JavaScript is disabled in your browser. Please enable JavaScript to view this website.
AB234986

Anti-GDI2 antibody

3

(1 Review)

|

(2 Publications)

Rabbit Polyclonal GDI2 antibody. Suitable for WB, IHC-P and reacts with Mouse, Human samples. Cited in 2 publications. Immunogen corresponding to Recombinant Full Length Protein corresponding to Human GDI2.

View Alternative Names

RABGDIB, GDI2, Rab GDP dissociation inhibitor beta, Rab GDI beta, Guanosine diphosphate dissociation inhibitor 2, GDI-2

3 Images
Immunohistochemistry (Formalin/PFA-fixed paraffin-embedded sections) - Anti-GDI2 antibody (AB234986)
  • IHC-P

Supplier Data

Immunohistochemistry (Formalin/PFA-fixed paraffin-embedded sections) - Anti-GDI2 antibody (AB234986)

Paraffin-embedded human breast cancer tissue stained for GDI2 using ab234986 at 1/100 dilution in immunohistochemical analysis.

Immunohistochemistry (Formalin/PFA-fixed paraffin-embedded sections) - Anti-GDI2 antibody (AB234986)
  • IHC-P

Supplier Data

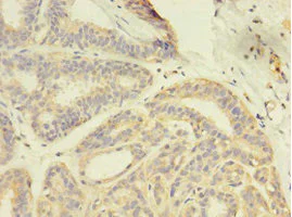
Immunohistochemistry (Formalin/PFA-fixed paraffin-embedded sections) - Anti-GDI2 antibody (AB234986)

Paraffin-embedded human gastric cancer tissue stained for GDI2 using ab234986 at 1/100 dilution in immunohistochemical analysis.

Western blot - Anti-GDI2 antibody (AB234986)
  • WB

Supplier Data

Western blot - Anti-GDI2 antibody (AB234986)

All lanes:

Western blot - Anti-GDI2 antibody (ab234986) at 1/500 dilution

Lane 1:

Mouse brain lysate

Lane 2:

HepG2 (human liver hepatocellular carcinoma cell line) whole cell lysate

Lane 3:

MCF7 (human breast adenocarcinoma cell line) whole cell lysate

Secondary

All lanes:

Goat polyclonal to rabbit at 1/10000 dilution

Predicted band size: 51 kDa

false

Key facts

Host species

Rabbit

Clonality

Polyclonal

Isotype

IgG

Carrier free

No

Reacts with

Mouse, Human

Applications

IHC-P, WB

applications

Immunogen

Recombinant Full Length Protein corresponding to Human GDI2.

P50395

Reactivity data

{ "title": "Reactivity Data", "filters": { "stats": ["", "Species", "Dilution Info", "Notes"], "tabs": { "all-applications": {"fullname" : "All Applications", "shortname": "All Applications"}, "WB" : {"fullname" : "Western blot", "shortname":"WB"}, "IHCP" : {"fullname" : "Immunohistochemistry (Formalin/PFA-fixed paraffin-embedded sections)", "shortname":"IHC-P"} }, "product-promise": { "all": "all", "testedAndGuaranteed": "tested", "guaranteed": "expected", "predicted": "predicted", "notRecommended": "not-recommended" } }, "values": { "Human": { "WB-species-checked": "guaranteed", "WB-species-dilution-info": "", "WB-species-notes": "", "IHCP-species-checked": "testedAndGuaranteed", "IHCP-species-dilution-info": "1/20 - 1/200", "IHCP-species-notes": "<p></p>" }, "Mouse": { "WB-species-checked": "testedAndGuaranteed", "WB-species-dilution-info": "1/500 - 1/5000", "WB-species-notes": "<p></p>", "IHCP-species-checked": "guaranteed", "IHCP-species-dilution-info": "", "IHCP-species-notes": "" }, "Rat": { "WB-species-checked": "predicted", "WB-species-dilution-info": "", "WB-species-notes": "", "IHCP-species-checked": "predicted", "IHCP-species-dilution-info": "", "IHCP-species-notes": "" }, "Cow": { "WB-species-checked": "predicted", "WB-species-dilution-info": "", "WB-species-notes": "", "IHCP-species-checked": "predicted", "IHCP-species-dilution-info": "", "IHCP-species-notes": "" }, "Dog": { "WB-species-checked": "predicted", "WB-species-dilution-info": "", "WB-species-notes": "", "IHCP-species-checked": "predicted", "IHCP-species-dilution-info": "", "IHCP-species-notes": "" }, "Orangutan": { "WB-species-checked": "predicted", "WB-species-dilution-info": "", "WB-species-notes": "", "IHCP-species-checked": "predicted", "IHCP-species-dilution-info": "", "IHCP-species-notes": "" }, "Pig": { "WB-species-checked": "predicted", "WB-species-dilution-info": "", "WB-species-notes": "", "IHCP-species-checked": "predicted", "IHCP-species-dilution-info": "", "IHCP-species-notes": "" } } }

Properties and storage information

Form
Liquid
Purification technique
Affinity purification Protein G
Purification notes
Purity >95%.
Storage buffer
pH: 7.4 Preservative: 0.03% Proclin 300 Constituents: PBS, 50% Glycerol (glycerin, glycerine)
Shipped at conditions
Blue Ice
Appropriate short-term storage duration
1-2 weeks
Appropriate short-term storage conditions
+4°C
Appropriate long-term storage conditions
-20°C
Aliquoting information
Upon delivery aliquot
Storage information
Avoid freeze / thaw cycle

Product protocols

For this product, it's our understanding that no specific protocols are required. You can visit:

Target data

GDP-dissociation inhibitor preventing the GDP to GTP exchange of most Rab proteins. By keeping these small GTPases in their inactive GDP-bound form regulates intracellular membrane trafficking (PubMed : 25860027). Negatively regulates protein transport to the cilium and ciliogenesis through the inhibition of RAB8A (PubMed : 25860027).
See full target information GDI2

Publications (2)

Recent publications for all applications. Explore the full list and refine your search

Chinese medicine 19:16 PubMed38268006

2024

Ganoderma lucidum polysaccharide ameliorates cholesterol gallstone formation by modulating cholesterol and bile acid metabolism in an FXR-dependent manner.

Applications

Unspecified application

Species

Unspecified reactive species

Dan Huang,Shuang Shen,Qian Zhuang,Xin Ye,Yueqin Qian,Zhixia Dong,Xinjian Wan

Molecular medicine reports 22:2723-2732 PubMed32945458

2020

MicroRNA‑15b‑5p exerts its tumor repressive role via targeting GDI2: A novel insight into the pathogenesis of thyroid carcinoma.

Applications

Unspecified application

Species

Unspecified reactive species

Jidong Zou,Jiantong Qian,Haiyan Fu,Fawen Yin,Wanjun Zhao,Liang Xu
View all publications

Product promise

We are committed to supporting your work with high-quality reagents, and we're here for you every step of the way. In the unlikely event that one of our products does not perform as expected, you're protected by our Product Promise.
For full details, please see our Terms & Conditions

Please note: All products are 'FOR RESEARCH USE ONLY. NOT FOR USE IN DIAGNOSTIC OR THERAPEUTIC PROCEDURES'.

For licensing inquiries, please contact partnerships@abcam.com