JavaScript is disabled in your browser. Please enable JavaScript to view this website.
AB218480

Anti-GCDFP 15 antibody [PIP/1571]

Be the first to review this product! Submit a review

|

(3 Publications)

Mouse Monoclonal GCDFP 15 antibody. Suitable for WB, Protein Array, IHC-P and reacts with Human, Recombinant full length protein - Human samples. Cited in 3 publications. Immunogen corresponding to Recombinant Fragment Protein within Human PIP aa 1 to C-terminus.

View Alternative Names

GCDFP15, GPIP4, PIP, Prolactin-inducible protein, Gross cystic disease fluid protein 15, Prolactin-induced protein, Secretory actin-binding protein, gp17, GCDFP-15, SABP

3 Images
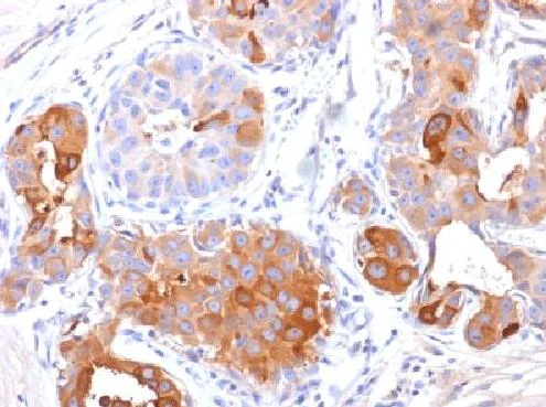
Immunohistochemistry (Formalin/PFA-fixed paraffin-embedded sections) - Anti-GCDFP 15 antibody [PIP/1571] (AB218480)
  • IHC-P

Supplier Data

Immunohistochemistry (Formalin/PFA-fixed paraffin-embedded sections) - Anti-GCDFP 15 antibody [PIP/1571] (AB218480)

Immunohistochemical analysis of formalin-fixed, paraffin-embedded of Human breast carcinoma tissue labeling GCDFP 15 with ab218480 at 1ug/ml.

Protein Array - Anti-GCDFP 15 antibody [PIP/1571] (AB218480)
  • Protein Array

Unknown

Protein Array - Anti-GCDFP 15 antibody [PIP/1571] (AB218480)

ab218480 was tested in protein array against over 19000 different full-length human proteins.
Z- and S- Score : The Z-score represents the strength of a signal that a monoclonal antibody (MAb) (in combination with a fluorescently-tagged anti-IgG secondary antibody) produces when binding to a particular protein on the HuProtTM array. Z-scores are described in units of standard deviations (SD's) above the mean value of all signals generated on that array. If targets on HuProtTM are arranged in descending order of the Z-score, the S-score is the difference (also in units of SD's) between the Z-score. S-score therefore represents the relative target specificity of a MAb to its intended target.
A MAb is specific to its intended target if the MAb has an S-score of at least 2.5. For example, if a MAb binds to protein X with a Z-score of 43 and to protein Y with a Z-score of 14, then the S-score for the binding of that MAb to protein X is equal to 29.

Western blot - Anti-GCDFP 15 antibody [PIP/1571] (AB218480)
  • WB

Supplier Data

Western blot - Anti-GCDFP 15 antibody [PIP/1571] (AB218480)

All lanes:

Western blot - Anti-GCDFP 15 antibody [PIP/1571] (ab218480) at 1 µg/mL

Lane 1:

Human pancreas lysate

Lane 2:

HepG2 whole cell lysate

Predicted band size: 17 kDa

false

Key facts

Host species

Mouse

Clonality

Monoclonal

Clone number

PIP/1571

Isotype

IgG2a

Light chain type

kappa

Carrier free

No

Reacts with

Human

Applications

WB, IHC-P, Protein Array

applications

Immunogen

Recombinant Fragment Protein within Human PIP aa 1 to C-terminus. The exact immunogen used to generate this antibody is proprietary information.

P12273

Reactivity data

{ "title": "Reactivity Data", "filters": { "stats": ["", "Species", "Dilution Info", "Notes"], "tabs": { "all-applications": {"fullname" : "All Applications", "shortname": "All Applications"}, "WB" : {"fullname" : "Western blot", "shortname":"WB"}, "ProteinArray" : {"fullname" : "Protein Array", "shortname":"Protein Array"}, "IHCP" : {"fullname" : "Immunohistochemistry (Formalin/PFA-fixed paraffin-embedded sections)", "shortname":"IHC-P"} }, "product-promise": { "all": "all", "testedAndGuaranteed": "tested", "guaranteed": "expected", "predicted": "predicted", "notRecommended": "not-recommended" } }, "values": { "Human": { "WB-species-checked": "testedAndGuaranteed", "WB-species-dilution-info": "1-2 µg/mL", "WB-species-notes": "<p></p>", "ProteinArray-species-checked": "guaranteed", "ProteinArray-species-dilution-info": "", "ProteinArray-species-notes": "", "IHCP-species-checked": "testedAndGuaranteed", "IHCP-species-dilution-info": "1-2 µg/mL", "IHCP-species-notes": "<p></p> Perform heat-mediated antigen retrieval with Tris/EDTA buffer pH 9.0 before commencing with IHC staining protocol." }, "Recombinant full length protein - Human": { "WB-species-checked": "notRecommended", "WB-species-dilution-info": "", "WB-species-notes": "", "ProteinArray-species-checked": "testedAndGuaranteed", "ProteinArray-species-dilution-info": "", "ProteinArray-species-notes": "<p></p>", "IHCP-species-checked": "notRecommended", "IHCP-species-dilution-info": "", "IHCP-species-notes": "" } } }

Properties and storage information

Form
Liquid
Purification technique
Affinity purification Protein A/G
Purification notes
ab218480 is purified from Bioreactor Concentrate by Protein A/G.
Storage buffer
pH: 7.2 - 7.4 Preservative: 0.05% Sodium azide Constituents: PBS, 0.05% BSA
Shipped at conditions
Blue Ice
Appropriate short-term storage duration
1-2 weeks
Appropriate short-term storage conditions
+4°C
Appropriate long-term storage conditions
-20°C
Aliquoting information
Upon delivery aliquot
Storage information
Avoid freeze / thaw cycle

Supplementary information

This supplementary information is collated from multiple sources and compiled automatically.

GCDFP-15 also known as gross cystic disease fluid protein 15 is a glycoprotein with a molecular weight of approximately 15 kDa. It is commonly expressed in apocrine glands particularly in breast tissue. Immunohistochemical studies show that GCDFP-15 is a marker for breast apocrine metaplasia and is frequently used in identifying apocrine carcinoma. The presence of GCDFP-15 in other sites like salivary glands suggests its broader role within glandular tissues.
Biological function summary

GCDFP-15 functions as a secretory protein involved in the regulation of fluid composition in ducts. It is not known to be part of a larger complex but acts independently. This protein plays a role in stabilizing the microenvironment of ductal secretions which assists in the preservation of ductal lining and the maintenance of tissue integrity. The modulation of fluid content by GCDFP-15 is essential in maintaining the function of glandular tissues.

Pathways

GCDFP-15 is integral to lipid metabolism pathways and may indirectly influence signal transduction. It shows interaction with other proteins like prolactin and fatty acid-binding protein suggesting a broader role in lipid-related biological processes. The involvement of GCDFP-15 in these pathways indicates its contribution to the regulation of metabolic homeostasis within glandular tissues.

GCDFP-15 has notable significance in breast cancer particularly in differentiating apocrine-type carcinoma from other subtypes. The expression of GCDFP-15 is considered a biomarker in breast pathology for diagnostic purposes. In addition its role in salivary gland disorders is under investigation given its expression in the ducts of salivary glands. The protein's relationship with markers like mammaglobin further highlights its clinical relevance in distinguishing between glandular-related pathologies.

Product protocols

For this product, it's our understanding that no specific protocols are required. You can visit:

Publications (3)

Recent publications for all applications. Explore the full list and refine your search

International journal of molecular sciences 25: PubMed39769197

2025

Investigation of -Acetyllactosamine and ,-Diacetyllactosamine Residues of Seminal Plasma Prolactin-Induced Protein as Ligands Recognized by Galectin-3.

Applications

Unspecified application

Species

Unspecified reactive species

Anna Kałuża,Katarzyna Trzęsicka,Damian Drzyzga,Mirosława Ferens-Sieczkowska

Medical science monitor : international medical journal of experimental and clinical research 27:e930610 PubMed34092782

2021

Downregulation of Prolactin-Induced Protein Promotes Osteogenic Differentiation of Periodontal Ligament Stem Cells.

Applications

Unspecified application

Species

Unspecified reactive species

Xiaomeng Li,Yunpeng Zhang,Linglu Jia,Yixiao Xing,Bin Zhao,Lei Sui,Dayong Liu,Xin Xu

Journal of cellular physiology : PubMed30693510

2019

Suppression of OSCC malignancy by oral glands derived-PIP identified by iTRAQ combined with 2D LC-MS/MS.

Applications

Unspecified application

Species

Unspecified reactive species

Qibo Wang,Yuan Zhi,Wenhao Ren,Shaoming Li,Zhichao Dou,Xiaoming Xing,Xinyu Quan,Yuting Wang,Chunmiao Jiang,Xiao Liang,Ling Gao,Keqian Zhi
View all publications

Product promise

We are committed to supporting your work with high-quality reagents, and we're here for you every step of the way. In the unlikely event that one of our products does not perform as expected, you're protected by our Product Promise.
For full details, please see our Terms & Conditions

Please note: All products are 'FOR RESEARCH USE ONLY. NOT FOR USE IN DIAGNOSTIC OR THERAPEUTIC PROCEDURES'.

For licensing inquiries, please contact partnerships@abcam.com