JavaScript is disabled in your browser. Please enable JavaScript to view this website.
AB4648

Anti-GFAP antibody [2A5] - Astrocyte Marker

4

(15 Reviews)

|

(167 Publications)

Anti-GFAP antibody [2A5] (ab4648) is a mouse monoclonal antibody detecting GFAP in Western Blot, IHC-P, IHC-FrFl, ICC/IF. Suitable for Human and Pig.

- Over 100 publications
- Trusted since 2006

View Alternative Names

Glial fibrillary acidic protein, GFAP

4 Images
Immunohistochemistry (Formalin/PFA-fixed paraffin-embedded sections) - Anti-GFAP antibody [2A5] - Astrocyte Marker (AB4648)
  • IHC-P

Supplier Data

Immunohistochemistry (Formalin/PFA-fixed paraffin-embedded sections) - Anti-GFAP antibody [2A5] - Astrocyte Marker (AB4648)

Immunohistochemistry analysis of paraffin-embedded human cerebellum tissue sections labelling GFAP with ab4648 at 1/500 dilution (1 mg/mL). Sections were stained with ab4648 using the HRP/DAB staining. Sections were counterstained with hematoxylin/eosin. Antigen retrieval was heat mediated using Antigen retrieval buffer (100X citrate buffer) (pH 6.0) (ab93678) for 15 minutes.
TTo the right is a region of cerebellar molecular layer containing the prominent cytoskeletal fibers of Bergmann glia which are strongly positive for GFAP. The middle shows a region of the granular layer and to the left is white matter, both of which contain GFAP positive astrocytes. The immunostaining was performed with the Vector ImmPress rat adsorbed horse anti-mouse IgG detection kit.

Immunohistochemistry (Formalin/PFA-fixed paraffin-embedded sections) - Anti-GFAP antibody [2A5] - Astrocyte Marker (AB4648)
  • IHC-P

Unknown

Immunohistochemistry (Formalin/PFA-fixed paraffin-embedded sections) - Anti-GFAP antibody [2A5] - Astrocyte Marker (AB4648)

ab4648 staining human substantia nigra. Staining is localised to the cytoplasm.
Left panel : with primary antibody diluted 1 : 4000. Right panel : isotype control.
Sections were stained using an automated system DAKO Autostainer Plus , at room temperature. Sections were rehydrated and antigen retrieved with the Dako 3-in-1 AR buffer citrate pH 6.0 in a DAKO PT Link. Slides were peroxidase blocked in 3% H2O2 in methanol for 10 minutes. They were then blocked with Dako Protein block for 10 minutes (containing casein 0.25% in PBS) then incubated with primary antibody for 20 minutes and detected with Dako Envision Flex amplification kit for 30 minutes. Colorimetric detection was completed with diaminobenzidine for 5 minutes. Slides were counterstained with Haematoxylin and coverslipped under DePeX. Please note that for manual staining we recommend to optimize the primary antibody concentration and incubation time (overnight incubation), and amplification may be required.

Immunohistochemistry (Formalin/PFA-fixed paraffin-embedded sections) - Anti-GFAP antibody [2A5] - Astrocyte Marker (AB4648)
  • IHC-P

Lab

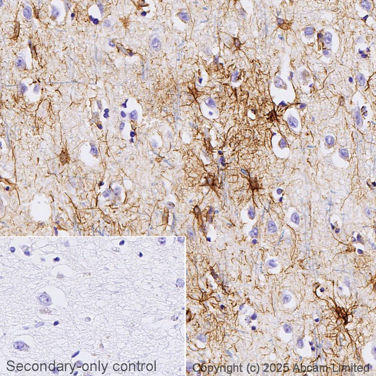
Immunohistochemistry (Formalin/PFA-fixed paraffin-embedded sections) - Anti-GFAP antibody [2A5] - Astrocyte Marker (AB4648)

Immunohistochemical analysis of paraffin-embedded human Alzheimer's brain tissue* labelling GFAP with ab4648 at 0.2 ug/ml followed by a ready to use LeicaDS9800 (Bond Polymer Refine Detection).

Positive staining in human Alzheimer's brain.

The section was incubated with ab4648 for 30 mins at room temperature. The immunostaining was performed on a Leica Biosystems BOND® RX instrument. Counterstained with Hematoxylin.

Secondary antibody only control : Secondary antibody is a ready to use LeicaDS9800 (Bond Polymer Refine Detection).

Heat mediated antigen retrieval with sodium citrate buffer (pH 6.0 epitope retrieval solution1) for 20 mins.

*Tissue obtained from the Human Research Tissue Bank, supported by the NIHR Cambridge Biomedical Research Centre.

Immunohistochemistry - Free Floating - Anti-GFAP antibody [2A5] - Astrocyte Marker (AB4648)
  • IHC-FrFl

Supplier Data

Immunohistochemistry - Free Floating - Anti-GFAP antibody [2A5] - Astrocyte Marker (AB4648)

Immunofluorescence analysis of rat cerebellum tissue labeling GFAP with ab4648 at 1/500 dilution (Red), Costained with parvalbumin antibody at 1/2,000 dilution (Green). The blue is DAPI staining of nuclear DNA. Following transcardial perfusion of rat with 4% paraformaldehyde, brain was post fixed for 24 hours, and free-floating 45μM sections were stained with above antibodies. ab4648 stains the processes of Bergmann glia and astrocytes. The Pvalb antibody labels perikarya and dendrites of Purkinje cells and interneurons in the molecular layer of the cerebellum. The staining on rodent tissues is specific but not as robust as on human material.

Key facts

Host species

Mouse

Clonality

Monoclonal

Clone number

2A5

Isotype

IgG1

Light chain type

kappa

Carrier free

No

Reacts with

Human, Pig

Applications

WB, IHC-P, IHC-FrFl, ICC/IF

applications

Specificity

This clone gives a much stronger signal in pig, and human samples than in rodents. For rodent (mouse, rat, etc) samples use ab68428.

Reactivity data

{ "title": "Reactivity Data", "filters": { "stats": ["", "Species", "Dilution Info", "Notes"], "tabs": { "all-applications": {"fullname" : "All Applications", "shortname": "All Applications"}, "WB" : {"fullname" : "Western blot", "shortname":"WB"}, "IHCP" : {"fullname" : "Immunohistochemistry (Formalin/PFA-fixed paraffin-embedded sections)", "shortname":"IHC-P"}, "ICCIF" : {"fullname" : "Immunocytochemistry/ Immunofluorescence", "shortname":"ICC/IF"}, "IHCFrFl" : {"fullname" : "Immunohistochemistry - Free Floating", "shortname":"IHC-FrFl"} }, "product-promise": { "all": "all", "testedAndGuaranteed": "tested", "guaranteed": "expected", "predicted": "predicted", "notRecommended": "not-recommended" } }, "values": { "Human": { "WB-species-checked": "testedAndGuaranteed", "WB-species-dilution-info": "1/2000", "WB-species-notes": "<p></p>", "IHCP-species-checked": "testedAndGuaranteed", "IHCP-species-dilution-info": "1/500 - 1/4000", "IHCP-species-notes": "<p></p> Perform heat-mediated antigen retrieval with citrate buffer pH 6 before commencing with IHC staining protocol.", "ICCIF-species-checked": "guaranteed", "ICCIF-species-dilution-info": "", "ICCIF-species-notes": "<p></p>", "IHCFrFl-species-checked": "guaranteed", "IHCFrFl-species-dilution-info": "", "IHCFrFl-species-notes": "<p></p>" }, "Mouse": { "WB-species-checked": "notRecommended", "WB-species-dilution-info": "1/2000", "WB-species-notes": "<p></p>", "IHCP-species-checked": "notRecommended", "IHCP-species-dilution-info": "", "IHCP-species-notes": "", "ICCIF-species-checked": "notRecommended", "ICCIF-species-dilution-info": "", "ICCIF-species-notes": "", "IHCFrFl-species-checked": "notRecommended", "IHCFrFl-species-dilution-info": "", "IHCFrFl-species-notes": "" }, "Rat": { "WB-species-checked": "notRecommended", "WB-species-dilution-info": "1/2000", "WB-species-notes": "<p></p>", "IHCP-species-checked": "notRecommended", "IHCP-species-dilution-info": "", "IHCP-species-notes": "", "ICCIF-species-checked": "notRecommended", "ICCIF-species-dilution-info": "1/10 - 1/50", "ICCIF-species-notes": "<p></p>", "IHCFrFl-species-checked": "notRecommended", "IHCFrFl-species-dilution-info": "1/500", "IHCFrFl-species-notes": "<p></p>" }, "Pig": { "WB-species-checked": "testedAndGuaranteed", "WB-species-dilution-info": "1/2000", "WB-species-notes": "<p></p>", "IHCP-species-checked": "guaranteed", "IHCP-species-dilution-info": "", "IHCP-species-notes": "", "ICCIF-species-checked": "guaranteed", "ICCIF-species-dilution-info": "", "ICCIF-species-notes": "<p></p>", "IHCFrFl-species-checked": "guaranteed", "IHCFrFl-species-dilution-info": "", "IHCFrFl-species-notes": "<p></p>" } } }

Product details

What is this antibody validated in?
Anti-GFAP antibody [2A5] (ab4648) is a mouse monoclonal antibody and is validated for use in Western Blot (WB), Immunohistochemistry (IHC-P), Immunohistochemistry (IHC-Fr), Immunocytochemistry/immunofluorescence (ICC/IF) in Human, Pig samples.

What is the molecular weight of GFAP?
Anti-GFAP [2A5] (ab4648) specifically detects a band for GFAP (UniProt: P14136) at a molecular weight of 49kDa.

Trusted by the scientific community
Anti-GFAP [2A5] (ab4648) was first used in a scientific publication in 2006 and has been cited over 100 times in peer-reviewed journals.

Reviewed by scientists
Anti-GFAP [2A5] (ab4648) has over 10 independent reviews from customers.

Properties and storage information

Form
Liquid
Purity
Tissue culture supernatant
Purification notes
Antibody is supplied as Integra CL-350 flask material, which is concentrated tissue culture supernatant.
Storage buffer
Preservative: 0.065% Sodium azide Constituents: Tissue culture supernatant
Shipped at conditions
Blue Ice
Appropriate short-term storage conditions
+4°C
Appropriate long-term storage conditions
-20°C
Aliquoting information
Upon delivery aliquot
Storage information
Avoid freeze / thaw cycle

Product protocols

For this product, it's our understanding that no specific protocols are required. You can visit:

Target data

GFAP, a class-III intermediate filament, is a cell-specific marker that, during the development of the central nervous system, distinguishes astrocytes from other glial cells.
See full target information GFAP

Publications (167)

Recent publications for all applications. Explore the full list and refine your search

Neurochemical research 50:269 PubMed40824389

2025

Progressive Blood-Brain Barrier Disruption in Sleep-Restricted Young Mice: Cellular Senescence and Neuroinflammation Crosstalk.

Applications

Unspecified application

Species

Unspecified reactive species

Jessica J Avilez-Avilez,Jesús Enrique García-Aviles,Ricardo Jair Ramírez-Carreto,Verónica Salas-Venegas,Mara A Guzmán-Ruiz,Fernanda Medina-Flores,Mina Königsberg,Anahí Chavarría,Beatriz Gómez-González

Molecular neurodegeneration 20:84 PubMed40702549

2025

Endothelium-specific endoglin triggers astrocyte reactivity via extracellular vesicles in a mouse model of Alzheimer's disease.

Applications

Unspecified application

Species

Unspecified reactive species

Pingao Zhang,Chenghuan Song,Jiyun Shi,Zijie Wei,Jing Wang,Wanying Huang,Rui Zhang,Jintao Wang,Xiaoli Yang,Gang Wang,Xiaoling Gao,Yongfang Zhang,Hongzhuan Chen,Hao Wang

Neurochemical research 50:234 PubMed40673956

2025

ANA-12 Targets and Inhibits BDNF/TrkB Signaling to Alleviate Pain Behaviors in Rheumatoid Arthritis Mice.

Applications

Unspecified application

Species

Unspecified reactive species

Man Yuan,Long Zhang,Ye Zheng,Min Xie

Glia 73:2057-2076 PubMed40631759

2025

SUR1-TRPM4 Regulates Aquaporin-4 Subcellular Localization by Astrocytic Endfeet Calcium Signals Following Status Epilepticus.

Applications

Unspecified application

Species

Unspecified reactive species

Tingting Yang,Zhenzhou Lin,Mingjia Yu,Yongchuan Li,Jiancong Chen,Yuanchi Liu,Kaibin Huang,Suyue Pan

Journal of inflammation research 18:8705-8718 PubMed40620602

2025

Electroacupuncture at ST36 Treatment Suppresses the Microglial Pyroptosis Through Activating α7nAChR in a Rat Model of Asphyxial Cardiac Arrest.

Applications

Unspecified application

Species

Unspecified reactive species

Yuan Qin,Gangguo Ma,Xiao Xiao,Yongfei Liu,Zhaoyan Zhao,Fang Zhao,Fei Guo,Shuang Wang,Xude Sun,Changjun Gao

Purinergic signalling 21:565-576 PubMed40560521

2025

Electroacupuncture alleviates capsaicin-induced rectal visceral pain in rats via inhibiting TRPV1 expression by blocking the P2X4R-activated p38 pathway.

Applications

Unspecified application

Species

Unspecified reactive species

Yahong Xue,Qinbing Zhu,Jing Zhang,Xiaofeng Wang

European journal of pain (London, England) 29:e70047 PubMed40411263

2025

Astrocytic Inducible Nitric Oxide Synthase Upregulation Contributes to Chronic Below-Level Neuropathic Pain Following Spinal Cord Injury in Male Rats.

Applications

Unspecified application

Species

Unspecified reactive species

Youngkyung Kim,Hyunggoo Kang,Young Wook Yoon

International journal of molecular sciences 26: PubMed40332140

2025

A Biomimetic Human Multi-Cellular In Vitro Model of the Blood-Brain Barrier.

Applications

Unspecified application

Species

Unspecified reactive species

John Saliba,Jessica Saliba,Marwan El-Sabban,Rami Mhanna

Science advances 11:eadu2159 PubMed40238872

2025

Earlier onset of chemotherapy-induced neuropathic pain in females by ICAM-1-mediated accumulation of perivascular macrophages.

Applications

Unspecified application

Species

Unspecified reactive species

Li Chen,Xin Zou,Cui-Cui Liu,Pu Yan,Jie Deng,Chen Wang,Mu-Yang Chen,Xiao-Qing Tang,Jing-Ming Shi,Wen-Jun Xin,Xiang-Zhong Zhang,Xia Feng,Ting Xu,Jing-Dun Xie

Scientific reports 15:11921 PubMed40195414

2025

Region-specific brain decellularized extracellular matrix promotes cell recovery in an in vitro model of stroke.

Applications

Unspecified application

Species

Unspecified reactive species

Diego Reginensi,Didio Alberto Ortiz,Bernardino Denis,Solangel Castillo,Andrea Burillo,Nathalie Khoury,Jing Xu,Maria Lucia Dam,Anthony A Hurtado Escobar,Kunjan R Dave,Miguel A Perez-Pinzon,Rolando A Gittens
View all publications

Product promise

We are committed to supporting your work with high-quality reagents, and we're here for you every step of the way. In the unlikely event that one of our products does not perform as expected, you're protected by our Product Promise.
For full details, please see our Terms & Conditions

Please note: All products are 'FOR RESEARCH USE ONLY. NOT FOR USE IN DIAGNOSTIC OR THERAPEUTIC PROCEDURES'.

For licensing inquiries, please contact partnerships@abcam.com