JavaScript is disabled in your browser. Please enable JavaScript to view this website.
AB210606

Anti-GDA antibody [EPR18751]

5

(1 Review)

|

(2 Publications)

Rabbit Recombinant Monoclonal GDA antibody. Suitable for IHC-P and reacts with Human samples. Cited in 2 publications.

View Alternative Names

KIAA1258, GDA, Guanine deaminase, Guanase, Guanine aminase, Guanine aminohydrolase, p51-nedasin, GAH

4 Images
Immunohistochemistry (Formalin/PFA-fixed paraffin-embedded sections) - Anti-GDA antibody [EPR18751] (AB210606)
  • IHC-P

Supplier Data

Immunohistochemistry (Formalin/PFA-fixed paraffin-embedded sections) - Anti-GDA antibody [EPR18751] (AB210606)

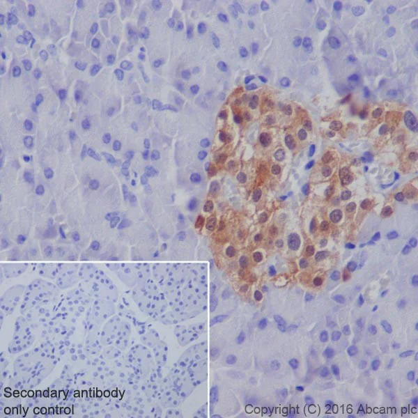
Immunohistochemical analysis of paraffin-embedded human hepatocellular carcinoma tissue labeling GDA with ab210606 at 1/250 dilution followed by Goat Anti-Rabbit IgG H&L (HRP) (ab97051) at 1/500 dilution. Cytoplasmic and weak nuclear staining on human hepatocellular carcinoma is observed. Counter stained with Hematoxylin.

Secondary antibody only control : Used PBS instead of primary antibody secondary antibody is Goat Anti-Rabbit IgG H&L (HRP) (ab97051) at 1/500 dilution.

Perform heat mediated antigen retrieval with Tris/EDTA buffer pH 9.0 before commencing with IHC staining protocol.

Immunohistochemistry (Formalin/PFA-fixed paraffin-embedded sections) - Anti-GDA antibody [EPR18751] (AB210606)
  • IHC-P

Supplier Data

Immunohistochemistry (Formalin/PFA-fixed paraffin-embedded sections) - Anti-GDA antibody [EPR18751] (AB210606)

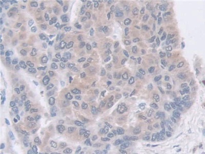
Immunohistochemical analysis of paraffin-embedded human pancreas tissue labeling GDA with ab210606 at 1/250 dilution followed by Goat Anti-Rabbit IgG H&L (HRP) (ab97051) at 1/500 dilution. Cytoplasmic and weak nuclear staining on islets of human pancreas is observed. Counter stained with Hematoxylin.

Secondary antibody only control : Used PBS instead of primary antibody secondary antibody is Goat Anti-Rabbit IgG H&L (HRP) (ab97051) at 1/500 dilution.

Perform heat mediated antigen retrieval with Tris/EDTA buffer pH 9.0 before commencing with IHC staining protocol.

Immunohistochemistry (Formalin/PFA-fixed paraffin-embedded sections) - Anti-GDA antibody [EPR18751] (AB210606)
  • IHC-P

Supplier Data

Immunohistochemistry (Formalin/PFA-fixed paraffin-embedded sections) - Anti-GDA antibody [EPR18751] (AB210606)

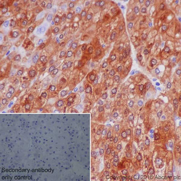
Immunohistochemical analysis of paraffin-embedded human kidney tissue labeling GDA with ab210606 at 1/250 dilution followed by Goat Anti-Rabbit IgG H&L (HRP) (ab97051) at 1/500 dilution. Cytoplasmic and weak nuclear staining on proximal tubule of human kidney is observed (PMID : 3132023). Counter stained with Hematoxylin.

Secondary antibody only control : Used PBS instead of primary antibody secondary antibody is Goat Anti-Rabbit IgG H&L (HRP) (ab97051) at 1/500 dilution.

Perform heat mediated antigen retrieval with Tris/EDTA buffer pH 9.0 before commencing with IHC staining protocol.

Immunohistochemistry (Formalin/PFA-fixed paraffin-embedded sections) - Anti-GDA antibody [EPR18751] (AB210606)
  • IHC-P

Supplier Data

Immunohistochemistry (Formalin/PFA-fixed paraffin-embedded sections) - Anti-GDA antibody [EPR18751] (AB210606)

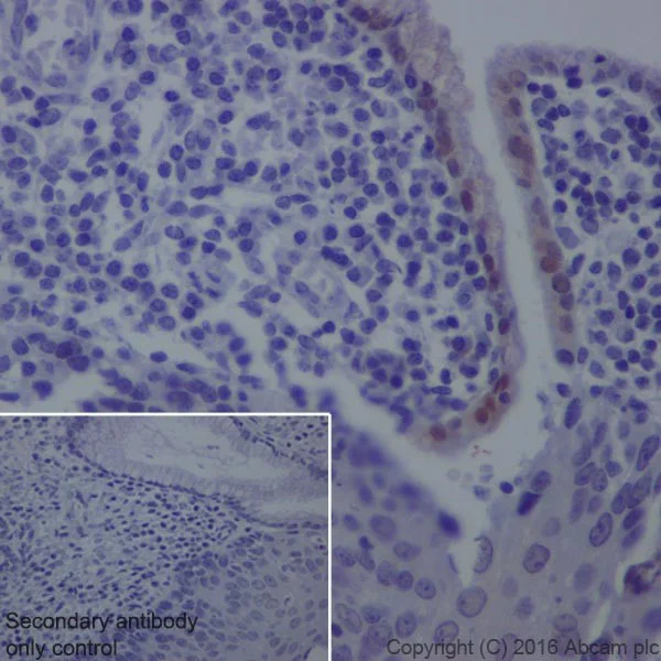
Immunohistochemical analysis of paraffin-embedded human cervix tissue labeling GDA with ab210606 at 1/250 dilution followed by Goat Anti-Rabbit IgG H&L (HRP) (ab97051) at 1/500 dilution. Nuclear and weak cytoplasm staining on squamocolumnar junction cells of human normal cervix is observed (PMID : 22689991). Counter stained with Hematoxylin.

Secondary antibody only control : Used PBS instead of primary antibody secondary antibody is Goat Anti-Rabbit IgG H&L (HRP) (ab97051) at 1/500 dilution.

Perform heat mediated antigen retrieval with Tris/EDTA buffer pH 9.0 before commencing with IHC staining protocol.

  • Carrier free

    Anti-GDA antibody [EPR18751] - BSA and Azide free

Key facts

Host species

Rabbit

Clonality

Monoclonal

Clone number

EPR18751

Isotype

IgG

Carrier free

No

Reacts with

Human

Applications

IHC-P

applications

Immunogen

The exact immunogen used to generate this antibody is proprietary information.

Reactivity data

{ "title": "Reactivity Data", "filters": { "stats": ["", "Species", "Dilution Info", "Notes"], "tabs": { "all-applications": {"fullname" : "All Applications", "shortname": "All Applications"}, "IHCP" : {"fullname" : "Immunohistochemistry (Formalin/PFA-fixed paraffin-embedded sections)", "shortname":"IHC-P"} }, "product-promise": { "all": "all", "testedAndGuaranteed": "tested", "guaranteed": "expected", "predicted": "predicted", "notRecommended": "not-recommended" } }, "values": { "Human": { "IHCP-species-checked": "testedAndGuaranteed", "IHCP-species-dilution-info": "1/250", "IHCP-species-notes": "<p></p>" } } }

Product details

Patented technology
Our RabMAb® technology is a patented hybridoma-based technology for making rabbit monoclonal antibodies. For details on our patents, please refer to RabMAb® patents.

What are the advantages of a recombinant monoclonal antibody?
This product is a recombinant monoclonal antibody, which offers several advantages including:

  • - High batch-to-batch consistency and reproducibility
  • - Improved sensitivity and specificity
  • - Long-term security of supply
  • - Animal-free batch production

For more information, read more on recombinant antibodies.

Properties and storage information

Form
Liquid
Purification technique
Affinity purification Protein A
Storage buffer
pH: 7.2 - 7.4 Preservative: 0.01% Sodium azide Constituents: PBS, 40% Glycerol (glycerin, glycerine), 0.05% BSA
Shipped at conditions
Blue Ice
Appropriate short-term storage duration
1-2 weeks
Appropriate short-term storage conditions
+4°C
Appropriate long-term storage conditions
-20°C
Aliquoting information
Upon delivery aliquot
Storage information
Avoid freeze / thaw cycle

Product protocols

For this product, it's our understanding that no specific protocols are required. You can visit:

Target data

Catalyzes the hydrolytic deamination of guanine, producing xanthine and ammonia.
See full target information GDA

Publications (2)

Recent publications for all applications. Explore the full list and refine your search

Frontiers in endocrinology 16:1585216 PubMed40416526

2025

Fatty acid metabolism after short-term fasting: POMC response and EPA signal maintain homeostasis in tilapia.

Applications

Unspecified application

Species

Unspecified reactive species

Xiaozheng Yu,Tiansheng Zhu,Yang Yu,Ran Cai,Meiqing Li,Caiyun Sun,Wensheng Li

eLife 7: PubMed30475207

2018

FoxA1 and FoxA2 drive gastric differentiation and suppress squamous identity in NKX2-1-negative lung cancer.

Applications

Unspecified application

Species

Unspecified reactive species

Soledad A Camolotto,Shrivatsav Pattabiraman,Timothy L Mosbruger,Alex Jones,Veronika K Belova,Grace Orstad,Mitchell Streiff,Lydia Salmond,Chris Stubben,Klaus H Kaestner,Eric L Snyder
View all publications

Product promise

We are committed to supporting your work with high-quality reagents, and we're here for you every step of the way. In the unlikely event that one of our products does not perform as expected, you're protected by our Product Promise.
For full details, please see our Terms & Conditions

Please note: All products are 'FOR RESEARCH USE ONLY. NOT FOR USE IN DIAGNOSTIC OR THERAPEUTIC PROCEDURES'.

For licensing inquiries, please contact partnerships@abcam.com