JavaScript is disabled in your browser. Please enable JavaScript to view this website.
AB189928

Anti-GDF7 antibody [EPR16000]

Be the first to review this product! Submit a review

|

(4 Publications)

Rabbit Recombinant Monoclonal GDF7 antibody. Suitable for WB, ICC/IF, IHC-P and reacts with Rat, Mouse, Human samples. Cited in 4 publications.

View Alternative Names

Growth/differentiation factor 7, GDF-7, GDF7

5 Images
Immunocytochemistry/ Immunofluorescence - Anti-GDF7 antibody [EPR16000] (AB189928)
  • ICC/IF

Lab

Immunocytochemistry/ Immunofluorescence - Anti-GDF7 antibody [EPR16000] (AB189928)

Immunocytochemical analysis of 4% paraformaldehyde fixed U87-MG cells labeling GDF7 with ab189928 at 1/50 dilution and Goat anti rabbit IgG(Alexa Fluor® 555) at 1/200 as a secondary antibody. Counterstained with DAPI.

Immunohistochemistry (Formalin/PFA-fixed paraffin-embedded sections) - Anti-GDF7 antibody [EPR16000] (AB189928)
  • IHC-P

Supplier Data

Immunohistochemistry (Formalin/PFA-fixed paraffin-embedded sections) - Anti-GDF7 antibody [EPR16000] (AB189928)

Immunohistochemical analysis of formalin fixed paraffin embedded Human adenocarcinoma of colon tissue labeling GDF7 with ab189928 at 1/2000 dilution and prediluted HRP Polymer for Rabbit IgG as a secondary antibody. Counterstained with Hematoxylin.

Perform heat mediated antigen retrieval with Tris/EDTA buffer pH 9.0 before commencing with IHC staining protocol.

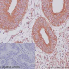
Immunohistochemistry (Formalin/PFA-fixed paraffin-embedded sections) - Anti-GDF7 antibody [EPR16000] (AB189928)
  • IHC-P

Supplier Data

Immunohistochemistry (Formalin/PFA-fixed paraffin-embedded sections) - Anti-GDF7 antibody [EPR16000] (AB189928)

Immunohistochemical analysis of formalin fixed paraffin embedded Human adenocarcinoma of colon labeling GDF7 with ab189928 at 1/2000 dilution and prediluted HRP Polymer for Rabbit IgG as a secondary antibody. Counterstained with Hematoxylin.

Perform heat mediated antigen retrieval with Tris/EDTA buffer pH 9.0 before commencing with IHC staining protocol.

Western blot - Anti-GDF7 antibody [EPR16000] (AB189928)
  • WB

Supplier Data

Western blot - Anti-GDF7 antibody [EPR16000] (AB189928)

All lanes:

Western blot - Anti-GDF7 antibody [EPR16000] (ab189928) at 1/10000 dilution

All lanes:

Human fetal brain tissue lysate at 20 µg

Secondary

All lanes:

Anti-Rabbit IgG (HRP), specific to the non-reduced form of IgG at 1/1000 dilution

Predicted band size: 47 kDa

Observed band size: 52 kDa

false

Western blot - Anti-GDF7 antibody [EPR16000] (AB189928)
  • WB

Supplier Data

Western blot - Anti-GDF7 antibody [EPR16000] (AB189928)

All lanes:

Western blot - Anti-GDF7 antibody [EPR16000] (ab189928) at 1/1000 dilution

Lane 1:

C6 cell lysate at 10 µg

Lane 2:

Neuro-2a cell lysate at 10 µg

Secondary

All lanes:

Anti-Rabbit IgG (HRP), specific to the non-reduced form of IgG at 1/1000 dilution

Predicted band size: 47 kDa

false

  • Carrier free

    Anti-GDF7 antibody [EPR16000] - BSA and Azide free

Key facts

Host species

Rabbit

Clonality

Monoclonal

Clone number

EPR16000

Isotype

IgG

Carrier free

No

Reacts with

Mouse, Rat, Human

Applications

IHC-P, WB, ICC/IF

applications

Immunogen

The exact immunogen used to generate this antibody is proprietary information.

Reactivity data

{ "title": "Reactivity Data", "filters": { "stats": ["", "Species", "Dilution Info", "Notes"], "tabs": { "all-applications": {"fullname" : "All Applications", "shortname": "All Applications"}, "WB" : {"fullname" : "Western blot", "shortname":"WB"}, "ICCIF" : {"fullname" : "Immunocytochemistry/ Immunofluorescence", "shortname":"ICC/IF"}, "IHCP" : {"fullname" : "Immunohistochemistry (Formalin/PFA-fixed paraffin-embedded sections)", "shortname":"IHC-P"} }, "product-promise": { "all": "all", "testedAndGuaranteed": "tested", "guaranteed": "expected", "predicted": "predicted", "notRecommended": "not-recommended" } }, "values": { "Human": { "WB-species-checked": "testedAndGuaranteed", "WB-species-dilution-info": "1/1000 - 1/10000", "WB-species-notes": "<p></p>", "ICCIF-species-checked": "testedAndGuaranteed", "ICCIF-species-dilution-info": "1/50", "ICCIF-species-notes": "<p></p>", "IHCP-species-checked": "testedAndGuaranteed", "IHCP-species-dilution-info": "1/1000 - 1/2000", "IHCP-species-notes": "<p></p>" }, "Mouse": { "WB-species-checked": "testedAndGuaranteed", "WB-species-dilution-info": "1/1000 - 1/10000", "WB-species-notes": "<p></p>", "ICCIF-species-checked": "guaranteed", "ICCIF-species-dilution-info": "", "ICCIF-species-notes": "", "IHCP-species-checked": "guaranteed", "IHCP-species-dilution-info": "", "IHCP-species-notes": "" }, "Rat": { "WB-species-checked": "testedAndGuaranteed", "WB-species-dilution-info": "1/1000 - 1/10000", "WB-species-notes": "<p></p>", "ICCIF-species-checked": "guaranteed", "ICCIF-species-dilution-info": "", "ICCIF-species-notes": "", "IHCP-species-checked": "guaranteed", "IHCP-species-dilution-info": "", "IHCP-species-notes": "" } } }

Product details

Patented technology
Our RabMAb® technology is a patented hybridoma-based technology for making rabbit monoclonal antibodies. For details on our patents, please refer to RabMAb® patents.

What are the advantages of a recombinant monoclonal antibody?
This product is a recombinant monoclonal antibody, which offers several advantages including:

  • - High batch-to-batch consistency and reproducibility
  • - Improved sensitivity and specificity
  • - Long-term security of supply
  • - Animal-free batch production

For more information, read more on recombinant antibodies.

Properties and storage information

Form
Liquid
Purification technique
Affinity purification Protein A
Storage buffer
pH: 7.2 - 7.4 Preservative: 0.01% Sodium azide Constituents: PBS, 40% Glycerol (glycerin, glycerine), 0.05% BSA
Shipped at conditions
Blue Ice
Appropriate short-term storage duration
1-2 weeks
Appropriate short-term storage conditions
+4°C
Appropriate long-term storage conditions
-20°C
Aliquoting information
Upon delivery aliquot
Storage information
Avoid freeze / thaw cycle

Product protocols

For this product, it's our understanding that no specific protocols are required. You can visit:

Target data

May play an active role in the motor area of the primate neocortex.
See full target information GDF7

Publications (4)

Recent publications for all applications. Explore the full list and refine your search

PeerJ 13:e20035 PubMed41059402

2025

Immune-related hub genes in intrauterine adhesions: a bioinformatics approach.

Applications

Unspecified application

Species

Unspecified reactive species

Fengqing Lv,Sang Luo,Fengjuan Xu,Yue Du,Yiyun Bai,Jingyi Zhang,Xiaojie Zou,Dan Liu

Liver research 8:259-268 PubMed39958922

2025

Growth differentiation factor 7 alleviates the proliferation and metastasis of hepatocellular carcinoma.

Applications

Unspecified application

Species

Unspecified reactive species

Jianyong Zhuo,Huigang Li,Peiru Zhang,Chiyu He,Wei Shen,Xinyu Yang,Zuyuan Lin,Runzhou Zhuang,Xuyong Wei,Shusen Zheng,Xiao Xu,Di Lu

Frontiers in genetics 13:1039850 PubMed36685938

2023

Transcriptomic analysis of the upper lip and primary palate development in mice.

Applications

Unspecified application

Species

Unspecified reactive species

Sini Cai,Nuo Si,Yanyang Wang,Ningbei Yin

Stroke 51:2197-2207 PubMed32486965

2020

Mesenchymal Behavior of the Endothelium Promoted by SMAD6 Downregulation Is Associated With Brain Arteriovenous Malformation Microhemorrhage.

Applications

Unspecified application

Species

Unspecified reactive species

Weilun Fu,Ran Huo,Zihan Yan,Hongyuan Xu,Hao Li,Yuming Jiao,Linjian Wang,Jiancong Weng,Jie Wang,Shuo Wang,Yong Cao,Jizong Zhao
View all publications

Product promise

We are committed to supporting your work with high-quality reagents, and we're here for you every step of the way. In the unlikely event that one of our products does not perform as expected, you're protected by our Product Promise.
For full details, please see our Terms & Conditions

Please note: All products are 'FOR RESEARCH USE ONLY. NOT FOR USE IN DIAGNOSTIC OR THERAPEUTIC PROCEDURES'.

For licensing inquiries, please contact partnerships@abcam.com