JavaScript is disabled in your browser. Please enable JavaScript to view this website.
AB224758

Anti-Gemin 8 antibody

Be the first to review this product! Submit a review

|

(1 Publication)

Rabbit Polyclonal Gemin 8 antibody. Suitable for IHC-P, WB, ICC/IF and reacts with Human samples. Cited in 1 publication. Immunogen corresponding to Recombinant Fragment Protein within Human GEMIN8 aa 1-200.

View Alternative Names

FAM51A1, GEMIN8, Gem-associated protein 8, Gemin-8, Protein FAM51A1

3 Images
Immunocytochemistry/ Immunofluorescence - Anti-Gemin 8 antibody (AB224758)
  • ICC/IF

Supplier Data

Immunocytochemistry/ Immunofluorescence - Anti-Gemin 8 antibody (AB224758)

PFA-fixed, Triton X-100 permeabilized U-2 OS (human bone osteosarcoma epithelial cell line) cells stained for Gemin 8 (green) using ab224758 at 4 μg/ml in ICC/IF.

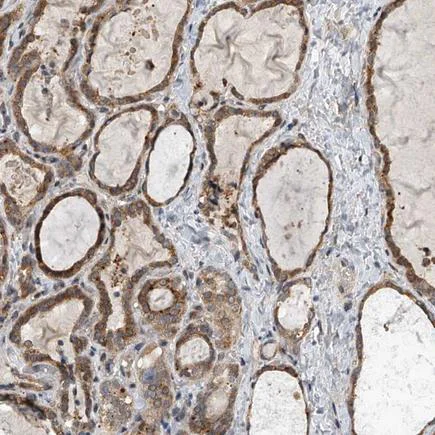
Immunohistochemistry (Formalin/PFA-fixed paraffin-embedded sections) - Anti-Gemin 8 antibody (AB224758)
  • IHC-P

Supplier Data

Immunohistochemistry (Formalin/PFA-fixed paraffin-embedded sections) - Anti-Gemin 8 antibody (AB224758)

Paraffin-embedded human thyroid gland tissue stained for Gemin 8 using ab224758 at 1/20 dilution in immunohistochemical analysis.

Western blot - Anti-Gemin 8 antibody (AB224758)
  • WB

Supplier Data

Western blot - Anti-Gemin 8 antibody (AB224758)

All lanes:

Western blot - Anti-Gemin 8 antibody (ab224758) at 1/100 dilution

Lane 1:

RT4 (human urinary bladder cancer cell line) cell lysate

Lane 2:

U-251 MG sp (human brain glioma cell line) cell lysate

Predicted band size: 29 kDa

true

Key facts

Host species

Rabbit

Clonality

Polyclonal

Isotype

IgG

Carrier free

No

Reacts with

Human

Applications

ICC/IF, IHC-P, WB

applications

Immunogen

Recombinant Fragment Protein within Human GEMIN8 aa 1-200. The exact immunogen used to generate this antibody is proprietary information.

Q9NWZ8

Reactivity data

{ "title": "Reactivity Data", "filters": { "stats": ["", "Species", "Dilution Info", "Notes"], "tabs": { "all-applications": {"fullname" : "All Applications", "shortname": "All Applications"}, "IHCP" : {"fullname" : "Immunohistochemistry (Formalin/PFA-fixed paraffin-embedded sections)", "shortname":"IHC-P"}, "WB" : {"fullname" : "Western blot", "shortname":"WB"}, "ICCIF" : {"fullname" : "Immunocytochemistry/ Immunofluorescence", "shortname":"ICC/IF"} }, "product-promise": { "all": "all", "testedAndGuaranteed": "tested", "guaranteed": "expected", "predicted": "predicted", "notRecommended": "not-recommended" } }, "values": { "Human": { "IHCP-species-checked": "testedAndGuaranteed", "IHCP-species-dilution-info": "1/20 - 1/50", "IHCP-species-notes": "<p></p> Perform heat-mediated antigen retrieval with citrate buffer pH 6 before commencing with IHC staining protocol.", "WB-species-checked": "testedAndGuaranteed", "WB-species-dilution-info": "0.04-0.4 µg/mL", "WB-species-notes": "<p></p>", "ICCIF-species-checked": "testedAndGuaranteed", "ICCIF-species-dilution-info": "0.25-2 µg/mL", "ICCIF-species-notes": "<p>Fixation/Permeabilization: PFA/Triton X-100.</p>" } } }

Properties and storage information

Form
Liquid
Purification technique
Affinity purification Immunogen
Storage buffer
pH: 7.2 Preservative: 0.02% Sodium azide Constituents: PBS, 40% Glycerol (glycerin, glycerine)
Shipped at conditions
Blue Ice
Appropriate short-term storage duration
1-2 weeks
Appropriate short-term storage conditions
+4°C
Appropriate long-term storage conditions
-20°C
Aliquoting information
Upon delivery aliquot
Storage information
Avoid freeze / thaw cycle

Supplementary information

This supplementary information is collated from multiple sources and compiled automatically.

Gemin 8 also known as Gemin8 is a small protein with a molecular weight of approximately 25 kDa. The protein is mainly expressed in the cell nucleus where it forms a part of the survival of motor neurons (SMN) complex. The SMN complex plays an important role in the assembly of spliceosomal small nuclear ribonucleoproteins (snRNPs) which are essential components in RNA splicing. High levels of Gemin 8 expression can be detected in human tissues with high RNA splicing activity like the brain and spinal cord.
Biological function summary

Gemin 8 serves as a stabilizing element within the SMN complex. This complex is critical for biogenesis of snRNPs which are necessary for pre-mRNA splicing. In the absence or malfunction of Gemin 8 the SMN complex loses its structural stability leading to impaired snRNP assembly. In addition to its role in RNA processing Gemin 8 influences the transport of various RNAs and is vital for cellular RNA metabolism.

Pathways

Gemin 8 is an integral part of the RNA splicing pathway specifically engaging with the process of snRNP biogenesis and assembly. As part of the SMN complex Gemin 8 interacts with SMN1 protein which is important for efficient splicing of pre-mRNA. It also interacts with other Gemin proteins such as Gemin 2 and Gemin 6 which together ensure the proper assembly and recycling of snRNPs facilitating the accurate processing of RNA transcripts.

Abnormalities in Gemin 8 activity are often linked to spinal muscular atrophy (SMA) a genetic disorder that affects motor neurons and leads to muscle wasting. Mutation or reduced expression of SMN1 a protein closely tied to Gemin 8 within the SMN complex contributes significantly to the pathology of SMA. Furthermore disruptions in Gemin 8 function may play a role in neurodegenerative disorders as efficient RNA splicing is important for maintaining neuron health. Researchers study Gemin 8 to develop therapeutic interventions aimed at restoring SMN complex functionality in SMA and related conditions.

Product protocols

For this product, it's our understanding that no specific protocols are required. You can visit:

Target data

The SMN complex catalyzes the assembly of small nuclear ribonucleoproteins (snRNPs), the building blocks of the spliceosome, and thereby plays an important role in the splicing of cellular pre-mRNAs. Most spliceosomal snRNPs contain a common set of Sm proteins SNRPB, SNRPD1, SNRPD2, SNRPD3, SNRPE, SNRPF and SNRPG that assemble in a heptameric protein ring on the Sm site of the small nuclear RNA to form the core snRNP (Sm core). In the cytosol, the Sm proteins SNRPD1, SNRPD2, SNRPE, SNRPF and SNRPG are trapped in an inactive 6S pICln-Sm complex by the chaperone CLNS1A that controls the assembly of the core snRNP. To assemble core snRNPs, the SMN complex accepts the trapped 5Sm proteins from CLNS1A forming an intermediate. Binding of snRNA inside 5Sm triggers eviction of the SMN complex, thereby allowing binding of SNRPD3 and SNRPB to complete assembly of the core snRNP.
See full target information GEMIN8

Publications (1)

Recent publications for all applications. Explore the full list and refine your search

Journal of hepatocellular carcinoma 11:95-111 PubMed38250306

2024

The Role of GNMT and MMP12 Expression in Determining TACE Efficacy: Validation at Transcription and Protein Levels.

Applications

Unspecified application

Species

Unspecified reactive species

Tianhao Cong,Chao Yang,Qi Cao,Jinrui Ren,Yingen Luo,Pei Yuan,Bo Zheng,Yu Liu,Hongcai Yang,Wendi Kang,Aixin Ou,Xiao Li
View all publications

Product promise

We are committed to supporting your work with high-quality reagents, and we're here for you every step of the way. In the unlikely event that one of our products does not perform as expected, you're protected by our Product Promise.
For full details, please see our Terms & Conditions

Please note: All products are 'FOR RESEARCH USE ONLY. NOT FOR USE IN DIAGNOSTIC OR THERAPEUTIC PROCEDURES'.

For licensing inquiries, please contact partnerships@abcam.com