JavaScript is disabled in your browser. Please enable JavaScript to view this website.
AB233221

Anti-GDA antibody

Be the first to review this product! Submit a review

|

(1 Publication)

Rabbit Polyclonal GDA antibody. Suitable for WB, IHC-P and reacts with Cow, Recombinant fragment - Human, Mouse, Human samples. Cited in 1 publication. Immunogen corresponding to Recombinant Full Length Protein corresponding to Human GDA.

View Alternative Names

KIAA1258, GDA, Guanine deaminase, Guanase, Guanine aminase, Guanine aminohydrolase, p51-nedasin, GAH

7 Images
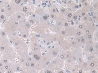
Immunohistochemistry (Formalin/PFA-fixed paraffin-embedded sections) - Anti-GDA antibody (AB233221)
  • IHC-P

Supplier Data

Immunohistochemistry (Formalin/PFA-fixed paraffin-embedded sections) - Anti-GDA antibody (AB233221)

Formalin-fixed, paraffin-embedded human stomach tissue stained for GDA using ab233221 at 30 μg/ml in immunohistochemical analysis.

Secondary used : HRP-Linked Goat Anti-Rabbit IgG Polyclonal at 2 μg/ml. DAB staining.

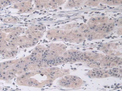
Immunohistochemistry (Formalin/PFA-fixed paraffin-embedded sections) - Anti-GDA antibody (AB233221)
  • IHC-P

Supplier Data

Immunohistochemistry (Formalin/PFA-fixed paraffin-embedded sections) - Anti-GDA antibody (AB233221)

Formalin-fixed, paraffin-embedded human liver tissue stained for GDA using ab233221 at 30 μg/ml in immunohistochemical analysis.

Secondary used : HRP-Linked Goat Anti-Rabbit IgG Polyclonal at 2 μg/ml. DAB staining.

Immunohistochemistry (Formalin/PFA-fixed paraffin-embedded sections) - Anti-GDA antibody (AB233221)
  • IHC-P

Supplier Data

Immunohistochemistry (Formalin/PFA-fixed paraffin-embedded sections) - Anti-GDA antibody (AB233221)

Formalin-fixed, paraffin-embedded human brain tissue stained for GDA using ab233221 at 30 μg/ml in immunohistochemical analysis.

Secondary used : HRP-Linked Goat Anti-Rabbit IgG Polyclonal at 2 μg/ml. DAB staining.

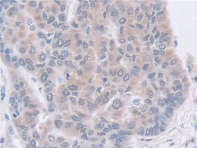
Immunohistochemistry (Formalin/PFA-fixed paraffin-embedded sections) - Anti-GDA antibody (AB233221)
  • IHC-P

Supplier Data

Immunohistochemistry (Formalin/PFA-fixed paraffin-embedded sections) - Anti-GDA antibody (AB233221)

Formalin-fixed, paraffin-embedded human liver cancer tissue stained for GDA using ab233221 at 30 μg/ml in immunohistochemical analysis.

Secondary used : HRP-Linked Goat Anti-Rabbit IgG Polyclonal at 2 μg/ml. DAB staining.

Western blot - Anti-GDA antibody (AB233221)
  • WB

Unknown

Western blot - Anti-GDA antibody (AB233221)

All lanes:

Western blot - Anti-GDA antibody (ab233221) at 1 µg/mL

Lane 1:

Human serum

Lane 2:

HeLa (human epithelial cell line from cervix adenocarcinoma) cell lysate

Lane 3:

Mouse brain lysate

Lane 4:

Mouse kidney lysate

Lane 5:

Cow brain lysate

Secondary

All lanes:

HRP-Linked Guinea pig anti-Rabbit at 1/2000 dilution

Predicted band size: 51 kDa

false

Western blot - Anti-GDA antibody (AB233221)
  • WB

Lab

Western blot - Anti-GDA antibody (AB233221)

False colour image of Western blot : Anti-GDA antibody staining at 0.5 μg/ml, shown in green; Mouse anti-GAPDH antibody [6C5] (ab8245) loading control staining at 1/20000 dilution, shown in red. In Western blot, ab233221 was shown to bind specifically to GDA. A band was observed at 51 kDa in wild-type HeLa cell lysates with no signal observed at this size in GDA knockout cell line ab264695 (knockout cell lysate ab258431). To generate this image, wild-type and GDA knockout HeLa cell lysates were analysed. First, samples were run on an SDS-PAGE gel then transferred onto a nitrocellulose membrane. Membranes were blocked in 3 % milk in TBS-0.1 % Tween® 20 (TBS-T) before incubation with primary antibodies overnight at 4°C. Blots were washed four times in TBS-T, incubated with secondary antibodies for 1 h at room temperature, washed again four times then imaged. Secondary antibodies used were Goat anti-Rabbit IgG H&L (IRDye® 800CW) preabsorbed (ab216773) and Goat anti-Mouse IgG H&L (IRDye® 680RD) preabsorbed (ab216776) at 1/20000 dilution.

All lanes:

Western blot - Anti-GDA antibody (ab233221) at 0.5 µg/mL

Lane 1:

Wild-type HeLa cell lysate at 20 µg

Lane 2:

Western blot - Human GDA knockout HeLa cell lysate (<a href='/en-us/products/cell-lysates/human-gda-knockout-hela-cell-lysate-ab258431'>ab258431</a>)

Lane 2:

GDA knockout HeLa cell lysate at 20 µg

Lane 2:

Western blot - Human GDA knockout HeLa cell line (<a href='/en-us/products/cell-lines/human-gda-knockout-hela-cell-line-ab264695'>ab264695</a>)

Lane 3:

Mouse kidney cell lysate at 20 µg

Lane 4:

Daudi cell lysate at 20 µg

Predicted band size: 51 kDa

Observed band size: 51 kDa

false

Western blot - Anti-GDA antibody (AB233221)
  • WB

Unknown

Western blot - Anti-GDA antibody (AB233221)

All lanes:

Western blot - Anti-GDA antibody (ab233221) at 1 µg/mL

All lanes:

Recombinant human GDA protein

Secondary

All lanes:

HRP-Linked Guinea pig anti-Rabbit at 1/2000 dilution

Predicted band size: 51 kDa

false

Key facts

Host species

Rabbit

Clonality

Polyclonal

Isotype

IgG

Carrier free

No

Reacts with

Mouse, Cow, Human

Applications

WB, IHC-P

applications

Immunogen

Recombinant Full Length Protein corresponding to Human GDA.

Q9Y2T3

Reactivity data

{ "title": "Reactivity Data", "filters": { "stats": ["", "Species", "Dilution Info", "Notes"], "tabs": { "all-applications": {"fullname" : "All Applications", "shortname": "All Applications"}, "WB" : {"fullname" : "Western blot", "shortname":"WB"}, "IHCP" : {"fullname" : "Immunohistochemistry (Formalin/PFA-fixed paraffin-embedded sections)", "shortname":"IHC-P"} }, "product-promise": { "all": "all", "testedAndGuaranteed": "tested", "guaranteed": "expected", "predicted": "predicted", "notRecommended": "not-recommended" } }, "values": { "Human": { "WB-species-checked": "testedAndGuaranteed", "WB-species-dilution-info": "0.5-2 µg/mL", "WB-species-notes": "<p></p>", "IHCP-species-checked": "testedAndGuaranteed", "IHCP-species-dilution-info": "5-20 µg/mL", "IHCP-species-notes": "<p></p>" }, "Mouse": { "WB-species-checked": "testedAndGuaranteed", "WB-species-dilution-info": "0.5-2 µg/mL", "WB-species-notes": "<p></p>", "IHCP-species-checked": "guaranteed", "IHCP-species-dilution-info": "", "IHCP-species-notes": "" }, "Rat": { "WB-species-checked": "predicted", "WB-species-dilution-info": "", "WB-species-notes": "", "IHCP-species-checked": "predicted", "IHCP-species-dilution-info": "", "IHCP-species-notes": "" }, "Cow": { "WB-species-checked": "testedAndGuaranteed", "WB-species-dilution-info": "0.5-2 µg/mL", "WB-species-notes": "<p></p>", "IHCP-species-checked": "guaranteed", "IHCP-species-dilution-info": "", "IHCP-species-notes": "" }, "Orangutan": { "WB-species-checked": "predicted", "WB-species-dilution-info": "", "WB-species-notes": "", "IHCP-species-checked": "predicted", "IHCP-species-dilution-info": "", "IHCP-species-notes": "" }, "Recombinant fragment - Human": { "WB-species-checked": "testedAndGuaranteed", "WB-species-dilution-info": "0.5-2 µg/mL", "WB-species-notes": "<p></p>", "IHCP-species-checked": "notRecommended", "IHCP-species-dilution-info": "", "IHCP-species-notes": "" } } }

Properties and storage information

Form
Liquid
Purification technique
Affinity purification Protein A
Purification notes
Antigen-specific affinity chromatography followed by Protein A affinity chromatography.
Storage buffer
pH: 7.4 Preservative: 0.011% Proclin 300 Constituents: 55.77% Glycerol (glycerin, glycerine), 44.219% PBS
Shipped at conditions
Blue Ice
Appropriate short-term storage duration
1-2 weeks
Appropriate short-term storage conditions
+4°C
Appropriate long-term storage conditions
-20°C
Aliquoting information
Upon delivery aliquot
Storage information
Avoid freeze / thaw cycle

Product protocols

For this product, it's our understanding that no specific protocols are required. You can visit:

Target data

Catalyzes the hydrolytic deamination of guanine, producing xanthine and ammonia.
See full target information GDA

Publications (1)

Recent publications for all applications. Explore the full list and refine your search

Advanced materials (Deerfield Beach, Fla.) 35:e2302801 PubMed37589156

2023

Cellular Membrane-Engineered Nanovesicles as a Three-Stage Booster to Target the Lesion Core.

Applications

Unspecified application

Species

Unspecified reactive species

Fanyi Huang,Yawei Du,Yanjia Chen,Zeping Qiu,Zhiyan Wang,Yingze Fan,Yunjing Shi,Zhuojin Li,Ke Yang,Wenguo Cui,Wei Jin
View all publications

Product promise

We are committed to supporting your work with high-quality reagents, and we're here for you every step of the way. In the unlikely event that one of our products does not perform as expected, you're protected by our Product Promise.
For full details, please see our Terms & Conditions

Please note: All products are 'FOR RESEARCH USE ONLY. NOT FOR USE IN DIAGNOSTIC OR THERAPEUTIC PROCEDURES'.

For licensing inquiries, please contact partnerships@abcam.com