JavaScript is disabled in your browser. Please enable JavaScript to view this website.
AB124721

Anti-GDF11 + GDF8/Myostatin antibody [EPR4567(2)]

3

(6 Reviews)

|

(40 Publications)

Rabbit Recombinant Monoclonal GDF11 antibody. Suitable for WB, ICC/IF, Flow Cyt (Intra), IHC-P and reacts with Mouse, Rat, Human samples. Cited in 40 publications.

View Alternative Names

BMP11, GDF11, Growth/differentiation factor 11, GDF-11, Bone morphogenetic protein 11, BMP-11

6 Images
Immunocytochemistry/ Immunofluorescence - Anti-GDF11 + GDF8/Myostatin antibody [EPR4567(2)] (AB124721)
  • ICC/IF

Lab

Immunocytochemistry/ Immunofluorescence - Anti-GDF11 + GDF8/Myostatin antibody [EPR4567(2)] (AB124721)

Immunocytochemistry/Immunofluorescence analysis of A549 cells labelling BMP11 + GDF8/Myostatin with purified ab124721 at 1/250. Cells were fixed with 4% paraformaldehyde and permeabilized with 0.1% triton X-100. ab150078, an Alexa Fluor® 555-conjugated goat anti-rabbit IgG (1/500) was used as the secondary antibody. DAPI (blue) was used as the nuclear counterstain.

Control : primary antibody (1/250) and secondary antibody, ab150113, an Alexa Fluor® 488-conjugated goat anti-mouse IgG (1/500).

Flow Cytometry (Intracellular) - Anti-GDF11 + GDF8/Myostatin antibody [EPR4567(2)] (AB124721)
  • Flow Cyt (Intra)

Lab

Flow Cytometry (Intracellular) - Anti-GDF11 + GDF8/Myostatin antibody [EPR4567(2)] (AB124721)

ab124721 staining GDF11 + GDF8/Myostatin in the human cell line HeLa (human cervix adenocarcinoma) by intracellular flow cytometry. Cells were fixed with 4% paraformaldehyde, permabilised with 90% methanol and the sample was incubated with the primary antibody at a dilution of 1/250. A goat anti rabbit IgG (Alexa Fluor® 488) at a dilution of 1/2000 was used as the secondary antibody.

Isoytype control : Rabbit monoclonal IgG (Black)

Unlabelled control : Cell without incubation with primary antibody and secondary antibody (Blue)

Immunohistochemistry (Formalin/PFA-fixed paraffin-embedded sections) - Anti-GDF11 + GDF8/Myostatin antibody [EPR4567(2)] (AB124721)
  • IHC-P

Unknown

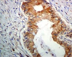
Immunohistochemistry (Formalin/PFA-fixed paraffin-embedded sections) - Anti-GDF11 + GDF8/Myostatin antibody [EPR4567(2)] (AB124721)

Immunohistochemistry (Formalin/PFA-fixed paraffin-embedded sections) analysis of human colon adenocarcinoma tissue labelling BMP11 + GDF8/Myostatin with unpurified ab124721 at 1/500 dilution.

Perform heat mediated antigen retrieval with Tris/EDTA buffer pH 9.0 before commencing with IHC staining protocol.

Immunohistochemistry (Formalin/PFA-fixed paraffin-embedded sections) - Anti-GDF11 + GDF8/Myostatin antibody [EPR4567(2)] (AB124721)
  • IHC-P

Lab

Immunohistochemistry (Formalin/PFA-fixed paraffin-embedded sections) - Anti-GDF11 + GDF8/Myostatin antibody [EPR4567(2)] (AB124721)

Immunohistochemistry (Formalin/PFA-fixed paraffin-embedded sections) analysis of human cerebral cortex tissue labelling BMP11 + GDF8/Myostatin with purified ab124721 at 1/2500. Heat mediated antigen retrieval was performed using Tris/EDTA buffer pH 9. A prediluted HRP-polymer conjugated anti-rabbit IgG was used as the secondary antibody. Negative control using PBS instead of primary antibody. Counterstained with hematoxylin.

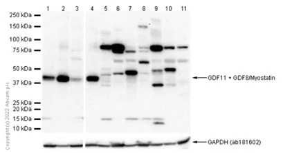
Western blot - Anti-GDF11 + GDF8/Myostatin antibody [EPR4567(2)] (AB124721)
  • WB

Supplier Data

Western blot - Anti-GDF11 + GDF8/Myostatin antibody [EPR4567(2)] (AB124721)

Blocking and diluting buffer : 5% NFDM/TBST This antibody is unsuitable to detect tissue samples.

All lanes:

Western blot - Anti-GDF11 + GDF8/Myostatin antibody [EPR4567(2)] (ab124721) at 1/1000 dilution

Lane 1:

HeLa (Human cervix adenocarcinoma epithelial cell) whole cell lysate at 20 µg

Lane 2:

HEK-293 (Human embryonic kidney epithelial cell) whole cell lysate at 20 µg

Lane 3:

C2C12 (Mouse myoblasts myoblast) whole cell lysate at 20 µg

Lane 4:

C6 (Rat glial tumor glial cell) whole cell lysate at 20 µg

Lane 5:

Rat liver lysate at 20 µg

Lane 6:

Rat heart lysate at 20 µg

Lane 7:

Rat kidney lysate at 20 µg

Lane 8:

Mouse brain lysate at 20 µg

Lane 9:

Mouse liver lysate at 20 µg

Lane 10:

Human liver lysate at 20 µg

Lane 11:

Human skeletal muscle lysate at 20 µg

Secondary

All lanes:

Goat Anti-Rabbit IgG (HRP) with minimal cross-reactivity with human IgG at 1/2000 dilution

Observed band size: 45 kDa

false

Exposure time: 5s

OI-RD Scanning - Anti-GDF11 + GDF8/Myostatin antibody [EPR4567(2)] (AB124721)
  • OI-RD Scanning

Unknown

OI-RD Scanning - Anti-GDF11 + GDF8/Myostatin antibody [EPR4567(2)] (AB124721)

We have systematically measured KD (the equilibrium dissociation constant between the antibody and its antigen), of more than 840 recombinant antibodies to assess not only their individual KD values but also to see the average affinity of antibody. Based on the comparison with published literature values for mouse monoclonal antibodies, Recombinant antibodies appear to be on average 1-2 order of magnitude higher affinity.

Key facts

Host species

Rabbit

Clonality

Monoclonal

Clone number

EPR4567(2)

Isotype

IgG

Carrier free

No

Reacts with

Mouse, Rat, Human

Applications

WB, ICC/IF, IHC-P, Flow Cyt (Intra)

applications

Immunogen

The exact immunogen used to generate this antibody is proprietary information.

Reactivity data

{ "title": "Reactivity Data", "filters": { "stats": ["", "Species", "Dilution Info", "Notes"], "tabs": { "all-applications": {"fullname" : "All Applications", "shortname": "All Applications"}, "WB" : {"fullname" : "Western blot", "shortname":"WB"}, "ICCIF" : {"fullname" : "Immunocytochemistry/ Immunofluorescence", "shortname":"ICC/IF"}, "FlowCytIntra" : {"fullname" : "Flow Cytometry (Intracellular)", "shortname":"Flow Cyt (Intra)"}, "IHCP" : {"fullname" : "Immunohistochemistry (Formalin/PFA-fixed paraffin-embedded sections)", "shortname":"IHC-P"} }, "product-promise": { "all": "all", "testedAndGuaranteed": "tested", "guaranteed": "expected", "predicted": "predicted", "notRecommended": "not-recommended" } }, "values": { "Human": { "WB-species-checked": "testedAndGuaranteed", "WB-species-dilution-info": "1/1000", "WB-species-notes": "<p></p>", "ICCIF-species-checked": "testedAndGuaranteed", "ICCIF-species-dilution-info": "1/250", "ICCIF-species-notes": "<p></p>", "FlowCytIntra-species-checked": "testedAndGuaranteed", "FlowCytIntra-species-dilution-info": "", "FlowCytIntra-species-notes": "<p>Purified format.</p>", "IHCP-species-checked": "testedAndGuaranteed", "IHCP-species-dilution-info": "1/1000 - 1/2500", "IHCP-species-notes": "<p><strong>For unpurified use at 1/500 - 1/1000.</strong></p>" }, "Mouse": { "WB-species-checked": "testedAndGuaranteed", "WB-species-dilution-info": "1/1000", "WB-species-notes": "<p></p>", "ICCIF-species-checked": "guaranteed", "ICCIF-species-dilution-info": "", "ICCIF-species-notes": "", "FlowCytIntra-species-checked": "guaranteed", "FlowCytIntra-species-dilution-info": "", "FlowCytIntra-species-notes": "", "IHCP-species-checked": "guaranteed", "IHCP-species-dilution-info": "", "IHCP-species-notes": "" }, "Rat": { "WB-species-checked": "testedAndGuaranteed", "WB-species-dilution-info": "1/1000", "WB-species-notes": "<p></p>", "ICCIF-species-checked": "guaranteed", "ICCIF-species-dilution-info": "", "ICCIF-species-notes": "", "FlowCytIntra-species-checked": "guaranteed", "FlowCytIntra-species-dilution-info": "", "FlowCytIntra-species-notes": "", "IHCP-species-checked": "guaranteed", "IHCP-species-dilution-info": "", "IHCP-species-notes": "" } } }

Product details

Patented technology
Our RabMAb® technology is a patented hybridoma-based technology for making rabbit monoclonal antibodies. For details on our patents, please refer to RabMAb® patents.

What are the advantages of a recombinant monoclonal antibody?
This product is a recombinant monoclonal antibody, which offers several advantages including:

  • - High batch-to-batch consistency and reproducibility
  • - Improved sensitivity and specificity
  • - Long-term security of supply
  • - Animal-free batch production

For more information, read more on recombinant antibodies.

Properties and storage information

Form
Liquid
Purification technique
Affinity purification Protein A
Storage buffer
pH: 7.2 - 7.4 Preservative: 0.01% Sodium azide Constituents: PBS, 40% Glycerol (glycerin, glycerine), 0.05% BSA
Shipped at conditions
Blue Ice
Appropriate short-term storage duration
1-2 weeks
Appropriate short-term storage conditions
+4°C
Appropriate long-term storage conditions
-20°C
Aliquoting information
Upon delivery aliquot
Storage information
Stable for 12 months at -20°C

Product protocols

For this product, it's our understanding that no specific protocols are required. You can visit:

Target data

Secreted signal that acts globally to regulate anterior/posterior axial patterning during development. May play critical roles in patterning both mesodermal and neural tissues (By similarity). It is required for proper vertebral patterning and orofacial development (PubMed : 31215115). Signals through activin receptors type-2, ACVR2A and ACVR2B, and activin receptors type-1, ACVR1B, ACVR1C and TGFBR1 leading to the phosphorylation of SMAD2 and SMAD3 (PubMed : 28257634).
See full target information GDF11

Additional targets

MSTN

Publications (40)

Recent publications for all applications. Explore the full list and refine your search

International journal of molecular sciences 26: PubMed40332596

2025

Effects of Bioconverted Guava Leaf ( L.) Extract on Skeletal Muscle Damage by Regulation of Ubiquitin-Proteasome System and Apoptosis in Type 2 Diabetic Mice.

Applications

Unspecified application

Species

Unspecified reactive species

Heaji Lee,Bo-Gyu Jun,Su-Hyun Kim,Choong Hwan Lee,Yunsook Lim

Nature communications 14:7476 PubMed37978295

2023

GDF11 slows excitatory neuronal senescence and brain ageing by repressing p21.

Applications

Unspecified application

Species

Unspecified reactive species

Di-Xian Wang,Zhao-Jun Dong,Sui-Xin Deng,Ying-Ming Tian,Yu-Jie Xiao,Xinran Li,Xiao-Ru Ma,Liang Li,Pengxiao Li,Hui-Zhong Chang,Longqi Liu,Fan Wang,Yang Wu,Xiang Gao,Shuang-Shuang Zheng,Hui-Min Gu,Ya-Nan Zhang,Jian-Bin Wu,Fan Wu,Yonglin Peng,Xiao-Wen Zhang,Ren-Ya Zhan,Li-Xia Gao,Qiming Sun,Xing Guo,Xiao-Dong Zhao,Jian-Hong Luo,Ruhong Zhou,Lei Han,Yousheng Shu,Jing-Wei Zhao

Journal of cellular physiology 238:2827-2840 PubMed37801347

2023

Mutual regulation between GDF11 and TET2 prevents senescence of mesenchymal stem cells.

Applications

Unspecified application

Species

Unspecified reactive species

Jiaming Gao,Hao Wang,Junyan Shen,Xiaojing Liu,Xiaoqi Zhu,Ce Huang,Gongchen Li,Yao Sun,Zhongmin Liu,Yi Eve Sun,Hailiang Liu

International journal of endocrinology 2023:9926462 PubMed37584041

2023

Dulaglutide Protects Mice against Diabetic Sarcopenia-Mediated Muscle Injury by Inhibiting Inflammation and Regulating the Differentiation of Myoblasts.

Applications

Unspecified application

Species

Unspecified reactive species

Fengyi Deng,Wenyan Wu,Xingyu Fan,Xing Zhong,Nuojin Wang,Yue Wang,Tianrong Pan,Yijun Du

Physiological reports 11:e15756 PubMed37332022

2023

Exploring skeletal muscle tolerance and whole-body metabolic effects of FDA-approved drugs in a volumetric muscle loss model.

Applications

Unspecified application

Species

Unspecified reactive species

Shefali R Bijwadia,Christiana J Raymond-Pope,Alec M Basten,Mason T Lentz,Thomas J Lillquist,Jarrod A Call,Sarah M Greising

Frontiers in endocrinology 14:1137048 PubMed37033257

2023

Acute endurance exercise modulates growth differentiation factor 11 in cerebrospinal fluid of healthy young adults.

Applications

Unspecified application

Species

Unspecified reactive species

Martin Schön,Karin Marček Malenovská,Michal Nemec,Nikoleta Alchus Laiferová,Igor Straka,Zuzana Košutzká,Peter Matejička,Peter Valkovič,Jozef Ukropec,Barbara Ukropcová

Bone & joint research 11:453-464 PubMed35787089

2022

GDF11 inhibits abnormal adipogenesis of condylar chondrocytes in temporomandibular joint osteoarthritis.

Applications

Unspecified application

Species

Unspecified reactive species

Helin Wang,Yuqian Shi,Feng He,Tao Ye,Shibin Yu,Hui Miao,Qian Liu,Mian Zhang

Translational oncology 20:101398 PubMed35339890

2022

PLAG alleviates cisplatin-induced cachexia in lung cancer implanted mice.

Applications

Unspecified application

Species

Unspecified reactive species

Guen Tae Kim,Eun Young Kim,Su-Hyun Shin,Hyowon Lee,Se Hee Lee,Kaapjoo Park,Ki-Young Sohn,Sun Young Yoon,Jae Wha Kim

Frontiers in cell and developmental biology 9:774185 PubMed35155444

2022

Myostatin Mutation Promotes Glycolysis by Increasing Phosphorylation of Phosphofructokinase Activation of PDE5A-cGMP-PKG in Cattle Heart.

Applications

Unspecified application

Species

Unspecified reactive species

Mingjuan Gu,Xinyu Zhou,Lin Zhu,Yajie Gao,Li Gao,Chunling Bai,Lei Yang,Guangpeng Li

Frontiers in bioengineering and biotechnology 9:803052 PubMed35059389

2022

The GDF11 Promotes Nerve Regeneration After Sciatic Nerve Injury in Adult Rats by Promoting Axon Growth and Inhibiting Neuronal Apoptosis.

Applications

Unspecified application

Species

Unspecified reactive species

Junhao Lin,Jie Shi,Xiang Min,Si Chen,Yunpeng Zhao,Yuanqiang Zhang,Lei Cheng
View all publications

Product promise

We are committed to supporting your work with high-quality reagents, and we're here for you every step of the way. In the unlikely event that one of our products does not perform as expected, you're protected by our Product Promise.
For full details, please see our Terms & Conditions

Please note: All products are 'FOR RESEARCH USE ONLY. NOT FOR USE IN DIAGNOSTIC OR THERAPEUTIC PROCEDURES'.

For licensing inquiries, please contact partnerships@abcam.com