JavaScript is disabled in your browser. Please enable JavaScript to view this website.
AB271973

Anti-GDF15 antibody [EPR19939] - BSA and Azide free

Be the first to review this product! Submit a review

|

(0 Publication)

Anti-GDF15 antibody [EPR19939] - BSA and Azide free (ab271973) is a rabbit recombinant monoclonal antibody provided in a PBS only buffer for easy conjugation detecting GDF15 in Western Blot, IP, IHC-P, ELISA. Suitable for Human.

- BSA, sodium azide, and glycerol-free for easy conjugation
- Biophysical QC for unrivalled batch-batch consistency

View Alternative Names

MIC1, PDF, PLAB, PTGFB, GDF15, Growth/differentiation factor 15, GDF-15, Macrophage inhibitory cytokine 1, NSAID-activated gene 1 protein, NSAID-regulated gene 1 protein, Placental TGF-beta, Placental bone morphogenetic protein, Prostate differentiation factor, MIC-1, NAG-1, NRG-1

4 Images
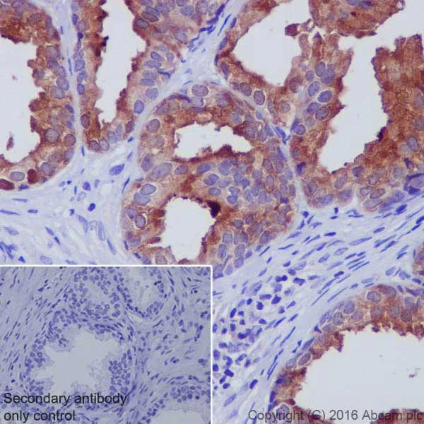
Immunohistochemistry (Formalin/PFA-fixed paraffin-embedded sections) - Anti-GDF15 antibody [EPR19939] - BSA and Azide free (AB271973)
  • IHC-P

Supplier Data

Immunohistochemistry (Formalin/PFA-fixed paraffin-embedded sections) - Anti-GDF15 antibody [EPR19939] - BSA and Azide free (AB271973)

Immunohistochemical analysis of paraffin-embedded human prostate hyperplasia tissue labeling GDF15 with ab206414 at 1/100 dilution, followed by Goat Anti-Rabbit IgG H&L (HRP) (ab97051) at 1/500 dilution.

Cytoplasmic staining on human prostate hyperplasia is observed (PMID : 9593718). Positive staining on human placenta and prostate hyperplasia, other tissues tested were negative.

Counter stained with Hematoxylin.

Secondary antibody only control : Used PBS instead of primary antibody, secondary antibody is Goat Anti-Rabbit IgG H&L (HRP) (ab97051) at 1/500 dilution.

Perform heat mediated antigen retrieval with Tris/EDTA buffer pH 9.0 before commencing with IHC staining protocol.

This data was developed using the same antibody clone in a different buffer formulation containing PBS, BSA, glycerol, and sodium azide (ab206414).

Immunohistochemistry (Formalin/PFA-fixed paraffin-embedded sections) - Anti-GDF15 antibody [EPR19939] - BSA and Azide free (AB271973)
  • IHC-P

Supplier Data

Immunohistochemistry (Formalin/PFA-fixed paraffin-embedded sections) - Anti-GDF15 antibody [EPR19939] - BSA and Azide free (AB271973)

Immunohistochemical analysis of paraffin-embedded human placenta tissue labeling GDF15 with ab206414 at 1/100 dilution, followed by Goat Anti-Rabbit IgG H&L (HRP) (ab97051) at 1/500 dilution.

Cytoplasmic staining on human placenta is observed (PMID : 9593718). Positive staining on human placenta and prostate hyperplasia, other tissues tested were negative.

Counter stained with Hematoxylin.

Secondary antibody only control : Used PBS instead of primary antibody, secondary antibody is Goat Anti-Rabbit IgG H&L (HRP) (ab97051) at 1/500 dilution.

Perform heat mediated antigen retrieval with Tris/EDTA buffer pH 9.0 before commencing with IHC staining protocol.

This data was developed using the same antibody clone in a different buffer formulation containing PBS, BSA, glycerol, and sodium azide (ab206414).

Immunoprecipitation - Anti-GDF15 antibody [EPR19939] - BSA and Azide free (AB271973)
  • IP

Supplier Data

Immunoprecipitation - Anti-GDF15 antibody [EPR19939] - BSA and Azide free (AB271973)

GDF15 was immunoprecipitated from 0.35 mg of HepG2 (Human liver hepatocellular carcinoma cell line) whole cell lysate with ab206414 at 1/30 dilution.

Western blot was performed from the immunoprecipitate using ab206414 at 1/1000 dilution.

VeriBlot for IP Detection Reagent (HRP) (ab131366), was used for detection at 1/1000 dilution.

Lane 1 : HepG2 whole cell lysate 10μg (Input).

Lane 2 : ab206414 IP in HepG2 whole cell lysate.

Lane 3 : Rabbit IgG, monoclonal [EPR25A] - Isotype Control (ab172730) instead of ab206414 in HepG2 whole cell lysate.

Blocking and dilution buffer and concentration : 5% NFDM/TBST.

Exposure time : 10 seconds.

This data was developed using the same antibody clone in a different buffer formulation containing PBS, BSA, glycerol, and sodium azide (ab206414).

All lanes:

Immunoprecipitation - Anti-GDF15 antibody [EPR19939] (<a href='/en-us/products/primary-antibodies/gdf15-antibody-epr19939-ab206414'>ab206414</a>)

Predicted band size: 34 kDa

false

ELISA - Anti-GDF15 antibody [EPR19939] - BSA and Azide free (AB271973)
  • ELISA

Lab

ELISA - Anti-GDF15 antibody [EPR19939] - BSA and Azide free (AB271973)

ELISA analysis of ab206414 binding functionally active mature GDF15 (ab50077) at 1 μg/mL.

This data was developed using the same antibody clone in a different buffer formulation containing PBS, BSA, glycerol, and sodium azide (ab206414).

Key facts

Host species

Rabbit

Clonality

Monoclonal

Clone number

EPR19939

Isotype

IgG

Carrier free

Yes

Reacts with

Human

Applications

WB, IP, ELISA, IHC-P

applications

Immunogen

The exact immunogen used to generate this antibody is proprietary information.

Reactivity data

{ "title": "Reactivity Data", "filters": { "stats": ["", "Species", "Dilution Info", "Notes"], "tabs": { "all-applications": {"fullname" : "All Applications", "shortname": "All Applications"}, "IP" : {"fullname" : "Immunoprecipitation", "shortname":"IP"}, "ELISA" : {"fullname" : "ELISA", "shortname":"ELISA"}, "WB" : {"fullname" : "Western blot", "shortname":"WB"}, "IHCP" : {"fullname" : "Immunohistochemistry (Formalin/PFA-fixed paraffin-embedded sections)", "shortname":"IHC-P"} }, "product-promise": { "all": "all", "testedAndGuaranteed": "tested", "guaranteed": "expected", "predicted": "predicted", "notRecommended": "not-recommended" } }, "values": { "Human": { "IP-species-checked": "testedAndGuaranteed", "IP-species-dilution-info": "", "IP-species-notes": "<p></p>", "ELISA-species-checked": "guaranteed", "ELISA-species-dilution-info": "", "ELISA-species-notes": "", "WB-species-checked": "guaranteed", "WB-species-dilution-info": "", "WB-species-notes": "<p></p>", "IHCP-species-checked": "testedAndGuaranteed", "IHCP-species-dilution-info": "", "IHCP-species-notes": "<p>IHC tests show positive staining only on human placenta and prostate hyperplasia tissues, other tissues tested were negative.</p>" }, "Recombinant fragment": { "IP-species-checked": "notRecommended", "IP-species-dilution-info": "", "IP-species-notes": "", "ELISA-species-checked": "testedAndGuaranteed", "ELISA-species-dilution-info": "", "ELISA-species-notes": "<p></p>", "WB-species-checked": "notRecommended", "WB-species-dilution-info": "", "WB-species-notes": "", "IHCP-species-checked": "notRecommended", "IHCP-species-dilution-info": "", "IHCP-species-notes": "" } } }

Product details

What is this antibody validated in?
Anti-GDF15 antibody [EPR19939] - BSA and Azide free (ab271973) is a rabbit recombinant monoclonal antibody and is validated for use in Western Blot (WB), Immunoprecipitation (IP), Immunohistochemistry (IHC-P), ELISA in Human samples.

What is the molecular weight of GDF15?
Anti-GDF15 [EPR19939] - BSA and Azide free (ab271973) specifically detects a band for GDF15 (UniProt: Q99988) at a molecular weight of 34kDa.

Other related products
We have a range of other formats of antibody clone [EPR19939] also available for your convenience: ab206414, Carrier free - ab223539, Carrier free - ab271973

Patented technology
Our RabMAb® technology is a patented hybridoma-based technology for making rabbit monoclonal antibodies. For details on our patents, please refer to RabMAb® patents.

What are the advantages of a recombinant monoclonal antibody?
This product is a recombinant monoclonal antibody, which offers several advantages including:

  • - High batch-to-batch consistency and reproducibility
  • - Improved sensitivity and specificity
  • - Long-term security of supply
  • - Animal-free batch production

For more information, read more on recombinant antibodies.

Conjugation ready
Our carrier-free antibodies are typically supplied in a PBS-only formulation, purified and free of BSA, sodium azide and glycerol. This conjugation-ready format is designed for use with fluorochromes, metal isotopes, oligonucleotides, and enzymes, which makes them ideal for antibody labelling, functional and cell-based assays, flow-based assays (e.g. mass cytometry) and Multiplex Imaging applications.

Use our conjugation kits for antibody conjugates that are ready-to-use in as little as 20 minutes with 1 minute hands-on-time and 100% antibody recovery: available for fluorescent dyes, HRP, biotin and gold.

Compatibility
This product is compatible with the Maxpar® Antibody Labeling Kit from Fluidigm, without the need for antibody preparation. Maxpar® is a trademark of Fluidigm Canada Inc.

Properties and storage information

Form
Liquid
Purification technique
Affinity purification Protein A
Storage buffer
pH: 7.2 - 7.4 Constituents: PBS
Shipped at conditions
Blue Ice
Appropriate short-term storage conditions
+4°C
Appropriate long-term storage conditions
+4°C
Storage information
Do Not Freeze

Product protocols

For this product, it's our understanding that no specific protocols are required. You can visit:

Target data

Hormone produced in response to various stresses to confer information about those stresses to the brain, and trigger an aversive response, characterized by nausea, vomiting, and/or loss of appetite (PubMed : 23468844, PubMed : 24971956, PubMed : 28846097, PubMed : 28846098, PubMed : 28846099, PubMed : 28953886, PubMed : 29046435, PubMed : 30639358, PubMed : 31875646, PubMed : 33589633, PubMed : 38092039). The aversive response is both required to reduce continuing exposure to those stresses at the time of exposure and to promote avoidance behavior in the future (PubMed : 30639358, PubMed : 33589633, PubMed : 38092039). Acts by binding to its receptor, GFRAL, activating GFRAL-expressing neurons localized in the area postrema and nucleus tractus solitarius of the brainstem (PubMed : 28846097, PubMed : 28846098, PubMed : 28846099, PubMed : 28953886, PubMed : 31535977). It then triggers the activation of neurons localized within the parabrachial nucleus and central amygdala, which constitutes part of the 'emergency circuit' that shapes responses to stressful conditions (PubMed : 28953886). The GDF15-GFRAL signal induces expression of genes involved in metabolism, such as lipid metabolism in adipose tissues (PubMed : 31402172). Required for avoidance behavior in response to food allergens : induced downstream of mast cell activation to promote aversion and minimize harmful effects of exposure to noxious substances (By similarity). In addition to suppress appetite, also promotes weight loss by enhancing energy expenditure in muscle : acts by increasing calcium futile cycling in muscle (By similarity). Contributes to the effect of metformin, an anti-diabetic drug, on appetite reduction and weight loss : produced in the kidney in response to metformin treatment, thereby activating the GDF15-GFRAL response, leading to reduced appetite and weight (PubMed : 31875646, PubMed : 37060902). The contribution of GDF15 to weight loss following metformin treatment is however limited and subject to discussion (PubMed : 36001956). Produced in response to anticancer drugs, such as camptothecin or cisplatin, promoting nausea, vomiting and contributing to malnutrition (By similarity). Overproduced in many cancers, promoting anorexia in cancer (cachexia) (PubMed : 32661391). Responsible for the risk of nausea and vomiting during pregnancy : high levels of GDF15 during pregnancy, mostly originating from the fetus, are associated with increased nausea and vomiting (PubMed : 38092039). Maternal sensitivity to nausea is probably determined by pre-pregnancy exposure to GDF15, women with naturally high level of GDF15 being less susceptible to nausea than women with low levels of GDF15 before pregnancy (PubMed : 38092039). Promotes metabolic adaptation in response to systemic inflammation caused by bacterial and viral infections in order to promote tissue tolerance and prevent tissue damage (PubMed : 31402172). Required for tissue tolerance in response to myocardial infarction by acting as an inhibitor of leukocyte integring activation, thereby protecting against cardiac rupture (By similarity). Inhibits growth hormone signaling on hepatocytes (By similarity).
See full target information GDF15

Product promise

We are committed to supporting your work with high-quality reagents, and we're here for you every step of the way. In the unlikely event that one of our products does not perform as expected, you're protected by our Product Promise.
For full details, please see our Terms & Conditions

Please note: All products are 'FOR RESEARCH USE ONLY. NOT FOR USE IN DIAGNOSTIC OR THERAPEUTIC PROCEDURES'.

For licensing inquiries, please contact partnerships@abcam.com