JavaScript is disabled in your browser. Please enable JavaScript to view this website.
AB38544

Anti-GDF 9 antibody

Be the first to review this product! Submit a review

|

(3 Publications)

Rabbit Polyclonal GDF 9 antibody. Suitable for WB, IHC-P and reacts with Human samples. Cited in 3 publications. Immunogen corresponding to Synthetic Peptide within Human GDF9 conjugated to Keyhole Limpet Haemocyanin.

View Alternative Names

Growth/differentiation factor 9, GDF-9, GDF9

2 Images
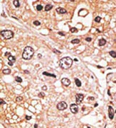
Immunohistochemistry (Formalin/PFA-fixed paraffin-embedded sections) - Anti-GDF 9 antibody (AB38544)
  • IHC-P

Unknown

Immunohistochemistry (Formalin/PFA-fixed paraffin-embedded sections) - Anti-GDF 9 antibody (AB38544)

Formalin-fixed and paraffin-embedded human hepatocarcinoma tissue reacted with ab38544 at a 1/50 dilution, which was peroxidase-conjugated to the secondary antibody, followed by AEC staining.

This data demonstrates the use of this antibody for immunohistochemistry; clinical relevance has not been evaluated.

Western blot - Anti-GDF 9 antibody (AB38544)
  • WB

Unknown

Western blot - Anti-GDF 9 antibody (AB38544)

All lanes:

Western blot - Anti-GDF 9 antibody (ab38544) at 1/100 dilution

All lanes:

HL60 cell lysate

Predicted band size: 51 kDa

Observed band size: 51 kDa

false

Key facts

Host species

Rabbit

Clonality

Polyclonal

Isotype

IgG

Carrier free

No

Reacts with

Human

Applications

IHC-P, WB

applications

Immunogen

Synthetic Peptide within Human GDF9 conjugated to Keyhole Limpet Haemocyanin. The exact immunogen used to generate this antibody is proprietary information.

O60383

Reactivity data

{ "title": "Reactivity Data", "filters": { "stats": ["", "Species", "Dilution Info", "Notes"], "tabs": { "all-applications": {"fullname" : "All Applications", "shortname": "All Applications"}, "WB" : {"fullname" : "Western blot", "shortname":"WB"}, "IHCP" : {"fullname" : "Immunohistochemistry (Formalin/PFA-fixed paraffin-embedded sections)", "shortname":"IHC-P"} }, "product-promise": { "all": "all", "testedAndGuaranteed": "tested", "guaranteed": "expected", "predicted": "predicted", "notRecommended": "not-recommended" } }, "values": { "Human": { "WB-species-checked": "testedAndGuaranteed", "WB-species-dilution-info": "1/100 - 1/500", "WB-species-notes": "<p></p>", "IHCP-species-checked": "testedAndGuaranteed", "IHCP-species-dilution-info": "1/50 - 1/100", "IHCP-species-notes": "<p></p>" } } }

Properties and storage information

Form
Liquid
Purification technique
Affinity purification Protein G
Purification notes
This antibody is purified through a protein G column and eluted out with both high and low pH buffers and neutralized immediately after elution then followed by dialysis against PBS.
Storage buffer
Preservative: 0.09% Sodium azide Constituents: PBS
Shipped at conditions
Blue Ice
Appropriate short-term storage duration
1-2 weeks
Appropriate short-term storage conditions
+4°C
Appropriate long-term storage conditions
-20°C
Aliquoting information
Upon delivery aliquot

Product protocols

For this product, it's our understanding that no specific protocols are required. You can visit:

Target data

Required for ovarian folliculogenesis. Promotes primordial follicle development. Stimulates granulosa cell proliferation. Promotes cell transition from G0/G1 to S and G2/M phases, through an increase of CCND1 and CCNE1 expression, and RB1 phosphorylation. It regulates STAR expression and cAMP-dependent progesterone release in granulosa and thecal cells. Attenuates the suppressive effects of activin A on STAR expression and progesterone production by increasing the expression of inhibin B. It suppresses FST and FSTL3 production in granulosa-lutein cells.
See full target information GDF9

Publications (3)

Recent publications for all applications. Explore the full list and refine your search

Theranostics 14:1371-1389 PubMed38389850

2024

Polycomb repressive complex 1 modulates granulosa cell proliferation in early folliculogenesis to support female reproduction.

Applications

Unspecified application

Species

Unspecified reactive species

Meng Gao,Tuo Zhang,Tengxiang Chen,Ziqi Chen,Zijian Zhu,Yang Wen,Shaogang Qin,Yibing Bao,Ting Zhao,Hengxing Li,Longping Liu,Ming Hao,Jianbin Wang,Fengchao Wang,Haibin Wang,Bo Zhou,Hua Zhang,Guoliang Xia,Chao Wang

International journal of molecular medicine 35:1219-29 PubMed25760093

2015

Stem cells derived from human first-trimester umbilical cord have the potential to differentiate into oocyte-like cells in vitro.

Applications

Unspecified application

Species

Unspecified reactive species

Xiang Hu,Hua Lu,Sheng Cao,Yan-Li Deng,Qi-Jia Li,Qian Wan,Shang-Mian Yie

The Journal of endocrinology 202:419-30 PubMed19505950

2009

Extra-ovarian expression and activity of growth differentiation factor 9.

Applications

Unspecified application

Species

Unspecified reactive species

Yao Wang,Peter K Nicholls,Peter G Stanton,Craig A Harrison,Mai Sarraj,Robert B Gilchrist,Jock K Findlay,Paul G Farnworth
View all publications

Product promise

We are committed to supporting your work with high-quality reagents, and we're here for you every step of the way. In the unlikely event that one of our products does not perform as expected, you're protected by our Product Promise.
For full details, please see our Terms & Conditions

Please note: All products are 'FOR RESEARCH USE ONLY. NOT FOR USE IN DIAGNOSTIC OR THERAPEUTIC PROCEDURES'.

For licensing inquiries, please contact partnerships@abcam.com