JavaScript is disabled in your browser. Please enable JavaScript to view this website.
AB134053

Anti-GCN2 antibody [EPR5970(2)]

4

(2 Reviews)

|

(18 Publications)

Rabbit Recombinant Monoclonal GCN2 antibody. Suitable for IHC-P, WB, ICC/IF, Flow Cyt (Intra) and reacts with Human samples. Cited in 18 publications.

View Alternative Names

GCN2, KIAA1338, EIF2AK4, eIF-2-alpha kinase GCN2, Eukaryotic translation initiation factor 2-alpha kinase 4, GCN2-like protein

13 Images
Immunocytochemistry/ Immunofluorescence - Anti-GCN2 antibody [EPR5970(2)] (AB134053)
  • ICC/IF

Lab

Immunocytochemistry/ Immunofluorescence - Anti-GCN2 antibody [EPR5970(2)] (AB134053)

Immunocytochemistry/ Immunofluorescence analysis of MCF7 (Human breast adenocarcinoma cell line) cells labeling GCN2 with ab134053 at 1/250 dilution (4.0μg/ml). The cells were co-stained with ab195889, an Anti-alpha Tubulin antibody [DM1A] - Microtubule Marker (Alexa Fluor® 594) at 1/200 (2.5 μg/ml). Cells were fixed with 100% methanol. ab150077, a Goat anti-rabbit IgG(Alexa Fluor® 488) secondary antibody was used at 1/1000 dilution. DAPI was used as the nuclear counter stain.

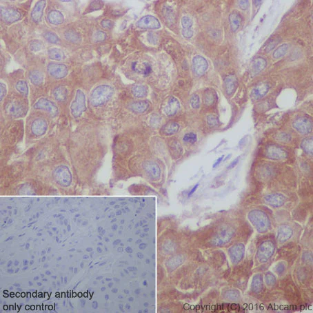
Immunohistochemistry (Formalin/PFA-fixed paraffin-embedded sections) - Anti-GCN2 antibody [EPR5970(2)] (AB134053)
  • IHC-P

Lab

Immunohistochemistry (Formalin/PFA-fixed paraffin-embedded sections) - Anti-GCN2 antibody [EPR5970(2)] (AB134053)

Immunohistochemistry (Formalin/PFA-fixed paraffin-embedded sections) analysis of human breast carconoma tissue sections labeling GCN2 with purified ab134053 at 1/100 dilution (10 μg/ml). Heat mediated antigen retrieval was performed using EDTA Buffer, PH9. ab97051, a Goat Anti-Rabbit IgG H&L (HRP) secondary antibody was used at 1/500 dilution. Tissue was counterstained with hematoxylin. PBS instead of the primary antibody was used as the negative control.

Flow Cytometry (Intracellular) - Anti-GCN2 antibody [EPR5970(2)] (AB134053)
  • Flow Cyt (Intra)

Unknown

Flow Cytometry (Intracellular) - Anti-GCN2 antibody [EPR5970(2)] (AB134053)

Intracellular Flow Cytometry analysis of MCF7 (Human breast adenocarcinoma cell line) cells labeling GCN2 with purified ab134053 at 1/100 dilution (10 ug/ml). Cells were fixed with 4% paraformaldehyde. A Goat anti-rabbit IgG (Alexa Fluor® 488) secondary antibody was used at 1/2000 dilution. Rabbit monoclonal IgG (Black) was used as the isotypre control. Cells without incubation with the primary antibody and secondary antibody (Blue) is the unlabeled control.

Immunocytochemistry/ Immunofluorescence - Anti-GCN2 antibody [EPR5970(2)] (AB134053)
  • ICC/IF

Lab

Immunocytochemistry/ Immunofluorescence - Anti-GCN2 antibody [EPR5970(2)] (AB134053)

Immunofluorescence staining of MCF-7 cells with purified ab134053 at a working dilution of 1/500, counter-stained with DAPI. The secondary antibody was an Alexa Fluor® 488 conjugated goat anti-rabbit (ab150077), used at a dilution of 1/1000. The cells were fixed in 100% methanol. The negative control is shown in bottom right hand panel - for the negative control, PBS was used instead of the primary antibody.

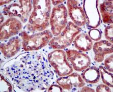
Immunohistochemistry (Formalin/PFA-fixed paraffin-embedded sections) - Anti-GCN2 antibody [EPR5970(2)] (AB134053)
  • IHC-P

Unknown

Immunohistochemistry (Formalin/PFA-fixed paraffin-embedded sections) - Anti-GCN2 antibody [EPR5970(2)] (AB134053)

Immunohistochemical analysis of paraffin-embedded Human kidney tissue labelling GCN2 with unpurified ab134053 at 1/100 dilution.

Perform heat mediated antigen retrieval before commencing with IHC staining protocol.

Flow Cytometry (Intracellular) - Anti-GCN2 antibody [EPR5970(2)] (AB134053)
  • Flow Cyt (Intra)

Unknown

Flow Cytometry (Intracellular) - Anti-GCN2 antibody [EPR5970(2)] (AB134053)

Overlay histogram showing HeLa cells stained with unpurified ab134053 (red line). The cells were fixed with 80% methanol (5 min) and then permeabilized with 0.1% PBS-Tween for 20 min. The cells were then incubated in 1x PBS / 10% normal goat serum / 0.3M glycine to block non-specific protein-protein interactions followed by the antibody (ab134053, 1/10000 dilution) for 30 min at 22°C. The secondary antibody used was Alexa Fluor® 488 goat anti-rabbit IgG (H&L) (ab150077) at 1/2000 dilution for 30 min at 22°C. Isotype control antibody (black line) was rabbit IgG (monoclonal) (0.1μg/1x106 cells) used under the same conditions. Unlabelled sample (blue line) was also used as a control. Acquisition of >5,000 events were collected using a 20mW Argon ion laser (488nm) and 525/30 bandpass filter. This antibody gave a positive signal in HeLa cells fixed with 4% paraformaldehyde (10 min)/permeabilized with 0.1% PBS-Tween for 20 min used under the same conditions.

Western blot - Anti-GCN2 antibody [EPR5970(2)] (AB134053)
  • WB

Lab

Western blot - Anti-GCN2 antibody [EPR5970(2)] (AB134053)

Lanes 1- 2 : Merged signal (red and green). Green - ab134053 observed at 187 kDa. Red - Anti-alpha Tubulin antibody [DM1A] - Loading Control (ab7291) observed at 50 kDa.

ab134053 was shown to react with GCN2 in wild-type HEK-293T cells in western blot. Loss of signal was observed when knockout cell line ab267246 (knockout cell lysate ab256902) was used. Wild-type HEK-293T and EIF2AK4 knockout HEK-293T cell lysates were subjected to SDS-PAGE. ab134053 and Anti-alpha Tubulin antibody [DM1A] - Loading Control (ab7291) overnight at 4°C at a 1 in 1000 Dilution and a 1 in 20000 dilution respectively. Blots were developed with Goat anti-Rabbit IgG H&L (IRDye®800CW) preadsorbed (ab216773) and Goat anti-Mouse IgG H&L (IRDye®680RD) preadsorbed (ab216776) secondary antibodies at 1 in 20000 dilution for 1 hour at room temperature before imaging.

All lanes:

Western blot - Anti-GCN2 antibody [EPR5970(2)] (ab134053) at 1/1000 dilution

Lane 1:

Wild-type HEK-293T cell lysate at 20 µg

Lane 2:

EIF2AK4 knockout HEK-293T cell lysate at 20 µg

Lane 2:

Western blot - Human EIF2AK4 (GCN2) knockout HEK-293T cell line (<a href='/en-us/products/cell-lines/human-eif2ak4-gcn2-knockout-hek-293t-cell-line-ab267246'>ab267246</a>)

Predicted band size: 187 kDa

Observed band size: 187 kDa

false

Western blot - Anti-GCN2 antibody [EPR5970(2)] (AB134053)
  • WB

Lab

Western blot - Anti-GCN2 antibody [EPR5970(2)] (AB134053)

In Western blot, Anti-GAPDH antibody [EPR16891] - Loading Control (ab181602) staining at 1/1000000 dilution.

ab134053 is more sensitive than ab302609 in WB testing.

Lanes 1 - 2:

Western blot - Anti-GCN2 antibody [EPR25345-125] (<a href='/en-us/products/primary-antibodies/gcn2-antibody-epr25345-125-ab302609'>ab302609</a>) at 1/1000 dilution

Lanes 3 - 4:

Western blot - Anti-GCN2 antibody [EPR5970(2)] (ab134053) at 1/1000 dilution

Lanes 1 and 3:

HeLa (Human epithelial cell line from cervix adenocarcinoma) whole cell lysate at 20 µg

Lanes 2 and 4:

293T (Human epithelial cell line from embryonic kidney) whole cell lysate at 20 µg

Secondary

All lanes:

Western blot - Goat Anti-Rabbit IgG H&L (HRP) (<a href='/en-us/products/secondary-antibodies/goat-rabbit-igg-h-l-hrp-ab97051'>ab97051</a>) at 1/20000 dilution

Observed band size: 187 kDa

false

Exposure time: 60s

Western blot - Anti-GCN2 antibody [EPR5970(2)] (AB134053)
  • WB

Lab

Western blot - Anti-GCN2 antibody [EPR5970(2)] (AB134053)

Lanes 1- 2 : Merged signal (red and green). Green - ab134053 observed at 187 kDa. Red - Anti-alpha Tubulin antibody [DM1A] - Loading Control (ab7291) observed at 50 kDa.

ab134053 was shown to react with GCN2 in wild-type HEK-293T cells in western blot. Loss of signal was observed when knockout cell line ab267247 (knockout cell lysate ab256903) was used. Wild-type HEK-293T and EIF2AK4 knockout HEK-293T cell lysates were subjected to SDS-PAGE. ab134053 and Anti-alpha Tubulin antibody [DM1A] - Loading Control (ab7291) overnight at 4°C at a 1 in 1000 dilution and a 1 in 20000 dilution respectively. Blots were developed with Goat anti-Rabbit IgG H&L (IRDye®800CW) preadsorbed (ab216773) and Goat anti-Mouse IgG H&L (IRDye®680RD) preadsorbed (ab216776) secondary antibodies at 1 in 20000 dilution for 1 hour at room temperature before imaging.

All lanes:

Western blot - Anti-GCN2 antibody [EPR5970(2)] (ab134053) at 1/1000 dilution

Lane 1:

Wild-type HEK-293T cell lysate at 20 µg

Lane 2:

EIF2AK4 knockout HEK-293T cell lysate at 20 µg

Lane 2:

Western blot - Human EIF2AK4 (GCN2) knockout HEK-293T cell line (<a href='/en-us/products/cell-lines/human-eif2ak4-gcn2-knockout-hek-293t-cell-line-ab267247'>ab267247</a>)

Predicted band size: 112 kDa,13 kDa,187 kDa,55 kDa,69 kDa

Observed band size: 187 kDa

false

Western blot - Anti-GCN2 antibody [EPR5970(2)] (AB134053)
  • WB

Lab

Western blot - Anti-GCN2 antibody [EPR5970(2)] (AB134053)

Lane 1 : Wild-type HAP1 cell lysate (20 μg)
Lane 2 : GCN2 knockout HAP1 cell lysate (20 μg)
Lane 3 : MOLT4 cell lysate (20 μg)
Lane 4 : A549 cell lysate (20 μg)

Lanes 1 - 4 : Merged signal (red and green). Green - ab134053 observed at 171 kDa. Red - loading control, ab18058, observed at 124 kDa.

Unpurified ab134053 was shown to recognize GCN2 when GCN2 knockout samples were used, along with additional cross-reactive bands. Wild-type and GCN2 knockout samples were subjected to SDS-PAGE. ab134053 and ab18058 (loading control to Vinculin) were diluted at 1/1000 and 1/10 000 respectively and incubated overnight at 4°C. Blots were developed with Goat anti-Rabbit IgG H&L (IRDye® 800CW) preadsorbed (ab216773) and Goat anti-Mouse IgG H&L (IRDye® 680RD) preadsorbed (ab216776) secondary antibodies at 1/10000 dilution for 1 h at room temperature before imaging.

All lanes:

Western blot - Anti-GCN2 antibody [EPR5970(2)] (ab134053)

Predicted band size: 187 kDa,55 kDa

false

Western blot - Anti-GCN2 antibody [EPR5970(2)] (AB134053)
  • WB

Unknown

Western blot - Anti-GCN2 antibody [EPR5970(2)] (AB134053)

All lanes:

Western blot - Anti-GCN2 antibody [EPR5970(2)] (ab134053) at 1/1000 dilution

Lane 1:

HeLa cell lysate at 10 µg

Lane 2:

293T cell lysate at 10 µg

Lane 3:

MOLT4 cell lysate at 10 µg

Lane 4:

A549 cell lysate at 10 µg

Secondary

All lanes:

HRP labelled goat anti-rabbit at 1/2000 dilution

Predicted band size: 187 kDa

false

Western blot - Anti-GCN2 antibody [EPR5970(2)] (AB134053)
  • WB

Lab

Western blot - Anti-GCN2 antibody [EPR5970(2)] (AB134053)

Blocking and diluting buffer : 5% NFDM /TBST.

All lanes:

Western blot - Anti-GCN2 antibody [EPR5970(2)] (ab134053) at 1/50000 dilution

All lanes:

MOLT-4 (Human lymphoblastic leukemia cell line) whole cell lysate at 20 µg

Secondary

All lanes:

Western blot - Goat Anti-Rabbit IgG H&L (HRP) (<a href='/en-us/products/secondary-antibodies/goat-rabbit-igg-h-l-hrp-ab97051'>ab97051</a>) at 1/20000 dilution

Predicted band size: 187 kDa

Observed band size: 187 kDa

false

Western blot - Anti-GCN2 antibody [EPR5970(2)] (AB134053)
  • WB

Lab

Western blot - Anti-GCN2 antibody [EPR5970(2)] (AB134053)

Blocking and diluting buffer : 5% NFDM/TBST.

All lanes:

Western blot - Anti-GCN2 antibody [EPR5970(2)] (ab134053) at 1/10000 dilution

Lane 1:

HeLa (Human epithelial cell line from cervix adenocarcinoma) whole cell lysate at 15 µg

Lane 2:

HEK-293 (Human epithelial cell line from embryonic kidney) whole cell lysate at 15 µg

Secondary

All lanes:

Western blot - Goat Anti-Rabbit IgG H&L (HRP) (<a href='/en-us/products/secondary-antibodies/goat-rabbit-igg-h-l-hrp-ab97051'>ab97051</a>) at 1/100000 dilution

Predicted band size: 187 kDa

Observed band size: 187 kDa

false

Key facts

Host species

Rabbit

Clonality

Monoclonal

Clone number

EPR5970(2)

Isotype

IgG

Carrier free

No

Reacts with

Human

Applications

IHC-P, WB, ICC/IF, Flow Cyt (Intra)

applications

Immunogen

The exact immunogen used to generate this antibody is proprietary information.

Reactivity data

{ "title": "Reactivity Data", "filters": { "stats": ["", "Species", "Dilution Info", "Notes"], "tabs": { "all-applications": {"fullname" : "All Applications", "shortname": "All Applications"}, "IHCP" : {"fullname" : "Immunohistochemistry (Formalin/PFA-fixed paraffin-embedded sections)", "shortname":"IHC-P"}, "WB" : {"fullname" : "Western blot", "shortname":"WB"}, "ICCIF" : {"fullname" : "Immunocytochemistry/ Immunofluorescence", "shortname":"ICC/IF"}, "FlowCytIntra" : {"fullname" : "Flow Cytometry (Intracellular)", "shortname":"Flow Cyt (Intra)"}, "IP" : {"fullname" : "Immunoprecipitation", "shortname":"IP"} }, "product-promise": { "all": "all", "testedAndGuaranteed": "tested", "guaranteed": "expected", "predicted": "predicted", "notRecommended": "not-recommended" } }, "values": { "Human": { "IHCP-species-checked": "testedAndGuaranteed", "IHCP-species-dilution-info": "1/100 - 1/250", "IHCP-species-notes": "<p></p> Perform heat-mediated antigen retrieval before commencing with IHC staining protocol.", "WB-species-checked": "testedAndGuaranteed", "WB-species-dilution-info": "1/1000 - 1/10000", "WB-species-notes": "<p></p>", "ICCIF-species-checked": "testedAndGuaranteed", "ICCIF-species-dilution-info": "1/250 - 1/500", "ICCIF-species-notes": "<p></p>", "FlowCytIntra-species-checked": "testedAndGuaranteed", "FlowCytIntra-species-dilution-info": "1/100", "FlowCytIntra-species-notes": "<p><a href='/en-us/products/primary-antibodies/rabbit-igg-monoclonal-epr25a-isotype-control-ab172730'>ab172730</a> - Rabbit monoclonal IgG, is suitable for use as an isotype control with this antibody. For unpurified use at 1/1000 - 1/10000</p>", "IP-species-checked": "notRecommended", "IP-species-dilution-info": "1/30", "IP-species-notes": "<p></p>" }, "Mouse": { "IHCP-species-checked": "notRecommended", "IHCP-species-dilution-info": "", "IHCP-species-notes": "", "WB-species-checked": "notRecommended", "WB-species-dilution-info": "1/1000 - 1/10000", "WB-species-notes": "<p></p>", "ICCIF-species-checked": "notRecommended", "ICCIF-species-dilution-info": "", "ICCIF-species-notes": "", "FlowCytIntra-species-checked": "notRecommended", "FlowCytIntra-species-dilution-info": "", "FlowCytIntra-species-notes": "", "IP-species-checked": "notRecommended", "IP-species-dilution-info": "", "IP-species-notes": "" }, "Rat": { "IHCP-species-checked": "notRecommended", "IHCP-species-dilution-info": "", "IHCP-species-notes": "", "WB-species-checked": "notRecommended", "WB-species-dilution-info": "1/1000 - 1/10000", "WB-species-notes": "<p></p>", "ICCIF-species-checked": "notRecommended", "ICCIF-species-dilution-info": "", "ICCIF-species-notes": "", "FlowCytIntra-species-checked": "notRecommended", "FlowCytIntra-species-dilution-info": "", "FlowCytIntra-species-notes": "", "IP-species-checked": "notRecommended", "IP-species-dilution-info": "", "IP-species-notes": "" } } }

Product details

Species reactivity
Mouse, Rat: We have preliminary internal testing data to indicate this antibody may not react with these species.
Please contact us for more information.

Patented technology
Our RabMAb® technology is a patented hybridoma-based technology for making rabbit monoclonal antibodies. For details on our patents, please refer to RabMAb® patents.

What are the advantages of a recombinant monoclonal antibody?
This product is a recombinant monoclonal antibody, which offers several advantages including:

  • - High batch-to-batch consistency and reproducibility
  • - Improved sensitivity and specificity
  • - Long-term security of supply
  • - Animal-free batch production

For more information, read more on recombinant antibodies.

Properties and storage information

Form
Liquid
Purification technique
Affinity purification Protein A
Storage buffer
pH: 7.2 - 7.4 Preservative: 0.01% Sodium azide Constituents: PBS, 40% Glycerol (glycerin, glycerine), 0.05% BSA
Shipped at conditions
Blue Ice
Appropriate short-term storage duration
1-2 weeks
Appropriate short-term storage conditions
+4°C
Appropriate long-term storage conditions
-20°C
Aliquoting information
Upon delivery aliquot
Storage information
Avoid freeze / thaw cycle|Stable for 12 months at -20°C

Product protocols

For this product, it's our understanding that no specific protocols are required. You can visit:

Target data

Metabolic-stress sensing protein kinase that phosphorylates the alpha subunit of eukaryotic translation initiation factor 2 (EIF2S1/eIF-2-alpha) in response to low amino acid availability (PubMed : 25329545, PubMed : 32610081). Plays a role as an activator of the integrated stress response (ISR) required for adaptation to amino acid starvation (By similarity). EIF2S1/eIF-2-alpha phosphorylation in response to stress converts EIF2S1/eIF-2-alpha into a global protein synthesis inhibitor, leading to a global attenuation of cap-dependent translation, and thus to a reduced overall utilization of amino acids, while concomitantly initiating the preferential translation of ISR-specific mRNAs, such as the transcriptional activator ATF4, and hence allowing ATF4-mediated reprogramming of amino acid biosynthetic gene expression to alleviate nutrient depletion (PubMed : 32610081). Binds uncharged tRNAs (By similarity). Required for the translational induction of protein kinase PRKCH following amino acid starvation (By similarity). Involved in cell cycle arrest by promoting cyclin D1 mRNA translation repression after the unfolded protein response pathway (UPR) activation or cell cycle inhibitor CDKN1A/p21 mRNA translation activation in response to amino acid deprivation (PubMed : 26102367). Plays a role in the consolidation of synaptic plasticity, learning as well as formation of long-term memory (By similarity). Plays a role in neurite outgrowth inhibition (By similarity). Plays a proapoptotic role in response to glucose deprivation (By similarity). Promotes global cellular protein synthesis repression in response to UV irradiation independently of the stress-activated protein kinase/c-Jun N-terminal kinase (SAPK/JNK) and p38 MAPK signaling pathways (By similarity). Plays a role in the antiviral response against alphavirus infection; impairs early viral mRNA translation of the incoming genomic virus RNA, thus preventing alphavirus replication (By similarity).. (Microbial infection) Plays a role in modulating the adaptive immune response to yellow fever virus infection; promotes dendritic cells to initiate autophagy and antigene presentation to both CD4(+) and CD8(+) T-cells under amino acid starvation (PubMed : 24310610).
See full target information EIF2AK4

Publications (18)

Recent publications for all applications. Explore the full list and refine your search

Bone research 13:47 PubMed40229258

2025

SPI1 activates mitochondrial unfolded response signaling to inhibit chondrocyte senescence and relieves osteoarthritis.

Applications

Unspecified application

Species

Unspecified reactive species

Xiangyu Zu,Shenghong Chen,Zhengyuan Li,Lin Hao,Wenhan Fu,Hui Zhang,Zongsheng Yin,Yin Wang,Jun Wang

Nature communications 16:50 PubMed39747098

2025

Liver-specific gene PGRMC1 blocks c-Myc-induced hepatocarcinogenesis through ER stress-independent PERK activation.

Applications

Unspecified application

Species

Unspecified reactive species

Fubo Ji,Jianjuan Zhang,Liping Mao,Yaqi Tan,Meihua Ye,Xianglei He,Yongzhi Zhao,Jiaxin Liu,Yan Zhang,Nachuan Zhang,Jiong Shi,Jianing Yan,Xiujun Cai,Bin Zhao,Jianping Jin,Pinglong Xu,Stephanie Roessler,Xin Zheng,Junfang Ji

JCI insight 9: PubMed39316438

2024

GCN2 kinase activation mediates pulmonary vascular remodeling and pulmonary arterial hypertension.

Applications

Unspecified application

Species

Unspecified reactive species

Maggie M Zhu,Jingbo Dai,Zhiyu Dai,Yi Peng,You-Yang Zhao

EMBO reports 25:4488-4514 PubMed39261742

2024

CaMKII suppresses proteotoxicity by phosphorylating BAG3 in response to proteasomal dysfunction.

Applications

Unspecified application

Species

Unspecified reactive species

Chenliang Zhang,Huanji Xu,Qiulin Tang,Yichun Duan,Hongwei Xia,Huixi Huang,Di Ye,Feng Bi

Advanced science (Weinheim, Baden-Wurttemberg, Germany) 11:e2401748 PubMed38994891

2024

Overcoming Cancer Persister Cells by Stabilizing the ATF4 Promoter G-quadruplex.

Applications

Unspecified application

Species

Unspecified reactive species

Chengmei Xiao,Yipu Li,Yushuang Liu,Ruifang Dong,Xiaoyu He,Qing Lin,Xin Zang,Kaibo Wang,Yuanzheng Xia,Lingyi Kong

Heliyon 9:e14799 PubMed37025861

2023

Activating mutations in EGFR and PI3K promote ATF4 induction for NSCLC cell survival during amino acid deprivation.

Applications

Unspecified application

Species

Unspecified reactive species

Mizuki Takahashi,Yuka Okamoto,Yu Kato,Hitomi Shirahama,Satomi Tsukahara,Yoshikazu Sugimoto,Akihiro Tomida

Stem cell reports 17:2674-2689 PubMed36400028

2022

Patient-specific and gene-corrected induced pluripotent stem cell-derived endothelial cells elucidate single-cell phenotype of pulmonary veno-occlusive disease.

Applications

Unspecified application

Species

Unspecified reactive species

Baihui Ma,Tianjiao Li,Wenke Li,Hang Yang,Qixian Zeng,Zihang Pan,Kai Wang,Qianlong Chen,Changming Xiong,Zhou Zhou

Science advances 8:eabo1304 PubMed36306353

2022

Ribosome changes reprogram translation for chemosurvival in G0 leukemic cells.

Applications

Unspecified application

Species

Unspecified reactive species

Chandreyee Datta,Samuel S Truesdell,Keith Q Wu,Syed I A Bukhari,Harrison Ngue,Brienna Buchanan,Olivier Le Tonqueze,Sooncheol Lee,Swapna Kollu,Madeleine A Granovetter,Myriam Boukhali,Johannes Kreuzer,Maheen S Batool,Leonora Balaj,Wilhelm Haas,Shobha Vasudevan

Cell metabolism 34:1151-1167.e7 PubMed35839757

2022

GCN2 inhibition sensitizes arginine-deprived hepatocellular carcinoma cells to senolytic treatment.

Applications

Unspecified application

Species

Unspecified reactive species

Rindert Missiaen,Nicole M Anderson,Laura C Kim,Bailey Nance,Michelle Burrows,Nicolas Skuli,Madeleine Carens,Romain Riscal,An Steensels,Fuming Li,M Celeste Simon

EMBO reports 23:e53373 PubMed34994492

2022

Amino acid starvation-induced LDLR trafficking accelerates lipoprotein endocytosis and LDL clearance.

Applications

Unspecified application

Species

Unspecified reactive species

Ye Chen,Xiao Wu,Jing Zhang,Guopin Pan,Xiaoyun Wang,Xiaosun Guo,Jianli Wang,Xiaopei Cui,Haiqing Gao,Mei Cheng,Jingwen Yang,Cheng Zhang,Fan Jiang
View all publications

Product promise

We are committed to supporting your work with high-quality reagents, and we're here for you every step of the way. In the unlikely event that one of our products does not perform as expected, you're protected by our Product Promise.
For full details, please see our Terms & Conditions

Please note: All products are 'FOR RESEARCH USE ONLY. NOT FOR USE IN DIAGNOSTIC OR THERAPEUTIC PROCEDURES'.

For licensing inquiries, please contact partnerships@abcam.com