JavaScript is disabled in your browser. Please enable JavaScript to view this website.
AB250726

Anti-Germinal Center Kinase/GCK antibody [EPR14304] - BSA and Azide free

Be the first to review this product! Submit a review

|

(0 Publication)

Rabbit Recombinant Monoclonal Germinal Center Kinase/GCK antibody. Carrier free. Suitable for WB, Flow Cyt (Intra), IHC-P and reacts with Human samples.

View Alternative Names

GCK, RAB8IP, MAP4K2, Mitogen-activated protein kinase kinase kinase kinase 2, B lymphocyte serine/threonine-protein kinase, Germinal center kinase, MAPK/ERK kinase kinase kinase 2, Rab8-interacting protein, GC kinase, MEK kinase kinase 2, MEKKK 2

3 Images
Flow Cytometry (Intracellular) - Anti-Germinal Center Kinase/GCK antibody [EPR14304] - BSA and Azide free (AB250726)
  • Flow Cyt (Intra)

Supplier Data

Flow Cytometry (Intracellular) - Anti-Germinal Center Kinase/GCK antibody [EPR14304] - BSA and Azide free (AB250726)

This data was developed using ab184169, the same antibody clone in a different buffer formulation.

Intracellular flow cytometric analysis of Ramos cells (2% paraformaldehyde-fixed) labeling Germinal Center Kinase/GCK with ab184169 at 1/170 dilution (red) or a rabbit IgG (negative) (green), followed by Goat anti rabbit IgG (FITC) secondary at 1/150 dilution.

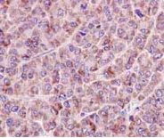
Immunohistochemistry (Formalin/PFA-fixed paraffin-embedded sections) - Anti-Germinal Center Kinase/GCK antibody [EPR14304] - BSA and Azide free (AB250726)
  • IHC-P

Supplier Data

Immunohistochemistry (Formalin/PFA-fixed paraffin-embedded sections) - Anti-Germinal Center Kinase/GCK antibody [EPR14304] - BSA and Azide free (AB250726)

This data was developed using ab184169, the same antibody clone in a different buffer formulation.

Immunohistochemical analysis of paraffin-embedded Human hepatocellular carcinoma labeling Germinal Center Kinase/GCK with ab184169 at 1/100 dilution followed by pre-diluted HRP-conjugated secondary antibody and counter-stained with Hematoxylin.

Perform heat mediated antigen retrieval with EDTA buffer pH 9 before commencing with IHC staining protocol.

Western blot - Anti-Germinal Center Kinase/GCK antibody [EPR14304] - BSA and Azide free (AB250726)
  • WB

Supplier Data

Western blot - Anti-Germinal Center Kinase/GCK antibody [EPR14304] - BSA and Azide free (AB250726)

This data was developed using ab184169, the same antibody clone in a different buffer formulation.

All lanes:

Western blot - Anti-Germinal Center Kinase/GCK antibody [EPR14304] (<a href='/en-us/products/primary-antibodies/germinal-center-kinase-gck-antibody-epr14304-ab184169'>ab184169</a>) at 1/10000 dilution

Lane 1:

Namalwa cell lysate at 20 µg

Lane 2:

Ramos cell lysate at 20 µg

Lane 3:

Human fetal brain tissue lysate at 20 µg

Secondary

All lanes:

Goat Anti-Rabbit IgG, (H+L), Peroxidase conjugated at 1/1000 dilution

Predicted band size: 92 kDa

false

  • Unconjugated

    Anti-Germinal Center Kinase/GCK antibody [EPR14304]

Key facts

Host species

Rabbit

Clonality

Monoclonal

Clone number

EPR14304

Isotype

IgG

Carrier free

Yes

Reacts with

Human

Applications

IHC-P, WB, Flow Cyt (Intra)

applications

Immunogen

The exact immunogen used to generate this antibody is proprietary information.

Reactivity data

{ "title": "Reactivity Data", "filters": { "stats": ["", "Species", "Dilution Info", "Notes"], "tabs": { "all-applications": {"fullname" : "All Applications", "shortname": "All Applications"}, "WB" : {"fullname" : "Western blot", "shortname":"WB"}, "FlowCytIntra" : {"fullname" : "Flow Cytometry (Intracellular)", "shortname":"Flow Cyt (Intra)"}, "IHCP" : {"fullname" : "Immunohistochemistry (Formalin/PFA-fixed paraffin-embedded sections)", "shortname":"IHC-P"} }, "product-promise": { "all": "all", "testedAndGuaranteed": "tested", "guaranteed": "expected", "predicted": "predicted", "notRecommended": "not-recommended" } }, "values": { "Human": { "WB-species-checked": "testedAndGuaranteed", "WB-species-dilution-info": "", "WB-species-notes": "<p></p> Perform heat-mediated antigen retrieval with Tris/EDTA buffer pH 9.0 before commencing with IHC staining protocol.", "FlowCytIntra-species-checked": "testedAndGuaranteed", "FlowCytIntra-species-dilution-info": "", "FlowCytIntra-species-notes": "<p></p>", "IHCP-species-checked": "testedAndGuaranteed", "IHCP-species-dilution-info": "", "IHCP-species-notes": "<p></p> Perform heat-mediated antigen retrieval with Tris/EDTA buffer pH 9.0 before commencing with IHC staining protocol." }, "Mouse": { "WB-species-checked": "predicted", "WB-species-dilution-info": "", "WB-species-notes": "", "FlowCytIntra-species-checked": "predicted", "FlowCytIntra-species-dilution-info": "", "FlowCytIntra-species-notes": "", "IHCP-species-checked": "predicted", "IHCP-species-dilution-info": "", "IHCP-species-notes": "" }, "Rat": { "WB-species-checked": "predicted", "WB-species-dilution-info": "", "WB-species-notes": "", "FlowCytIntra-species-checked": "predicted", "FlowCytIntra-species-dilution-info": "", "FlowCytIntra-species-notes": "", "IHCP-species-checked": "predicted", "IHCP-species-dilution-info": "", "IHCP-species-notes": "" } } }

Product details

ab250726 is the carrier-free version of ab184169.

Patented technology
Our RabMAb® technology is a patented hybridoma-based technology for making rabbit monoclonal antibodies. For details on our patents, please refer to RabMAb® patents.

What are the advantages of a recombinant monoclonal antibody?
This product is a recombinant monoclonal antibody, which offers several advantages including:

  • - High batch-to-batch consistency and reproducibility
  • - Improved sensitivity and specificity
  • - Long-term security of supply
  • - Animal-free batch production

For more information, read more on recombinant antibodies.

Conjugation ready
Our carrier-free antibodies are typically supplied in a PBS-only formulation, purified and free of BSA, sodium azide and glycerol. This conjugation-ready format is designed for use with fluorochromes, metal isotopes, oligonucleotides, and enzymes, which makes them ideal for antibody labelling, functional and cell-based assays, flow-based assays (e.g. mass cytometry) and Multiplex Imaging applications.

Use our conjugation kits for antibody conjugates that are ready-to-use in as little as 20 minutes with 1 minute hands-on-time and 100% antibody recovery: available for fluorescent dyes, HRP, biotin and gold.

Compatibility
This product is compatible with the Maxpar® Antibody Labeling Kit from Fluidigm, without the need for antibody preparation. Maxpar® is a trademark of Fluidigm Canada Inc.

Properties and storage information

Form
Liquid
Purification technique
Affinity purification Protein A
Storage buffer
pH: 7.2 - 7.4 Constituents: PBS
Shipped at conditions
Blue Ice
Appropriate short-term storage conditions
+4°C
Appropriate long-term storage conditions
+4°C
Storage information
Do Not Freeze

Supplementary information

This supplementary information is collated from multiple sources and compiled automatically.

Germinal Center Kinase (GCK) also known as GCK kinase or GCK is part of the STE20 family of serine/threonine protein kinases. It has a mass of approximately 72 kDa. GCK mainly expresses in lymphoid tissues and is important for signaling processes. Its activity involves phosphorylating downstream substrates which helps regulate cell signaling pathways associated with cell survival and apoptosis.
Biological function summary

This kinase plays a significant role in the body's immune response by participating in signal transduction pathways that govern germinal center formation and function. GCK operates as a kinase that is sometimes part of larger protein complexes which allows it to have diverse biological roles. Through various signaling cascades it influences cellular activities that are important for immune system function including B-cell development and antibody production.

Pathways

GCK integrates itself into major signaling routes such as the MAPK and JNK pathways. These pathways control a range of cellular processes including proliferation differentiation and stress responses. GCK interacts with other proteins like MEKK1 and 14-3-3 which facilitate its role in these pathways. Such interactions enable the regulation of important cellular functions by modifying target proteins through phosphorylation.

Dysregulated GCK activity has implications in various conditions such as autoimmune diseases and certain types of cancer. Abnormal GCK function may alter immune cell regulation which can result in autoimmune phenomena. Additionally modified GCK signaling impacts cancer progression where its interaction with tumor suppressor proteins like p53 may influence tumorigenesis and tumor survival mechanisms.

Product protocols

For this product, it's our understanding that no specific protocols are required. You can visit:

Target data

Serine/threonine-protein kinase which acts as an essential component of the MAP kinase signal transduction pathway. Acts as a MAPK kinase kinase kinase (MAP4K) and is an upstream activator of the stress-activated protein kinase/c-Jun N-terminal kinase (SAP/JNK) signaling pathway and to a lesser extent of the p38 MAPKs signaling pathway. Required for the efficient activation of JNKs by TRAF6-dependent stimuli, including pathogen-associated molecular patterns (PAMPs) such as polyinosine-polycytidine (poly(IC)), lipopolysaccharides (LPS), lipid A, peptidoglycan (PGN), or bacterial flagellin. To a lesser degree, IL-1 and engagement of CD40 also stimulate MAP4K2-mediated JNKs activation. The requirement for MAP4K2/GCK is most pronounced for LPS signaling, and extends to LPS stimulation of c-Jun phosphorylation and induction of IL-8. Enhances MAP3K1 oligomerization, which may relieve N-terminal mediated MAP3K1 autoinhibition and lead to activation following autophosphorylation. Mediates also the SAP/JNK signaling pathway and the p38 MAPKs signaling pathway through activation of the MAP3Ks MAP3K10/MLK2 and MAP3K11/MLK3. May play a role in the regulation of vesicle targeting or fusion. regulation of vesicle targeting or fusion. Activator of the Hippo signaling pathway which plays a pivotal role in organ size control and tumor suppression by restricting proliferation and promoting apoptosis. MAP4Ks act in parallel to and are partially redundant with STK3/MST2 and STK4/MST2 in the phosphorylation and activation of LATS1/2, and establish MAP4Ks as components of the expanded Hippo pathway (PubMed : 26437443).
See full target information MAP4K2

Product promise

We are committed to supporting your work with high-quality reagents, and we're here for you every step of the way. In the unlikely event that one of our products does not perform as expected, you're protected by our Product Promise.
For full details, please see our Terms & Conditions

Please note: All products are 'FOR RESEARCH USE ONLY. NOT FOR USE IN DIAGNOSTIC OR THERAPEUTIC PROCEDURES'.

For licensing inquiries, please contact partnerships@abcam.com