JavaScript is disabled in your browser. Please enable JavaScript to view this website.
AB264157

Anti-Geminin antibody

Be the first to review this product! Submit a review

|

(0 Publication)

Rabbit Polyclonal Geminin antibody. Suitable for IHC-P, IP and reacts with Human samples. Immunogen corresponding to Synthetic Peptide within Human GMNN aa 50-100.

View Alternative Names

Geminin, GMNN

2 Images
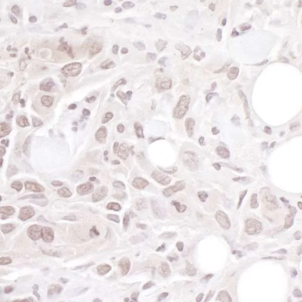
Immunohistochemistry (Formalin/PFA-fixed paraffin-embedded sections) - Anti-Geminin antibody (AB264157)
  • IHC-P

Unknown

Immunohistochemistry (Formalin/PFA-fixed paraffin-embedded sections) - Anti-Geminin antibody (AB264157)

Immunohistochemical analysis of formalin-fixed, paraffin-embedded human breast carcinoma tissue labeling Geminin with ab264157 at 1/5,000 dilution. Detection : DAB.

Epitope retrieval with citrate buffer pH 6.0 is recommended for FFPE tissue sections.

Immunoprecipitation - Anti-Geminin antibody (AB264157)
  • IP

Supplier Data

Immunoprecipitation - Anti-Geminin antibody (AB264157)

Geminin was immunoprecipitated from 1mg of HeLa (Human epithelial cell line from cervix adenocarcinoma) whole cell lysate with ab264157 at 3 μg per reaction. Western blot was performed from the immunoprecipitate using a different Geminin antibody at 1 μg/ml.

Lane 1 : ab264157 IP in HeLa whole cell lysate.
Lane 2 : Control IgG.

Exposure time : 3 mins.

Cells prepared using NETN lysis buffer.

All lanes:

Immunoprecipitation - Anti-Geminin antibody (ab264157)

Predicted band size: 24 kDa

false

Key facts

Host species

Rabbit

Clonality

Polyclonal

Isotype

IgG

Carrier free

No

Reacts with

Human

Applications

IHC-P, IP

applications

Immunogen

Synthetic Peptide within Human GMNN aa 50-100. The exact immunogen used to generate this antibody is proprietary information.

O75496

Reactivity data

{ "title": "Reactivity Data", "filters": { "stats": ["", "Species", "Dilution Info", "Notes"], "tabs": { "all-applications": {"fullname" : "All Applications", "shortname": "All Applications"}, "IHCP" : {"fullname" : "Immunohistochemistry (Formalin/PFA-fixed paraffin-embedded sections)", "shortname":"IHC-P"}, "IP" : {"fullname" : "Immunoprecipitation", "shortname":"IP"} }, "product-promise": { "all": "all", "testedAndGuaranteed": "tested", "guaranteed": "expected", "predicted": "predicted", "notRecommended": "not-recommended" } }, "values": { "Human": { "IHCP-species-checked": "testedAndGuaranteed", "IHCP-species-dilution-info": "1/2000 - 1/10000", "IHCP-species-notes": "<p></p> Perform heat-mediated antigen retrieval with citrate buffer pH 6 before commencing with IHC staining protocol.", "IP-species-checked": "testedAndGuaranteed", "IP-species-dilution-info": "2-5 µg/mg of lysate", "IP-species-notes": "<p></p>" } } }

Properties and storage information

Form
Liquid
Purification technique
Affinity purification Immunogen
Storage buffer
pH: 7 - 8 Preservative: 0.09% Sodium azide Constituents: Tris citrate/phosphate
Shipped at conditions
Blue Ice
Appropriate short-term storage duration
1-2 weeks
Appropriate short-term storage conditions
+4°C
Appropriate long-term storage conditions
-20°C
Aliquoting information
Upon delivery aliquot
Storage information
Avoid freeze / thaw cycle

Supplementary information

This supplementary information is collated from multiple sources and compiled automatically.

Geminin also referred to as GMNN is a protein that regulates DNA replication. It has approximately 25 kDa mass. Geminin inhibits DNA replication by preventing the loading of the mini-chromosome maintenance complex onto DNA during the cell cycle. This function ensures that DNA replication takes place only once per cell cycle. Geminin expresses mainly in tissues with high proliferative activity such as the developing nervous system and hematopoietic cells. Its interaction with other proteins plays a significant role in controlling cell cycle progression.
Biological function summary

In a cellular context Geminin forms part of a complex with the nuclear protein Cdt1. This complex is essential in the regulation of the cell cycle's S phase. Geminin's function restricts DNA replication by binding to Cdt1 and stopping its activity which is necessary during the G1/S phase transition. By doing so it preserves the integrity of genetic information and prevents re-replication. Geminin's inhibition remains strict until it is degraded during mitosis allowing Cdt1 to resume its function in the following cell cycle.

Pathways

The regulation of Geminin is important to maintaining proper DNA replication and cell cycle integrity. Geminin plays a role in the cell cycle control pathway particularly during the G1 to S phase transition. Additionally it interfaces with other proteins like Paxillin which is involved in cell adhesion and movement. Although not directly linked in a pathway Paxillin's role in regulating cellular dynamics can influence cell cycle processes in which Geminin is involved. Geminin also serves as a K blocker relevant in maintaining genetic stability.

Aberrations in Geminin activity can lead to severe conditions such as cancer. Its overexpression or misregulation has a link to various tumor types due to its effect on uncontrolled cell proliferation. Geminin's interaction with proteins like Paxillin and Cyclin-dependent kinases also relates to cancer progression as these interactions may involve changes in cellular adhesion and cycle checkpoints. Therefore understanding Geminin's role offers valuable insight for potential therapeutic targets in oncology.

Product protocols

For this product, it's our understanding that no specific protocols are required. You can visit:

Target data

Inhibits DNA replication by preventing the incorporation of MCM complex into pre-replication complex (pre-RC) (PubMed : 14993212, PubMed : 20129055, PubMed : 24064211, PubMed : 9635433). It is degraded during the mitotic phase of the cell cycle (PubMed : 14993212, PubMed : 24064211, PubMed : 9635433). Its destruction at the metaphase-anaphase transition permits replication in the succeeding cell cycle (PubMed : 14993212, PubMed : 24064211, PubMed : 9635433). Inhibits histone acetyltransferase activity of KAT7/HBO1 in a CDT1-dependent manner, inhibiting histone H4 acetylation and DNA replication licensing (PubMed : 20129055). Inhibits the transcriptional activity of a subset of Hox proteins, enrolling them in cell proliferative control (PubMed : 22615398).
See full target information GMNN

Product promise

We are committed to supporting your work with high-quality reagents, and we're here for you every step of the way. In the unlikely event that one of our products does not perform as expected, you're protected by our Product Promise.
For full details, please see our Terms & Conditions

Please note: All products are 'FOR RESEARCH USE ONLY. NOT FOR USE IN DIAGNOSTIC OR THERAPEUTIC PROCEDURES'.

For licensing inquiries, please contact partnerships@abcam.com