JavaScript is disabled in your browser. Please enable JavaScript to view this website.
AB279290

Anti-GFAP antibody [EPR1034Y] - Astrocyte marker - Mouse IgG2a (Chimeric)

  • BOND RX™ Validated
  • Recombinant
  • 20ul selling size
  • What is this?

Be the first to review this product! Submit a review

|

(21 Publications)

Anti-GFAP antibody [EPR1034Y] - Mouse IgG2a (Chimeric) (ab279290) is a mouse monoclonal antibody detecting GFAP in Western Blot, Flow Cytometry (Intra), Flow Cytometry, IP, IHC-P, IHC-Fr. Suitable for Human, Mouse, Rat.

- Biophysical QC for unrivalled batch-batch consistency

View Alternative Names

Glial fibrillary acidic protein, GFAP

7 Images
Immunohistochemistry (Frozen sections) - Anti-GFAP antibody [EPR1034Y] - Astrocyte marker - Mouse IgG2a (Chimeric) (AB279290)
  • IHC-Fr

Lab

Immunohistochemistry (Frozen sections) - Anti-GFAP antibody [EPR1034Y] - Astrocyte marker - Mouse IgG2a (Chimeric) (AB279290)

Immunohistochemical analysis of 4% PFA-fixed, 0.2% Triton X-100 permeabilized fresh frozen rat cerebrum tissue labeling GFAP with ab279290 at 1/200 (10 µg/ml) dilution followed by ab150113 Goat Anti-Mouse IgG H&L (Alexa Fluor® 488) at 1/1000 (2μg/mL) dilution. Positive staining on rat cerebrum is observed. The nuclear counterstain was DAPI (blue).

Secondary antibody control : Secondary antibody is ab150113 Goat Anti-Mouse IgG H&L (Alexa Fluor® 488) at 1/1000 dilution.

Immunohistochemistry (Frozen sections) - Anti-GFAP antibody [EPR1034Y] - Astrocyte marker - Mouse IgG2a (Chimeric) (AB279290)
  • IHC-Fr

Lab

Immunohistochemistry (Frozen sections) - Anti-GFAP antibody [EPR1034Y] - Astrocyte marker - Mouse IgG2a (Chimeric) (AB279290)

Immunohistochemical analysis of 4% PFA-fixed, 0.2% Triton X-100 permeabilized fresh frozen mouse cerebrum tissue labeling GFAP with ab279290 at 1/200 (10 µg/ml) dilution followed by ab150113 Goat Anti-Mouse IgG H&L (Alexa Fluor® 488) at 1/1000 (2μg/mL) dilution. Positive staining on mouse cerebrum is observed. The nuclear counterstain was DAPI (blue).

Secondary antibody control : Secondary antibody is ab150113 Goat Anti-Mouse IgG H&L (Alexa Fluor® 488) at 1/1000 dilution.

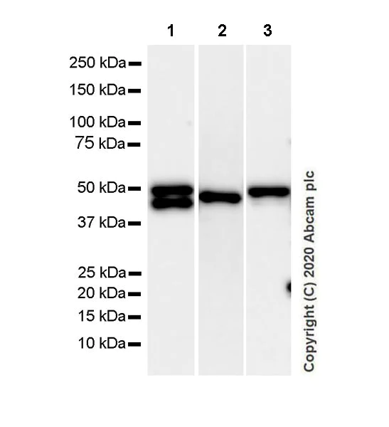
Western blot - Anti-GFAP antibody [EPR1034Y] - Astrocyte marker - Mouse IgG2a (Chimeric) (AB279290)
  • WB

Supplier Data

Western blot - Anti-GFAP antibody [EPR1034Y] - Astrocyte marker - Mouse IgG2a (Chimeric) (AB279290)

Blocking/Dilution buffer : 5% NFDM/TBST.

The molecular weight observed is consistent with the literature (PMID : 824020, 2294, 6340792).

Exposure times : Lane 1 : 3.25 seconds; Lane 2 : 48 seconds; Lane 3 : 10 seconds.

All lanes:

Western blot - Anti-GFAP antibody [EPR1034Y] - Astrocyte marker - Mouse IgG2a (Chimeric) (ab279290) at 1/1000 dilution

Lane 1:

Human brain tissue lysate at 20 µg

Lane 2:

Mouse brain tissue lysate at 20 µg

Lane 3:

Rat brain tissue lysate at 20 µg

Secondary

All lanes:

Peroxidase-Conjugated Goat anti-Mouse IgG (H+L) at 1/5000 dilution

Predicted band size: 49 kDa

Observed band size: 40-50 kDa

false

Flow Cytometry (Intracellular) - Anti-GFAP antibody [EPR1034Y] - Astrocyte marker - Mouse IgG2a (Chimeric) (AB279290)
  • Flow Cyt (Intra)

Supplier Data

Flow Cytometry (Intracellular) - Anti-GFAP antibody [EPR1034Y] - Astrocyte marker - Mouse IgG2a (Chimeric) (AB279290)

Flow cytometric analysis of 4% paraformaldehyde fixed 90% methanol permeabilized rat primary neural/glia cells labelling GFAP with ab279290 at 1/1000 dilution (0.1μg)/ Right compared with a Mouse monoclonal IgG isotype control/ Left. Goat Anti-Mouse IgG (Alexa Fluor® 647, ab150119) at 1/2000 dilution was used as the secondary antibody.

Immunocytochemistry - Anti-GFAP antibody [EPR1034Y] - Astrocyte marker - Mouse IgG2a (Chimeric) (AB279290)
  • ICC

Supplier Data

Immunocytochemistry - Anti-GFAP antibody [EPR1034Y] - Astrocyte marker - Mouse IgG2a (Chimeric) (AB279290)

Immunocytochemical analysis of 4% PFA-fixed, 0.1% Triton X-100 permeabilized mouse neural/glia tissue labeling GFAP with ab279290 at 1/50 (16 μg/ml) dilution followed by ab98736 Goat Anti-Mouse IgG (DyLight® 488) pre-adsorbed at 1/1000 dilution (Green). Positive staining on mouse primary astrocytes is observed. The nuclear counterstain was DAPI (Blue).

Counterstain : ab207165 anti-GFAP rabbit mAb at 1/1000 dilution with secondary antibody ab150088 Goat Anti-Rabbit IgG H&L (Alexa Fluor® 594) pre-adsorbed at 1/1000 dilution.

Negative controls : ab279290 with secondary ab150080 at 1/500 dilution; and ab207165 at 1/1000 dilution with secondary ab98376 at 1/1000 dilution

Immunohistochemistry (Formalin/PFA-fixed paraffin-embedded sections) - Anti-GFAP antibody [EPR1034Y] - Astrocyte marker - Mouse IgG2a (Chimeric) (AB279290)
  • IHC-P

Lab

Immunohistochemistry (Formalin/PFA-fixed paraffin-embedded sections) - Anti-GFAP antibody [EPR1034Y] - Astrocyte marker - Mouse IgG2a (Chimeric) (AB279290)

IHC image of GFAP staining in a section of formalin-fixed paraffin-embedded normal human cerebral cortex performed on a Leica BONDTM system using the standard protocol F.

The section was pre-treated using heat mediated antigen retrieval with sodium citrate buffer (pH6, epitope retrieval solution 1) for 20mins. The section was then incubated with ab279290, 1μg/ml, for 15 mins at room temperature. A rabbit anti-mouse IgG2a, was added for 8 mins at room temperature and detected using an HRP conjugated goat anti-rabbit compact polymer system. DAB was used as the chromogen.

The section was then counterstained with haematoxylin and mounted with DPX. The inset secondary-only control image is taken from an identical assay without primary antibody.
For other IHC staining systems (automated and non-automated) customers should optimize variable parameters such as antigen retrieval conditions, primary antibody concentration and antibody incubation times.

Immunoprecipitation - Anti-GFAP antibody [EPR1034Y] - Astrocyte marker - Mouse IgG2a (Chimeric) (AB279290)
  • IP

Supplier Data

Immunoprecipitation - Anti-GFAP antibody [EPR1034Y] - Astrocyte marker - Mouse IgG2a (Chimeric) (AB279290)

GFAP was immunoprecipitated from 0.35 mg rat brain tissue lysate 10 μg with ab279290 at 1/30 dilution (2μg in 0.35mg lysates). Western blot was performed on the immunoprecipitate using ab279290 at 1/1000 dilution. mouse IgG for IP (HRP) (ab131368) was used at 1/5000 dilution.

Lane 1 : Rat brain tissue lysate 10μg.

Lane 2 : ab279290 IP in rat brain tissue lysate.

Lane 3 : Mouse monoclonal IgG2a (ab18413) instead of ab279290 in rat brain tissue lysate.

Blocking and dilution buffer and concentration : 5% NFDM/TBST.

Exposure time : 23 seconds.

All lanes:

Immunoprecipitation - Anti-GFAP antibody [EPR1034Y] - Astrocyte marker - Mouse IgG2a (Chimeric) (ab279290)

Predicted band size: 49 kDa

Observed band size: 50 kDa

false

  • Carrier free

    Anti-GFAP antibody [EPR1034Y] - Mouse IgG2a (Chimeric) - BSA and Azide free

  • 665 Alexa Fluor® 647

    Alexa Fluor® 647 Anti-GFAP antibody [EPR1034Y] - Rat IgG2a (Chimeric)

  • 519 Alexa Fluor® 488

    Alexa Fluor® 488 Anti-GFAP antibody [EPR1034Y] - Mouse IgG1 (Chimeric)

  • 519 Alexa Fluor® 488

    Alexa Fluor® 488 Anti-GFAP antibody [EPR1034Y] - Mouse IgG2a (Chimeric)

Key facts

Host species

Mouse

Clonality

Monoclonal

Clone number

EPR1034Y

Isotype

IgG2a

Carrier free

No

Reacts with

Mouse, Rat, Human

Applications

IHC-Fr, IHC-P, ICC, IP, WB, Flow Cyt (Intra)

applications

Immunogen

The exact immunogen used to generate this antibody is proprietary information.

Reactivity data

{ "title": "Reactivity Data", "filters": { "stats": ["", "Species", "Dilution Info", "Notes"], "tabs": { "all-applications": {"fullname" : "All Applications", "shortname": "All Applications"}, "IHCP" : {"fullname" : "Immunohistochemistry (Formalin/PFA-fixed paraffin-embedded sections)", "shortname":"IHC-P"}, "IHCFr" : {"fullname" : "Immunohistochemistry (Frozen sections)", "shortname":"IHC-Fr"}, "ICC" : {"fullname" : "Immunocytochemistry", "shortname":"ICC"}, "IP" : {"fullname" : "Immunoprecipitation", "shortname":"IP"}, "WB" : {"fullname" : "Western blot", "shortname":"WB"}, "FlowCytIntra" : {"fullname" : "Flow Cytometry (Intracellular)", "shortname":"Flow Cyt (Intra)"} }, "product-promise": { "all": "all", "testedAndGuaranteed": "tested", "guaranteed": "expected", "predicted": "predicted", "notRecommended": "not-recommended" } }, "values": { "Human": { "IHCP-species-checked": "testedAndGuaranteed", "IHCP-species-dilution-info": "", "IHCP-species-notes": "<p></p> Perform heat-mediated antigen retrieval with citrate buffer pH 6 before commencing with IHC staining protocol.", "IHCFr-species-checked": "guaranteed", "IHCFr-species-dilution-info": "", "IHCFr-species-notes": "", "ICC-species-checked": "guaranteed", "ICC-species-dilution-info": "", "ICC-species-notes": "", "IP-species-checked": "guaranteed", "IP-species-dilution-info": "", "IP-species-notes": "", "WB-species-checked": "testedAndGuaranteed", "WB-species-dilution-info": "1/1000", "WB-species-notes": "<p></p>", "FlowCytIntra-species-checked": "guaranteed", "FlowCytIntra-species-dilution-info": "", "FlowCytIntra-species-notes": "" }, "Mouse": { "IHCP-species-checked": "guaranteed", "IHCP-species-dilution-info": "", "IHCP-species-notes": "", "IHCFr-species-checked": "testedAndGuaranteed", "IHCFr-species-dilution-info": "1/500", "IHCFr-species-notes": "<p>Heat mediated antigen retrieval using sodium citrate buffer (10mM citrate pH 6.0 + 0.05% Tween-20).</p>", "ICC-species-checked": "testedAndGuaranteed", "ICC-species-dilution-info": "1/50", "ICC-species-notes": "<p></p>", "IP-species-checked": "guaranteed", "IP-species-dilution-info": "", "IP-species-notes": "", "WB-species-checked": "testedAndGuaranteed", "WB-species-dilution-info": "1/1000", "WB-species-notes": "<p></p>", "FlowCytIntra-species-checked": "guaranteed", "FlowCytIntra-species-dilution-info": "", "FlowCytIntra-species-notes": "" }, "Rat": { "IHCP-species-checked": "guaranteed", "IHCP-species-dilution-info": "", "IHCP-species-notes": "", "IHCFr-species-checked": "testedAndGuaranteed", "IHCFr-species-dilution-info": "1 µg/mL", "IHCFr-species-notes": "<p></p> Perform heat-mediated antigen retrieval with citrate buffer pH 6 before commencing with IHC staining protocol.", "ICC-species-checked": "guaranteed", "ICC-species-dilution-info": "", "ICC-species-notes": "", "IP-species-checked": "testedAndGuaranteed", "IP-species-dilution-info": "1/30", "IP-species-notes": "<p></p>", "WB-species-checked": "testedAndGuaranteed", "WB-species-dilution-info": "1/1000", "WB-species-notes": "<p></p>", "FlowCytIntra-species-checked": "testedAndGuaranteed", "FlowCytIntra-species-dilution-info": "1/1000", "FlowCytIntra-species-notes": "<p></p>" } } }

Product details

What is this antibody validated in?
Anti-GFAP antibody [EPR1034Y] - Mouse IgG2a (Chimeric) (ab279290) is a mouse recombinant monoclonal antibody and is validated for use in Western Blot (WB), Flow Cytometry (Intra), Flow Cytometry (Flow Cyt), Immunoprecipitation (IP), Immunohistochemistry (IHC-P), Immunohistochemistry (IHC-Fr) in Human, Mouse, Rat samples.

Trial sizes available!
Test your antibody or perform pre-screening before committing to a larger quantity. Sold in 10µl. Discover our selection of trial-size antibodies.

Other related products
We have a range of other formats of antibody clone [EPR1034Y] also available for your convenience: ab68428, Alexa Fluor® 488 - ab194324, Alexa Fluor® 647 - ab194325, Alexa Fluor® 594 - ab201732, Alexa Fluor® 555 - ab201735, Alexa Fluor® 568 - ab201736, Alexa Fluor® 405 - ab206586, Carrier free - ab218309, ab279289, ab279290, ab279291, Carrier free - ab279301, Carrier free - ab279302, Carrier free - ab279303, PE - ab303005, APC - ab303006, HRP - ab303007, Alkaline Phosphatase - ab308965, Alexa Fluor® 647 - ab313596, Biotin - ab314264, Alexa Fluor® 488 - ab317669, Alexa Fluor® 647 - ab317720, Alexa Fluor® 647 - ab317721, Alexa Fluor® 488 - ab317762, Alexa Fluor® 488 - ab319022, ab323239, Carrier free - ab323248

Properties and storage information

Form
Liquid
Purification technique
Affinity purification Protein A
Storage buffer
pH: 7.2 - 7.4 Preservative: 0.01% Sodium azide Constituents: 59% PBS, 40% Glycerol (glycerin, glycerine), 0.05% BSA
Shipped at conditions
Blue Ice
Appropriate short-term storage duration
1-2 weeks
Appropriate short-term storage conditions
+4°C
Appropriate long-term storage conditions
-20°C
Aliquoting information
Upon delivery aliquot
Storage information
Avoid freeze / thaw cycle

Product protocols

For this product, it's our understanding that no specific protocols are required. You can visit:

Target data

GFAP, a class-III intermediate filament, is a cell-specific marker that, during the development of the central nervous system, distinguishes astrocytes from other glial cells.
See full target information GFAP

Publications (21)

Recent publications for all applications. Explore the full list and refine your search

Cell biology and toxicology 41:34 PubMed39847159

2025

Manganese exposure induces parkinsonism-like symptoms by Serpina3n-TFEB-v/p-ATPase signaling mediated lysosomal dysfunction.

Applications

Unspecified application

Species

Unspecified reactive species

Huihui Hong,Sicheng Liu,Ting Yang,Jinxian Lin,Kun Luo,Yudong Xu,Ting Li,Yu Xi,Lingling Yang,Yuan-Qiang Lu,Wei Yuan,Zhou Zhou

Pharmaceutics 16: PubMed39458643

2024

A Human Brain-Chip for Modeling Brain Pathologies and Screening Blood-Brain Barrier Crossing Therapeutic Strategies.

Applications

Unspecified application

Species

Unspecified reactive species

Shek Man Chim,Kristen Howell,Alexandros Kokkosis,Brian Zambrowicz,Katia Karalis,Elias Pavlopoulos

Cell death & disease 15:399 PubMed38849335

2024

DDAH-1 maintains endoplasmic reticulum-mitochondria contacts and protects dopaminergic neurons in Parkinson's disease.

Applications

Unspecified application

Species

Unspecified reactive species

Yichen Zhao,Weiwei Shen,Minjie Zhang,Min Guo,Yunxiao Dou,Sida Han,Jintai Yu,Mei Cui,Yanxin Zhao

Scientific reports 13:22764 PubMed38123650

2023

Myricetin suppresses traumatic brain injury-induced inflammatory response via EGFR/AKT/STAT pathway.

Applications

Unspecified application

Species

Unspecified reactive species

Chenxing Wang,Siguang Ouyang,Xingjia Zhu,Yi Jiang,Zhichao Lu,Peipei Gong

Oncology reports 50: PubMed37888772

2023

Starvation insult induces the translocation of high mobility group box 1 to cytosolic compartments in glioma.

Applications

Unspecified application

Species

Unspecified reactive species

Xiaohang Cui,Anhui Yao,Liyun Jia

Nature communications 14:6104 PubMed37775549

2023

Photostimulation of brain lymphatics in male newborn and adult rodents for therapy of intraventricular hemorrhage.

Applications

Unspecified application

Species

Unspecified reactive species

Dongyu Li,Shaojun Liu,Tingting Yu,Zhang Liu,Silin Sun,Denis Bragin,Alexander Shirokov,Nikita Navolokin,Olga Bragina,Zhengwu Hu,Jürgen Kurths,Ivan Fedosov,Inna Blokhina,Alexander Dubrovski,Alexander Khorovodov,Andrey Terskov,Maria Tzoy,Oxana Semyachkina-Glushkovskaya,Dan Zhu

Frontiers in cellular neuroscience 17:1211486 PubMed37711512

2023

Neuroprotection by upregulation of the major histocompatibility complex class I (MHC I) in SOD1 mice.

Applications

Unspecified application

Species

Unspecified reactive species

Ana Laura M R Tomiyama,Luciana Politti Cartarozzi,Lilian de Oliveira Coser,Gabriela Bortolança Chiarotto,Alexandre L R Oliveira

Journal of tissue engineering 14:20417314231180033 PubMed37333896

2023

Modified black phosphorus quantum dots promotes spinal cord injury repair by targeting the AKT signaling pathway.

Applications

Unspecified application

Species

Unspecified reactive species

Dong-Mei Xie,Chuanwei Sun,Qingqiang Tu,Suyi Li,Yu Zhang,Xifan Mei,Yuanlong Li

Biological research 56:17 PubMed37016436

2023

Spontaneous spheroids from alveolar bone-derived mesenchymal stromal cells maintain pluripotency of stem cells by regulating hypoxia-inducible factors.

Applications

Unspecified application

Species

Unspecified reactive species

Ni Li,Xiaofeng Dai,Fei Yang,Yang Sun,Xingwen Wu,Qianrong Zhou,Kai Chen,Jian Sun,Wei Bi,Le Shi,Youcheng Yu

Pharmaceuticals (Basel, Switzerland) 16: PubMed37259390

2023

Daphnetin Improves Neuropathic Pain by Inhibiting the Expression of Chemokines and Inflammatory Factors in the Spinal Cord and Interfering with Glial Cell Polarization.

Applications

Unspecified application

Species

Unspecified reactive species

Tianrui Zhang,Wulin Liang,Mingqian Zhang,Shuang Cui,Xiyan Huang,Wenjing Ou,Rikang Huang,Jiahui Gao,Zhanhong Jia,Shuofeng Zhang
View all publications

Product promise

We are committed to supporting your work with high-quality reagents, and we're here for you every step of the way. In the unlikely event that one of our products does not perform as expected, you're protected by our Product Promise.
For full details, please see our Terms & Conditions

Please note: All products are 'FOR RESEARCH USE ONLY. NOT FOR USE IN DIAGNOSTIC OR THERAPEUTIC PROCEDURES'.

For licensing inquiries, please contact partnerships@abcam.com