JavaScript is disabled in your browser. Please enable JavaScript to view this website.
AB238776

Anti-GCDFP 15 antibody [SP185] - BSA and Azide free

Be the first to review this product! Submit a review

|

(1 Publication)

Rabbit Recombinant Monoclonal GCDFP 15 antibody. Carrier free. Suitable for WB, IHC-P and reacts with Human samples. Cited in 1 publication.

View Alternative Names

GCDFP15, GPIP4, PIP, Prolactin-inducible protein, Gross cystic disease fluid protein 15, Prolactin-induced protein, Secretory actin-binding protein, gp17, GCDFP-15, SABP

5 Images
Immunohistochemistry (Formalin/PFA-fixed paraffin-embedded sections) - Anti-GCDFP 15 antibody [SP185] - BSA and Azide free (AB238776)
  • IHC-P

Supplier Data

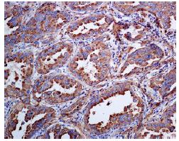
Immunohistochemistry (Formalin/PFA-fixed paraffin-embedded sections) - Anti-GCDFP 15 antibody [SP185] - BSA and Azide free (AB238776)

Immunohistochemical analysis of paraffin-embedded Human breast ductal carcinoma tissue labeling GCDFP with ab183321 at 1/100 dilution.

This data was developed using the same antibody clone in a different buffer formulation containing PBS, BSA, glycerol, and sodium azide (ab183321).

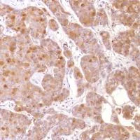
Immunohistochemistry (Formalin/PFA-fixed paraffin-embedded sections) - Anti-GCDFP 15 antibody [SP185] - BSA and Azide free (AB238776)
  • IHC-P

Supplier Data

Immunohistochemistry (Formalin/PFA-fixed paraffin-embedded sections) - Anti-GCDFP 15 antibody [SP185] - BSA and Azide free (AB238776)

Immunohistochemical analysis of paraffin-embedded Human breast ductal carcinoma tissue labeling GCDFP with ab183321 at 1/100 dilution.

This data was developed using the same antibody clone in a different buffer formulation containing PBS, BSA, glycerol, and sodium azide (ab183321).

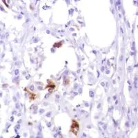
Immunohistochemistry (Formalin/PFA-fixed paraffin-embedded sections) - Anti-GCDFP 15 antibody [SP185] - BSA and Azide free (AB238776)
  • IHC-P

Supplier Data

Immunohistochemistry (Formalin/PFA-fixed paraffin-embedded sections) - Anti-GCDFP 15 antibody [SP185] - BSA and Azide free (AB238776)

Immunohistochemical analysis of paraffin-embedded human breast carcinoma tissue labeling GCDFP with ab183321 at 1/100 dilution.

This data was developed using the same antibody clone in a different buffer formulation containing PBS, BSA and sodium azide (ab183321).

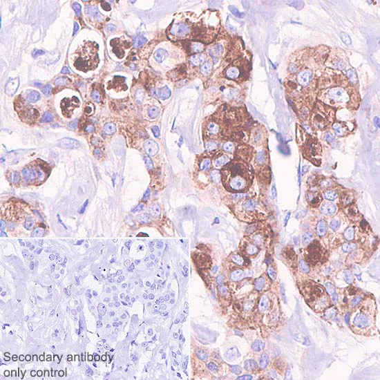
Immunohistochemistry (Formalin/PFA-fixed paraffin-embedded sections) - Anti-GCDFP 15 antibody [SP185] - BSA and Azide free (AB238776)
  • IHC-P

Unknown

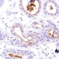
Immunohistochemistry (Formalin/PFA-fixed paraffin-embedded sections) - Anti-GCDFP 15 antibody [SP185] - BSA and Azide free (AB238776)

Immunohistochemistry (Formalin/PFA-fixed paraffin-embedded sections) analysis of Human breast carcinoma tissue sections labeling GCDFP 15 with ab183321 at 1/100 dilution (2.21 μg/ml). Heat mediated antigen retrieval with Tris-EDTA buffer (pH 9.0, epitope retrieval solution 2) for 10mins. Rabbit specific IHC polymer detection kit HRP/DAB (ab209101) was used as the secondary antibody. Hematoxylin was used as a counterstain. Positive staining on the human breast carcinoma, performed on a Leica Biosystems BOND™ RX instrument.
The section was incubated with ab183321 for 10 mins at room temperature. This image was generated using ab183321, the same clone, but with a different buffer formulation.

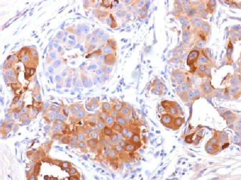
Immunohistochemistry (Formalin/PFA-fixed paraffin-embedded sections) - Anti-GCDFP 15 antibody [SP185] - BSA and Azide free (AB238776)
  • IHC-P

Supplier Data

Immunohistochemistry (Formalin/PFA-fixed paraffin-embedded sections) - Anti-GCDFP 15 antibody [SP185] - BSA and Azide free (AB238776)

Immunohistochemical analysis of paraffin-embedded Human breast carcinoma tissue labeling GCDFP with ab183321 at 1/100 dilution.

This data was developed using the same antibody clone in a different buffer formulation containing PBS, BSA, glycerol, and sodium azide (ab183321).

Key facts

Host species

Rabbit

Clonality

Monoclonal

Clone number

SP185

Isotype

IgG

Carrier free

Yes

Reacts with

Human

Applications

WB, IHC-P

applications

Immunogen

The exact immunogen used to generate this antibody is proprietary information.

Reactivity data

{ "title": "Reactivity Data", "filters": { "stats": ["", "Species", "Dilution Info", "Notes"], "tabs": { "all-applications": {"fullname" : "All Applications", "shortname": "All Applications"}, "WB" : {"fullname" : "Western blot", "shortname":"WB"}, "IHCP" : {"fullname" : "Immunohistochemistry (Formalin/PFA-fixed paraffin-embedded sections)", "shortname":"IHC-P"} }, "product-promise": { "all": "all", "testedAndGuaranteed": "tested", "guaranteed": "expected", "predicted": "predicted", "notRecommended": "not-recommended" } }, "values": { "Human": { "WB-species-checked": "guaranteed", "WB-species-dilution-info": "", "WB-species-notes": "<p></p>", "IHCP-species-checked": "testedAndGuaranteed", "IHCP-species-dilution-info": "", "IHCP-species-notes": "<p></p>" } } }

Product details

ab238776 is the carrier-free version of ab183321.

Cow: We have preliminary internal testing data to indicate this antibody may not react with these species. Please contact us for more information.

What are the advantages of a recombinant monoclonal antibody?
This product is a recombinant monoclonal antibody, which offers several advantages including:

  • - High batch-to-batch consistency and reproducibility
  • - Improved sensitivity and specificity
  • - Long-term security of supply
  • - Animal-free batch production

For more information, read more on recombinant antibodies.

Conjugation ready
Our carrier-free antibodies are typically supplied in a PBS-only formulation, purified and free of BSA, sodium azide and glycerol. This conjugation-ready format is designed for use with fluorochromes, metal isotopes, oligonucleotides, and enzymes, which makes them ideal for antibody labelling, functional and cell-based assays, flow-based assays (e.g. mass cytometry) and Multiplex Imaging applications.

Use our conjugation kits for antibody conjugates that are ready-to-use in as little as 20 minutes with 1 minute hands-on-time and 100% antibody recovery: available for fluorescent dyes, HRP, biotin and gold.

Compatibility
This product is compatible with the Maxpar® Antibody Labeling Kit from Fluidigm, without the need for antibody preparation. Maxpar® is a trademark of Fluidigm Canada Inc.

Properties and storage information

Form
Liquid
Purification technique
Affinity purification Protein A/G
Purification notes
Purified from TCS by protein A/G.
Storage buffer
pH: 7.2 - 7.4 Constituents: PBS
Shipped at conditions
Blue Ice
Appropriate short-term storage conditions
+4°C
Appropriate long-term storage conditions
+4°C
Storage information
Do Not Freeze

Supplementary information

This supplementary information is collated from multiple sources and compiled automatically.

GCDFP-15 also known as gross cystic disease fluid protein 15 is a glycoprotein with a molecular weight of approximately 15 kDa. It is commonly expressed in apocrine glands particularly in breast tissue. Immunohistochemical studies show that GCDFP-15 is a marker for breast apocrine metaplasia and is frequently used in identifying apocrine carcinoma. The presence of GCDFP-15 in other sites like salivary glands suggests its broader role within glandular tissues.
Biological function summary

GCDFP-15 functions as a secretory protein involved in the regulation of fluid composition in ducts. It is not known to be part of a larger complex but acts independently. This protein plays a role in stabilizing the microenvironment of ductal secretions which assists in the preservation of ductal lining and the maintenance of tissue integrity. The modulation of fluid content by GCDFP-15 is essential in maintaining the function of glandular tissues.

Pathways

GCDFP-15 is integral to lipid metabolism pathways and may indirectly influence signal transduction. It shows interaction with other proteins like prolactin and fatty acid-binding protein suggesting a broader role in lipid-related biological processes. The involvement of GCDFP-15 in these pathways indicates its contribution to the regulation of metabolic homeostasis within glandular tissues.

GCDFP-15 has notable significance in breast cancer particularly in differentiating apocrine-type carcinoma from other subtypes. The expression of GCDFP-15 is considered a biomarker in breast pathology for diagnostic purposes. In addition its role in salivary gland disorders is under investigation given its expression in the ducts of salivary glands. The protein's relationship with markers like mammaglobin further highlights its clinical relevance in distinguishing between glandular-related pathologies.

Product protocols

For this product, it's our understanding that no specific protocols are required. You can visit:

Publications (1)

Recent publications for all applications. Explore the full list and refine your search

Open life sciences 19:20220972 PubMed39479348

2024

The relationship between TMCO1 and CALR in the pathological characteristics of prostate cancer and its effect on the metastasis of prostate cancer cells.

Applications

Unspecified application

Species

Unspecified reactive species

Jingting Dong,Shaosan Kang,Fenghong Cao,Xi Chen,Xiaofei Wang,Lei Wang,Qing Wang,Yupu Zhai
View all publications

Product promise

We are committed to supporting your work with high-quality reagents, and we're here for you every step of the way. In the unlikely event that one of our products does not perform as expected, you're protected by our Product Promise.
For full details, please see our Terms & Conditions

Please note: All products are 'FOR RESEARCH USE ONLY. NOT FOR USE IN DIAGNOSTIC OR THERAPEUTIC PROCEDURES'.

For licensing inquiries, please contact partnerships@abcam.com