JavaScript is disabled in your browser. Please enable JavaScript to view this website.
AB201170

Anti-GCM2 antibody

2

(2 Reviews)

|

(5 Publications)

Rabbit Polyclonal GCM2 antibody. Suitable for WB, IHC-P and reacts with Human samples. Cited in 5 publications. Immunogen corresponding to Recombinant Fragment Protein within Human GCM2 aa 1-250.

View Alternative Names

GCMB, GCM2, Chorion-specific transcription factor GCMb, hGCMb, GCM motif protein 2, Glial cells missing homolog 2

2 Images
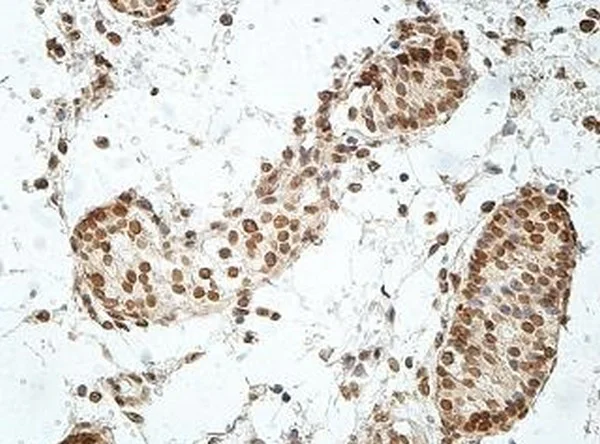
Immunohistochemistry (Formalin/PFA-fixed paraffin-embedded sections) - Anti-GCM2 antibody (AB201170)
  • IHC-P

Supplier Data

Immunohistochemistry (Formalin/PFA-fixed paraffin-embedded sections) - Anti-GCM2 antibody (AB201170)

Immunohistochemical analysis of formalin-fixed, paraffin embedded human fetal testis tissue labeling GCM2 with ab201170 at a 1/100 dilution.

Western blot - Anti-GCM2 antibody (AB201170)
  • WB

Supplier Data

Western blot - Anti-GCM2 antibody (AB201170)

All lanes:

Western blot - Anti-GCM2 antibody (ab201170) at 1/500 dilution

Lane 1:

A431 cell line lysate

Lane 2:

Human fetal brain tissue lysate

Predicted band size: 57 kDa

false

Key facts

Host species

Rabbit

Clonality

Polyclonal

Isotype

IgG

Carrier free

No

Reacts with

Human

Applications

IHC-P, WB

applications

Immunogen

Recombinant Fragment Protein within Human GCM2 aa 1-250. The exact immunogen used to generate this antibody is proprietary information.

O75603

Reactivity data

{ "title": "Reactivity Data", "filters": { "stats": ["", "Species", "Dilution Info", "Notes"], "tabs": { "all-applications": {"fullname" : "All Applications", "shortname": "All Applications"}, "WB" : {"fullname" : "Western blot", "shortname":"WB"}, "IHCP" : {"fullname" : "Immunohistochemistry (Formalin/PFA-fixed paraffin-embedded sections)", "shortname":"IHC-P"} }, "product-promise": { "all": "all", "testedAndGuaranteed": "tested", "guaranteed": "expected", "predicted": "predicted", "notRecommended": "not-recommended" } }, "values": { "Human": { "WB-species-checked": "testedAndGuaranteed", "WB-species-dilution-info": "1/200 - 1/1000", "WB-species-notes": "<p></p>", "IHCP-species-checked": "testedAndGuaranteed", "IHCP-species-dilution-info": "1/100 - 1/500", "IHCP-species-notes": "<p></p>" } } }

Properties and storage information

Form
Lyophilized
Reconstitution
reconstitute with water at 200µL
Purification technique
Affinity purification Immunogen
Storage buffer
pH: 7.2 Preservative: 0.02% Sodium azide Constituents: PBS, 1% BSA
Shipped at conditions
Blue Ice
Appropriate short-term storage duration
1-2 weeks
Appropriate short-term storage conditions
+4°C
Appropriate long-term storage conditions
-20°C
Aliquoting information
Upon delivery aliquot
Storage information
Avoid freeze / thaw cycle

Product protocols

For this product, it's our understanding that no specific protocols are required. You can visit:

Target data

Transcription factor that binds specific sequences on gene promoters and activate their transcription. Through the regulation of gene transcription, may play a role in parathyroid gland development.
See full target information GCM2

Publications (5)

Recent publications for all applications. Explore the full list and refine your search

The Journal of surgical research 276:404-415 PubMed35468367

2022

Effects of Multi-stage Procurement on the Viability and Function of Human Donor Parathyroid Glands.

Applications

Unspecified application

Species

Unspecified reactive species

Yvonne M Kelly,Casey Ward,Run Zhang,Shareef Syed,Peter G Stock,Quan-Yang Duh,Julie A Sosa,James Koh

The Journal of clinical endocrinology and metabolism 106:3168-3183 PubMed34272844

2021

Ex Vivo Intact Tissue Analysis Reveals Alternative Calcium-sensing Behaviors in Parathyroid Adenomas.

Applications

Unspecified application

Species

Unspecified reactive species

James Koh,Run Zhang,Sanziana Roman,Quan-Yang Duh,Jessica Gosnell,Wen Shen,Insoo Suh,Julie A Sosa

The Journal of clinical endocrinology and metabolism 106:e4084-e4096 PubMed34077544

2021

GCM2 Silencing in Parathyroid Adenoma Is Associated With Promoter Hypermethylation and Gain of Methylation on Histone 3.

Applications

Unspecified application

Species

Unspecified reactive species

Priyanka Singh,Sanjay Kumar Bhadada,Divya Dahiya,Uma Nahar Saikia,Ashutosh Kumar Arya,Naresh Sachdeva,Jyotdeep Kaur,Arunanshu Behera,Maria Luisa Brandi,Sudhaker Dhanwada Rao

Scientific reports 10:3290 PubMed32094398

2020

Parathyroid hormone-producing cells exist in adipose tissues surrounding the parathyroid glands in hemodialysis patients with secondary hyperparathyroidism.

Applications

Unspecified application

Species

Unspecified reactive species

Takatoshi Kakuta,Kaichiro Sawada,Genta Kanai,Ryoko Tatsumi,Takayo Miyakogawa,Mari Ishida,Raima Nakazawa,Masafumi Fukagawa

eLife 7: PubMed30084827

2018

Nuclear pore heterogeneity influences HIV-1 infection and the antiviral activity of MX2.

Applications

Unspecified application

Species

Unspecified reactive species

Melissa Kane,Stephanie V Rebensburg,Matthew A Takata,Trinity M Zang,Masahiro Yamashita,Mamuka Kvaratskhelia,Paul D Bieniasz
View all publications

Product promise

We are committed to supporting your work with high-quality reagents, and we're here for you every step of the way. In the unlikely event that one of our products does not perform as expected, you're protected by our Product Promise.
For full details, please see our Terms & Conditions

Please note: All products are 'FOR RESEARCH USE ONLY. NOT FOR USE IN DIAGNOSTIC OR THERAPEUTIC PROCEDURES'.

For licensing inquiries, please contact partnerships@abcam.com