JavaScript is disabled in your browser. Please enable JavaScript to view this website.
AB155785

Anti-GEF H1 antibody

5

(4 Reviews)

|

(33 Publications)

Rabbit Polyclonal GEF H1 antibody. Suitable for IP, WB, IHC-P, ICC/IF and reacts with Human, Rat, Mouse samples. Cited in 33 publications. Immunogen corresponding to Recombinant Fragment Protein within Human ARHGEF2 aa 650 to C-terminus.

View Alternative Names

KIAA0651, LFP40, ARHGEF2, Rho guanine nucleotide exchange factor 2, Guanine nucleotide exchange factor H1, Microtubule-regulated Rho-GEF, Proliferating cell nucleolar antigen p40, GEF-H1

12 Images
Immunocytochemistry/ Immunofluorescence - Anti-GEF H1 antibody (AB155785)
  • ICC/IF

Supplier Data

Immunocytochemistry/ Immunofluorescence - Anti-GEF H1 antibody (AB155785)

Immunofluorescence analysis of HeLa cells fixed in ice-cold MeOH for 5 min labelling GEF-H1 protein at cytoskeleton and Golgi apparatus using ab155785 at a 1/500 dilution (Green). Hoechst 33342 was used for nuclear staining (Blue).
Scale bar = 10 µM

Immunocytochemistry/ Immunofluorescence - Anti-GEF H1 antibody (AB155785)
  • ICC/IF

AbReview51054****

Immunocytochemistry/ Immunofluorescence - Anti-GEF H1 antibody (AB155785)

Immunocytochemical immunofluorescence analysis of formaldehyde-fixed human HepG2 cells, labelling GEF H1 with ab155785 with a dilution of 1/50 incubated for 3 hours at 22°C in 1% donkey serum in 0.1% PBST diluent. Permeablization with 0.2% Triton X-100. Blocking was with 1% donkey serum in 0.1% PBST incubated for 1 hour at 22°C. Secondary was a donkey anti-rabbit polyclonal Alexa Fluor® 594 at 1/200. Counterstain is DAPI (blue) against nuclear DNA.

Image is courtesy of an AbReview submitted by Dr Armen Petrosyan.

Immunohistochemistry (Formalin/PFA-fixed paraffin-embedded sections) - Anti-GEF H1 antibody (AB155785)
  • IHC-P

Unknown

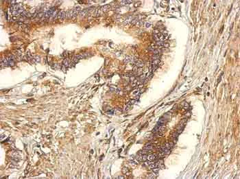
Immunohistochemistry (Formalin/PFA-fixed paraffin-embedded sections) - Anti-GEF H1 antibody (AB155785)

Immunohistochemical analysis of paraffin-embedded Human Gastric carcinoma tissue, labeling GEF H1 with ab155785 at 1/500 dilution.

Immunoprecipitation - Anti-GEF H1 antibody (AB155785)
  • IP

Supplier Data

Immunoprecipitation - Anti-GEF H1 antibody (AB155785)

Immunoprecipitation of GEF H1 from 293T whole cell extracts using 5 μg of ab155785. Western blot analysis was performed using ab155785.

All lanes:

Immunoprecipitation - Anti-GEF H1 antibody (ab155785)

Predicted band size: 111 kDa

false

Immunohistochemistry (Formalin/PFA-fixed paraffin-embedded sections) - Anti-GEF H1 antibody (AB155785)
  • IHC-P

Supplier Data

Immunohistochemistry (Formalin/PFA-fixed paraffin-embedded sections) - Anti-GEF H1 antibody (AB155785)

Immunohistochemical analysis of paraffin-embedded mouse brain tissue stained for GEF-H1 protein at cytoplasm with ab155785 at a 1/1000 dilution.

Antigen retrieval : Citrate buffer, pH 6.0, 15 min

Immunohistochemistry (Formalin/PFA-fixed paraffin-embedded sections) - Anti-GEF H1 antibody (AB155785)
  • IHC-P

Lab

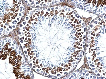
Immunohistochemistry (Formalin/PFA-fixed paraffin-embedded sections) - Anti-GEF H1 antibody (AB155785)

Immunohistochemical analysis of paraffin-embedded Mouse testis tissue, labeling GEF H1 with ab155785 at 1/500 dilution.

Immunohistochemistry (Formalin/PFA-fixed paraffin-embedded sections) - Anti-GEF H1 antibody (AB155785)
  • IHC-P

Supplier Data

Immunohistochemistry (Formalin/PFA-fixed paraffin-embedded sections) - Anti-GEF H1 antibody (AB155785)

Immunohistochemical analysis of paraffin-embedded rat hind brain tissue stained for GEF-H1 protein at cytosol on rat hind brain with ab155785 at a 1/500 dilution.

Antigen retrieval : Trilogy™ (EDTA based, pH 8.0) buffer, 15min

Western blot - Anti-GEF H1 antibody (AB155785)
  • WB

Supplier Data

Western blot - Anti-GEF H1 antibody (AB155785)

Samples were separated by 7.5% SDS-PAGE.

All lanes:

Western blot - Anti-GEF H1 antibody (ab155785) at 1/2000 dilution

Lane 1:

293T whole cell extracts at 30 µg

Lane 2:

A431 whole cell extracts at 30 µg

Secondary

All lanes:

HRP-conjugated anti-rabbit IgG

Predicted band size: 20 kDa

false

Western blot - Anti-GEF H1 antibody (AB155785)
  • WB

Supplier Data

Western blot - Anti-GEF H1 antibody (AB155785)

Samples were separated by 7.5% SDS-PAGE.

All lanes:

Western blot - Anti-GEF H1 antibody (ab155785) at 1/4000 dilution

Lane 1:

293T whole cell extracts at 30 µg

Lane 2:

shRNA transfected 293T whole cell extracts at 30 µg

Secondary

All lanes:

HRP-conjugated anti-rabbit IgG

Predicted band size: 111 kDa

false

Western blot - Anti-GEF H1 antibody (AB155785)
  • WB

Supplier Data

Western blot - Anti-GEF H1 antibody (AB155785)

Samples were separated by 5% SDS-PAGE.

All lanes:

Western blot - Anti-GEF H1 antibody (ab155785) at 1/1000 dilution

Lane 1:

Neuro2A whole cell lysate at 30 µg

Lane 2:

GL261 whole cell lysate at 30 µg

Lane 3:

C8D30 whole cell lysate at 30 µg

Lane 4:

NIH-3T3 whole cell lysate at 30 µg

Lane 5:

BCL-1 whole cell lysate at 30 µg

Lane 6:

Raw 264.7 whole cell lysate at 30 µg

Lane 7:

C2Cl2 whole cell lysate at 30 µg

Secondary

All lanes:

HRP-conjugated anti-rabbit IgG

Predicted band size: 111 kDa

false

Western blot - Anti-GEF H1 antibody (AB155785)
  • WB

Supplier Data

Western blot - Anti-GEF H1 antibody (AB155785)

Samples were separated by 7.5% SDS-PAGE.

All lanes:

Western blot - Anti-GEF H1 antibody (ab155785) at 1/500 dilution

Lane 1:

PC-12 whole cell extracts at 30 µg

Lane 2:

Rat2 whole cell extracts at 30 µg

Secondary

All lanes:

HRP-conjugated anti-rabbit IgG

Predicted band size: 111 kDa

false

Western blot - Anti-GEF H1 antibody (AB155785)
  • WB

Supplier Data

Western blot - Anti-GEF H1 antibody (AB155785)

8% SDS PAGE

All lanes:

Western blot - Anti-GEF H1 antibody (ab155785) at 1/1000 dilution

Lane 1:

hMSC-3A6 whole cell lysate, mock transfected at 10 µg

Lane 2:

hMSC-3A6 whole cell lysate, transfected with GEF H1 siRNA at 10 µg

Predicted band size: 111 kDa

false

Key facts

Host species

Rabbit

Clonality

Polyclonal

Isotype

IgG

Carrier free

No

Reacts with

Mouse, Human, Rat

Applications

IHC-P, ICC/IF, IP, WB

applications

Immunogen

Recombinant Fragment Protein within Human ARHGEF2 aa 650 to C-terminus. The exact immunogen used to generate this antibody is proprietary information.

Q92974

Reactivity data

{ "title": "Reactivity Data", "filters": { "stats": ["", "Species", "Dilution Info", "Notes"], "tabs": { "all-applications": {"fullname" : "All Applications", "shortname": "All Applications"}, "IP" : {"fullname" : "Immunoprecipitation", "shortname":"IP"}, "WB" : {"fullname" : "Western blot", "shortname":"WB"}, "IHCP" : {"fullname" : "Immunohistochemistry (Formalin/PFA-fixed paraffin-embedded sections)", "shortname":"IHC-P"}, "ICCIF" : {"fullname" : "Immunocytochemistry/ Immunofluorescence", "shortname":"ICC/IF"} }, "product-promise": { "all": "all", "testedAndGuaranteed": "tested", "guaranteed": "expected", "predicted": "predicted", "notRecommended": "not-recommended" } }, "values": { "Human": { "IP-species-checked": "testedAndGuaranteed", "IP-species-dilution-info": "1/100 - 1/500", "IP-species-notes": "<p></p>", "WB-species-checked": "testedAndGuaranteed", "WB-species-dilution-info": "1/500 - 1/3000", "WB-species-notes": "<p></p>", "IHCP-species-checked": "testedAndGuaranteed", "IHCP-species-dilution-info": "1/100 - 1/1000", "IHCP-species-notes": "<p></p>", "ICCIF-species-checked": "testedAndGuaranteed", "ICCIF-species-dilution-info": "1/100 - 1/1000", "ICCIF-species-notes": "<p></p>" }, "Mouse": { "IP-species-checked": "guaranteed", "IP-species-dilution-info": "", "IP-species-notes": "", "WB-species-checked": "testedAndGuaranteed", "WB-species-dilution-info": "1/500 - 1/3000", "WB-species-notes": "<p></p>", "IHCP-species-checked": "testedAndGuaranteed", "IHCP-species-dilution-info": "1/100 - 1/1000", "IHCP-species-notes": "<p></p>", "ICCIF-species-checked": "guaranteed", "ICCIF-species-dilution-info": "", "ICCIF-species-notes": "" }, "Rat": { "IP-species-checked": "guaranteed", "IP-species-dilution-info": "", "IP-species-notes": "", "WB-species-checked": "testedAndGuaranteed", "WB-species-dilution-info": "1/500 - 1/3000", "WB-species-notes": "<p></p>", "IHCP-species-checked": "testedAndGuaranteed", "IHCP-species-dilution-info": "1/100 - 1/1000", "IHCP-species-notes": "<p></p>", "ICCIF-species-checked": "guaranteed", "ICCIF-species-dilution-info": "", "ICCIF-species-notes": "" } } }

Properties and storage information

Form
Liquid
Purification technique
Affinity purification Immunogen
Storage buffer
pH: 7 Preservative: 0.025% Proclin 300 Constituents: PBS, 20% Glycerol (glycerin, glycerine)
Shipped at conditions
Blue Ice
Appropriate short-term storage conditions
+4°C
Appropriate long-term storage conditions
-20°C
Aliquoting information
Upon delivery aliquot
Storage information
Avoid freeze / thaw cycle

Product protocols

For this product, it's our understanding that no specific protocols are required. You can visit:

Target data

Activates Rho-GTPases by promoting the exchange of GDP for GTP. May be involved in epithelial barrier permeability, cell motility and polarization, dendritic spine morphology, antigen presentation, leukemic cell differentiation, cell cycle regulation, innate immune response, and cancer. Binds Rac-GTPases, but does not seem to promote nucleotide exchange activity toward Rac-GTPases, which was uniquely reported in PubMed : 9857026. May stimulate instead the cortical activity of Rac. Inactive toward CDC42, TC10, or Ras-GTPases. Forms an intracellular sensing system along with NOD1 for the detection of microbial effectors during cell invasion by pathogens. Required for RHOA and RIP2 dependent NF-kappaB signaling pathways activation upon S.flexneri cell invasion. Involved not only in sensing peptidoglycan (PGN)-derived muropeptides through NOD1 that is independent of its GEF activity, but also in the activation of NF-kappaB by Shigella effector proteins (IpgB2 and OspB) which requires its GEF activity and the activation of RhoA. Involved in innate immune signaling transduction pathway promoting cytokine IL6/interleukin-6 and TNF-alpha secretion in macrophage upon stimulation by bacterial peptidoglycans; acts as a signaling intermediate between NOD2 receptor and RIPK2 kinase. Contributes to the tyrosine phosphorylation of RIPK2 through Src tyrosine kinase leading to NF-kappaB activation by NOD2. Overexpression activates Rho-, but not Rac-GTPases, and increases paracellular permeability (By similarity). Involved in neuronal progenitor cell division and differentiation (PubMed : 28453519). Involved in the migration of precerebellar neurons (By similarity).
See full target information ARHGEF2

Publications (33)

Recent publications for all applications. Explore the full list and refine your search

Molecular medicine (Cambridge, Mass.) 31:78 PubMed40000966

2025

A novel mechanism of FTO modulating the progression of endometriosis through mediating the m6A methylation of GEF-H1 in a YTHDF1-dependent manner.

Applications

Unspecified application

Species

Unspecified reactive species

Xin-Yu Ding,Hua-Ying Zhang,Jia-Hao Chen,Meng-Jie Yang,Zhi-Xiong Huang,Yi-Hong Lei,Qin-Kun Sun,Jian-Bin Bai,Dian-Chao Lin,Jian-Fa Lan,Lu-Lu Ren,Zheng-Yi Chen,Wei-Dong Zhou,Qiong-Hua Chen

Nature communications 16:1864 PubMed39984444

2025

PGLYRP1-mediated intracellular peptidoglycan detection promotes intestinal mucosal protection.

Applications

Unspecified application

Species

Unspecified reactive species

Shuyuan Chen,Rachel Putnik,Xi Li,Alka Diwaker,Marina Vasconcelos,Shuzhen Liu,Sudershan Gondi,Junhui Zhou,Lei Guo,Lin Xu,Sebastian Temme,Klare Bersch,Stephen Hyland,Jianyi Yin,Ezra Burstein,Brian J Bahnson,Jeffrey C Gildersleeve,Catherine Leimkuhler Grimes,Hans-Christian Reinecker

Frontiers in physiology 15:1342024 PubMed38312316

2024

Bone resorption by osteoclasts involves fine tuning of RHOA activity by its microtubule-associated exchange factor GEF-H1.

Applications

Unspecified application

Species

Unspecified reactive species

Anne Morel,Christophe Douat,Anne Blangy,Virginie Vives

iScience 26:108049 PubMed37822505

2023

Endothelial barrier dysfunction in systemic inflammation is mediated by soluble VE-cadherin interfering VE-PTP signaling.

Applications

Unspecified application

Species

Unspecified reactive species

Juna-Lisa Knop,Natalie Burkard,Mahshid Danesh,Sebastian Kintrup,Thomas Dandekar,Mugdha Srivastava,Rebecca Springer,Matthias Hiermaier,Nana-Maria Wagner,Jens Waschke,Sven Flemming,Nicolas Schlegel

Heliyon 9:e20118 PubMed37809525

2023

Fasudil and SR1001 synergistically protect against sepsis-associated pancreatic injury by inhibiting RhoA/ROCK pathway and Th17/IL-17 response.

Applications

Unspecified application

Species

Unspecified reactive species

Pingping Liu,Zhenghui Xiao,Xiulan Lu,Xinping Zhang,Jiaotian Huang,Cheng Li

Journal of cell science 136: PubMed37129180

2023

Lfc subcellular localization and activity is controlled by αv-class integrin.

Applications

Unspecified application

Species

Unspecified reactive species

Georgina P Coló,Andrea Seiwert,Raquel B Haga

eLife 12: PubMed36989130

2023

Nuclear SUN1 stabilizes endothelial cell junctions via microtubules to regulate blood vessel formation.

Applications

Unspecified application

Species

Unspecified reactive species

Danielle B Buglak,Pauline Bougaran,Molly R Kulikauskas,Ziqing Liu,Elizabeth Monaghan-Benson,Ariel L Gold,Allison P Marvin,Andrew Burciu,Natalie T Tanke,Morgan Oatley,Shea N Ricketts,Karina Kinghorn,Bryan N Johnson,Celia E Shiau,Stephen Rogers,Christophe Guilluy,Victoria L Bautch

Biophysical journal 122:3600-3610 PubMed36523161

2022

Fidgetin-like 2 depletion enhances cell migration by regulating GEF-H1, RhoA, and FAK.

Applications

Unspecified application

Species

Unspecified reactive species

Karishma Smart,Adam H Kramer,Sachin Smart,Louis Hodgson,David J Sharp

Cells 11: PubMed36497137

2022

Autophagy Induced by Toll-like Receptor Ligands Regulates Antigen Extraction and Presentation by B Cells.

Applications

Unspecified application

Species

Unspecified reactive species

Jonathan Lagos,Sara Sagadiev,Jheimmy Diaz,Juan Pablo Bozo,Fanny Guzman,Caroline Stefani,Silvana Zanlungo,Mridu Acharya,Maria Isabel Yuseff

Haematologica 107:2972-2976 PubMed36453520

2022

Structure-function analysis of the role of megakaryoblastic leukemia 1 in megakaryocyte polyploidization.

Applications

Unspecified application

Species

Unspecified reactive species

Fiona E Reed,Nicole M Eskow,Elizabeth Min,Maximillian Carlino,Rubia Mancuso,Nayoung Kwon,Elenoe C Smith,Shannon T Larsuel,Lin Wang,Vanessa Scanlon,Diane S Krause
View all publications

Product promise

We are committed to supporting your work with high-quality reagents, and we're here for you every step of the way. In the unlikely event that one of our products does not perform as expected, you're protected by our Product Promise.
For full details, please see our Terms & Conditions

Please note: All products are 'FOR RESEARCH USE ONLY. NOT FOR USE IN DIAGNOSTIC OR THERAPEUTIC PROCEDURES'.

For licensing inquiries, please contact partnerships@abcam.com