JavaScript is disabled in your browser. Please enable JavaScript to view this website.
AB181094

Anti-GCAT antibody [EPR13450] - N-terminal

Be the first to review this product! Submit a review

|

(2 Publications)

Rabbit Recombinant Monoclonal GCAT antibody. N-terminal. Suitable for IHC-P, IP, WB, ICC/IF and reacts with Human samples. Cited in 2 publications.

View Alternative Names

KBL, GCAT, AKB ligase, Aminoacetone synthase, Glycine acetyltransferase

6 Images
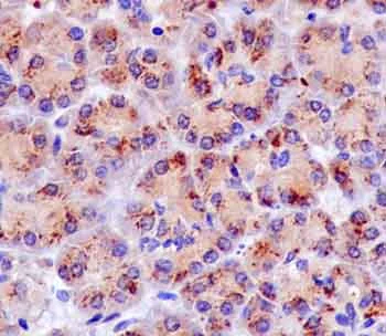
Immunohistochemistry (Formalin/PFA-fixed paraffin-embedded sections) - Anti-GCAT antibody [EPR13450] - N-terminal (AB181094)
  • IHC-P

Supplier Data

Immunohistochemistry (Formalin/PFA-fixed paraffin-embedded sections) - Anti-GCAT antibody [EPR13450] - N-terminal (AB181094)

Immunohistochemical analysis of Human pancreas tissue staining GCAT with ab181094 at 1/100 dilution. Detected using HRP Polymer for Rabbit IgG and counter-stained using hematoxylin.

Perform heat mediated antigen retrieval with citrate buffer pH 6 before commencing with IHC staining protocol.

Immunohistochemistry (Formalin/PFA-fixed paraffin-embedded sections) - Anti-GCAT antibody [EPR13450] - N-terminal (AB181094)
  • IHC-P

Supplier Data

Immunohistochemistry (Formalin/PFA-fixed paraffin-embedded sections) - Anti-GCAT antibody [EPR13450] - N-terminal (AB181094)

Immunohistochemical analysis of Human heart tissue staining GCAT with ab181094 at 1/100 dilution. Detected using HRP Polymer for Rabbit IgG and counter-stained using hematoxylin.

Perform heat mediated antigen retrieval with citrate buffer pH 6 before commencing with IHC staining protocol.

Immunocytochemistry/ Immunofluorescence - Anti-GCAT antibody [EPR13450] - N-terminal (AB181094)
  • ICC/IF

Supplier Data

Immunocytochemistry/ Immunofluorescence - Anti-GCAT antibody [EPR13450] - N-terminal (AB181094)

Immunofluorescence analysis of HepG2 cells staining GCAT (green) with ab181094 at 1/100 dilution. An Alexa Fluor®488-conjugated goat anti-rabbit IgG was used as the secondary antibody at 1/200 dilution. Nuclei were counterstained with DAPI (blue).

Immunoprecipitation - Anti-GCAT antibody [EPR13450] - N-terminal (AB181094)
  • IP

Supplier Data

Immunoprecipitation - Anti-GCAT antibody [EPR13450] - N-terminal (AB181094)

Western blot analysis on immunoprecipitation pellet from HepG2 cell lysate (lane 1) or negative control (lane 2), labeling GCAT immunoprecipitated using ab181094 at 1/40 dilution and HRP-conjugated anti-rabbit IgG preferentially detecting the non-reduced form of rabbit IgG.

All lanes:

Immunoprecipitation - Anti-GCAT antibody [EPR13450] - N-terminal (ab181094)

Predicted band size: 45 kDa

Observed band size: 45 kDa

false

Western blot - Anti-GCAT antibody [EPR13450] - N-terminal (AB181094)
  • WB

Supplier Data

Western blot - Anti-GCAT antibody [EPR13450] - N-terminal (AB181094)

All lanes:

Western blot - Anti-GCAT antibody [EPR13450] - N-terminal (ab181094) at 1/5000 dilution

All lanes:

Human fetal liver tissue lysate

Secondary

All lanes:

Western blot - Goat Anti-Rabbit IgG H&L (HRP) (<a href='/en-us/products/secondary-antibodies/goat-rabbit-igg-h-l-hrp-ab136636'>ab136636</a>) at 1/500 dilution

Predicted band size: 45 kDa

Observed band size: 45 kDa

false

Western blot - Anti-GCAT antibody [EPR13450] - N-terminal (AB181094)
  • WB

Unknown

Western blot - Anti-GCAT antibody [EPR13450] - N-terminal (AB181094)

All lanes:

Western blot - Anti-GCAT antibody [EPR13450] - N-terminal (ab181094) at 1/5000 dilution

Lane 1:

BxPC-3 cell lysate at 20 µg

Lane 2:

HepG2 cell lysate at 20 µg

Lane 3:

U87-MG cell lysate at 20 µg

Secondary

All lanes:

Goat Anti-Rabbit IgG, (H+L), Peroxidase conjugated at 1/1000 dilution

Predicted band size: 45 kDa

Observed band size: 45 kDa

false

  • Carrier free

    Anti-GCAT antibody [EPR13450] - BSA and Azide free

Key facts

Host species

Rabbit

Clonality

Monoclonal

Clone number

EPR13450

Isotype

IgG

Carrier free

No

Reacts with

Human

Applications

ICC/IF, IP, WB, IHC-P

applications

Immunogen

The exact immunogen used to generate this antibody is proprietary information.

Reactivity data

{ "title": "Reactivity Data", "filters": { "stats": ["", "Species", "Dilution Info", "Notes"], "tabs": { "all-applications": {"fullname" : "All Applications", "shortname": "All Applications"}, "IHCP" : {"fullname" : "Immunohistochemistry (Formalin/PFA-fixed paraffin-embedded sections)", "shortname":"IHC-P"}, "IP" : {"fullname" : "Immunoprecipitation", "shortname":"IP"}, "WB" : {"fullname" : "Western blot", "shortname":"WB"}, "ICCIF" : {"fullname" : "Immunocytochemistry/ Immunofluorescence", "shortname":"ICC/IF"} }, "product-promise": { "all": "all", "testedAndGuaranteed": "tested", "guaranteed": "expected", "predicted": "predicted", "notRecommended": "not-recommended" } }, "values": { "Human": { "IHCP-species-checked": "testedAndGuaranteed", "IHCP-species-dilution-info": "1/50 - 1/100", "IHCP-species-notes": "<p></p>", "IP-species-checked": "testedAndGuaranteed", "IP-species-dilution-info": "1/40", "IP-species-notes": "<p></p>", "WB-species-checked": "testedAndGuaranteed", "WB-species-dilution-info": "1/1000 - 1/10000", "WB-species-notes": "<p></p>", "ICCIF-species-checked": "testedAndGuaranteed", "ICCIF-species-dilution-info": "1/50 - 1/100", "ICCIF-species-notes": "<p></p>" }, "Mouse": { "IHCP-species-checked": "predicted", "IHCP-species-dilution-info": "", "IHCP-species-notes": "", "IP-species-checked": "predicted", "IP-species-dilution-info": "", "IP-species-notes": "", "WB-species-checked": "predicted", "WB-species-dilution-info": "", "WB-species-notes": "", "ICCIF-species-checked": "predicted", "ICCIF-species-dilution-info": "", "ICCIF-species-notes": "" }, "Rat": { "IHCP-species-checked": "predicted", "IHCP-species-dilution-info": "", "IHCP-species-notes": "", "IP-species-checked": "predicted", "IP-species-dilution-info": "", "IP-species-notes": "", "WB-species-checked": "predicted", "WB-species-dilution-info": "", "WB-species-notes": "", "ICCIF-species-checked": "predicted", "ICCIF-species-dilution-info": "", "ICCIF-species-notes": "" } } }

Product details

Patented technology
Our RabMAb® technology is a patented hybridoma-based technology for making rabbit monoclonal antibodies. For details on our patents, please refer to RabMAb® patents.

What are the advantages of a recombinant monoclonal antibody?
This product is a recombinant monoclonal antibody, which offers several advantages including:

  • - High batch-to-batch consistency and reproducibility
  • - Improved sensitivity and specificity
  • - Long-term security of supply
  • - Animal-free batch production

For more information, read more on recombinant antibodies.

Properties and storage information

Form
Liquid
Purification technique
Affinity purification Protein A
Storage buffer
Preservative: 0.01% Sodium azide Constituents: PBS, 40% Glycerol (glycerin, glycerine), 0.05% BSA
Shipped at conditions
Blue Ice
Appropriate short-term storage duration
1-2 weeks
Appropriate short-term storage conditions
+4°C
Appropriate long-term storage conditions
-20°C
Aliquoting information
Upon delivery aliquot
Storage information
Avoid freeze / thaw cycle

Supplementary information

This supplementary information is collated from multiple sources and compiled automatically.

GCAT also known as glycine C-acetyltransferase functions as a mitochondrial enzyme involved in glycine metabolism. It has a molecular mass of approximately 44 kDa. Researchers often find GCAT expressed in the liver where it plays a significant role in metabolic processes related to amino acid synthesis and catabolism. Being predominantly cytosolic GCAT contributes to the detoxification pathways by participating in the conversion of glycine to other metabolites.
Biological function summary

In glycine cleavage system GCAT operates as part of a complex essential for the regulation of amino acid levels. The enzyme accepts substrates from reactions facilitated by other components such as T-protein and P-protein and is vital in maintaining the balance of glycine and other amino acids within the cell. Dysfunction in any part of this system can result in elevated levels of toxic metabolic intermediates leading to cellular stress and potential tissue damage.

Pathways

GCAT is an integral element in the mitochondrial glycine cleavage system linking it to broader metabolic pathways such as the Krebs cycle and oxidative phosphorylation. This position between pathways underlines its connection with proteins such as glycine dehydrogenase and aminomethyltransferase. This interconnectedness suggests that imbalances involving GCAT can disrupt metabolic homeostasis influencing energy production at the cellular level.

Defects or dysregulation in GCAT activity link to various metabolic conditions including nonketotic hyperglycinemia and liver diseases. Patients with nonketotic hyperglycinemia show accumulation of glycine leading to neurological issues conditions typically associated with deficiencies in glycine metabolism enzymes like P-protein. In the context of liver diseases alterations in GCAT's function affect the liver's ability to process nitrogen highlighting its importance in liver homeostasis and function.

Product protocols

For this product, it's our understanding that no specific protocols are required. You can visit:

Target data

Pyridoxal phosphate (PLP) dependent enzyme, which catalyzes the cleavage of 2-amino-3-oxobutanoate to glycine and acetyl-CoA.
See full target information GCAT

Publications (2)

Recent publications for all applications. Explore the full list and refine your search

Communications biology 6:622 PubMed37296281

2023

Super-enhancer-associated gene CAPG promotes AML progression.

Applications

Unspecified application

Species

Unspecified reactive species

Qian Ma,Minyi Zhao,Bing Long,Haixia Li

FASEB journal : official publication of the Federation of American Societies for Experimental Biology 35:e21344 PubMed33566385

2021

Phosphatase of regenerating liver-3 regulates cancer cell metabolism in multiple myeloma.

Applications

Unspecified application

Species

Unspecified reactive species

Pegah Abdollahi,Esten N Vandsemb,Samah Elsaadi,Lisa M Røst,Rui Yang,Magnus A Hjort,Trygve Andreassen,Kristine Misund,Tobias S Slørdahl,Torstein B Rø,Anne-Marit Sponaas,Siver Moestue,Per Bruheim,Magne Børset
View all publications

Product promise

We are committed to supporting your work with high-quality reagents, and we're here for you every step of the way. In the unlikely event that one of our products does not perform as expected, you're protected by our Product Promise.
For full details, please see our Terms & Conditions

Please note: All products are 'FOR RESEARCH USE ONLY. NOT FOR USE IN DIAGNOSTIC OR THERAPEUTIC PROCEDURES'.

For licensing inquiries, please contact partnerships@abcam.com