JavaScript is disabled in your browser. Please enable JavaScript to view this website.
AB236417

Anti-GCIP interacting protein p29 antibody [OTI6A5]

Be the first to review this product! Submit a review

|

(4 Publications)

Mouse Monoclonal GCIP interacting protein p29 antibody. Suitable for WB, IHC-P and reacts with Human samples. Cited in 4 publications. Immunogen corresponding to Recombinant Fragment Protein within Human SYF2 aa 1-100.

View Alternative Names

CBPIN, GCIPIP, SYF2, Pre-mRNA-splicing factor SYF2, CCNDBP1-interactor, p29

11 Images
Immunohistochemistry (Formalin/PFA-fixed paraffin-embedded sections) - Anti-GCIP interacting protein p29 antibody [OTI6A5] (AB236417)
  • IHC-P

Supplier Data

Immunohistochemistry (Formalin/PFA-fixed paraffin-embedded sections) - Anti-GCIP interacting protein p29 antibody [OTI6A5] (AB236417)

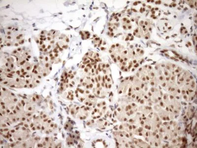
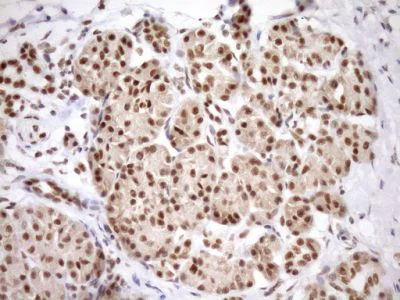
Paraffin-embedded human pancreas tissue stained for GCIP interacting protein p29 using ab236417 at 1/150 dilution in immunohistochemical analysis.

Immunohistochemistry (Formalin/PFA-fixed paraffin-embedded sections) - Anti-GCIP interacting protein p29 antibody [OTI6A5] (AB236417)
  • IHC-P

Supplier Data

Immunohistochemistry (Formalin/PFA-fixed paraffin-embedded sections) - Anti-GCIP interacting protein p29 antibody [OTI6A5] (AB236417)

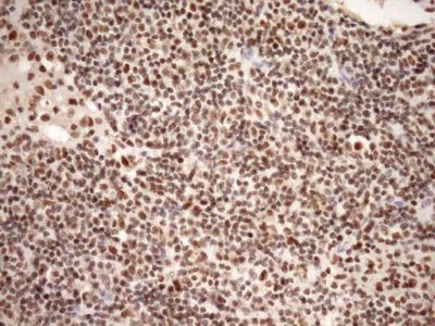
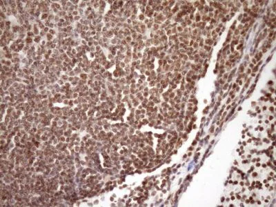
Paraffin-embedded human lymphoma tissue stained for GCIP interacting protein p29 using ab236417 at 1/150 dilution in immunohistochemical analysis.

Immunohistochemistry (Formalin/PFA-fixed paraffin-embedded sections) - Anti-GCIP interacting protein p29 antibody [OTI6A5] (AB236417)
  • IHC-P

Supplier Data

Immunohistochemistry (Formalin/PFA-fixed paraffin-embedded sections) - Anti-GCIP interacting protein p29 antibody [OTI6A5] (AB236417)

Paraffin-embedded human thyroid tissue stained for GCIP interacting protein p29 using ab236417 at 1/150 dilution in immunohistochemical analysis.

Immunohistochemistry (Formalin/PFA-fixed paraffin-embedded sections) - Anti-GCIP interacting protein p29 antibody [OTI6A5] (AB236417)
  • IHC-P

Supplier Data

Immunohistochemistry (Formalin/PFA-fixed paraffin-embedded sections) - Anti-GCIP interacting protein p29 antibody [OTI6A5] (AB236417)

Paraffin-embedded human bladder carcinoma tissue stained for GCIP interacting protein p29 using ab236417 at 1/150 dilution in immunohistochemical analysis.

Immunohistochemistry (Formalin/PFA-fixed paraffin-embedded sections) - Anti-GCIP interacting protein p29 antibody [OTI6A5] (AB236417)
  • IHC-P

Supplier Data

Immunohistochemistry (Formalin/PFA-fixed paraffin-embedded sections) - Anti-GCIP interacting protein p29 antibody [OTI6A5] (AB236417)

Paraffin-embedded human lymph node tissue stained for GCIP interacting protein p29 using ab236417 at 1/150 dilution in immunohistochemical analysis.

Immunohistochemistry (Formalin/PFA-fixed paraffin-embedded sections) - Anti-GCIP interacting protein p29 antibody [OTI6A5] (AB236417)
  • IHC-P

Supplier Data

Immunohistochemistry (Formalin/PFA-fixed paraffin-embedded sections) - Anti-GCIP interacting protein p29 antibody [OTI6A5] (AB236417)

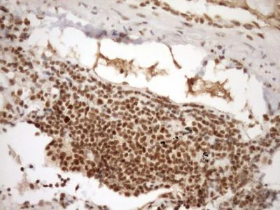
Paraffin-embedded human pancreas carcinoma tissue stained for GCIP interacting protein p29 using ab236417 at 1/150 dilution in immunohistochemical analysis.

Immunohistochemistry (Formalin/PFA-fixed paraffin-embedded sections) - Anti-GCIP interacting protein p29 antibody [OTI6A5] (AB236417)
  • IHC-P

Supplier Data

Immunohistochemistry (Formalin/PFA-fixed paraffin-embedded sections) - Anti-GCIP interacting protein p29 antibody [OTI6A5] (AB236417)

Paraffin-embedded human tonsil tissue stained for GCIP interacting protein p29 using ab236417 at 1/150 dilution in immunohistochemical analysis.

Immunohistochemistry (Formalin/PFA-fixed paraffin-embedded sections) - Anti-GCIP interacting protein p29 antibody [OTI6A5] (AB236417)
  • IHC-P

Supplier Data

Immunohistochemistry (Formalin/PFA-fixed paraffin-embedded sections) - Anti-GCIP interacting protein p29 antibody [OTI6A5] (AB236417)

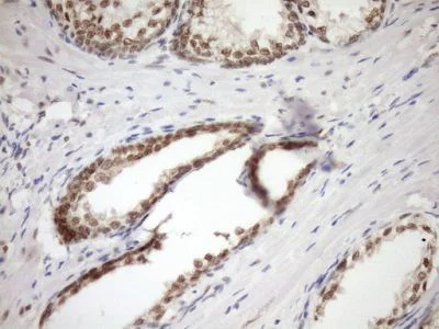
Paraffin-embedded human prostate tissue stained for GCIP interacting protein p29 using ab236417 at 1/150 dilution in immunohistochemical analysis.

Immunohistochemistry (Formalin/PFA-fixed paraffin-embedded sections) - Anti-GCIP interacting protein p29 antibody [OTI6A5] (AB236417)
  • IHC-P

Supplier Data

Immunohistochemistry (Formalin/PFA-fixed paraffin-embedded sections) - Anti-GCIP interacting protein p29 antibody [OTI6A5] (AB236417)

Paraffin-embedded human colon tissue stained for GCIP interacting protein p29 using ab236417 at 1/150 dilution in immunohistochemical analysis.

Immunohistochemistry (Formalin/PFA-fixed paraffin-embedded sections) - Anti-GCIP interacting protein p29 antibody [OTI6A5] (AB236417)
  • IHC-P

Supplier Data

Immunohistochemistry (Formalin/PFA-fixed paraffin-embedded sections) - Anti-GCIP interacting protein p29 antibody [OTI6A5] (AB236417)

Paraffin-embedded human ovary tissue stained for GCIP interacting protein p29 using ab236417 at 1/150 dilution in immunohistochemical analysis.

Western blot - Anti-GCIP interacting protein p29 antibody [OTI6A5] (AB236417)
  • WB

Supplier Data

Western blot - Anti-GCIP interacting protein p29 antibody [OTI6A5] (AB236417)

All lanes:

Western blot - Anti-GCIP interacting protein p29 antibody [OTI6A5] (ab236417) at 1/2000 dilution

Lane 1:

HEK-293T (human epithelial cell line from embryonic kidney transformed with large T antigen) cell lysate transfected with pCMV6-ENTRY control cDNA at 5 µg

Lane 2:

HEK-293T cell lysate transfected with pCMV6-ENTRY GCIP interacting protein p29 cDNA at 5 µg

Predicted band size: 29 kDa

false

Key facts

Host species

Mouse

Clonality

Monoclonal

Clone number

OTI6A5

Isotype

IgG1

Carrier free

No

Reacts with

Human

Applications

WB, IHC-P

applications

Immunogen

Recombinant Fragment Protein within Human SYF2 aa 1-100. The exact immunogen used to generate this antibody is proprietary information.

O95926

Reactivity data

{ "title": "Reactivity Data", "filters": { "stats": ["", "Species", "Dilution Info", "Notes"], "tabs": { "all-applications": {"fullname" : "All Applications", "shortname": "All Applications"}, "WB" : {"fullname" : "Western blot", "shortname":"WB"}, "IHCP" : {"fullname" : "Immunohistochemistry (Formalin/PFA-fixed paraffin-embedded sections)", "shortname":"IHC-P"} }, "product-promise": { "all": "all", "testedAndGuaranteed": "tested", "guaranteed": "expected", "predicted": "predicted", "notRecommended": "not-recommended" } }, "values": { "Human": { "WB-species-checked": "testedAndGuaranteed", "WB-species-dilution-info": "1/2000", "WB-species-notes": "<p></p>", "IHCP-species-checked": "testedAndGuaranteed", "IHCP-species-dilution-info": "1/150", "IHCP-species-notes": "<p>Perform heat-induced epitope retrieval by Tris-EDTA, pH 8.0.</p>" } } }

Product details

Clone OTI6A5 (formerly 6A5)

Properties and storage information

Form
Liquid
Purification technique
Affinity purification
Purification notes
Purified from cell culture supernatant.
Storage buffer
pH: 7.3 Preservative: 0.02% Sodium azide Constituents: PBS, 50% Glycerol (glycerin, glycerine), 1% BSA
Shipped at conditions
Blue Ice
Appropriate short-term storage duration
1-2 weeks
Appropriate short-term storage conditions
+4°C
Appropriate long-term storage conditions
-20°C
Aliquoting information
Upon delivery aliquot
Storage information
Avoid freeze / thaw cycle

Product protocols

For this product, it's our understanding that no specific protocols are required. You can visit:

Target data

Involved in pre-mRNA splicing as component of the spliceosome (PubMed : 11991638, PubMed : 28076346, PubMed : 28502770).
See full target information SYF2

Publications (4)

Recent publications for all applications. Explore the full list and refine your search

Cancer biology & therapy 25:2427415 PubMed39530604

2024

A positive feedback loop of SRSF9/USP22/ZEB1 promotes the progression of ovarian cancer.

Applications

Unspecified application

Species

Unspecified reactive species

Jing Wang,Ming Hu,Jie Min,Xin Li

Cell stem cell 30:171-187.e14 PubMed36736291

2023

SYF2 suppression mitigates neurodegeneration in models of diverse forms of ALS.

Applications

Unspecified application

Species

Unspecified reactive species

Gabriel R Linares,Yichen Li,Wen-Hsuan Chang,Jasper Rubin-Sigler,Stacee Mendonca,Sarah Hong,Yunsun Eoh,Wenxuan Guo,Yi-Hsuan Huang,Jonathan Chang,Sharon Tu,Nomongo Dorjsuren,Manuel Santana,Shu-Ting Hung,Johnny Yu,Joscany Perez,Michael Chickering,Tze-Yuan Cheng,Chi-Chou Huang,Shih-Jong James Lee,Hao-Jen Deng,Kieu-Tram Bach,Kamden Gray,Vishvak Subramanyam,Jeffrey Rosenfeld,Samuel V Alworth,Hani Goodarzi,Justin K Ichida

International journal of molecular sciences 23: PubMed35409356

2022

Single-Cell RNA-Seq Analysis of Cells from Degenerating and Non-Degenerating Intervertebral Discs from the Same Individual Reveals New Biomarkers for Intervertebral Disc Degeneration.

Applications

Unspecified application

Species

Unspecified reactive species

Hosni Cherif,Matthew Mannarino,Alain Sarabia Pacis,Jiannis Ragoussis,Oded Rabau,Jean A Ouellet,Lisbet Haglund

Technology in cancer research & treatment 18:1533033819874808 PubMed31522605

2019

Influence of miR-376c-3p/SYF2 Axis on the Progression of Gastric Cancer.

Applications

Unspecified application

Species

Unspecified reactive species

Bin Liu,Guangchun Li,Zhen Zhang,Honglei Wu
View all publications

Product promise

We are committed to supporting your work with high-quality reagents, and we're here for you every step of the way. In the unlikely event that one of our products does not perform as expected, you're protected by our Product Promise.
For full details, please see our Terms & Conditions

Please note: All products are 'FOR RESEARCH USE ONLY. NOT FOR USE IN DIAGNOSTIC OR THERAPEUTIC PROCEDURES'.

For licensing inquiries, please contact partnerships@abcam.com