JavaScript is disabled in your browser. Please enable JavaScript to view this website.
AB307508

Anti-GCH1 antibody [EPR27331-30] - BSA and Azide free

Be the first to review this product! Submit a review

|

(0 Publication)

Rabbit Recombinant Monoclonal GCH1 antibody. Carrier free. Suitable for IP, IHC-P, WB and reacts with Mouse, Rat, Human samples.

View Alternative Names

DYT5, GCH, GCH1, GTP cyclohydrolase 1, GTP cyclohydrolase I, GTP-CH-I

12 Images
Immunohistochemistry (Formalin/PFA-fixed paraffin-embedded sections) - Anti-GCH1 antibody [EPR27331-30] - BSA and Azide free (AB307508)
  • IHC-P

Supplier Data

Immunohistochemistry (Formalin/PFA-fixed paraffin-embedded sections) - Anti-GCH1 antibody [EPR27331-30] - BSA and Azide free (AB307508)

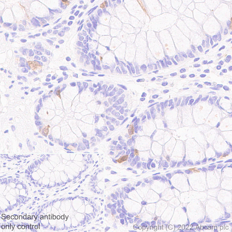
This data was developed using ab307507, the same antibody clone in a different buffer formulation. Immunohistochemical analysis of paraffin-embedded Human colon tissue labeling GCH1 with ab307507 at 1/500 (1.044 ug/ml) followed by a ready to use LeicaDS9800 (Bond? Polymer Refine Detection) was used. Positive staining on scattered cells in human colon (PMID : 22753274).The section was incubated with ab307507 for 30 mins at room temperature.The immunostaining was performed on a Leica Biosystems BOND? RX instrument Counterstained with Hematoxylin. Secondary antibody only control : Secondary antibody is a ready to use LeicaDS9800 (Bond? Polymer Refine Detection) was used. Heat mediated antigen retrieval was performed with Tris-EDTA buffer (pH 9.0, Epitope Retrieval Solution2) for 20 mins

Immunohistochemistry (Formalin/PFA-fixed paraffin-embedded sections) - Anti-GCH1 antibody [EPR27331-30] - BSA and Azide free (AB307508)
  • IHC-P

Supplier Data

Immunohistochemistry (Formalin/PFA-fixed paraffin-embedded sections) - Anti-GCH1 antibody [EPR27331-30] - BSA and Azide free (AB307508)

This data was developed using ab307507, the same antibody clone in a different buffer formulation. Immunohistochemical analysis of paraffin-embedded Human skeletal muscl tissue labeling GCH1 with ab307507 at 1/500 (1.044 ug/ml) followed by a ready to use LeicaDS9800 (Bond? Polymer Refine Detection) was used. Negative control : No staining on human skeletal muscle.The section was incubated with ab307507 for 30 mins at room temperature.The immunostaining was performed on a Leica Biosystems BOND? RX instrument Counterstained with Hematoxylin. Secondary antibody only control : Secondary antibody is a ready to use LeicaDS9800 (Bond? Polymer Refine Detection) was used. Heat mediated antigen retrieval was performed with Tris-EDTA buffer (pH 9.0, Epitope Retrieval Solution2) for 20 mins

Immunohistochemistry (Formalin/PFA-fixed paraffin-embedded sections) - Anti-GCH1 antibody [EPR27331-30] - BSA and Azide free (AB307508)
  • IHC-P

Supplier Data

Immunohistochemistry (Formalin/PFA-fixed paraffin-embedded sections) - Anti-GCH1 antibody [EPR27331-30] - BSA and Azide free (AB307508)

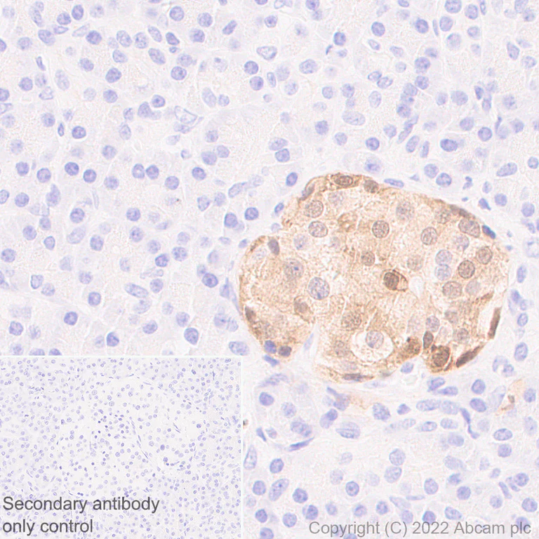
This data was developed using ab307507, the same antibody clone in a different buffer formulation. Immunohistochemical analysis of paraffin-embedded Human pancreas tissue labeling GCH1 with ab307507 at 1/500 (1.044 ug/ml) followed by a ready to use LeicaDS9800 (Bond? Polymer Refine Detection) was used. Positive staining on human pancreatic islets.The section was incubated with ab307507 for 30 mins at room temperature.The immunostaining was performed on a Leica Biosystems BOND? RX instrument Counterstained with Hematoxylin. Secondary antibody only control : Secondary antibody is a ready to use LeicaDS9800 (Bond? Polymer Refine Detection) was used. Heat mediated antigen retrieval was performed with Tris-EDTA buffer (pH 9.0, Epitope Retrieval Solution2) for 20 mins

Immunohistochemistry (Formalin/PFA-fixed paraffin-embedded sections) - Anti-GCH1 antibody [EPR27331-30] - BSA and Azide free (AB307508)
  • IHC-P

Supplier Data

Immunohistochemistry (Formalin/PFA-fixed paraffin-embedded sections) - Anti-GCH1 antibody [EPR27331-30] - BSA and Azide free (AB307508)

This data was developed using ab307507, the same antibody clone in a different buffer formulation. Immunohistochemical analysis of paraffin-embedded Rat colon tissue labeling GCH1 with ab307507 at 1/1000 (0.522 ug/ml) followed by a ready to use LeicaDS9800 (Bond? Polymer Refine Detection) was used. Positive staining on scattered cells in rat colon.The section was incubated with ab307507 for 30 mins at room temperature.The immunostaining was performed on a Leica Biosystems BOND? RX instrument Counterstained with Hematoxylin. Secondary antibody only control : Secondary antibody is a ready to use LeicaDS9800 (Bond? Polymer Refine Detection) was used. Heat mediated antigen retrieval was performed with Tris-EDTA buffer (pH 9.0, Epitope Retrieval Solution2) for 20 mins

Immunohistochemistry (Formalin/PFA-fixed paraffin-embedded sections) - Anti-GCH1 antibody [EPR27331-30] - BSA and Azide free (AB307508)
  • IHC-P

Supplier Data

Immunohistochemistry (Formalin/PFA-fixed paraffin-embedded sections) - Anti-GCH1 antibody [EPR27331-30] - BSA and Azide free (AB307508)

This data was developed using ab307507, the same antibody clone in a different buffer formulation. Immunohistochemical analysis of paraffin-embedded Rat skeletal muscle tissue labeling GCH1 with ab307507 at 1/1000 (0.522 ug/ml) followed by a ready to use LeicaDS9800 (Bond? Polymer Refine Detection) was used. Negative control : No staining on rat skeletal muscle.The section was incubated with ab307507 for 30 mins at room temperature.The immunostaining was performed on a Leica Biosystems BOND? RX instrument Counterstained with Hematoxylin. Secondary antibody only control : Secondary antibody is a ready to use LeicaDS9800 (Bond? Polymer Refine Detection) was used. Heat mediated antigen retrieval was performed with Tris-EDTA buffer (pH 9.0, Epitope Retrieval Solution2) for 20 mins

Immunohistochemistry (Formalin/PFA-fixed paraffin-embedded sections) - Anti-GCH1 antibody [EPR27331-30] - BSA and Azide free (AB307508)
  • IHC-P

Supplier Data

Immunohistochemistry (Formalin/PFA-fixed paraffin-embedded sections) - Anti-GCH1 antibody [EPR27331-30] - BSA and Azide free (AB307508)

This data was developed using ab307507, the same antibody clone in a different buffer formulation. Immunohistochemical analysis of paraffin-embedded Mouse skeletal muscl tissue labeling GCH1 with ab307507 at 1/1000 (0.522 ug/ml) followed by a ready to use LeicaDS9800 (Bond? Polymer Refine Detection) was used. Negative control : No staining on mouse skeletal muscle.The section was incubated with ab307507 for 30 mins at room temperature.The immunostaining was performed on a Leica Biosystems BOND? RX instrument Counterstained with Hematoxylin. Secondary antibody only control : Secondary antibody is a ready to use LeicaDS9800 (Bond? Polymer Refine Detection) was used. Heat mediated antigen retrieval was performed with Tris-EDTA buffer (pH 9.0, Epitope Retrieval Solution2) for 20 mins

Immunohistochemistry (Formalin/PFA-fixed paraffin-embedded sections) - Anti-GCH1 antibody [EPR27331-30] - BSA and Azide free (AB307508)
  • IHC-P

Supplier Data

Immunohistochemistry (Formalin/PFA-fixed paraffin-embedded sections) - Anti-GCH1 antibody [EPR27331-30] - BSA and Azide free (AB307508)

This data was developed using ab307507, the same antibody clone in a different buffer formulation. Immunohistochemical analysis of paraffin-embedded Rat pancreas tissue labeling GCH1 with ab307507 at 1/1000 (0.522 ug/ml) followed by a ready to use LeicaDS9800 (Bond? Polymer Refine Detection) was used. Positive staining on rat pancreatic islets.The section was incubated with ab307507 for 30 mins at room temperature.The immunostaining was performed on a Leica Biosystems BOND? RX instrument Counterstained with Hematoxylin. Secondary antibody only control : Secondary antibody is a ready to use LeicaDS9800 (Bond? Polymer Refine Detection) was used. Heat mediated antigen retrieval was performed with Tris-EDTA buffer (pH 9.0, Epitope Retrieval Solution2) for 20 mins

Immunohistochemistry (Formalin/PFA-fixed paraffin-embedded sections) - Anti-GCH1 antibody [EPR27331-30] - BSA and Azide free (AB307508)
  • IHC-P

Supplier Data

Immunohistochemistry (Formalin/PFA-fixed paraffin-embedded sections) - Anti-GCH1 antibody [EPR27331-30] - BSA and Azide free (AB307508)

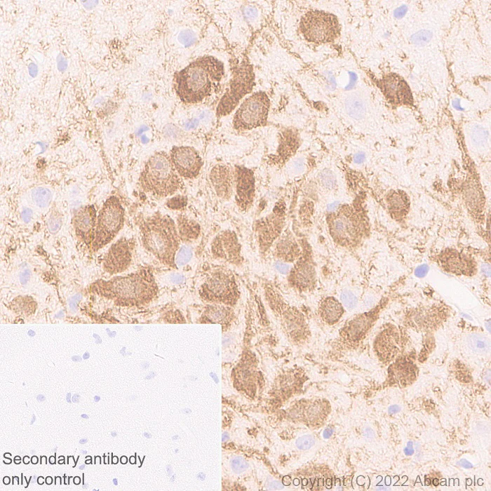
This data was developed using ab307507, the same antibody clone in a different buffer formulation. Immunohistochemical analysis of paraffin-embedded Mouse midbrain tissue labeling GCH1 with ab307507 at 1/1000 (0.522 ug/ml) followed by a ready to use LeicaDS9800 (Bond? Polymer Refine Detection) was used. Positive staining on neurons of mouse midbrain (PMID : 10907721). The section was incubated with ab307507 for 30 mins at room temperature.The immunostaining was performed on a Leica Biosystems BOND? RX instrument Counterstained with Hematoxylin. Secondary antibody only control : Secondary antibody is a ready to use LeicaDS9800 (Bond? Polymer Refine Detection) was used. Heat mediated antigen retrieval was performed with Tris-EDTA buffer (pH 9.0, Epitope Retrieval Solution2) for 20 mins

Immunohistochemistry (Formalin/PFA-fixed paraffin-embedded sections) - Anti-GCH1 antibody [EPR27331-30] - BSA and Azide free (AB307508)
  • IHC-P

Supplier Data

Immunohistochemistry (Formalin/PFA-fixed paraffin-embedded sections) - Anti-GCH1 antibody [EPR27331-30] - BSA and Azide free (AB307508)

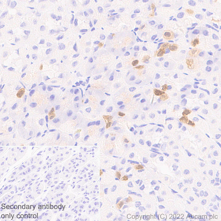
This data was developed using ab307507, the same antibody clone in a different buffer formulation. Immunohistochemical analysis of paraffin-embedded Mouse stomach tissue labeling GCH1 with ab307507 at 1/1000 (0.522 ug/ml) followed by a ready to use LeicaDS9800 (Bond? Polymer Refine Detection) was used. Positive staining on scattered cells in mouse stomach.The section was incubated with ab307507 for 30 mins at room temperature.The immunostaining was performed on a Leica Biosystems BOND? RX instrument Counterstained with Hematoxylin. Secondary antibody only control : Secondary antibody is a ready to use LeicaDS9800 (Bond? Polymer Refine Detection) was used. Heat mediated antigen retrieval was performed with Tris-EDTA buffer (pH 9.0, Epitope Retrieval Solution2) for 20 mins

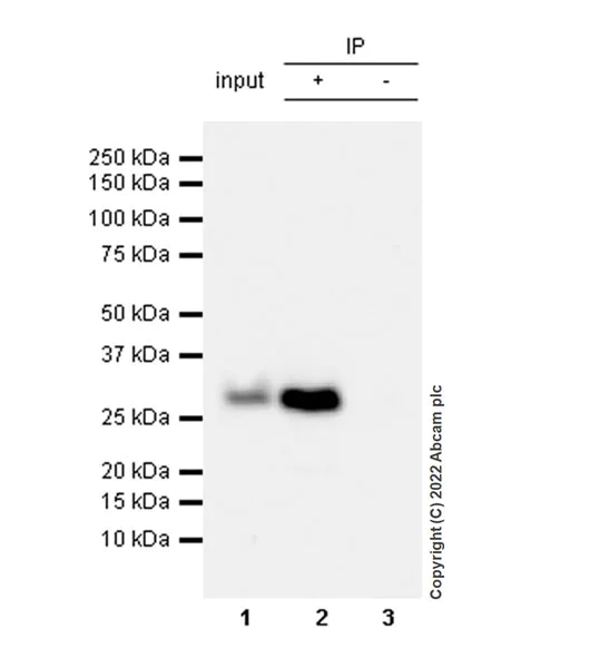
Immunoprecipitation - Anti-GCH1 antibody [EPR27331-30] - BSA and Azide free (AB307508)
  • IP

Supplier Data

Immunoprecipitation - Anti-GCH1 antibody [EPR27331-30] - BSA and Azide free (AB307508)

This data was developed using ab307507, the same antibody clone in a different buffer formulation. GCH1 was immunoprecipitated from 0.35 mg Neuro-2a (mouse neuroblastoma neuroblast) whole cell lysate 10 ug with ab307507 at 1/30 dilution (2ug in 0.35mg lysates). Western blot was performed on the immunoprecipitate using ab307507 at 1/1000 dilution. VeriBlot for IP secondary antibody(HRP)(ab131366) was used at 1/5000 dilution. Lane 1 : Neuro-2a (mouse neuroblastoma neuroblast) whole cell lysate 10 ug Lane 2 : ab307507 IP in Neuro-2a whole cell lysate Lane 3 : Rabbit monoclonal IgG (ab172730) instead of ab307507 in Neuro-2a whole cell lysate Blocking and dilution buffer and concentration : 5% NFDM/TBST. Exposure time : 6 seconds

All lanes:

Immunoprecipitation - Anti-GCH1 antibody [EPR27331-30] (<a href='/en-us/products/primary-antibodies/gch1-antibody-epr27331-30-ab307507'>ab307507</a>) at 1/1000 dilution

Lane 1:

Neuro-2a (mouse neuroblastoma neuroblast) whole cell lysate 10 μg

Lane 2:

Neuro-2a whole cell lysate

Lane 3:

Rabbit monoclonal IgG (<a href='/en-us/products/primary-antibodies/rabbit-igg-monoclonal-epr25a-isotype-control-ab172730'>ab172730</a>) instead of <a href='/en-us/products/primary-antibodies/gch1-antibody-epr27331-30-ab307507'>ab307507</a> in Neuro-2a whole cell lysate

Secondary

All lanes:

Immunoprecipitation - VeriBlot for IP Detection Reagent (HRP) (<a href='/en-us/products/reagents/veriblot-for-ip-detection-reagent-hrp-ab131366'>ab131366</a>) at 1/5000 dilution

Observed band size: 27 kDa

false

Exposure time: 6s

Western blot - Anti-GCH1 antibody [EPR27331-30] - BSA and Azide free (AB307508)
  • WB

Supplier Data

Western blot - Anti-GCH1 antibody [EPR27331-30] - BSA and Azide free (AB307508)

This data was developed using 307507, the same antibody clone in a different buffer formulation. Blocking and diluting buffer and concentration : Negative control : K562 (PMID : 32778843) Exposure time :

All lanes:

Western blot - Anti-GCH1 antibody [EPR27331-30] (<a href='/en-us/products/primary-antibodies/gch1-antibody-epr27331-30-ab307507'>ab307507</a>) at 1/1000 dilution

Lane 1:

SH-SY5Y (human neuroblastoma epithelial cell) whole cell lysate 20 μg

Lane 2:

K562 (human chronic myelogenous leukemia lymphoblast) whole cell lysate 20 μg

Lane 3:

Neuro-2a (mouse neuroblastoma neuroblast) whole cell lysate 20 μg

Lane 4:

N9 (mouse microglia) whole cell lysate 20 μg

Lane 5:

PC-12 (rat adrenal gland pheochromocytoma) whole cell lysate 20 μg

Secondary

All lanes:

Western blot - Goat Anti-Rabbit IgG H&L (HRP) (<a href='/en-us/products/secondary-antibodies/goat-rabbit-igg-h-l-hrp-ab97051'>ab97051</a>) at 1/100000 dilution

Observed band size: 27 kDa

false

Exposure time: 37s

Western blot - Anti-GCH1 antibody [EPR27331-30] - BSA and Azide free (AB307508)
  • WB

Supplier Data

Western blot - Anti-GCH1 antibody [EPR27331-30] - BSA and Azide free (AB307508)

This data was developed using 307507, the same antibody clone in a different buffer formulation. Blocking and diluting buffer and concentration : Negative control : skeletal muscle (PMID : 22798524) 180 seconds Exposure time :

All lanes:

Western blot - Anti-GCH1 antibody [EPR27331-30] (<a href='/en-us/products/primary-antibodies/gch1-antibody-epr27331-30-ab307507'>ab307507</a>) at 1/1000 dilution

Lane 1:

Mouse liver tissue lysate 20 μg

Lane 2:

Mouse hypothalamus tissue lysate 20 μg

Lane 3:

Mouse skeletal muscle tissue lysate 20 μg

Lane 4:

Rat liver tissue lysate 20 μg

Lane 5:

Rat hypothalamus tissue lysate 20 μg

Lane 6:

Rat skeletal muscle tissue lysate 20 μg

Secondary

All lanes:

Western blot - Goat Anti-Rabbit IgG H&L (HRP) (<a href='/en-us/products/secondary-antibodies/goat-rabbit-igg-h-l-hrp-ab97051'>ab97051</a>) at 1/100000 dilution

Observed band size: 27 kDa

false

Exposure time: 180s

Key facts

Host species

Rabbit

Clonality

Monoclonal

Clone number

EPR27331-30

Isotype

IgG

Carrier free

Yes

Reacts with

Human, Mouse, Rat

Applications

IP, WB, IHC-P

applications

Immunogen

The exact immunogen used to generate this antibody is proprietary information.

Reactivity data

{ "title": "Reactivity Data", "filters": { "stats": ["", "Species", "Dilution Info", "Notes"], "tabs": { "all-applications": {"fullname" : "All Applications", "shortname": "All Applications"}, "IP" : {"fullname" : "Immunoprecipitation", "shortname":"IP"}, "FlowCytIntra" : {"fullname" : "Flow Cytometry (Intracellular)", "shortname":"Flow Cyt (Intra)"}, "ICCIF" : {"fullname" : "Immunocytochemistry/ Immunofluorescence", "shortname":"ICC/IF"}, "IHCFr" : {"fullname" : "Immunohistochemistry (Frozen sections)", "shortname":"IHC-Fr"}, "IHCP" : {"fullname" : "Immunohistochemistry (Formalin/PFA-fixed paraffin-embedded sections)", "shortname":"IHC-P"}, "WB" : {"fullname" : "Western blot", "shortname":"WB"} }, "product-promise": { "all": "all", "testedAndGuaranteed": "tested", "guaranteed": "expected", "predicted": "predicted", "notRecommended": "not-recommended" } }, "values": { "Human": { "IP-species-checked": "guaranteed", "IP-species-dilution-info": "", "IP-species-notes": "", "FlowCytIntra-species-checked": "notRecommended", "FlowCytIntra-species-dilution-info": "", "FlowCytIntra-species-notes": "<p></p>", "ICCIF-species-checked": "notRecommended", "ICCIF-species-dilution-info": "", "ICCIF-species-notes": "<p></p>", "IHCFr-species-checked": "notRecommended", "IHCFr-species-dilution-info": "", "IHCFr-species-notes": "", "IHCP-species-checked": "testedAndGuaranteed", "IHCP-species-dilution-info": "", "IHCP-species-notes": "<p></p>", "WB-species-checked": "testedAndGuaranteed", "WB-species-dilution-info": "", "WB-species-notes": "<p></p>" }, "Mouse": { "IP-species-checked": "testedAndGuaranteed", "IP-species-dilution-info": "", "IP-species-notes": "<p></p>", "FlowCytIntra-species-checked": "notRecommended", "FlowCytIntra-species-dilution-info": "", "FlowCytIntra-species-notes": "", "ICCIF-species-checked": "notRecommended", "ICCIF-species-dilution-info": "", "ICCIF-species-notes": "", "IHCFr-species-checked": "notRecommended", "IHCFr-species-dilution-info": "", "IHCFr-species-notes": "<p></p>", "IHCP-species-checked": "testedAndGuaranteed", "IHCP-species-dilution-info": "", "IHCP-species-notes": "<p></p>", "WB-species-checked": "testedAndGuaranteed", "WB-species-dilution-info": "", "WB-species-notes": "<p></p>" }, "Rat": { "IP-species-checked": "guaranteed", "IP-species-dilution-info": "", "IP-species-notes": "", "FlowCytIntra-species-checked": "notRecommended", "FlowCytIntra-species-dilution-info": "", "FlowCytIntra-species-notes": "", "ICCIF-species-checked": "notRecommended", "ICCIF-species-dilution-info": "", "ICCIF-species-notes": "", "IHCFr-species-checked": "notRecommended", "IHCFr-species-dilution-info": "", "IHCFr-species-notes": "<p></p>", "IHCP-species-checked": "testedAndGuaranteed", "IHCP-species-dilution-info": "", "IHCP-species-notes": "<p></p>", "WB-species-checked": "testedAndGuaranteed", "WB-species-dilution-info": "", "WB-species-notes": "<p></p>" } } }

Product details

Patented technology
Our RabMAb® technology is a patented hybridoma-based technology for making rabbit monoclonal antibodies. For details on our patents, please refer to RabMAb® patents.

What are the advantages of a recombinant monoclonal antibody?
This product is a recombinant monoclonal antibody, which offers several advantages including:

  • - High batch-to-batch consistency and reproducibility
  • - Improved sensitivity and specificity
  • - Long-term security of supply
  • - Animal-free batch production

For more information, read more on recombinant antibodies.

Conjugation ready
Our carrier-free antibodies are typically supplied in a PBS-only formulation, purified and free of BSA, sodium azide and glycerol. This conjugation-ready format is designed for use with fluorochromes, metal isotopes, oligonucleotides, and enzymes, which makes them ideal for antibody labelling, functional and cell-based assays, flow-based assays (e.g. mass cytometry) and Multiplex Imaging applications.

Use our conjugation kits for antibody conjugates that are ready-to-use in as little as 20 minutes with 1 minute hands-on-time and 100% antibody recovery: available for fluorescent dyes, HRP, biotin and gold.

Compatibility
This product is compatible with the Maxpar® Antibody Labeling Kit from Fluidigm, without the need for antibody preparation. Maxpar® is a trademark of Fluidigm Canada Inc.

Properties and storage information

Form
Liquid
Purification technique
Affinity purification Protein A
Storage buffer
pH: 7.2 - 7.4 Constituents: PBS
Shipped at conditions
Blue Ice
Appropriate short-term storage conditions
+4°C
Appropriate long-term storage conditions
+4°C

Product protocols

For this product, it's our understanding that no specific protocols are required. You can visit:

Target data

Positively regulates nitric oxide synthesis in umbilical vein endothelial cells (HUVECs). May be involved in dopamine synthesis. May modify pain sensitivity and persistence. Isoform GCH-1 is the functional enzyme, the potential function of the enzymatically inactive isoforms remains unknown.
See full target information GCH1

Product promise

We are committed to supporting your work with high-quality reagents, and we're here for you every step of the way. In the unlikely event that one of our products does not perform as expected, you're protected by our Product Promise.
For full details, please see our Terms & Conditions

Please note: All products are 'FOR RESEARCH USE ONLY. NOT FOR USE IN DIAGNOSTIC OR THERAPEUTIC PROCEDURES'.

For licensing inquiries, please contact partnerships@abcam.com