JavaScript is disabled in your browser. Please enable JavaScript to view this website.
AB251010

Anti-GDF7 antibody [EPR16000] - BSA and Azide free

Be the first to review this product! Submit a review

|

(0 Publication)

Rabbit Recombinant Monoclonal GDF7 antibody. Carrier free. Suitable for WB, ICC/IF, IHC-P and reacts with Rat, Human, Mouse samples.

View Alternative Names

Growth/differentiation factor 7, GDF-7, GDF7

5 Images
Immunocytochemistry/ Immunofluorescence - Anti-GDF7 antibody [EPR16000] - BSA and Azide free (AB251010)
  • ICC/IF

Lab

Immunocytochemistry/ Immunofluorescence - Anti-GDF7 antibody [EPR16000] - BSA and Azide free (AB251010)

This data was developed using ab189928, the same antibody clone in a different buffer formulation.

Immunocytochemical analysis of 4% paraformaldehyde fixed U87-MG cells labeling GDF7 with ab189928 at 1/50 dilution, and Goat anti rabbit IgG(Alexa Fluor® 555) at 1/200 as a secondary antibody. Counterstained with DAPI.

Immunohistochemistry (Formalin/PFA-fixed paraffin-embedded sections) - Anti-GDF7 antibody [EPR16000] - BSA and Azide free (AB251010)
  • IHC-P

Supplier Data

Immunohistochemistry (Formalin/PFA-fixed paraffin-embedded sections) - Anti-GDF7 antibody [EPR16000] - BSA and Azide free (AB251010)

This data was developed using ab189928, the same antibody clone in a different buffer formulation.

Immunohistochemical analysis of formalin fixed, paraffin embedded Human adenocarcinoma of colon tissue labeling GDF7 with ab189928 at 1/2000 dilution, and prediluted HRP Polymer for Rabbit IgG as a secondary antibody. Counterstained with Hematoxylin.

Perform heat mediated antigen retrieval with Tris/EDTA buffer pH 9.0 before commencing with IHC staining protocol.

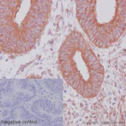
Immunohistochemistry (Formalin/PFA-fixed paraffin-embedded sections) - Anti-GDF7 antibody [EPR16000] - BSA and Azide free (AB251010)
  • IHC-P

Supplier Data

Immunohistochemistry (Formalin/PFA-fixed paraffin-embedded sections) - Anti-GDF7 antibody [EPR16000] - BSA and Azide free (AB251010)

This data was developed using ab189928, the same antibody clone in a different buffer formulation.

Immunohistochemical analysis of formalin fixed, paraffin embedded Human adenocarcinoma of colon labeling GDF7 with ab189928 at 1/2000 dilution, and prediluted HRP Polymer for Rabbit IgG as a secondary antibody. Counterstained with Hematoxylin.

Perform heat mediated antigen retrieval with Tris/EDTA buffer pH 9.0 before commencing with IHC staining protocol.

Western blot - Anti-GDF7 antibody [EPR16000] - BSA and Azide free (AB251010)
  • WB

Supplier Data

Western blot - Anti-GDF7 antibody [EPR16000] - BSA and Azide free (AB251010)

This data was developed using ab189928, the same antibody clone in a different buffer formulation.

All lanes:

Western blot - Anti-GDF7 antibody [EPR16000] (<a href='/en-us/products/primary-antibodies/gdf7-antibody-epr16000-ab189928'>ab189928</a>) at 1/10000 dilution

All lanes:

Human fetal brain tissue lysate at 20 µg

Secondary

All lanes:

Anti-Rabbit IgG (HRP), specific to the non-reduced form of IgG at 1/1000 dilution

Predicted band size: 47 kDa

Observed band size: 52 kDa

false

Western blot - Anti-GDF7 antibody [EPR16000] - BSA and Azide free (AB251010)
  • WB

Supplier Data

Western blot - Anti-GDF7 antibody [EPR16000] - BSA and Azide free (AB251010)

This data was developed using ab189928, the same antibody clone in a different buffer formulation.

All lanes:

Western blot - Anti-GDF7 antibody [EPR16000] (<a href='/en-us/products/primary-antibodies/gdf7-antibody-epr16000-ab189928'>ab189928</a>) at 1/1000 dilution

Lane 1:

C6 cell lysate at 10 µg

Lane 2:

Neuro-2a cell lysate at 10 µg

Secondary

All lanes:

Anti-Rabbit IgG (HRP), specific to the non-reduced form of IgG at 1/1000 dilution

Predicted band size: 47 kDa

false

Key facts

Host species

Rabbit

Clonality

Monoclonal

Clone number

EPR16000

Isotype

IgG

Carrier free

Yes

Reacts with

Mouse, Rat, Human

Applications

WB, ICC/IF, IHC-P

applications

Immunogen

The exact immunogen used to generate this antibody is proprietary information.

Reactivity data

{ "title": "Reactivity Data", "filters": { "stats": ["", "Species", "Dilution Info", "Notes"], "tabs": { "all-applications": {"fullname" : "All Applications", "shortname": "All Applications"}, "WB" : {"fullname" : "Western blot", "shortname":"WB"}, "ICCIF" : {"fullname" : "Immunocytochemistry/ Immunofluorescence", "shortname":"ICC/IF"}, "IHCP" : {"fullname" : "Immunohistochemistry (Formalin/PFA-fixed paraffin-embedded sections)", "shortname":"IHC-P"} }, "product-promise": { "all": "all", "testedAndGuaranteed": "tested", "guaranteed": "expected", "predicted": "predicted", "notRecommended": "not-recommended" } }, "values": { "Human": { "WB-species-checked": "testedAndGuaranteed", "WB-species-dilution-info": "", "WB-species-notes": "<p></p>", "ICCIF-species-checked": "testedAndGuaranteed", "ICCIF-species-dilution-info": "", "ICCIF-species-notes": "<p></p>", "IHCP-species-checked": "testedAndGuaranteed", "IHCP-species-dilution-info": "", "IHCP-species-notes": "<p></p>" }, "Mouse": { "WB-species-checked": "testedAndGuaranteed", "WB-species-dilution-info": "", "WB-species-notes": "<p></p>", "ICCIF-species-checked": "guaranteed", "ICCIF-species-dilution-info": "", "ICCIF-species-notes": "", "IHCP-species-checked": "guaranteed", "IHCP-species-dilution-info": "", "IHCP-species-notes": "" }, "Rat": { "WB-species-checked": "testedAndGuaranteed", "WB-species-dilution-info": "", "WB-species-notes": "<p></p>", "ICCIF-species-checked": "guaranteed", "ICCIF-species-dilution-info": "", "ICCIF-species-notes": "", "IHCP-species-checked": "guaranteed", "IHCP-species-dilution-info": "", "IHCP-species-notes": "" } } }

Product details

ab251010 is the carrier-free version of ab189928.

Patented technology
Our RabMAb® technology is a patented hybridoma-based technology for making rabbit monoclonal antibodies. For details on our patents, please refer to RabMAb® patents.

What are the advantages of a recombinant monoclonal antibody?
This product is a recombinant monoclonal antibody, which offers several advantages including:

  • - High batch-to-batch consistency and reproducibility
  • - Improved sensitivity and specificity
  • - Long-term security of supply
  • - Animal-free batch production

For more information, read more on recombinant antibodies.

Conjugation ready
Our carrier-free antibodies are typically supplied in a PBS-only formulation, purified and free of BSA, sodium azide and glycerol. This conjugation-ready format is designed for use with fluorochromes, metal isotopes, oligonucleotides, and enzymes, which makes them ideal for antibody labelling, functional and cell-based assays, flow-based assays (e.g. mass cytometry) and Multiplex Imaging applications.

Use our conjugation kits for antibody conjugates that are ready-to-use in as little as 20 minutes with 1 minute hands-on-time and 100% antibody recovery: available for fluorescent dyes, HRP, biotin and gold.

Compatibility
This product is compatible with the Maxpar® Antibody Labeling Kit from Fluidigm, without the need for antibody preparation. Maxpar® is a trademark of Fluidigm Canada Inc.

Properties and storage information

Form
Liquid
Purification technique
Affinity purification Protein A
Storage buffer
pH: 7.2 - 7.4 Constituents: PBS
Shipped at conditions
Blue Ice
Appropriate short-term storage conditions
+4°C
Appropriate long-term storage conditions
+4°C
Storage information
Do Not Freeze

Product protocols

For this product, it's our understanding that no specific protocols are required. You can visit:

Target data

May play an active role in the motor area of the primate neocortex.
See full target information GDF7

Product promise

We are committed to supporting your work with high-quality reagents, and we're here for you every step of the way. In the unlikely event that one of our products does not perform as expected, you're protected by our Product Promise.
For full details, please see our Terms & Conditions

Please note: All products are 'FOR RESEARCH USE ONLY. NOT FOR USE IN DIAGNOSTIC OR THERAPEUTIC PROCEDURES'.

For licensing inquiries, please contact partnerships@abcam.com