anti rabbit IgG (Alexa Fluor® 488, ab150077) at 1/2000 dilution was used as the secondary antibody.

This data was developed using the same antibody clone in a different buffer formulation containing PBS, BSA, glycerol, and sodium azide (ab270032).

Immunocytochemistry/ Immunofluorescence - Anti-GC1q R antibody [EPR23238-107] - BSA and Azide free (AB270038)
  • ICC/IF

Supplier Data

Immunocytochemistry/ Immunofluorescence - Anti-GC1q R antibody [EPR23238-107] - BSA and Azide free (AB270038)

Immunofluorescent analysis of 4% Paraformaldehyde-fixed, 0.1% Triton X-100 permeabilized C2C12 cells labeling GC1q R with ab270032 at 1/100 dilution, followed by ab150077 Goat Anti-Rabbit IgG H&L (Alexa Fluor® 488) antibody at 1/1000 dilution (Green). Confocal image showing mitochondrial staining in C2C12 cell line. ab33985 Anti-COX IV antibody (human) was used to counterstain tubulin at 1/1000 dilution (Red). The nuclear counterstain was DAPI (Blue).

Negative controls :
-ve control 1 : ab270032 at 1/100 dilution followed by ab150120 at 1/1000 dilution.
-ve control 2 : ab150077 at 1/1000 dilution followed by ab33985 at 1/1000 dilution.

This data was developed using the same antibody clone in a different buffer formulation containing PBS, BSA, glycerol, and sodium azide (ab270032).

Key facts

Host species

Rabbit

Clonality

Monoclonal

Clone number

EPR23238-107

Isotype

IgG

Carrier free

Yes

Reacts with

Mouse, Rat, Human

Applications

Flow Cyt (Intra), IHC-P, ICC/IF, WB

applications

Immunogen

The exact immunogen used to generate this antibody is proprietary information.

Reactivity data

{ "title": "Reactivity Data", "filters": { "stats": ["", "Species", "Dilution Info", "Notes"], "tabs": { "all-applications": {"fullname" : "All Applications", "shortname": "All Applications"}, "WB" : {"fullname" : "Western blot", "shortname":"WB"}, "ICCIF" : {"fullname" : "Immunocytochemistry/ Immunofluorescence", "shortname":"ICC/IF"}, "FlowCytIntra" : {"fullname" : "Flow Cytometry (Intracellular)", "shortname":"Flow Cyt (Intra)"}, "IHCP" : {"fullname" : "Immunohistochemistry (Formalin/PFA-fixed paraffin-embedded sections)", "shortname":"IHC-P"}, "IP" : {"fullname" : "Immunoprecipitation", "shortname":"IP"} }, "product-promise": { "all": "all", "testedAndGuaranteed": "tested", "guaranteed": "expected", "predicted": "predicted", "notRecommended": "not-recommended" } }, "values": { "Human": { "WB-species-checked": "guaranteed", "WB-species-dilution-info": "", "WB-species-notes": "<p></p>", "ICCIF-species-checked": "testedAndGuaranteed", "ICCIF-species-dilution-info": "", "ICCIF-species-notes": "<p></p>", "FlowCytIntra-species-checked": "testedAndGuaranteed", "FlowCytIntra-species-dilution-info": "", "FlowCytIntra-species-notes": "<p></p>", "IHCP-species-checked": "testedAndGuaranteed", "IHCP-species-dilution-info": "", "IHCP-species-notes": "<p></p>", "IP-species-checked": "notRecommended", "IP-species-dilution-info": "", "IP-species-notes": "<p></p>" }, "Mouse": { "WB-species-checked": "guaranteed", "WB-species-dilution-info": "", "WB-species-notes": "<p></p>", "ICCIF-species-checked": "testedAndGuaranteed", "ICCIF-species-dilution-info": "", "ICCIF-species-notes": "<p></p>", "FlowCytIntra-species-checked": "testedAndGuaranteed", "FlowCytIntra-species-dilution-info": "", "FlowCytIntra-species-notes": "<p></p>", "IHCP-species-checked": "testedAndGuaranteed", "IHCP-species-dilution-info": "", "IHCP-species-notes": "<p></p>", "IP-species-checked": "notRecommended", "IP-species-dilution-info": "", "IP-species-notes": "" }, "Rat": { "WB-species-checked": "guaranteed", "WB-species-dilution-info": "", "WB-species-notes": "<p></p>", "ICCIF-species-checked": "guaranteed", "ICCIF-species-dilution-info": "", "ICCIF-species-notes": "", "FlowCytIntra-species-checked": "guaranteed", "FlowCytIntra-species-dilution-info": "", "FlowCytIntra-species-notes": "", "IHCP-species-checked": "testedAndGuaranteed", "IHCP-species-dilution-info": "", "IHCP-species-notes": "<p></p>", "IP-species-checked": "notRecommended", "IP-species-dilution-info": "", "IP-species-notes": "" } } }

Product details

ab270038 is the carrier-free version of ab270032.

Patented technology
Our RabMAb® technology is a patented hybridoma-based technology for making rabbit monoclonal antibodies. For details on our patents, please refer to RabMAb® patents.

What are the advantages of a recombinant monoclonal antibody?
This product is a recombinant monoclonal antibody, which offers several advantages including:

  • - High batch-to-batch consistency and reproducibility
  • - Improved sensitivity and specificity
  • - Long-term security of supply
  • - Animal-free batch production

For more information, read more on recombinant antibodies.

Conjugation ready
Our carrier-free antibodies are typically supplied in a PBS-only formulation, purified and free of BSA, sodium azide and glycerol. This conjugation-ready format is designed for use with fluorochromes, metal isotopes, oligonucleotides, and enzymes, which makes them ideal for antibody labelling, functional and cell-based assays, flow-based assays (e.g. mass cytometry) and Multiplex Imaging applications.

Use our conjugation kits for antibody conjugates that are ready-to-use in as little as 20 minutes with 1 minute hands-on-time and 100% antibody recovery: available for fluorescent dyes, HRP, biotin and gold.

Compatibility
This product is compatible with the Maxpar® Antibody Labeling Kit from Fluidigm, without the need for antibody preparation. Maxpar® is a trademark of Fluidigm Canada Inc.

Properties and storage information

Form
Liquid
Purification technique
Affinity purification Protein A
Storage buffer
pH: 7.2 - 7.4 Constituents: PBS
Shipped at conditions
Blue Ice
Appropriate short-term storage conditions
+4°C
Appropriate long-term storage conditions
+4°C
Storage information
Do Not Freeze

Supplementary information

This supplementary information is collated from multiple sources and compiled automatically.

The gC1qR also known as gC1q-binding protein or C1qbp is a multifunctional protein involved in various cellular processes. It has an approximate mass of 33 kDa and is widely expressed on the cell surface mitochondria and in the cytoplasm of different cell types. gC1qR interacts with several ligands including C1q involved in the classical complement pathway. Its versatility in binding interactions allows it to influence several cellular environments and functions.
Biological function summary

GC1qR takes part in complement activation and immune surveillance by interacting with the complement C1 complex and various plasma proteins. As a component of high-molecular-weight complexes it modulates important cellular processes like inflammation apoptosis and infection regulation. Its presence on the mitochondrial membrane suggests a role in maintaining mitochondrial dynamics and function under stress conditions. By engaging in these arenas gC1qR serves as an intermediary in cellular signaling and immune response.

Pathways

GC1qR is significant in the classical complement pathway and apoptotic signaling pathways. It interacts with proteins like C1q and thrombomodulin influencing complement activation and coagulation pathways. It contributes to the propagation of immune responses by enhancing the interface between innate and adaptive immunity. Its interactions within these pathways highlight its role in maintaining cellular homeostasis and responding to environmental challenges.

GC1qR associates closely with systemic lupus erythematosus and cancer. Dysregulation in its expression or function can lead to aberrant immune responses and contribute to autoimmune diseases. In the context of cancer gC1qR may interact with proteins such as HMGB1 and annexin A2 affecting tumor progression and metastasis. Understanding its role in these disorders aids in exploring potential therapeutic strategies targeting gC1qR interactions.

Product protocols

For this product, it's our understanding that no specific protocols are required. You can visit:

Target data

Multifunctional and multicompartmental protein involved in inflammation and infection processes, ribosome biogenesis, protein synthesis in mitochondria, regulation of apoptosis, transcriptional regulation and pre-mRNA splicing (PubMed : 10022843, PubMed : 10479529, PubMed : 10722602, PubMed : 11086025, PubMed : 11859136, PubMed : 15243141, PubMed : 16140380, PubMed : 16177118, PubMed : 17881511, PubMed : 18676636, PubMed : 19004836, PubMed : 19164550, PubMed : 20810993, PubMed : 21536856, PubMed : 21544310, PubMed : 22700724, PubMed : 28942965, PubMed : 8662673, PubMed : 8710908, PubMed : 9461517). At the cell surface is thought to act as an endothelial receptor for plasma proteins of the complement and kallikrein-kinin cascades (PubMed : 10479529, PubMed : 11859136, PubMed : 8662673, PubMed : 8710908). Putative receptor for C1q; specifically binds to the globular 'heads' of C1q thus inhibiting C1; may perform the receptor function through a complex with C1qR/CD93 (PubMed : 20810993, PubMed : 8195709). In complex with cytokeratin-1/KRT1 is a high affinity receptor for kininogen-1/HMWK (PubMed : 21544310). Can also bind other plasma proteins, such as coagulation factor XII leading to its autoactivation. May function to bind initially fluid kininogen-1 to the cell membrane. The secreted form may enhance both extrinsic and intrinsic coagulation pathways. It is postulated that the cell surface form requires docking with transmembrane proteins for downstream signaling which might be specific for a cell-type or response. By acting as C1q receptor is involved in chemotaxis of immature dendritic cells and neutrophils and is proposed to signal through CD209/DC-SIGN on immature dendritic cells, through integrin alpha-4/beta-1 during trophoblast invasion of the decidua, and through integrin beta-1 during endothelial cell adhesion and spreading (PubMed : 16140380, PubMed : 22700724, PubMed : 9461517). Signaling involved in inhibition of innate immune response is implicating the PI3K-AKT/PKB pathway (PubMed : 16177118). Required for protein synthesis in mitochondria (PubMed : 28942965). In mitochondrial translation may be involved in formation of functional 55S mitoribosomes; the function seems to involve its RNA-binding activity (By similarity). May be involved in the nucleolar ribosome maturation process; the function may involve the exchange of FBL for RRP1 in the association with pre-ribosome particles (By similarity). Involved in regulation of RNA splicing by inhibiting the RNA-binding capacity of SRSF1 and its phosphorylation (PubMed : 10022843, PubMed : 21536856). Is required for the nuclear translocation of splicing factor U2AF1L4 (By similarity). Involved in regulation of CDKN2A- and HRK-mediated apoptosis. Stabilizes mitochondrial CDKN2A isoform smARF (PubMed : 17486078). May be involved in regulation of FOXC1 transcriptional activity and NFY/CCAAT-binding factor complex-mediated transcription (PubMed : 15243141, PubMed : 18676636). May play a role in antibacterial defense as it can bind to cell surface hyaluronan and inhibit Streptococcus pneumoniae hyaluronate lyase (PubMed : 19004836). May be involved in modulation of the immune response; ligation by HCV core protein is resulting in suppression of interleukin-12 production in monocyte-derived dendritic cells (PubMed : 11086025, PubMed : 17881511). Involved in regulation of antiviral response by inhibiting RIGI- and IFIH1-mediated signaling pathways probably involving its association with MAVS after viral infection (PubMed : 19164550). Acts as a regulator of DNA repair via homologous recombination by inhibiting the activity of MRE11 : interacts with unphosphorylated MRE11 and RAD50 in absence of DNA damage, preventing formation and activity of the MRN complex. Following DNA damage, dissociates from phosphorylated MRE11, allowing formation of the MRN complex (PubMed : 31353207).. (Microbial infection) Involved in HIV-1 replication, presumably by contributing to splicing of viral RNA.. (Microbial infection) In infection processes acts as an attachment site for microbial proteins, including Listeria monocytogenes internalin B (InlB) and Staphylococcus aureus protein A.. (Microbial infection) Involved in replication of Rubella virus.
See full target information C1QBP

Product promise

We are committed to supporting your work with high-quality reagents, and we're here for you every step of the way. In the unlikely event that one of our products does not perform as expected, you're protected by our Product Promise.
For full details, please see our Terms & Conditions

Please note: All products are 'FOR RESEARCH USE ONLY. NOT FOR USE IN DIAGNOSTIC OR THERAPEUTIC PROCEDURES'.

For licensing inquiries, please contact partnerships@abcam.com