JavaScript is disabled in your browser. Please enable JavaScript to view this website.
AB189850

Anti-Gemin 3 antibody

Be the first to review this product! Submit a review

|

(1 Publication)

Rabbit Polyclonal Gemin 3 antibody. Suitable for WB and reacts with Human, Mouse, Rat samples. Cited in 1 publication. Immunogen corresponding to Recombinant Fragment Protein within Human DDX20 aa 1-300.

View Alternative Names

DP103, GEMIN3, DDX20, Probable ATP-dependent RNA helicase DDX20, Component of gems 3, DEAD box protein 20, DEAD box protein DP 103, Gemin-3

1 Images
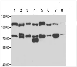
Western blot - Anti-Gemin 3 antibody (AB189850)
  • WB

Supplier Data

Western blot - Anti-Gemin 3 antibody (AB189850)

All lanes:

Western blot - Anti-Gemin 3 antibody (ab189850) at 1/500 dilution

Lane 1:

MCF7 cell extract

Lane 2:

ES-2 cell extract

Lane 3:

293T cell extract

Lane 4:

HepG2 cell extract

Lane 5:

HeLa cell extract

Lane 6:

Mouse spleen extract

Lane 7:

Rat testis extract

Lane 8:

Mouse ovary extract

Predicted band size: 92 kDa

false

Key facts

Host species

Rabbit

Clonality

Polyclonal

Isotype

IgG

Carrier free

No

Reacts with

Mouse, Rat, Human

Applications

WB

applications

Immunogen

Recombinant Fragment Protein within Human DDX20 aa 1-300. The exact immunogen used to generate this antibody is proprietary information.

Q9UHI6

Reactivity data

{ "title": "Reactivity Data", "filters": { "stats": ["", "Species", "Dilution Info", "Notes"], "tabs": { "all-applications": {"fullname" : "All Applications", "shortname": "All Applications"}, "WB" : {"fullname" : "Western blot", "shortname":"WB"} }, "product-promise": { "all": "all", "testedAndGuaranteed": "tested", "guaranteed": "expected", "predicted": "predicted", "notRecommended": "not-recommended" } }, "values": { "Human": { "WB-species-checked": "testedAndGuaranteed", "WB-species-dilution-info": "1/500 - 1/2000", "WB-species-notes": "<p></p>" }, "Mouse": { "WB-species-checked": "testedAndGuaranteed", "WB-species-dilution-info": "1/500 - 1/2000", "WB-species-notes": "<p></p>" }, "Rat": { "WB-species-checked": "testedAndGuaranteed", "WB-species-dilution-info": "1/500 - 1/2000", "WB-species-notes": "<p></p>" } } }

Properties and storage information

Form
Liquid
Purification technique
Affinity purification Immunogen
Storage buffer
pH: 7.3 Preservative: 0.02% Sodium azide Constituents: PBS, 50% Glycerol (glycerin, glycerine)
Shipped at conditions
Blue Ice
Appropriate short-term storage duration
1-2 weeks
Appropriate short-term storage conditions
+4°C
Appropriate long-term storage conditions
-20°C
Aliquoting information
Upon delivery aliquot
Storage information
Avoid freeze / thaw cycle

Supplementary information

This supplementary information is collated from multiple sources and compiled automatically.

Gemin 3 also known as gemin3 is a protein that acts as an RNA helicase and plays an essential mechanical role in RNA processing and metabolism. It is part of the family of DEAD-box proteins and is highly conserved across species. The molecular mass of Gemin 3 is about 95 kDa. Expression of Gemin 3 occurs in various tissues with significant presence in the brain spinal cord and other neuronal tissues indicating its important role in neurological function.
Biological function summary

Gemin 3 forms part of the large multiprotein complex known as the survival of motor neuron (SMN) complex. This complex participates in the assembly of small nuclear ribonucleoproteins (snRNPs) which are fundamental components of the spliceosome. Gemin 3 contributes to spliceosome biogenesis and the management of RNA processing activities which are essential for normal cellular functions and gene expression regulation.

Pathways

Gemin 3 is critically involved in the SMN-mediated snRNP assembly pathway and also plays a role in the regulation of mRNA splicing. In these pathways Gemin 3 closely interacts with other proteins in the SMN complex such as Gemin 2 and Gemin 4 which are important for the stability and function of the entire snRNP assembly process. These interactions are necessary for efficient pre-mRNA splicing ensuring proper genetic information flow and expression.

Gemin 3 is directly linked to spinal muscular atrophy (SMA) a neurodegenerative disorder caused by mutations in the SMN1 gene affecting the SMN complex. When the SMN complex malfunctions due to inadequate cooperation between SMN and Gemin 3 it leads to defective snRNP assembly causing loss of motor neurons and muscle wasting characteristic of SMA. Additionally altered Gemin 3 function can be associated with certain other neurodegenerative conditions where RNA processing is impaired highlighting the protein's importance in maintaining neurological health.

Product protocols

For this product, it's our understanding that no specific protocols are required. You can visit:

Target data

The SMN complex catalyzes the assembly of small nuclear ribonucleoproteins (snRNPs), the building blocks of the spliceosome, and thereby plays an important role in the splicing of cellular pre-mRNAs. Most spliceosomal snRNPs contain a common set of Sm proteins SNRPB, SNRPD1, SNRPD2, SNRPD3, SNRPE, SNRPF and SNRPG that assemble in a heptameric protein ring on the Sm site of the small nuclear RNA to form the core snRNP (Sm core). In the cytosol, the Sm proteins SNRPD1, SNRPD2, SNRPE, SNRPF and SNRPG are trapped in an inactive 6S pICln-Sm complex by the chaperone CLNS1A that controls the assembly of the core snRNP. To assemble core snRNPs, the SMN complex accepts the trapped 5Sm proteins from CLNS1A forming an intermediate. Binding of snRNA inside 5Sm triggers eviction of the SMN complex, thereby allowing binding of SNRPD3 and SNRPB to complete assembly of the core snRNP. May also play a role in the metabolism of small nucleolar ribonucleoprotein (snoRNPs).
See full target information DDX20

Publications (1)

Recent publications for all applications. Explore the full list and refine your search

Allergologia et immunopathologia 53:85-92 PubMed40682232

2025

ZBTB16 exerts anti-angiogenic effects in rheumatoid arthritis by regulating HIF-1α pathway.

Applications

Unspecified application

Species

Unspecified reactive species

Xueqin Chen,Yongmei Liu,Jiangli Xia,Xixi Ma,Linwei Hu
View all publications

Product promise

We are committed to supporting your work with high-quality reagents, and we're here for you every step of the way. In the unlikely event that one of our products does not perform as expected, you're protected by our Product Promise.
For full details, please see our Terms & Conditions

Please note: All products are 'FOR RESEARCH USE ONLY. NOT FOR USE IN DIAGNOSTIC OR THERAPEUTIC PROCEDURES'.

For licensing inquiries, please contact partnerships@abcam.com