JavaScript is disabled in your browser. Please enable JavaScript to view this website.
AB315472

Anti-GCN1 antibody [EPR28542-86]

  • 20ul selling size
  • RabMAb
  • Recombinant
  • KO Validated
  • What is this?

Be the first to review this product! Submit a review

|

(0 Publication)

Knockout Tested Rabbit Recombinant Monoclonal GCN1 antibody. Suitable for WB and reacts with Human, Mouse, Rat samples.

View Alternative Names

GCN1L1, KIAA0219, GCN1, Stalled ribosome sensor GCN1, GCN1 eIF-2-alpha kinase activator homolog, GCN1-like protein 1, General control of amino-acid synthesis 1-like protein 1, Translational activator GCN1, HsGCN1

3 Images
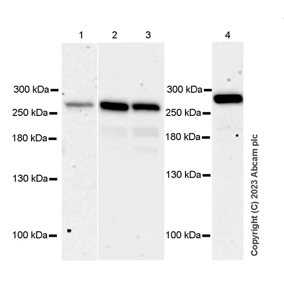
Western blot - Anti-GCN1 antibody [EPR28542-86] (AB315472)
  • WB

Supplier Data

Western blot - Anti-GCN1 antibody [EPR28542-86] (AB315472)

Blocking and diluting buffer and concentration : 5% NFDM/TBST.

Lysates were freshly made and used immediately to minimize protein degradation.

Exposure time : Lane1, 4 : 180 seconds, lane2-3 : 59 seconds

All lanes:

Western blot - Anti-GCN1 antibody [EPR28542-86] (ab315472) at 1/1000 dilution

Lane 1:

Human skeletal muscle tissue at 20 µg

Lane 2:

PC-3 (human prostate adenocarcinoma epithelial cell) whole cell lysate at 20 µg

Lane 3:

DU-145 (human prostate carcinoma epithelial cell) whole cell lysate at 20 µg

Lane 4:

HeLa (human cervix adenocarcinoma epithelial cell) whole cell lysate at 20 µg

Secondary

All lanes:

Western blot - Goat Anti-Rabbit IgG H&L (HRP) (<a href='/en-us/products/secondary-antibodies/goat-rabbit-igg-h-l-hrp-ab97051'>ab97051</a>) at 1/100000 dilution

Observed band size: 295 kDa

false

Western blot - Anti-GCN1 antibody [EPR28542-86] (AB315472)
  • WB

Supplier Data

Western blot - Anti-GCN1 antibody [EPR28542-86] (AB315472)

Blocking and diluting buffer and concentration : 5% NFDM/TBST.

In Western blot, ab315472 was shown to bind specifically to GCN1.

Target of interest was observed at 295 KD in wild-type HEK293T cell lysates (lane 1, wild-type cell line ab255449) with no signal observed at this size in GCN1L1 knockout cell line (lane 2, knockout cell line ab266780/ knockout cell lysate ab263213).

Lysates were freshly made and used immediately to minimize protein degradation.

In Western blot, Anti-Vinculin antibody [EPR8185] (ab129002) staining at 1/10000 dilution.

All lanes:

Western blot - Anti-GCN1 antibody [EPR28542-86] (ab315472) at 1/1000 dilution

Lane 1:

Wild-type HEK293T (human embryonic kidney epithelial cell) whole cell lysate at 20 µg

Lane 2:

GCN1L1 knockout HEK293T whole cell lysate at 20 µg

Secondary

All lanes:

Western blot - Goat Anti-Rabbit IgG H&L (HRP) (<a href='/en-us/products/secondary-antibodies/goat-rabbit-igg-h-l-hrp-ab97051'>ab97051</a>) at 1/100000 dilution

Observed band size: 295 kDa,124 kDa

false

Exposure time: 48s

Western blot - Anti-GCN1 antibody [EPR28542-86] (AB315472)
  • WB

Supplier Data

Western blot - Anti-GCN1 antibody [EPR28542-86] (AB315472)

Lysates were freshly made and used immediately to minimize protein degradation.

Blocking and diluting buffer and concentration : 5% NFDM/TBST.

All lanes:

Western blot - Anti-GCN1 antibody [EPR28542-86] (ab315472) at 1/1000 dilution

Lane 1:

Mouse brain tissue lysate at 20 µg

Lane 2:

Mouse liver tissue lysate at 20 µg

Lane 3:

Rat liver tissue lysate at 20 µg

Secondary

All lanes:

Western blot - Goat Anti-Rabbit IgG H&L (HRP) (<a href='/en-us/products/secondary-antibodies/goat-rabbit-igg-h-l-hrp-ab97051'>ab97051</a>) at 1/100000 dilution

Observed band size: 295 kDa

false

Exposure time: 180s

Key facts

Host species

Rabbit

Clonality

Monoclonal

Clone number

EPR28542-86

Isotype

IgG

Carrier free

No

Reacts with

Human, Mouse, Rat

Applications

WB

applications

Immunogen

The exact immunogen used to generate this antibody is proprietary information.

Reactivity data

{ "title": "Reactivity Data", "filters": { "stats": ["", "Species", "Dilution Info", "Notes"], "tabs": { "all-applications": {"fullname" : "All Applications", "shortname": "All Applications"}, "IHCP" : {"fullname" : "Immunohistochemistry (Formalin/PFA-fixed paraffin-embedded sections)", "shortname":"IHC-P"}, "ICCIF" : {"fullname" : "Immunocytochemistry/ Immunofluorescence", "shortname":"ICC/IF"}, "FlowCytIntra" : {"fullname" : "Flow Cytometry (Intracellular)", "shortname":"Flow Cyt (Intra)"}, "IP" : {"fullname" : "Immunoprecipitation", "shortname":"IP"}, "WB" : {"fullname" : "Western blot", "shortname":"WB"} }, "product-promise": { "all": "all", "testedAndGuaranteed": "tested", "guaranteed": "expected", "predicted": "predicted", "notRecommended": "not-recommended" } }, "values": { "Human": { "IHCP-species-checked": "notRecommended", "IHCP-species-dilution-info": "", "IHCP-species-notes": "<p></p>", "ICCIF-species-checked": "notRecommended", "ICCIF-species-dilution-info": "", "ICCIF-species-notes": "<p></p>", "FlowCytIntra-species-checked": "notRecommended", "FlowCytIntra-species-dilution-info": "", "FlowCytIntra-species-notes": "<p></p>", "IP-species-checked": "notRecommended", "IP-species-dilution-info": "", "IP-species-notes": "<p></p>", "WB-species-checked": "testedAndGuaranteed", "WB-species-dilution-info": "1/1000", "WB-species-notes": "<p></p>" }, "Mouse": { "IHCP-species-checked": "notRecommended", "IHCP-species-dilution-info": "", "IHCP-species-notes": "<p></p>", "ICCIF-species-checked": "notRecommended", "ICCIF-species-dilution-info": "", "ICCIF-species-notes": "", "FlowCytIntra-species-checked": "notRecommended", "FlowCytIntra-species-dilution-info": "", "FlowCytIntra-species-notes": "", "IP-species-checked": "notRecommended", "IP-species-dilution-info": "", "IP-species-notes": "", "WB-species-checked": "testedAndGuaranteed", "WB-species-dilution-info": "1/1000", "WB-species-notes": "<p></p>" }, "Rat": { "IHCP-species-checked": "notRecommended", "IHCP-species-dilution-info": "", "IHCP-species-notes": "<p></p>", "ICCIF-species-checked": "notRecommended", "ICCIF-species-dilution-info": "", "ICCIF-species-notes": "", "FlowCytIntra-species-checked": "notRecommended", "FlowCytIntra-species-dilution-info": "", "FlowCytIntra-species-notes": "", "IP-species-checked": "notRecommended", "IP-species-dilution-info": "", "IP-species-notes": "", "WB-species-checked": "testedAndGuaranteed", "WB-species-dilution-info": "1/1000", "WB-species-notes": "<p></p>" } } }

Product details

Patented technology
Our RabMAb® technology is a patented hybridoma-based technology for making rabbit monoclonal antibodies. For details on our patents, please refer to RabMAb® patents.

What are the advantages of a recombinant monoclonal antibody?
This product is a recombinant monoclonal antibody, which offers several advantages including:

  • - High batch-to-batch consistency and reproducibility
  • - Improved sensitivity and specificity
  • - Long-term security of supply
  • - Animal-free batch production

For more information, read more on recombinant antibodies.

Properties and storage information

Form
Liquid
Purification technique
Affinity purification Protein A
Storage buffer
pH: 7.2 - 7.4 Preservative: 0.01% Sodium azide Constituents: PBS, 40% Glycerol (glycerin, glycerine), 0.05% BSA
Shipped at conditions
Blue Ice
Appropriate short-term storage duration
1-2 weeks
Appropriate short-term storage conditions
+4°C
Appropriate long-term storage conditions
-20°C
Aliquoting information
Upon delivery aliquot
Storage information
Avoid freeze / thaw cycle

Product protocols

For this product, it's our understanding that no specific protocols are required. You can visit:

Target data

Ribosome collision sensor that plays a key role in the RNF14-RNF25 translation quality control pathway, a pathway that takes place when a ribosome has stalled during translation, and which promotes ubiquitination and degradation of translation factors on stalled ribosomes (PubMed : 32610081, PubMed : 36638793, PubMed : 37651229, PubMed : 37951215, PubMed : 37951216). Directly binds to the ribosome and acts as a sentinel for colliding ribosomes : activated following ribosome stalling and promotes recruitment of RNF14, which directly ubiquitinates EEF1A1/eEF1A, leading to its degradation (PubMed : 36638793, PubMed : 37951215, PubMed : 37951216). In addition to EEF1A1/eEF1A, the RNF14-RNF25 translation quality control pathway mediates degradation of ETF1/eRF1 and ubiquitination of ribosomal protein (PubMed : 36638793, PubMed : 37651229). GCN1 also acts as a positive activator of the integrated stress response (ISR) by mediating activation of EIF2AK4/GCN2 in response to amino acid starvation (By similarity). Interaction with EIF2AK4/GCN2 on translating ribosomes stimulates EIF2AK4/GCN2 kinase activity, leading to phosphorylation of eukaryotic translation initiation factor 2 (eIF-2-alpha/EIF2S1) (By similarity). EIF2S1/eIF-2-alpha phosphorylation converts EIF2S1/eIF-2-alpha into a global protein synthesis inhibitor, leading to a global attenuation of cap-dependent translation, and thus to a reduced overall utilization of amino acids, while concomitantly initiating the preferential translation of ISR-specific mRNAs, such as the transcriptional activator ATF4, and hence allowing ATF4-mediated reprogramming of amino acid biosynthetic gene expression to alleviate nutrient depletion (By similarity).
See full target information GCN1

Product promise

We are committed to supporting your work with high-quality reagents, and we're here for you every step of the way. In the unlikely event that one of our products does not perform as expected, you're protected by our Product Promise.
For full details, please see our Terms & Conditions

Please note: All products are 'FOR RESEARCH USE ONLY. NOT FOR USE IN DIAGNOSTIC OR THERAPEUTIC PROCEDURES'.

For licensing inquiries, please contact partnerships@abcam.com