JavaScript is disabled in your browser. Please enable JavaScript to view this website.
AB4674

Anti-GFAP antibody - Astrocyte Marker

5

(63 Reviews)

|

(939 Publications)

Anti-GFAP antibody (ab4674) is a chicken polyclonal antibody detecting GFAP in Western Blot, IHC-P, IHC-FrFl, ICC/IF. Suitable for Human, Mouse, Rat.

- Over 630 publications
- Trusted since 2003

View Alternative Names

Glial fibrillary acidic protein, GFAP

12 Images
Immunocytochemistry/ Immunofluorescence - Anti-GFAP antibody - Astrocyte Marker (AB4674)
  • ICC/IF

Lab

Immunocytochemistry/ Immunofluorescence - Anti-GFAP antibody - Astrocyte Marker (AB4674)

ab4674 staining GFAP in primary hippocampal rat neurons/glia (obtained from Neuromics cat. no. PC35101) DIV14. The cells were fixed with 100% methanol (5 min) permeabilized with 0.1% PBS-Tween for 5 minutes and then blocked with 1% BSA/10% normal goat serum/0.3M glycine in 0.1%PBS-Tween for 1h. The cells were then incubated overnight at 4°C with ab4674 at 1μg/ml and ab87122 Rabbit Poly to Mouse Fructose-bisphosphate aldolase C (No Modifications). Cells were then incubated with ab150176 Goat polyclonal Secondary Antibody to Chicken IgY - H&L (Alexa Fluor® 594) pre-adsorbed at 1/1000 dilution (shown in red) and ab150081 Goat polyclonal Secondary Antibody to Rabbit IgG - H&L (Alexa Fluor® 488) pre-adsorbed at 1/1000 dilution (shown in pseudocolour green). Nuclear DNA was labelled with DAPI (shown in blue).

Also suitable in cells fixed with 4% paraformaldehyde (10 min).

Image was acquired with a high-content analyser (Operetta CLS Perkin Elmer) and a maximum intensity projection of confocal sections is shown.

Immunohistochemistry (Formalin/PFA-fixed paraffin-embedded sections) - Anti-GFAP antibody - Astrocyte Marker (AB4674)
  • IHC-P

Supplier Data

Immunohistochemistry (Formalin/PFA-fixed paraffin-embedded sections) - Anti-GFAP antibody - Astrocyte Marker (AB4674)

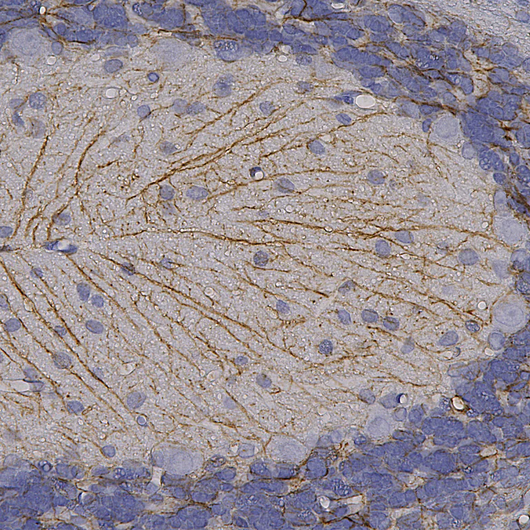
Chromogenic Immunostaining of a formalin fixed paraffin embedded human cerebellum section with chicken pAb to GFAP, dilution 1/20000, detected in DAB (brown) following the ABC method. Hematoxylin (blue) was used as the counterstain. ab4674 detects the core of processes of astrocytes and Bergman glia within the granular and molecular layers. Mouse select image for larger view.

Immunohistochemistry (Formalin/PFA-fixed paraffin-embedded sections) - Anti-GFAP antibody - Astrocyte Marker (AB4674)
  • IHC-P

PubMed

Immunohistochemistry (Formalin/PFA-fixed paraffin-embedded sections) - Anti-GFAP antibody - Astrocyte Marker (AB4674)

10x and 63x z-stack images of the CA1 hippocampal region for each treatment are shown, with NeuN staining in green and GFAP staining in red.

Two month-old wild-type mice were placed on either control (n = 10) or inhibitor diet (PLX3397, provided at 290 mg/kg chow; n = 14) for 21 d, causing the elimination of approximately 99% of microglia brain-wide.

Fluorescent immunolabeling of the microglia followed a standard indirect technique (primary antibody followed by fluorescent secondary antibody). Brain tissue (sliced at 40 μm) was stained using the anti-ionized calcium-binding adapter molecule 1 (IBA1, polyclonal, rabbit) antibody (1 : 1000; Wako, Cat. #019–19741), mounted on slides, and coverslipped using Dapi Fluoromount-G (SouthernBiotech). Half brain images were obtained by stitching using a Zeiss AxioImager M2 upright microscope and Stereo Investigator software package from MicroBrightField. In addition, tissue was stained with anti-hexaribonucleotide binding protein-3 (NeuN, monoclonal, mouse) antibody (1 : 1000; Millipore; Cat. #MAB377) to label neurons and anti-glial fibrillary acidic protein (GFAP, polyclonal, chicken) antibody (1 : 500; Abcam; Cat. #ab4674) to label astrocytes, and 10x and 63x z-stack images obtained for each treatment using confocal microscopy.

Elmore MR. et al PLoS One. 2015 Apr 7;10(4):e0122912. doi: 10.1371/journal.pone.0122912. eCollection 2015. Reproduced under the Creative Commons license http://creativecommons.org/licenses/by/4.0/

Immunocytochemistry/ Immunofluorescence - Anti-GFAP antibody - Astrocyte Marker (AB4674)
  • ICC/IF

Lab

Immunocytochemistry/ Immunofluorescence - Anti-GFAP antibody - Astrocyte Marker (AB4674)

ab4674 staining GFAP in primary mouse neurons/glia DIV14 (prepared from E18 mouse hippocampal brain area obtained from Transnetyx Tissue by BrainBits LLC cat.no. C57EHP) cells. The cells were fixed with 100% methanol (5 min) permeabilized with 0.1% PBS-Tween for 5 minutes and then blocked with 1% BSA/10% normal goat serum/0.3M glycine in 0.1%PBS-Tween for 1h. The cells were then incubated overnight at 4°C with ab4674 at 1µg/ml and ab24345 Mouse mono Anti-L1CAM [2C2]. Cells were then incubated with ab150176 Goat polyclonal Secondary Antibody to Chicken IgY - H&L (Alexa Fluor® 594) pre-adsorbed at 1/1000 dilution (shown in green) and ab150117 Goat polyclonal Secondary Antibody to Mouse IgG H&L (Alexa Fluor® 488) preadsorbed at 1/1000 dilution (shown in pseudocolour red). Nuclear DNA was labelled with DAPI (shown in blue).

Also suitable in cells fixed with 4% paraformaldehyde (10 min).

Image was acquired with a high-content analyser (Operetta CLS Perkin Elmer) and a maximum intensity projection of confocal sections is shown.

Immunohistochemistry (Formalin/PFA-fixed paraffin-embedded sections) - Anti-GFAP antibody - Astrocyte Marker (AB4674)
  • IHC-P

Lab

Immunohistochemistry (Formalin/PFA-fixed paraffin-embedded sections) - Anti-GFAP antibody - Astrocyte Marker (AB4674)

IHC image of GFAP staining in a formalin-fixed paraffin-embedded mouse normal brain tissue section.

The section was pre-treated using pressure cooker heat mediated antigen retrieval with sodium citrate buffer (pH 6). The section was incubated with ab4674 at 1/1000 dilution for 15 minutes at room temperature. A goat anti-chicken biotinylated secondary antibody was used to detect the primary and visualized using an HRP conjugated ABC system. The section was counterstained with haematoxylin and mounted with DPX.

Immunocytochemistry/ Immunofluorescence - Anti-GFAP antibody - Astrocyte Marker (AB4674)
  • ICC/IF

Supplier Data

Immunocytochemistry/ Immunofluorescence - Anti-GFAP antibody - Astrocyte Marker (AB4674)

Immunofluorescence staining of SOX9 using ab196450 in primary hippocampal mouse neurons/glia (obtained from Transnetyx Tissue by BrainBits LLC cat.no. C57EHP) DIV14. The cells were fixed with 4% formaldehyde (10 min) permeabilized with 0.1% TritonX-100 (in PBS) for 5 mins and then blocked with 1% BSA/10% normal goat serum/0.3M glycine in 0.1% PBS-Tween for 1h. The cells were then incubated overnight at +4°C with ab196450 at 1 μg/ml (shown in green), ab4674 (anti-GFAP) at 1/1000 dilution and ab104224 (anti-NeuN) at 1/1000 dilution. Cells were then incubated with ab150176 Goat Anti-Chicken IgY H&L (Alexa Fluor® 594) preadsorbed (shown in red) and ab150119 Goat Anti-Mouse IgG H&L (Alexa Fluor® 647) (shown in purple) all secondary antibodies at 1/1000 dilution. Nuclear DNA was labelled with DAPI (shown in blue).
As expected most GFAP positive cells are also SOX9 positive while NeuN positive cells are SOX9 negative.
Images were acquired with the Perkin Elmer Operetta HCA and a maximum intensity projection of confocal sections is shown.

Immunocytochemistry/ Immunofluorescence - Anti-GFAP antibody - Astrocyte Marker (AB4674)
  • ICC/IF

Lab

Immunocytochemistry/ Immunofluorescence - Anti-GFAP antibody - Astrocyte Marker (AB4674)

Immunofluorescence staining of SOX9 using ab185966 in primary hippocampal mouse neurons/glia (obtained from Transnetyx Tissue by BrainBits LLC cat.no. C57EHP) DIV14. The cells were fixed with 4% formaldehyde (10 min) permeabilized with 0.1% TritonX-100 (in PBS) for 5 mins and then blocked with 1% BSA/10% normal goat serum/0.3M glycine in 0.1% PBS-Tween for 1h. The cells were then incubated overnight at +4°C with ab185966 at 1 μg/ml, ab4674 (anti-GFAP) at 1/1000 dilution and ab104224 (anti-NeuN) at 1/1000 dilution. Cells were then incubated with ab150081 Goat Anti-Rabbit IgG H&L (Alexa Fluor® 488) preadsorbed at 1/1000 dilution (shown in green) ab150176 Goat Anti-Chicken IgY H&L (Alexa Fluor® 594) preadsorbed (shown in red) and ab150119 Goat Anti-Mouse IgG H&L (Alexa Fluor® 647) (shown in purple) all secondary antibodies at 1/1000 dilution. Nuclear DNA was labelled with DAPI (shown in blue).
As expected most GFAP positive cells are also SOX9 positive while NeuN positive cells are SOX9 negative. SOX9 positive cells which are not GFAP positive (e.g. asterisk) are likely neural stem cells/ oligodendrocyte precursor cells present in the culture.
Images were acquired with the Perkin Elmer Operetta HCA and a maximum intensity projection of confocal sections is shown.

Immunocytochemistry/ Immunofluorescence - Anti-GFAP antibody - Astrocyte Marker (AB4674)
  • ICC/IF

Supplier Data

Immunocytochemistry/ Immunofluorescence - Anti-GFAP antibody - Astrocyte Marker (AB4674)

Immunofluorescence staining of SOX9 using ab185230 in primary hippocampal mouse neurons/glia (obtained from Transnetyx Tissue by BrainBits LLC cat.no. C57EHP) DIV14. The cells were fixed with 4% formaldehyde (10 min) permeabilized with 0.1% TritonX-100 (in PBS) for 5 mins and then blocked with 1% BSA/10% normal goat serum/0.3M glycine in 0.1% PBS-Tween for 1h. The cells were then incubated overnight at +4°C with ab185230 at 5 μg/ml, ab4674 (anti-GFAP) at 1/1000 dilution and ab104224 (anti-NeuN) at 1/1000 dilution. Cells were then incubated with ab150081 Goat Anti-Rabbit IgG H&L (Alexa Fluor® 488) preadsorbed at 1/1000 dilution (shown in green) ab150176 Goat Anti-Chicken IgY H&L (Alexa Fluor® 594) preadsorbed (shown in red) and ab150119 Goat Anti-Mouse IgG H&L (Alexa Fluor® 647) (shown in purple) all secondary antibodies at 1/1000 dilution. Nuclear DNA was labelled with DAPI (shown in blue).
As expected most GFAP positive cells are also SOX9 positive while NeuN positive cells are SOX9 negative.
Images were acquired with the Perkin Elmer Operetta HCA and a maximum intensity projection of confocal sections is shown.

Immunohistochemistry (PFA fixed) - Anti-GFAP antibody - Astrocyte Marker (AB4674)
  • IHC (PFA fixed)

Supplier Data

Immunohistochemistry (PFA fixed) - Anti-GFAP antibody - Astrocyte Marker (AB4674)

GFAP antibody ab4674 was used with Tissue Clearing Kit ab243298 to penetrate, stain and clear a 500 μm section of rat brain. Learn more about tissue clearing kits, reagents, and protocols designed to make it easier to stain thick tissue sections and get more data from each valuable tissue section.

Immunohistochemistry (Formalin/PFA-fixed paraffin-embedded sections) - Anti-GFAP antibody - Astrocyte Marker (AB4674)
  • IHC-P

Lab

Immunohistochemistry (Formalin/PFA-fixed paraffin-embedded sections) - Anti-GFAP antibody - Astrocyte Marker (AB4674)

IHC image of GFAP staining in a formalin fixed paraffin embedded normal rat hippocampus tissue section.

The section was pre-treated using pressure cooker heat mediated antigen retrieval with sodium citrate buffer (pH 6). The section was incubated with ab4674 at 1/1000 dilution for 15 minutes at room temperature. A goat anti-chicken biotinylated secondary antibody was used to detect the primary and visualized using an HRP conjugated ABC system. The section was counterstained with haematoxylin and mounted with DPX.

Immunohistochemistry - Free Floating - Anti-GFAP antibody - Astrocyte Marker (AB4674)
  • IHC-FrFl

Supplier Data

Immunohistochemistry - Free Floating - Anti-GFAP antibody - Astrocyte Marker (AB4674)

Immunofluorescent analysis of a section of mouse hippocampus stained with ab4674 at a 1 : 5000 dilution in green.

Costained with a rabbit pAb to FOX3/NeuN dilution 1 : 5000 in red. The blue is DAPI staining of nuclear DNA. Following transcardial perfusion with 4% paraformaldehyde mouse brain was post fixed for 24 hours cut to 45 μM and free-floating sections were stained. The GFAP antibody stains a network of astroglial cells while the Fox3/NeuN antibody stains the nuclei and proximal perikarya of neurons.

Western blot - Anti-GFAP antibody - Astrocyte Marker (AB4674)
  • WB

Supplier Data

Western blot - Anti-GFAP antibody - Astrocyte Marker (AB4674)

All lanes:

Western blot - Anti-GFAP antibody - Astrocyte Marker (ab4674) at 1/5000 dilution

Lane 1:

Rat whole brain lysate

Lane 2:

Mouse whole brain lysate

Predicted band size: 49 kDa

false

Key facts

Host species

Chicken

Clonality

Polyclonal

Isotype

IgY

Carrier free

No

Reacts with

Human, Mouse, Rat

Applications

ICC/IF, IHC-FrFl, IHC-P, WB

applications

Immunogen

Recombinant Full Length Protein corresponding to Human GFAP.

P14136

Reactivity data

{ "title": "Reactivity Data", "filters": { "stats": ["", "Species", "Dilution Info", "Notes"], "tabs": { "all-applications": {"fullname" : "All Applications", "shortname": "All Applications"}, "IHCP" : {"fullname" : "Immunohistochemistry (Formalin/PFA-fixed paraffin-embedded sections)", "shortname":"IHC-P"}, "ICCIF" : {"fullname" : "Immunocytochemistry/ Immunofluorescence", "shortname":"ICC/IF"}, "WB" : {"fullname" : "Western blot", "shortname":"WB"}, "IHCFrFl" : {"fullname" : "Immunohistochemistry - Free Floating", "shortname":"IHC-FrFl"} }, "product-promise": { "all": "all", "testedAndGuaranteed": "tested", "guaranteed": "expected", "predicted": "predicted", "notRecommended": "not-recommended" } }, "values": { "Human": { "IHCP-species-checked": "testedAndGuaranteed", "IHCP-species-dilution-info": "1/200 - 1/20000", "IHCP-species-notes": "<p></p>", "ICCIF-species-checked": "guaranteed", "ICCIF-species-dilution-info": "", "ICCIF-species-notes": "", "WB-species-checked": "guaranteed", "WB-species-dilution-info": "", "WB-species-notes": "", "IHCFrFl-species-checked": "guaranteed", "IHCFrFl-species-dilution-info": "", "IHCFrFl-species-notes": "" }, "Mouse": { "IHCP-species-checked": "testedAndGuaranteed", "IHCP-species-dilution-info": "1/200 - 1/20000", "IHCP-species-notes": "<p></p> Perform heat-mediated antigen retrieval with citrate buffer pH 6 before commencing with IHC staining protocol.", "ICCIF-species-checked": "guaranteed", "ICCIF-species-dilution-info": "", "ICCIF-species-notes": "", "WB-species-checked": "guaranteed", "WB-species-dilution-info": "", "WB-species-notes": "", "IHCFrFl-species-checked": "testedAndGuaranteed", "IHCFrFl-species-dilution-info": "1/1000 - 1/5000", "IHCFrFl-species-notes": "<p>Try this antibody at about between about 1:1,000 using fluorescent secondary antibodies or 1:5,000 using peroxidase or other enzyme linked methods.</p>" }, "Rat": { "IHCP-species-checked": "testedAndGuaranteed", "IHCP-species-dilution-info": "1/200 - 1/20000", "IHCP-species-notes": "<p></p> Perform heat-mediated antigen retrieval with citrate buffer pH 6 before commencing with IHC staining protocol.", "ICCIF-species-checked": "testedAndGuaranteed", "ICCIF-species-dilution-info": "1/500 - 1/1000", "ICCIF-species-notes": "<p></p>", "WB-species-checked": "testedAndGuaranteed", "WB-species-dilution-info": "1/1000 - 1/5000", "WB-species-notes": "<p>Expect to see a band at 55kDa and another at about 48kDa, apparently a breakdown product of the 55kDa band.</p>", "IHCFrFl-species-checked": "guaranteed", "IHCFrFl-species-dilution-info": "", "IHCFrFl-species-notes": "" }, "Mammals": { "IHCP-species-checked": "predicted", "IHCP-species-dilution-info": "", "IHCP-species-notes": "", "ICCIF-species-checked": "predicted", "ICCIF-species-dilution-info": "", "ICCIF-species-notes": "", "WB-species-checked": "predicted", "WB-species-dilution-info": "", "WB-species-notes": "", "IHCFrFl-species-checked": "predicted", "IHCFrFl-species-dilution-info": "", "IHCFrFl-species-notes": "" } } }

Product details

Find all reagents to label astrocytes in our "Astrocytes markers guide".

Product Specifications
Anti-GFAP antibody (ab4674) is a chicken polyclonal antibody and is validated for use in ICC/IF, IHC-FrFl, IHC-P, WB in mouse, rat samples.
Anti-GFAP antibody (ab4674) specifically detects GFAP (UniProt ID: P14136; Molecular weight: 50kDa) and is sold in 50 µL selling sizes.

Quality and Validation
Abcam's high quality validation processes ensure Anti-GFAP antibody (ab4674) has high sensitivity and specificity.
Anti-GFAP antibody (ab4674) has been cited over 633 times in peer reviewed journals and is trusted by the scientific community.
Anti-GFAP antibody (ab4674) has 59 independent reviews from customers.

Related Products
Conjugation-ready, carrier free format available for antibody clone - ab272706.

Properties and storage information

Form
Liquid
Purity
IgY fraction
Purification notes
Concentrated IgY fraction of egg yolks.
Storage buffer
Preservative: 0.03% Sodium azide Constituents: PBS
Shipped at conditions
Blue Ice
Appropriate short-term storage conditions
+4°C
Appropriate long-term storage conditions
+4°C
Storage information
Do Not Freeze

Supplementary information

This supplementary information is collated from multiple sources and compiled automatically.

GFAP or Glial Fibrillary Acidic Protein plays a critical role in the structure and function of astrocytes which are star-shaped glial cells in the brain and spinal cord. It is a type III intermediate filament protein with a molecular weight of approximately 50 kDa. GFAP mainly expresses in the central nervous system specifically within astrocytes but you can also find it in non-neuronal cells such as enteric glia. Researchers frequently use GFAP antibodies in laboratory techniques like GFAP western blot and GFAP IHC to study protein expression and localization.
Biological function summary

GFAP contributes to the structural integrity and functional maintenance of the cytoskeleton in astrocytes. This protein integrates into a network of intermediate filaments providing mechanical support to cells. The ability of GFAP to form homodimers and filamentous structures is vital for its function. GFAP antibodies help in highlighting these structures in studies and techniques such as GFAP ELISA utilize these antibodies to quantify protein levels. Through GFAP staining scientists gain insights into the cellular architecture and any alterations under pathological conditions.

Pathways

GFAP plays a significant role within the neurological framework of cell signaling and response to injury. It links to the MAPK signaling pathway which modulates cell growth and differentiation. This protein also interacts with vimentin another intermediate filament protein forming a complex that affects astrocytic responses to environmental changes. These interconnected pathways and interactions highlight GFAP's importance in maintaining homeostasis within the central nervous system.

GFAP anomalies relate to various neurodegenerative conditions and injuries such as Alexander disease and gliosis. Mutations in the GFAP gene form a significant part of Alexander disease pathology where GFAP accumulates abnormally in astrocytes. Its interaction with vimentin aggravates the disease state affecting the astrocytic function. Researchers utilize anti-GFAP antibodies extensively to study disease progression and potential therapeutic targets providing insights into treatments for conditions involving GFAP dysregulation.

Product protocols

For this product, it's our understanding that no specific protocols are required. You can visit:

Target data

GFAP, a class-III intermediate filament, is a cell-specific marker that, during the development of the central nervous system, distinguishes astrocytes from other glial cells.
See full target information GFAP

Publications (939)

Recent publications for all applications. Explore the full list and refine your search

Journal of neuroinflammation 22:217 PubMed41024113

2025

Cholecystokinin ameliorates cognitive impairment via inhibiting microglia phagocytosis of excitatory synapses in sepsis-associated encephalopathy mice.

Applications

Unspecified application

Species

Unspecified reactive species

Lei Chen,Zhen Li,Yubo Gao,Guangxi Piao,Yitong Li,Jingshu Hong,Qian Wang,Kaixi Liu,Jie Wang,Ailian Du,Luhua Chen,Xiangyang Guo,Zhengqian Li,Taotao Liu

International journal of molecular sciences 26: PubMed41009567

2025

Piezo1 and Piezo2 Ion Channels in Neuronal and Astrocytic Responses to MEA Implants in the Rat Somatosensory Cortex.

Applications

Unspecified application

Species

Unspecified reactive species

Pegah Haghighi,Thomas J Smith,Ghazaal Tahmasebi,Sophia Vargas,Madison S Jiang,Ajaree C Massaquoi,Johnathan Huff,Jeffrey R Capadona,Joseph J Pancrazio

Molecular psychiatry : PubMed40993340

2025

Increased expression of ATase1/NAT8B or ATase2/NAT8 in the mouse results in an autistic-like phenotype with altered dendritic branching and spine formation.

Applications

Unspecified application

Species

Unspecified reactive species

Balagangadharan Kalimuthu,Haiyan Lu,Angelique Steenhagen,Qiping Dong,Mitchell Gray,Michael J Rigby,Andreas Endresen,Qiang Chang,Lingjun Li,Luigi Puglielli

Alzheimer's & dementia : the journal of the Alzheimer's Association 21:e70589 PubMed40964962

2025

Protective mechanisms against Alzheimer's disease in APOE3-Christchurch homozygous astrocytes.

Applications

Unspecified application

Species

Unspecified reactive species

Xinran Tian,Erica Keane Rivera,Inyoung Hwang,Arina A Nikitina,Jennifer A Smith,Youngsuh J Cho,Julia Sala-Jarque,Austin DuBose,Clare Andriola,Toby Gollan-Myers,Kenneth S Kosik

PloS one 20:e0330193 PubMed40952998

2025

ACE1 does not influence cerebral Aβ degradation or amyloid plaque accumulation in 5XFAD mice.

Applications

Unspecified application

Species

Unspecified reactive species

Sohee Jeon,Alia O Alia,Jelena Popovic,Robert Vassar,Leah K Cuddy

Comprehensive Physiology 15:e70044 PubMed40884034

2025

Endotoxemia-Induced Inflammation in the Absence of Obesity Is Associated With Decreased Anxiety-Like and Impulsive Behavior With no Effect on Learning and Memory.

Applications

Unspecified application

Species

Unspecified reactive species

Molly E Klug,Eden Crain,Anna M R Hayes,Mugil V Shanmugam,Claire B de La Serre,Scott E Kanoski

Molecular neurodegeneration 20:94 PubMed40877951

2025

MS4A6A/Ms4a6d deficiency disrupts neuroprotective microglia functions and promotes inflammation in Alzheimer's disease model.

Applications

Unspecified application

Species

Unspecified reactive species

Hai-Shan Jiao,Yi-Jun Ge,Liang-Yu Huang,Ying Liu,Bang-Sheng Wu,Piao-Piao Lian,Yi-Ning Hao,Shan-Shan Han,Yi-Ting Li,Kai-Min Wu,Chen-Yun Wu,Tian-Lin Cheng,Peng Yuan,Jin-Tai Yu

Stem cell research & therapy 16:462 PubMed40866997

2025

Extracellular lactate improves neurogenesis by modulating H3K9 lactylation and SnoN expression under hypoxic conditions.

Applications

Unspecified application

Species

Unspecified reactive species

Wenhong Xu,Anqi Zhao,Rui Han,Junyuan Wei,Qi Yu,Miaomiao Wang,Haokun Li,Baofeng Xu,Meiying Li,Guangfan Chi

Aging 17:2167-2188 PubMed40882002

2025

A protective role of SRC-1 against aging associated cognitive decline.

Applications

Unspecified application

Species

Unspecified reactive species

Hesong Liu,Yongjie Yang,Jonathan C Bean,Yang He,Hailan Liu,Rambabu Majji,Chen Liang,Nan Zhang,Meng Yu,Longlong Tu,Qingzhuo Liu,Yue Deng,Kristine M Conde,Na Yin,Mengjie Wang,Yongxiang Li,Junying Han,Sanika Vattakuzhiyil Jossy,Megan Elyse Burt,Hari Krishna Yalamanchili,Chunmei Wang

Translational psychiatry 15:315 PubMed40854880

2025

iPSC-derived cerebral organoids reveal mitochondrial, inflammatory and neuronal vulnerabilities in bipolar disorder.

Applications

Unspecified application

Species

Unspecified reactive species

Dana El Soufi El Sabbagh,Alencar Kolinski Machado,Lauren Pappis,Erika Leigh Beroncal,Delphine Ji,George Nader,Prathyusha Ravi Chander,Jaehyoung Choi,Angela Duong,Hyunjin Jeong,Bruna Panizzutti,Chiara Cristina Bortolasci,Andrea Szatmari,Peter Carlen,Margaret Hahn,Liliana Attisano,Michael Berk,Ken Walder,Ana Cristina Andreazza
View all publications

Product promise

We are committed to supporting your work with high-quality reagents, and we're here for you every step of the way. In the unlikely event that one of our products does not perform as expected, you're protected by our Product Promise.
For full details, please see our Terms & Conditions

Please note: All products are 'FOR RESEARCH USE ONLY. NOT FOR USE IN DIAGNOSTIC OR THERAPEUTIC PROCEDURES'.

For licensing inquiries, please contact partnerships@abcam.com