JavaScript is disabled in your browser. Please enable JavaScript to view this website.
AB126704

Anti-GCLM antibody [EPR6667]

5

(2 Reviews)

|

(56 Publications)

Rabbit Recombinant Monoclonal GCLM antibody. Suitable for IP, WB, IHC-P and reacts with Human, Mouse, Rat samples. Cited in 56 publications.

View Alternative Names

GLCLR, GCLM, Glutamate--cysteine ligase regulatory subunit, GCS light chain, Gamma-ECS regulatory subunit, Gamma-glutamylcysteine synthetase regulatory subunit, Glutamate--cysteine ligase modifier subunit

6 Images
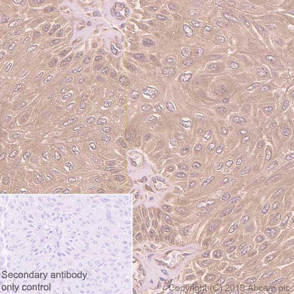
Immunohistochemistry (Formalin/PFA-fixed paraffin-embedded sections) - Anti-GCLM antibody [EPR6667] (AB126704)
  • IHC-P

Lab

Immunohistochemistry (Formalin/PFA-fixed paraffin-embedded sections) - Anti-GCLM antibody [EPR6667] (AB126704)

Immunohistochemistry (Formalin/PFA-fixed paraffin-embedded sections) analysis of Human bladder cancer tissue sections labeling GCLM with purified ab126704 at 1/50 dilution (2.4 µg/mL). Perform heat mediated antigen retrieval using ab93684 (Tris/EDTA buffer, pH 9.0). ImmunoHistoProbe one step HRP Polymer (ready to use) was used as the secondary antibody. Negative control : PBS instead of the primary antibody. Hematoxylin was used as a counterstain.

Immunoprecipitation - Anti-GCLM antibody [EPR6667] (AB126704)
  • IP

Unknown

Immunoprecipitation - Anti-GCLM antibody [EPR6667] (AB126704)

Purified ab126704 at 1/20 dilution (0.6μg) immunoprecipitating GCLM in HeLa whole cell lysate.
Lane 1 (input) : HeLa (Human cervix adenocarcinoma epithelial cell) whole cell lysate 10μg
Lane 2 (+) : ab126704 + HeLa whole cell lysate.
Lane 3 (-) : Rabbit monoclonal IgG (ab172730) instead of ab126704 in HeLa whole cell lysate.
VeriBlot for IP Detection Reagent (HRP) (ab131366) (1/5000 dilution) was used for Western blotting.
Blocking Buffer and concentration : 5% NFDM/TBST.
Diluting buffer and concentration : 5% NFDM/TBST.
Observed band size : 31 kDa

All lanes:

Immunoprecipitation - Anti-GCLM antibody [EPR6667] (ab126704)

Predicted band size: 31 kDa

false

Immunohistochemistry (Formalin/PFA-fixed paraffin-embedded sections) - Anti-GCLM antibody [EPR6667] (AB126704)
  • IHC-P

Lab

Immunohistochemistry (Formalin/PFA-fixed paraffin-embedded sections) - Anti-GCLM antibody [EPR6667] (AB126704)

Immunohistochemistry (Formalin/PFA-fixed paraffin-embedded sections) analysis of Rat liver tissue sections labeling GCLM with purified ab126704 at 1/50 dilution (2.4 µg/mL). Perform heat mediated antigen retrieval using ab93684 (Tris/EDTA buffer, pH 9.0). ImmunoHistoProbe one step HRP Polymer (ready to use) was used as the secondary antibody. Negative control : PBS instead of the primary antibody. Hematoxylin was used as a counterstain.

Immunohistochemistry (Formalin/PFA-fixed paraffin-embedded sections) - Anti-GCLM antibody [EPR6667] (AB126704)
  • IHC-P

Lab

Immunohistochemistry (Formalin/PFA-fixed paraffin-embedded sections) - Anti-GCLM antibody [EPR6667] (AB126704)

Immunohistochemistry (Formalin/PFA-fixed paraffin-embedded sections) analysis of Mouse cardiac muscle tissue sections labeling GCLM with purified ab126704 at 1/50 dilution (2.4 µg/mL). Perform heat mediated antigen retrieval using ab93684 (Tris/EDTA buffer, pH 9.0). ImmunoHistoProbe one step HRP Polymer (ready to use) was used as the secondary antibody. Negative control : PBS instead of the primary antibody. Hematoxylin was used as a counterstain.

Western blot - Anti-GCLM antibody [EPR6667] (AB126704)
  • WB

Lab

Western blot - Anti-GCLM antibody [EPR6667] (AB126704)

Lanes 1 - 3 : Merged signal (red and green). Green - ab126704 observed at 31 kDa. Red - loading control, ab130007, observed at 130 kDa.

ab126704 was shown to recognize GCLM in wild-type HAP1 cells as signal was lost at the expected MW in GCLM knockout cells. Additional cross-reactive bands were observed in the wild-type and knockout cells. Wild-type and GCLM knockout samples were subjected to SDS-PAGE. ab126704 and ab130007 (Mouse anti-Vinculin loading control) were incubated overnight at 4°C at 1 μg/ml and 1/20000 dilution respectively. Blots were developed with Goat anti-Rabbit IgG H&L (IRDye® 800CW) preabsorbed ab216773 and Goat anti-Mouse IgG H&L (IRDye® 680RD) preabsorbed ab216776 secondary antibodies at 1/20000 dilution for 1 hour at room temperature before imaging.

All lanes:

Western blot - Anti-GCLM antibody [EPR6667] (ab126704) at 1 µg/mL

Lane 1:

Wild-type HAP1 whole cell lysate at 20 µg

Lane 2:

GCLM knockout HAP1 whole cell lysate at 20 µg

Lane 3:

HeLa whole cell lysate at 20 µg

Predicted band size: 31 kDa

false

Western blot - Anti-GCLM antibody [EPR6667] (AB126704)
  • WB

Unknown

Western blot - Anti-GCLM antibody [EPR6667] (AB126704)

All lanes:

Western blot - Anti-GCLM antibody [EPR6667] (ab126704) at 1/10000 dilution

Lane 1:

HeLa (Human cervix adenocarcinoma epithelial cell) whole cell lysate

Lane 2:

NIH/3T3 (Mouse embryonic fibroblast) whole cell lysate

Lane 3:

PC-12 (Rat adrenal gland pheochromocytoma ) whole cell lysate

Secondary

All lanes:

Western blot - Goat Anti-Rabbit IgG H&L (HRP) (<a href='/en-us/products/secondary-antibodies/goat-rabbit-igg-h-l-hrp-ab97051'>ab97051</a>) at 1/20000 dilution

Predicted band size: 31 kDa

false

Key facts

Host species

Rabbit

Clonality

Monoclonal

Clone number

EPR6667

Isotype

IgG

Carrier free

No

Reacts with

Mouse, Rat, Human

Applications

IP, WB, IHC-P

applications

Immunogen

The exact immunogen used to generate this antibody is proprietary information.

Reactivity data

{ "title": "Reactivity Data", "filters": { "stats": ["", "Species", "Dilution Info", "Notes"], "tabs": { "all-applications": {"fullname" : "All Applications", "shortname": "All Applications"}, "IP" : {"fullname" : "Immunoprecipitation", "shortname":"IP"}, "FlowCyt" : {"fullname" : "Flow Cytometry", "shortname":"Flow Cyt"}, "WB" : {"fullname" : "Western blot", "shortname":"WB"}, "IHCP" : {"fullname" : "Immunohistochemistry (Formalin/PFA-fixed paraffin-embedded sections)", "shortname":"IHC-P"} }, "product-promise": { "all": "all", "testedAndGuaranteed": "tested", "guaranteed": "expected", "predicted": "predicted", "notRecommended": "not-recommended" } }, "values": { "Human": { "IP-species-checked": "testedAndGuaranteed", "IP-species-dilution-info": "1/10 - 1/100", "IP-species-notes": "<p></p>", "FlowCyt-species-checked": "notRecommended", "FlowCyt-species-dilution-info": "1/10 - 1/100", "FlowCyt-species-notes": "<p><a href='/en-us/products/primary-antibodies/rabbit-igg-monoclonal-epr25a-isotype-control-ab172730'>ab172730</a> - Rabbit monoclonal IgG, is suitable for use as an isotype control with this antibody.</p>", "WB-species-checked": "testedAndGuaranteed", "WB-species-dilution-info": "1/1000 - 1/10000", "WB-species-notes": "<p></p>", "IHCP-species-checked": "testedAndGuaranteed", "IHCP-species-dilution-info": "1/50 - 1/100", "IHCP-species-notes": "<p></p> Perform heat-mediated antigen retrieval with citrate buffer pH 6 before commencing with IHC staining protocol." }, "Mouse": { "IP-species-checked": "guaranteed", "IP-species-dilution-info": "", "IP-species-notes": "", "FlowCyt-species-checked": "notRecommended", "FlowCyt-species-dilution-info": "1/10 - 1/100", "FlowCyt-species-notes": "<p><a href='/en-us/products/primary-antibodies/rabbit-igg-monoclonal-epr25a-isotype-control-ab172730'>ab172730</a> - Rabbit monoclonal IgG, is suitable for use as an isotype control with this antibody.</p>", "WB-species-checked": "guaranteed", "WB-species-dilution-info": "", "WB-species-notes": "", "IHCP-species-checked": "testedAndGuaranteed", "IHCP-species-dilution-info": "1/50 - 1/100", "IHCP-species-notes": "<p></p> Perform heat-mediated antigen retrieval with citrate buffer pH 6 before commencing with IHC staining protocol." }, "Rat": { "IP-species-checked": "guaranteed", "IP-species-dilution-info": "", "IP-species-notes": "", "FlowCyt-species-checked": "notRecommended", "FlowCyt-species-dilution-info": "1/10 - 1/100", "FlowCyt-species-notes": "<p><a href='/en-us/products/primary-antibodies/rabbit-igg-monoclonal-epr25a-isotype-control-ab172730'>ab172730</a> - Rabbit monoclonal IgG, is suitable for use as an isotype control with this antibody.</p>", "WB-species-checked": "guaranteed", "WB-species-dilution-info": "", "WB-species-notes": "", "IHCP-species-checked": "testedAndGuaranteed", "IHCP-species-dilution-info": "1/50 - 1/100", "IHCP-species-notes": "<p></p> Perform heat-mediated antigen retrieval with citrate buffer pH 6 before commencing with IHC staining protocol." } } }

Product details

Patented technology
Our RabMAb® technology is a patented hybridoma-based technology for making rabbit monoclonal antibodies. For details on our patents, please refer to RabMAb® patents.

What are the advantages of a recombinant monoclonal antibody?
This product is a recombinant monoclonal antibody, which offers several advantages including:

  • - High batch-to-batch consistency and reproducibility
  • - Improved sensitivity and specificity
  • - Long-term security of supply
  • - Animal-free batch production

For more information, read more on recombinant antibodies.

Properties and storage information

Form
Liquid
Purification technique
Affinity purification Protein A
Storage buffer
pH: 7.2 - 7.4 Preservative: 0.01% Sodium azide Constituents: PBS, 40% Glycerol (glycerin, glycerine), 0.05% BSA
Shipped at conditions
Blue Ice
Appropriate short-term storage conditions
+4°C
Appropriate long-term storage conditions
-20°C
Storage information
Stable for 12 months at -20°C

Product protocols

For this product, it's our understanding that no specific protocols are required. You can visit:

Publications (56)

Recent publications for all applications. Explore the full list and refine your search

Cell death & disease 16:517 PubMed40651948

2025

CENPT prevents renal cell carcinoma against ferroptosis by enhancing the synthesis of glutathione.

Applications

Unspecified application

Species

Unspecified reactive species

Han Yang,Zongliang Zhang,Ninghan Feng,Kai Zhao,Yulian Zhang,Xinbao Yin,Guanqun Zhu,Zhenlin Wang,Xuechuan Yan,Xueyu Li,Zhaofeng Li,Qinglei Wang,Yixin Qi,Peng Zhao,Tianzhen He,Ke Wang

Frontiers in pharmacology 16:1569888 PubMed40308754

2025

The antidepressant effects of kaji-ichigoside F1 via activating PPAR-γ/CX3CR1/Nrf2 signaling and suppressing NF-κB/NLRP3 signaling pathways.

Applications

Unspecified application

Species

Unspecified reactive species

Maoyang Huang,Faju Chen,Lang Zhou,Qing Zhang,Li Wang,Liangqun Li,Lishou Yang,Ming Gao,Lilang Li,Yu Wang,Juan Yang,Guanping Yao,Qiji Li,Xiaosheng Yang

Scientific reports 14:29579 PubMed39609608

2024

NFE2L2 and SLC25A39 drive cuproptosis resistance through GSH metabolism.

Applications

Unspecified application

Species

Unspecified reactive species

Jiao Liu,Hu Tang,Fangquan Chen,Changfeng Li,Yangchun Xie,Rui Kang,Daolin Tang

Cancer discovery 15:401-426 PubMed39476412

2024

Copper Drives Remodeling of Metabolic State and Progression of Clear Cell Renal Cell Carcinoma.

Applications

Unspecified application

Species

Unspecified reactive species

Megan E Bischoff,Behrouz Shamsaei,Juechen Yang,Dina Secic,Bhargav Vemuri,Julie A Reisz,Angelo D'Alessandro,Caterina Bartolacci,Rafal Adamczak,Lucas Schmidt,Jiang Wang,Amelia Martines,Jahnavi Venkat,Vanina Toffessi Tcheuyap,Jacek Biesiada,Catherine A Behrmann,Katherine E Vest,James Brugarolas,Pier Paolo Scaglioni,David R Plas,Krushna C Patra,Shuchi Gulati,Julio A Landero Figueroa,Jarek Meller,John T Cunningham,Maria F Czyzyk-Krzeska

Phytotherapy research : PTR 38:5441-5457 PubMed39289784

2024

Geniposidic Acid Attenuates Chronic Tubulointerstitial Nephropathy Through Regulation of the NF-ƙB/Nrf2 Pathway Via Aryl Hydrocarbon Receptor Signaling.

Applications

Unspecified application

Species

Unspecified reactive species

Yan-Ni Wang,Xiao-Jun Li,Wen-Feng Wang,Liang Zou,Hua Miao,Ying-Yong Zhao

Journal of biochemical and molecular toxicology 38:e23808 PubMed39132830

2024

Calycosin activates Nrf2/Keap1 signaling to ameliorate hydrogen peroxide-induced spinal cord neuron death and mitochondrial dysfunction.

Applications

Unspecified application

Species

Unspecified reactive species

Ye Ruan,Ziming Cai,Zhengwen Kang,Jinzhu Liang,He Tian,Qinghe Yu,Qiusheng Zhang,Wenping Lin

Redox biology 75:103276 PubMed39053265

2024

Metastatic breast cancer cells are metabolically reprogrammed to maintain redox homeostasis during metastasis.

Applications

Unspecified application

Species

Unspecified reactive species

Marco Biondini,Camille Lehuédé,Sébastien Tabariès,Matthew G Annis,Alain Pacis,Eric H Ma,Christine Tam,Brian E Hsu,Yannick Audet-Delage,Afnan Abu-Thuraia,Charlotte Girondel,Valerie Sabourin,Stephanie P Totten,Mariana de Sá Tavares Russo,Gaëlle Bridon,Daina Avizonis,Marie-Christine Guiot,Julie St-Pierre,Josie Ursini-Siegel,Russell Jones,Peter M Siegel

Science advances 10:eadk7329 PubMed38489367

2024

Treatment with siRNAs is commonly associated with GPX4 up-regulation and target knockdown-independent sensitization to ferroptosis.

Applications

Unspecified application

Species

Unspecified reactive species

Anne von Mässenhausen,Marlena Nastassja Schlecht,Kristina Beer,Francesca Maremonti,Wulf Tonnus,Alexia Belavgeni,Shubhangi Gavali,Karolin Flade,Joel S Riley,Nadia Zamora Gonzalez,Anne Brucker,Jorunn Naila Becker,Mirela Tmava,Claudia Meyer,Mirko Peitzsch,Christian Hugo,Florian Gembardt,Jose Pedro Friedmann Angeli,Stefan R Bornstein,Stephen W G Tait,Andreas Linkermann

Advanced science (Weinheim, Baden-Wurttemberg, Germany) 11:e2305432 PubMed38126681

2023

Chemical Evolution and Biological Evaluation of Natural Products for Efficient Therapy of Acute Lung Injury.

Applications

Unspecified application

Species

Unspecified reactive species

Chengcheng Fan,Zeyi Zhang,Zhencheng Lai,Yanzi Yang,Jiaming Li,Lei Liu,Siyu Chen,Xueping Hu,Huajun Zhao,Sunliang Cui

Cell death discovery 9:450 PubMed38086844

2023

Cepharanthine, a regulator of keap1-Nrf2, inhibits gastric cancer growth through oxidative stress and energy metabolism pathway.

Applications

Unspecified application

Species

Unspecified reactive species

Yang-Yang Lu,Chun-Yang Zhu,Yi-Xin Ding,Bing Wang,Shu-Fen Zhao,Jing Lv,Shu-Ming Chen,Sha-Sha Wang,Yan Wang,Rui Wang,Wen-Sheng Qiu,Wei-Wei Qi
View all publications

Product promise

We are committed to supporting your work with high-quality reagents, and we're here for you every step of the way. In the unlikely event that one of our products does not perform as expected, you're protected by our Product Promise.
For full details, please see our Terms & Conditions

Please note: All products are 'FOR RESEARCH USE ONLY. NOT FOR USE IN DIAGNOSTIC OR THERAPEUTIC PROCEDURES'.

For licensing inquiries, please contact partnerships@abcam.com