JavaScript is disabled in your browser. Please enable JavaScript to view this website.
AB247406

Anti-Gelsolin plasma antibody [EPR1941Y] - BSA and Azide free

Be the first to review this product! Submit a review

|

(1 Publication)

anti-Gelsolin plasma antibody [EPR1941Y] ab247406 is a carrier free rabbit monoclonal antibody that is used in Gelsolin plasma western blotting, IHC and Immunoprecipitation. Suitable for human and mouse samples.

- PBS only, conjugation-ready, removing anything extra from your antibodies, greater flexibility in assay design
- Recombinant format for unrivaled batch-batch consistency: no need for same-lot requests
- Specificity and sensitivity confirmed in IHC with multi-tissue microarray validation

View Alternative Names

Gelsolin, AGEL, Actin-depolymerizing factor, Brevin, ADF, GSN

4 Images
Immunohistochemistry (Formalin/PFA-fixed paraffin-embedded sections) - Anti-Gelsolin plasma antibody [EPR1941Y] - BSA and Azide free (AB247406)
  • IHC-P

Unknown

Immunohistochemistry (Formalin/PFA-fixed paraffin-embedded sections) - Anti-Gelsolin plasma antibody [EPR1941Y] - BSA and Azide free (AB247406)

This data was developed using ab75832, the same antibody clone in a different buffer formulation.

ab75832 at 1/100 dilution staining Gelsolin plasma in human colon tissue, using a HRP/AP polymerized secondary antibody.

Perform heat mediated antigen retrieval via the pressure cooker method before commencing with IHC staining protocol.

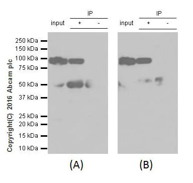
Immunoprecipitation - Anti-Gelsolin plasma antibody [EPR1941Y] - BSA and Azide free (AB247406)
  • IP

Lab

Immunoprecipitation - Anti-Gelsolin plasma antibody [EPR1941Y] - BSA and Azide free (AB247406)

This data was developed using ab75832, the same antibody clone in a different buffer formulation.

ab75832 Immunoprecipitating Gelsolin plasma in human plasma tissue lysate. 2μg of capture antibody (ab75832) per 0.35mg of lysate was used. 10μg of plasma was incubated with primary antibody (Panel A : ab75832, Panel B : ab134183) at a dilution of 1/1000 and VeriBlot for IP Detection Reagent (HRP) ab131366 was used for detection at a dilution of 1/10000.

Lane 1 : Human plasma

Lane 2 : Human plasma

Lane 3 : Rabbit monoclonal IgG (ab172730) instead of ab75832 in Human plasma.

Exposure time : Panel A - 8 seconds, Panel B - 3 minutes.

Blocking and dilution buffer : 5% NFDM/TBST.

The additional band at 50 kDa is a rabbit IgG heavy chain.

All lanes:

Immunoprecipitation - Anti-Gelsolin plasma antibody [EPR1941Y] (<a href='/en-us/products/primary-antibodies/gelsolin-plasma-antibody-epr1941y-ab75832'>ab75832</a>)

Predicted band size: 86 kDa

Observed band size: 86 kDa

false

Western blot - Anti-Gelsolin plasma antibody [EPR1941Y] - BSA and Azide free (AB247406)
  • WB

Lab

Western blot - Anti-Gelsolin plasma antibody [EPR1941Y] - BSA and Azide free (AB247406)

This data was developed using ab75832, the same antibody clone in a different buffer formulation.

Blocking and dilution buffer : 5% NFDM/TBST.

The secretory isoform of gelsolin is at 86kDa. The cytoplasmic isoforms of gelsolin are at 81kDa. Lanes 5-8 : ab109014 detected both secretory and cytoplasmic isoforms. Lanes 9-12 : ab134183 detected both secretory and cytoplasmic isoforms.

Lanes 1, 2, 3, 4, 9, 10, 11 and 12:

Western blot - Anti-Gelsolin plasma antibody [EPR1941Y] (<a href='/en-us/products/primary-antibodies/gelsolin-plasma-antibody-epr1941y-ab75832'>ab75832</a>) at 1/10000 dilution

Lanes 5 - 8:

Western blot - Anti-Gelsolin plasma antibody [EPR1941Y] (<a href='/en-us/products/primary-antibodies/gelsolin-plasma-antibody-epr1941y-ab75832'>ab75832</a>) at 1/20000 dilution

Lanes 1, 5 and 9:

THP-1 (human acute monocytic leukemia) whole cell lysate at 10 µg

Lanes 2, 6 and 10:

THP-1 cultured medium at 10 µg

Lanes 3, 7 and 11:

MCF-7 (human breast adenocarcinoma) whole cell lysate at 10 µg

Lanes 4, 8 and 12:

Human Plasma at 10 µg

Secondary

All lanes:

Western blot - Goat Anti-Rabbit IgG H&L (HRP) (<a href='/en-us/products/secondary-antibodies/goat-rabbit-igg-h-l-hrp-ab97051'>ab97051</a>) at 1/20000 dilution

Predicted band size: 86 kDa

Observed band size: 81 kDa,86 kDa

false

Exposure time: 10s

Western blot - Anti-Gelsolin plasma antibody [EPR1941Y] - BSA and Azide free (AB247406)
  • WB

Unknown

Western blot - Anti-Gelsolin plasma antibody [EPR1941Y] - BSA and Azide free (AB247406)

This data was developed using ab75832, the same antibody clone in a different buffer formulation.

All lanes:

Western blot - Anti-Gelsolin plasma antibody [EPR1941Y] (<a href='/en-us/products/primary-antibodies/gelsolin-plasma-antibody-epr1941y-ab75832'>ab75832</a>) at 1/50000 dilution

All lanes:

human plasma at 10 µg

Secondary

All lanes:

HRP labelled goat anti-rabbit at 1/2000 dilution

Predicted band size: 86 kDa

Observed band size: 90 kDa

false

Key facts

Host species

Rabbit

Clonality

Monoclonal

Clone number

EPR1941Y

Isotype

IgG

Carrier free

Yes

Reacts with

Mouse, Human

Applications

WB, IHC-P, IP

applications

Immunogen

The exact immunogen used to generate this antibody is proprietary information.

Specificity

The antibody only detects the isoform 1 of the protein (86kDa).

Reactivity data

{ "title": "Reactivity Data", "filters": { "stats": ["", "Species", "Dilution Info", "Notes"], "tabs": { "all-applications": {"fullname" : "All Applications", "shortname": "All Applications"}, "FlowCyt" : {"fullname" : "Flow Cytometry", "shortname":"Flow Cyt"}, "IHCP" : {"fullname" : "Immunohistochemistry (Formalin/PFA-fixed paraffin-embedded sections)", "shortname":"IHC-P"}, "ICCIF" : {"fullname" : "Immunocytochemistry/ Immunofluorescence", "shortname":"ICC/IF"}, "IP" : {"fullname" : "Immunoprecipitation", "shortname":"IP"}, "WB" : {"fullname" : "Western blot", "shortname":"WB"} }, "product-promise": { "all": "all", "testedAndGuaranteed": "tested", "guaranteed": "expected", "predicted": "predicted", "notRecommended": "not-recommended" } }, "values": { "Human": { "FlowCyt-species-checked": "notRecommended", "FlowCyt-species-dilution-info": "", "FlowCyt-species-notes": "<p></p>", "IHCP-species-checked": "testedAndGuaranteed", "IHCP-species-dilution-info": "", "IHCP-species-notes": "<p></p> Perform heat-mediated antigen retrieval via the pressure cooker method before commencing with IHC staining protocol.", "ICCIF-species-checked": "notRecommended", "ICCIF-species-dilution-info": "", "ICCIF-species-notes": "<p></p>", "IP-species-checked": "testedAndGuaranteed", "IP-species-dilution-info": "", "IP-species-notes": "<p></p>", "WB-species-checked": "testedAndGuaranteed", "WB-species-dilution-info": "", "WB-species-notes": "<p></p>" }, "Mouse": { "FlowCyt-species-checked": "notRecommended", "FlowCyt-species-dilution-info": "", "FlowCyt-species-notes": "<p></p>", "IHCP-species-checked": "guaranteed", "IHCP-species-dilution-info": "", "IHCP-species-notes": "<p></p> Perform heat-mediated antigen retrieval via the pressure cooker method before commencing with IHC staining protocol.", "ICCIF-species-checked": "notRecommended", "ICCIF-species-dilution-info": "", "ICCIF-species-notes": "<p></p>", "IP-species-checked": "guaranteed", "IP-species-dilution-info": "", "IP-species-notes": "<p></p>", "WB-species-checked": "guaranteed", "WB-species-dilution-info": "", "WB-species-notes": "<p></p>" } } }

Product details

ab247406 is the carrier-free version of ab75832.

Species reactivity
Mouse, Rat: We have preliminary internal testing data to indicate this antibody may not react with these species.
Please contact us for more information.

Patented technology
Our RabMAb® technology is a patented hybridoma-based technology for making rabbit monoclonal antibodies. For details on our patents, please refer to RabMAb® patents.

What are the advantages of a recombinant monoclonal antibody?
This product is a recombinant monoclonal antibody, which offers several advantages including:

  • - High batch-to-batch consistency and reproducibility
  • - Improved sensitivity and specificity
  • - Long-term security of supply
  • - Animal-free batch production

For more information, read more on recombinant antibodies.

Conjugation ready
Our carrier-free antibodies are typically supplied in a PBS-only formulation, purified and free of BSA, sodium azide and glycerol. This conjugation-ready format is designed for use with fluorochromes, metal isotopes, oligonucleotides, and enzymes, which makes them ideal for antibody labelling, functional and cell-based assays, flow-based assays (e.g. mass cytometry) and Multiplex Imaging applications.

Use our conjugation kits for antibody conjugates that are ready-to-use in as little as 20 minutes with 1 minute hands-on-time and 100% antibody recovery: available for fluorescent dyes, HRP, biotin and gold.

Compatibility
This product is compatible with the Maxpar® Antibody Labeling Kit from Fluidigm, without the need for antibody preparation. Maxpar® is a trademark of Fluidigm Canada Inc.

Properties and storage information

Form
Liquid
Purification technique
Affinity purification Protein A
Storage buffer
pH: 7.2 - 7.4 Constituents: PBS
Shipped at conditions
Blue Ice
Appropriate short-term storage conditions
+4°C
Appropriate long-term storage conditions
+4°C
Storage information
Do Not Freeze

Supplementary information

This supplementary information is collated from multiple sources and compiled automatically.

Gelsolin plasma also known as plasma gelsolin is a multifunctional actin-binding protein. It has a molecular mass of approximately 86 kDa. Gelsolin plasma severs and caps actin filaments playing a critical role in the reorganization of the actin cytoskeleton. It is expressed in the cytoplasm and secreted into the blood plasma facilitating actin filament turnover and cellular motility. It also binds to phosphatidylinositol 45-bisphosphate (PIP2) which affects its activity and regulation.
Biological function summary

Gelsolin plasma significantly impacts cell shape movement and signaling. It dismantles actin polymers converting them into monomeric actin important for maintaining the dynamic equilibrium of actin filaments. Gelsolin plasma also participates in the immune response and inflammation modulation. While not specifically part of a larger protein complex it interacts with other cytoskeletal elements and signaling molecules.

Pathways

The functions of gelsolin plasma integrate primarily in the actin cytoskeleton regulation pathway and PIP2 signaling pathway. In the actin cytoskeleton pathway it works alongside proteins such as cofilin and profilin to mediate actin dynamics. In the PIP2 signaling pathway gelsolin plasma interacts with PIP2 which influences its ability to modulate actin filament assembly and disassembly. These pathways are essential for processes like cell migration and cellular signaling.

Gelsolin plasma shows involvement in conditions such as familial amyloidosis and inflammation-related diseases. Mutations in gelsolin can lead to familial amyloidosis of the Finnish type characterized by gelsolin-derived amyloid deposits. Moreover alterations in gelsolin levels relate to inflammatory disorders affecting the body's response to injury and infection. The protein also links to other amyloidogenic proteins emphasizing its role in amyloidosis pathology.

Product protocols

For this product, it's our understanding that no specific protocols are required. You can visit:

Target data

Calcium-regulated, actin-modulating protein that binds to the plus (or barbed) ends of actin monomers or filaments, preventing monomer exchange (end-blocking or capping). It can promote the assembly of monomers into filaments (nucleation) as well as sever filaments already formed (PubMed : 19666512). Plays a role in ciliogenesis (PubMed : 20393563).
See full target information GSN

Publications (1)

Recent publications for all applications. Explore the full list and refine your search

Nature genetics 57:1142-1154 PubMed40229600

2025

Longitudinal single-cell multiomic atlas of high-risk neuroblastoma reveals chemotherapy-induced tumor microenvironment rewiring.

Applications

Unspecified application

Species

Unspecified reactive species

Wenbao Yu,Rumeysa Biyik-Sit,Yasin Uzun,Chia-Hui Chen,Anusha Thadi,Jonathan H Sussman,Minxing Pang,Chi-Yun Wu,Liron D Grossmann,Peng Gao,David W Wu,Aliza Yousey,Mei Zhang,Christina S Turn,Zhan Zhang,Shovik Bandyopadhyay,Jeffrey Huang,Tasleema Patel,Changya Chen,Daniel Martinez,Lea F Surrey,Michael D Hogarty,Kathrin Bernt,Nancy R Zhang,John M Maris,Kai Tan
View all publications

Product promise

We are committed to supporting your work with high-quality reagents, and we're here for you every step of the way. In the unlikely event that one of our products does not perform as expected, you're protected by our Product Promise.
For full details, please see our Terms & Conditions

Please note: All products are 'FOR RESEARCH USE ONLY. NOT FOR USE IN DIAGNOSTIC OR THERAPEUTIC PROCEDURES'.

For licensing inquiries, please contact partnerships@abcam.com