JavaScript is disabled in your browser. Please enable JavaScript to view this website.
AB211364

Anti-GDF15 antibody

Be the first to review this product! Submit a review

|

(3 Publications)

Rabbit Polyclonal GDF15 antibody. Suitable for IHC-P, WB, ICC/IF and reacts with Human samples. Cited in 3 publications. Immunogen corresponding to Recombinant Fragment Protein within Human GDF15 aa 1-200.

View Alternative Names

MIC1, PDF, PLAB, PTGFB, GDF15, Growth/differentiation factor 15, GDF-15, Macrophage inhibitory cytokine 1, NSAID-activated gene 1 protein, NSAID-regulated gene 1 protein, Placental TGF-beta, Placental bone morphogenetic protein, Prostate differentiation factor, MIC-1, NAG-1, NRG-1

6 Images
Immunohistochemistry (Formalin/PFA-fixed paraffin-embedded sections) - Anti-GDF15 antibody (AB211364)
  • IHC-P

Supplier Data

Immunohistochemistry (Formalin/PFA-fixed paraffin-embedded sections) - Anti-GDF15 antibody (AB211364)

Immunohistochemical analysis of human skeletal muscle tissue labeling GDF15 with ab211364 at a 1/50 dilution. No positivity as expected.

Performed heat mediated antigen retrieval with citrate buffer pH 6 before commencing with IHC staining protocol.

Immunocytochemistry/ Immunofluorescence - Anti-GDF15 antibody (AB211364)
  • ICC/IF

Supplier Data

Immunocytochemistry/ Immunofluorescence - Anti-GDF15 antibody (AB211364)

Immunocytochemical analysis of HepG2 (Human liver hepatocellular carcinoma cell line) whole cells labeling GDF15 in the Golgi aparratus with ab211364 at 2 μg/ml.

Immunohistochemistry (Formalin/PFA-fixed paraffin-embedded sections) - Anti-GDF15 antibody (AB211364)
  • IHC-P

Supplier Data

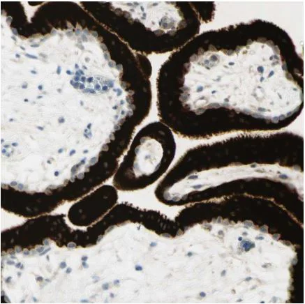
Immunohistochemistry (Formalin/PFA-fixed paraffin-embedded sections) - Anti-GDF15 antibody (AB211364)

Immunohistochemical analysis of human placenta tissue labeling GDF15 in the cytoplasm of trophoblastic cells with ab211364 at a 1/50 dilution.

Performed heat mediated antigen retrieval with citrate buffer pH 6 before commencing with IHC staining protocol.

Immunohistochemistry (Formalin/PFA-fixed paraffin-embedded sections) - Anti-GDF15 antibody (AB211364)
  • IHC-P

Supplier Data

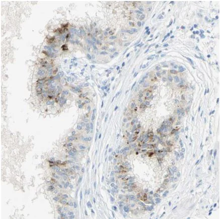
Immunohistochemistry (Formalin/PFA-fixed paraffin-embedded sections) - Anti-GDF15 antibody (AB211364)

Immunohistochemical analysis of human prostate tissue labeling GDF15 in the cytoplasm in a small subset of glandular cells with ab211364 at a 1/50 dilution.

Performed heat mediated antigen retrieval with citrate buffer pH 6 before commencing with IHC staining protocol.

Immunohistochemistry (Formalin/PFA-fixed paraffin-embedded sections) - Anti-GDF15 antibody (AB211364)
  • IHC-P

Supplier Data

Immunohistochemistry (Formalin/PFA-fixed paraffin-embedded sections) - Anti-GDF15 antibody (AB211364)

Immunohistochemical analysis of human cervix tissue labeling GDF15 with ab211364 at a 1/50 dilution. No positivity as expected.

Performed heat mediated antigen retrieval with citrate buffer pH 6 before commencing with IHC staining protocol.

Western blot - Anti-GDF15 antibody (AB211364)
  • WB

Unknown

Western blot - Anti-GDF15 antibody (AB211364)

All lanes:

Western blot - Anti-GDF15 antibody (ab211364)

All lanes:

Human cell line BEWO

Predicted band size: 34 kDa

false

Key facts

Host species

Rabbit

Clonality

Polyclonal

Isotype

IgG

Carrier free

No

Reacts with

Human

Applications

WB, ICC/IF, IHC-P

applications

Immunogen

Recombinant Fragment Protein within Human GDF15 aa 1-200. The exact immunogen used to generate this antibody is proprietary information.

Q99988

Reactivity data

{ "title": "Reactivity Data", "filters": { "stats": ["", "Species", "Dilution Info", "Notes"], "tabs": { "all-applications": {"fullname" : "All Applications", "shortname": "All Applications"}, "IHCP" : {"fullname" : "Immunohistochemistry (Formalin/PFA-fixed paraffin-embedded sections)", "shortname":"IHC-P"}, "WB" : {"fullname" : "Western blot", "shortname":"WB"}, "ICCIF" : {"fullname" : "Immunocytochemistry/ Immunofluorescence", "shortname":"ICC/IF"} }, "product-promise": { "all": "all", "testedAndGuaranteed": "tested", "guaranteed": "expected", "predicted": "predicted", "notRecommended": "not-recommended" } }, "values": { "Human": { "IHCP-species-checked": "testedAndGuaranteed", "IHCP-species-dilution-info": "1/50 - 1/200", "IHCP-species-notes": "<p></p> Perform heat-mediated antigen retrieval with citrate buffer pH 6 before commencing with IHC staining protocol.", "WB-species-checked": "testedAndGuaranteed", "WB-species-dilution-info": "", "WB-species-notes": "<p></p>", "ICCIF-species-checked": "testedAndGuaranteed", "ICCIF-species-dilution-info": "0.25-2 µg/mL", "ICCIF-species-notes": "<p>Fixation/Permeabilization: PFA/Triton X-100</p>" } } }

Properties and storage information

Form
Liquid
Purification technique
Affinity purification Immunogen
Storage buffer
pH: 7.2 Preservative: 0.02% Sodium azide Constituents: PBS, 40% Glycerol (glycerin, glycerine)
Shipped at conditions
Blue Ice
Appropriate short-term storage duration
1-2 weeks
Appropriate short-term storage conditions
+4°C
Appropriate long-term storage conditions
-20°C
Aliquoting information
Upon delivery aliquot
Storage information
Avoid freeze / thaw cycle

Product protocols

For this product, it's our understanding that no specific protocols are required. You can visit:

Target data

Hormone produced in response to various stresses to confer information about those stresses to the brain, and trigger an aversive response, characterized by nausea, vomiting, and/or loss of appetite (PubMed : 23468844, PubMed : 24971956, PubMed : 28846097, PubMed : 28846098, PubMed : 28846099, PubMed : 28953886, PubMed : 29046435, PubMed : 30639358, PubMed : 31875646, PubMed : 33589633, PubMed : 38092039). The aversive response is both required to reduce continuing exposure to those stresses at the time of exposure and to promote avoidance behavior in the future (PubMed : 30639358, PubMed : 33589633, PubMed : 38092039). Acts by binding to its receptor, GFRAL, activating GFRAL-expressing neurons localized in the area postrema and nucleus tractus solitarius of the brainstem (PubMed : 28846097, PubMed : 28846098, PubMed : 28846099, PubMed : 28953886, PubMed : 31535977). It then triggers the activation of neurons localized within the parabrachial nucleus and central amygdala, which constitutes part of the 'emergency circuit' that shapes responses to stressful conditions (PubMed : 28953886). The GDF15-GFRAL signal induces expression of genes involved in metabolism, such as lipid metabolism in adipose tissues (PubMed : 31402172). Required for avoidance behavior in response to food allergens : induced downstream of mast cell activation to promote aversion and minimize harmful effects of exposure to noxious substances (By similarity). In addition to suppress appetite, also promotes weight loss by enhancing energy expenditure in muscle : acts by increasing calcium futile cycling in muscle (By similarity). Contributes to the effect of metformin, an anti-diabetic drug, on appetite reduction and weight loss : produced in the kidney in response to metformin treatment, thereby activating the GDF15-GFRAL response, leading to reduced appetite and weight (PubMed : 31875646, PubMed : 37060902). The contribution of GDF15 to weight loss following metformin treatment is however limited and subject to discussion (PubMed : 36001956). Produced in response to anticancer drugs, such as camptothecin or cisplatin, promoting nausea, vomiting and contributing to malnutrition (By similarity). Overproduced in many cancers, promoting anorexia in cancer (cachexia) (PubMed : 32661391). Responsible for the risk of nausea and vomiting during pregnancy : high levels of GDF15 during pregnancy, mostly originating from the fetus, are associated with increased nausea and vomiting (PubMed : 38092039). Maternal sensitivity to nausea is probably determined by pre-pregnancy exposure to GDF15, women with naturally high level of GDF15 being less susceptible to nausea than women with low levels of GDF15 before pregnancy (PubMed : 38092039). Promotes metabolic adaptation in response to systemic inflammation caused by bacterial and viral infections in order to promote tissue tolerance and prevent tissue damage (PubMed : 31402172). Required for tissue tolerance in response to myocardial infarction by acting as an inhibitor of leukocyte integring activation, thereby protecting against cardiac rupture (By similarity). Inhibits growth hormone signaling on hepatocytes (By similarity).
See full target information GDF15

Publications (3)

Recent publications for all applications. Explore the full list and refine your search

Cellular and molecular neurobiology 45:53 PubMed40439946

2025

Endoplasmic Reticulum Stress Inhibition Promotes Mitophagy via Miro1 Reduction to Rescue Mitochondrial Dysfunction and Protect Dopamine Neurons in Parkinson's Disease.

Applications

Unspecified application

Species

Unspecified reactive species

Yuqi Wen,Zheng Han,Bao Wang,Chenxi Feng,Xvshen Ding,Yangni Li,Yan Lv,Xuelian Wang,Li Gao

Iranian journal of basic medical sciences 27:343-351 PubMed38333748

2024

Metformin alleviates bevacizumab-induced vascular endothelial injury in mice through growth differentiation factor 15 upregulation.

Applications

Unspecified application

Species

Unspecified reactive species

Liqiang Chen,Yajuan Yin,Chunmiao Liu,Junying Liu,Mingqi Zheng,Yida Tang,Qing Yang,Jing Liu,Fan Chen,Lanbo Liu,Gang Liu

Annals of translational medicine 9:1547 PubMed34790753

2021

Metformin alleviates bevacizumab-induced vascular endothelial injury by up-regulating GDF15 and activating the PI3K/AKT/FOXO/PPARγ signaling pathway.

Applications

Unspecified application

Species

Unspecified reactive species

Liqiang Chen,Yajuan Yin,Gang Liu
View all publications

Product promise

We are committed to supporting your work with high-quality reagents, and we're here for you every step of the way. In the unlikely event that one of our products does not perform as expected, you're protected by our Product Promise.
For full details, please see our Terms & Conditions

Please note: All products are 'FOR RESEARCH USE ONLY. NOT FOR USE IN DIAGNOSTIC OR THERAPEUTIC PROCEDURES'.

For licensing inquiries, please contact partnerships@abcam.com