JavaScript is disabled in your browser. Please enable JavaScript to view this website.
AB218309

Anti-GFAP antibody [EPR1034Y] - BSA and Azide free

  • BOND RX™ Validated
  • RabMAb
  • Advanced Validation
  • Recombinant
  • What is this?

5

(1 Review)

|

(9 Publications)

Anti-GFAP antibody [EPR1034Y] - BSA and Azide free (ab218309) is a rabbit recombinant monoclonal antibody provided in a PBS only buffer for easy conjugation. Suitable for Western Blot, Flow Cytometry, IP, IHC-P, IHC-Fr, ICC/IF, mIHC in Human, Mouse, Rat.

- BSA, sodium azide, and glycerol-free for easy conjugation
- Multiplex IHC validated on the Leica BOND® MAX using Opal reagents
- Biophysical QC for unrivalled batch-batch consistency

View Alternative Names

Glial fibrillary acidic protein, GFAP

31 Images
Immunohistochemistry (Formalin/PFA-fixed paraffin-embedded sections) - Anti-GFAP antibody [EPR1034Y] - BSA and Azide free (AB218309)
  • IHC-P

Unknown

Immunohistochemistry (Formalin/PFA-fixed paraffin-embedded sections) - Anti-GFAP antibody [EPR1034Y] - BSA and Azide free (AB218309)

Immunohistochemical analysis of paraffin-embedded human colon tissue sections labelling GFAP with purified ab68428 at a dilution of 1/500. The secondary antibody used was ab97051, Goat Anti-Rabbit IgG H&L (HRP) at a dilution of 1/500. The sample was counterstained with hematoxylin. Antigen retrieval was performed using EDTA Buffer; pH 9.0.

This data was developed using the same antibody clone in a different buffer formulation containing PBS, BSA, glycerol, and sodium azide (ab68428).

Multiplex immunohistochemistry - Anti-GFAP antibody [EPR1034Y] - BSA and Azide free (AB218309)
  • mIHC

Lab

Multiplex immunohistochemistry - Anti-GFAP antibody [EPR1034Y] - BSA and Azide free (AB218309)

Fluorescence multiplex immunohistochemical analysis of formalin/PFA-fixed paraffin-embedded human cerebrum tissue sections.

Panel A : merged staining of anti-GPR17 (magenta; Opal™690), anti-TMEM119 (green; Opal™520) and anti-GFAP (red; Opal™570) on human cerebrum.

Panel B : anti-GPR17 staining oligodendrocytes in human cerebrum.

Panel C : anti-TMEM119 staining microglia in human cerebrum.

Panel D : anti-GFAP staining astrocytes in human cerebrum.

The section was incubated in three rounds of staining : in the order of ab316105 at a 1/500 dilution, ab306583 at a 1/2000 dilution, and ab218309 at a 1/1000 dilution for 30 mins at room temperature. Each round was followed by a separate fluorescent tyramide signal amplification system. Nuclear counterstaining with DAPI.

Heat mediated antigen retrieval with Tris-EDTA buffer (pH 9.0, epitope retrieval solution2) for 20 mins.

The immunostaining was performed on a Leica Biosystems BOND® RX instrument with an Opal™ 4-color kit. Image acquisition was performed with Leica SP8 confocal microscope.

Multiplex immunohistochemistry - Anti-GFAP antibody [EPR1034Y] - BSA and Azide free (AB218309)
  • mIHC

Lab

Multiplex immunohistochemistry - Anti-GFAP antibody [EPR1034Y] - BSA and Azide free (AB218309)

Fluorescence multiplex immunohistochemical analysis of human cerebrum tissue (formalin/PFA-fixed paraffin-embedded section). Panel A : merged staining of anti-GFAP (ab68428, gray; Opal™690), anti-Myelin PLP (ab254363, green; Opal™520) and anti-MAP2 (ab254263, red; Opal™570) on human cerebrum tissue. Panel B : anti-MAP2 stained cell body and dendrites of neurons. Panel C : anti-Myelin PLP stained on myelin sheaths of oligodendrocytes. Panel D : anti-GFAP stained on astrocytes. Opal Polymer HRP Ms + Rb was used as a secondary antibody. The immunostaining was performed on a Leica Biosystems BOND®RX instrument with an Opal™ 4-color kit. The section was incubated in three rounds of staining : in the order of ab68428 (1/50 dilution), ab254363 (1/2000 dilution), and ab254263 (1/4000 dilution) for 30 mins at room temperature. Each round was followed by a separate fluorescent tyramide signal amplification system. Heat mediated antigen retrieval with Tris-EDTA buffer (pH 9.0, epitope retrieval solution 2) was used for 20 mins. DAPI (blue) was used as a nuclear counter stain. Image acquisition was performed with Leica SP8 confocal microscope.

The data was developed using ab68428 , the same antibody clone in a different buffer formulation.

Multiplex immunohistochemistry - Anti-GFAP antibody [EPR1034Y] - BSA and Azide free (AB218309)
  • mIHC

Lab

Multiplex immunohistochemistry - Anti-GFAP antibody [EPR1034Y] - BSA and Azide free (AB218309)

Fluorescence multiplex immunohistochemical analysis of the human cerebrum (Formalin/PFA-fixed paraffin-embedded sections). Panel A : merged staining of anti-GFAP (ab68428, gray; Opal™690), anti-Myelin PLP (ab254363, green; Opal™520) and anti-P2Y12 (ab254347, red; Opal™570) on human cerebrum. Panel B : anti-P2Y12 stained on microglial cells. Panel C : anti-Myelin PLP stained on myelin sheaths of oligodendrocytes. Panel D : anti-GFAP stained on astrocytes. Opal Polymer HRP Ms + Rb was used as a secondary antibody. The immunostaining was performed on a Leica Biosystems BOND® RX instrument with an Opal™ 4-color kit. The section was incubated in three rounds of staining : in the order of ab68428 (1/50 dilution), ab254363 (1/2000 dilution), and ab254347 (1/1000 dilution) for 30 mins at room temperature. Each round was followed by a separate fluorescent tyramide signal amplification system. Heat mediated antigen retrieval with Tris-EDTA buffer (pH 9.0, epitope retrieval solution2) for 20 mins. DAPI (blue) was used as a nuclear counter stain. Image acquisition was performed with Leica SP8 confocal microscope.

This data was developed using ab68428, the same antibody clone in a different buffer formulation.

Multiplex immunohistochemistry - Anti-GFAP antibody [EPR1034Y] - BSA and Azide free (AB218309)
  • mIHC

Lab

Multiplex immunohistochemistry - Anti-GFAP antibody [EPR1034Y] - BSA and Azide free (AB218309)

Fluorescence multiplex immunohistochemical analysis of the human cerebellum (Formalin/PFA-fixed paraffin-embedded sections). Panel A : merged staining of anti-GFAP (ab68428, gray; Opal™690), anti-Myelin PLP (ab254363, green; Opal™520) and anti-P2Y12 (ab254347 red; Opal™570) on human cerebellum. Panel B : anti-P2Y12 stained on microglial cells. Panel C : anti-Myelin PLP stained on myelin sheaths of oligodendrocytes. Panel D : anti-GFAP stained on astrocytes. Opal Polymer HRP Ms + Rb was used as a secondary antibody. The immunostaining was performed on a Leica Biosystems BOND® RX instrument with an Opal™ 4-color kit. The section was incubated in three rounds of staining : in the order of ab68428 (1/50 dilution), ab254363 (1/2000 dilution), and ab254347 (1/1000 dilution) for 30 mins at room temperature. Each round was followed by a separate fluorescent tyramide signal amplification system. Heat mediated antigen retrieval with Tris-EDTA buffer (pH 9.0, epitope retrieval solution2) for 20 mins. DAPI (blue) was used as a nuclear counter stain. Image acquisition was performed with Leica SP8 confocal microscope.

This data was developed using ab68428, the same antibody clone in a different buffer formulation.

Immunohistochemistry (Formalin/PFA-fixed paraffin-embedded sections) - Anti-GFAP antibody [EPR1034Y] - BSA and Azide free (AB218309)
  • IHC-P

Unknown

Immunohistochemistry (Formalin/PFA-fixed paraffin-embedded sections) - Anti-GFAP antibody [EPR1034Y] - BSA and Azide free (AB218309)

Immunohistochemical analysis of formalin-fixed paraffin-embedded human brain (left) and human glioma (right) tissue sections labelling GFAP with unpurified ab68428 at dilution of 1/250.

This data was developed using the same antibody clone in a different buffer formulation containing PBS, BSA, glycerol, and sodium azide (ab68428).

Heat mediated antigen retrieval was performed before commencing with IHC staining protocol.

Immunohistochemistry (Formalin/PFA-fixed paraffin-embedded sections) - Anti-GFAP antibody [EPR1034Y] - BSA and Azide free (AB218309)
  • IHC-P

Lab

Immunohistochemistry (Formalin/PFA-fixed paraffin-embedded sections) - Anti-GFAP antibody [EPR1034Y] - BSA and Azide free (AB218309)

This data was developed using ab68428, the same antibody clone in a different buffer formulation.

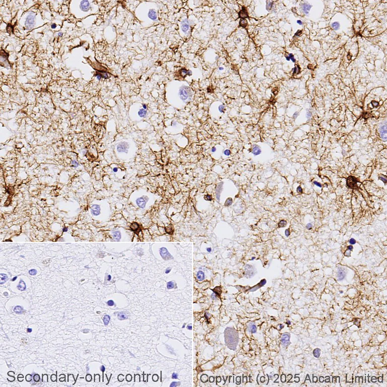
Immunohistochemical analysis of paraffin-embedded human Alzheimer's brain tissue* labelling GFAP with ab68428 at 1ug/ml followed by a ready to use LeicaDS9800 (Bond Polymer Refine Detection).

Positive staining in human Alzheimer's brain.

The section was incubated with ab68428 for 30 mins at room temperature. The immunostaining was performed on a Leica Biosystems BOND® RX instrument. Counterstained with Hematoxylin.

Secondary antibody only control : Secondary antibody is a ready to use LeicaDS9800 (Bond Polymer Refine Detection).

Heat mediated antigen retrieval with sodium citrate buffer (pH 6.0 epitope retrieval solution1) for 20 mins.

*Tissue obtained from the Human Research Tissue Bank, supported by the NIHR Cambridge Biomedical Research Centre.

Immunohistochemistry (Formalin/PFA-fixed paraffin-embedded sections) - Anti-GFAP antibody [EPR1034Y] - BSA and Azide free (AB218309)
  • IHC-P

Supplier Data

Immunohistochemistry (Formalin/PFA-fixed paraffin-embedded sections) - Anti-GFAP antibody [EPR1034Y] - BSA and Azide free (AB218309)

Fluorescence multiplex immunohistochemical analysis of the Human cerebellum (Formalin/PFA-fixed paraffin-embedded sections).

Heat mediated antigen retrieval with Tris-EDTA buffer (pH 9.0, epitope retrieval solution2) for 20 mins.

Opal Polymer HRP Ms + Rb was used as a secondary antibody.DAPI (blue) was used as a nuclear counter stain.

Panel A : Merged staining of anti-GFAP (gray; Opal™690), anti-P2Y12 (green; Opal™520) and anti-MAP2 (red; Opal™570) on human cerebellum. Panel B : Anti-MAP2 stained cell body and dendrites of neurons. Panel C : Anti-P2Y12 stained on microglial cells. Panel D : Anti-GFAP stained on astrocytes.

The section was incubated in three rounds of staining : in the order of ab68428, ab254347, and ab254263 for 30 mins at room temperature. Each round was followed by a separate fluorescent tyramide signal amplification system.

The immunostaining was performed on a Leica Biosystems BONDBOND® RX instrument with an Opal™ 4-color kit. Image acquisition was performed with Leica SP8 confocal microscope.

Immunohistochemistry (Formalin/PFA-fixed paraffin-embedded sections) - Anti-GFAP antibody [EPR1034Y] - BSA and Azide free (AB218309)
  • IHC-P

Unknown

Immunohistochemistry (Formalin/PFA-fixed paraffin-embedded sections) - Anti-GFAP antibody [EPR1034Y] - BSA and Azide free (AB218309)

Immunohistochemical analysis of paraffin-embedded human cerebral cortex tissue sections labelling GFAP with purified ab68428 at a dilution of 1/500. The secondary antibody used was ab97051, Goat Anti-Rabbit IgG H&L (HRP) at a dilution of 1/500. The sample was counterstained with hematoxylin. Antigen retrieval was performed using EDTA Buffer; pH 9.0. PBS was used instead of the primary antibody as the negative control and is shown in the inset.

This data was developed using the same antibody clone in a different buffer formulation containing PBS, BSA, glycerol, and sodium azide (ab68428).

Immunohistochemistry (Formalin/PFA-fixed paraffin-embedded sections) - Anti-GFAP antibody [EPR1034Y] - BSA and Azide free (AB218309)
  • IHC-P

Unknown

Immunohistochemistry (Formalin/PFA-fixed paraffin-embedded sections) - Anti-GFAP antibody [EPR1034Y] - BSA and Azide free (AB218309)

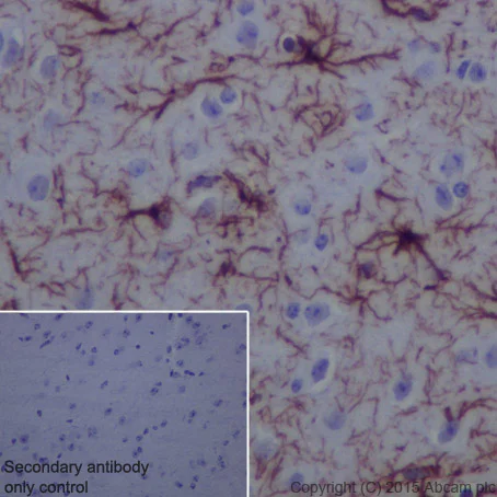
IHC image of GFAP staining in a formalin fixed, paraffin embedded normal human hippocampus tissue section, performed on a Leica Bond™ system using the standard protocol F. The section was pre-treated using heat mediated antigen retrieval with sodium citrate buffer (pH6, epitope retrieval solution 1) for 20 mins. The section was then incubated with ab68428 at 1/100 dilution for 15 mins at room temperature and detected using an HRP conjugated compact polymer system. DAB was used as the chromogen. The section was then counterstained with haematoxylin and mounted with DPX.

For other IHC staining systems (automated and non-automated) customers should optimize variable parameters such as antigen retrieval conditions, primary antibody concentration and antibody incubation times.

This data was developed using the same antibody clone in a different buffer formulation containing PBS, BSA, glycerol, and sodium azide (ab68428).

Immunohistochemistry (Frozen sections) - Anti-GFAP antibody [EPR1034Y] - BSA and Azide free (AB218309)
  • IHC-Fr

Lab

Immunohistochemistry (Frozen sections) - Anti-GFAP antibody [EPR1034Y] - BSA and Azide free (AB218309)

This data was developed using the same antibody clone in a different buffer formulation (ab68428).

IHC image of GFAP staining in a section of frozen normal human cerebral cortex performed on a Leica BONDTM system using the standard protocol. The section was fixed in 10% paraformaldehyde (10 min) prior to staining. The section was incubated with ab68428, 1/250 dilution, for 15 mins at room temperature and detected using an HRP conjugated compact polymer system. DAB was used as the chromogen. The section was then counterstained with haematoxylin and mounted with DPX. The inset secondary-only control image is taken from an identical assay without primary antibody.

For other IHC staining systems (automated and non-automated) customers should optimize variable parameters such as antigen retrieval conditions, primary antibody concentration and antibody incubation times.

Immunohistochemistry (Formalin/PFA-fixed paraffin-embedded sections) - Anti-GFAP antibody [EPR1034Y] - BSA and Azide free (AB218309)
  • IHC-P

Supplier Data

Immunohistochemistry (Formalin/PFA-fixed paraffin-embedded sections) - Anti-GFAP antibody [EPR1034Y] - BSA and Azide free (AB218309)

Fluorescence multiplex immunohistochemical analysis of the Human cerebrum (Formalin/PFA-fixed paraffin-embedded sections).

Heat mediated antigen retrieval with Tris-EDTA buffer (pH 9.0, epitope retrieval solution2) for 20 mins

Opal Polymer HRP Ms + Rb was used as a secondary antibody.DAPI (blue) was used as a nuclear counter stain.

Panel A : Merged staining of anti-GFAP (gray; Opal™690), anti-P2Y12 (green; Opal™520) and anti-MAP2 (red; Opal™570) on human cerebrum. Panel B : Anti-MAP2 stained cell body and dendrites of neurons. Panel C : Anti-P2Y12 stained on microglial cells. Panel D : Anti-GFAP stained on astrocytes.

The section was incubated in three rounds of staining : in the order of ab68428, ab254347, and ab254263 for 30 mins at room temperature. Each round was followed by a separate fluorescent tyramide signal amplification system.

The immunostaining was performed on a Leica Biosystems BOND® RX instrument with an Opal™ 4-color kit. Image acquisition was performed with Leica SP8 confocal microscope.

Multiplex immunohistochemistry - Anti-GFAP antibody [EPR1034Y] - BSA and Azide free (AB218309)
  • mIHC

Supplier Data

Multiplex immunohistochemistry - Anti-GFAP antibody [EPR1034Y] - BSA and Azide free (AB218309)

Multiplex immunohistochemistry analysis of formalin/PFA-fixed paraffin-embedded human cerebrum tissue staining TREM2 with ab318262 at a 1 : 100 (5.29 ug/ml) dilution, ab306583 anti-TMEM119 used at 1 : 2000 (0.255 ug/ml) dilution and ab218309 anti-GFAP used at a 1 : 1000 (1.325 ug/ml) dilution.

Panel A : merged staining of anti-TREM2 (green; Opal™520), anti-TMEM119 (magenta; Opal™690) and anti-GFAP (yellow; Opal™570) on human cerebrum.
Panel B : anti-TREM2 staining microglia in human cerebrum.
Panel C : anti-TMEM119 staining microglia in human cerebrum.
Panel D : anti-GFAP staining astrocytes in human cerebrum.
Nuclear DNA was labeled with DAPI (shown in blue).

The section was incubated in three rounds of staining : in the order of ab318262, ab306583 and ab218309 for 30 mins at room temperature. Each round was followed by a separate fluorescent tyramide signal amplification system.

The immunostaining was performed on a Leica Biosystems BOND® RX instrument with an Opal™ 4-color kit. Image acquisition was performed with Leica SP8 confocal microscope.

Nuclear counter stain with DAPI.

Heat mediated antigen retrieval with Tris-EDTA buffer (pH 9.0, epitope retrieval solution2) for 20 mins.

Multiplex immunohistochemistry - Anti-GFAP antibody [EPR1034Y] - BSA and Azide free (AB218309)
  • mIHC

Supplier Data

Multiplex immunohistochemistry - Anti-GFAP antibody [EPR1034Y] - BSA and Azide free (AB218309)

Multiplex immunohistochemistry analysis of formalin/PFA-fixed paraffin-embedded human astrocytoma tissue staining TREM2 with ab318262 at a 1 : 100 (5.29 ug/ml) dilution, ab306583 anti-TMEM119 used at 1 : 2000 (0.255 ug/ml) dilution and ab218309 anti-GFAP used at a 1 : 1000 (1.325 ug/ml) dilution.

Panel A : merged staining of anti-TREM2 (green; Opal™520), anti-TMEM119 (magenta; Opal™690) and anti-GFAP (yellow; Opal™570) on human astrocytoma.
Panel B : anti-TREM2 staining microglia in human astrocytoma.
Panel C : anti-TMEM119 staining microglia in human astrocytoma.
Panel D : anti-GFAP staining astrocyte in human astrocytoma.
Nuclear DNA was labeled with DAPI (shown in blue).

The section was incubated in three rounds of staining : in the order of ab318262, ab306583 and ab218309 for 30 mins at room temperature. Each round was followed by a separate fluorescent tyramide signal amplification system.

The immunostaining was performed on a Leica Biosystems BOND® RX instrument with an Opal™ 4-color kit. Image acquisition was performed with Leica SP8 confocal microscope.

Nuclear counter stain with DAPI.

Heat mediated antigen retrieval with Tris-EDTA buffer (pH 9.0, epitope retrieval solution2) for 20 mins.

Multiplex immunohistochemistry - Anti-GFAP antibody [EPR1034Y] - BSA and Azide free (AB218309)
  • mIHC

Lab

Multiplex immunohistochemistry - Anti-GFAP antibody [EPR1034Y] - BSA and Azide free (AB218309)

Fluorescence multiplex immunohistochemical analysis of human cerebellum tissue (formalin/PFA-fixed paraffin-embedded section). Panel A : merged staining of anti-GFAP (ab68428, gray; Opal™690), anti-Myelin PLP (ab254363, green; Opal™520) and anti-MAP2 (ab254263, red; Opal™570) on human cerebellum tissue. Panel B : anti-MAP2 stained cell body and dendrites of neurons. Panel C : anti-Myelin PLP stained on myelin sheaths of oligodendrocytes. Panel D : anti-GFAP stained on astrocytes. Opal Polymer HRP Ms + Rb was used as a secondary antibody. The immunostaining was performed on a Leica Biosystems BOND®RX instrument with an Opal™ 4-color kit. The section was incubated in three rounds of staining : in the order of ab68428 (1/50 dilution), ab254363 (1/2000 dilution), and ab254263 (1/4000 dilution) for 30 mins at room temperature. Each round was followed by a separate fluorescent tyramide signal amplification system. Heat mediated antigen retrieval with Tris-EDTA buffer (pH 9.0, epitope retrieval solution 2) was used for 20 mins. DAPI (blue) was used as a nuclear counter stain. Image acquisition was performed with Leica SP8 confocal microscope.

This data was developed using ab68428, the same antibody clone in a different buffer formulation.

Multiplex immunohistochemistry - Anti-GFAP antibody [EPR1034Y] - BSA and Azide free (AB218309)
  • mIHC

Lab

Multiplex immunohistochemistry - Anti-GFAP antibody [EPR1034Y] - BSA and Azide free (AB218309)

Fluorescence multiplex immunohistochemical analysis of formalin/PFA-fixed paraffin-embedded rat cerebrum tissue sections.

Panel A : merged staining of anti-GPR17 (magenta; Opal™690), anti-P2RY12 (green; Opal™520) and anti-GFAP (red; Opal™570) on rat cerebrum.

Panel B : anti-GPR17 staining oligodendrocytes in rat cerebrum.

Panel C : anti-P2RY12 staining microglia in rat cerebrum.

Panel D : anti-GFAP staining astrocytes in rat cerebrum.

The section was incubated in three rounds of staining : in the order of ab316105 at 1/500 dilution, ab300140 at 1/140000 dilution , and ab218309 at 1/1000 dilution for 30 mins at room temperature. Each round was followed by a separate fluorescent tyramide signal amplification system. The secondary was Opal Polymer HRP Ms + Rb and nuclear counterstaining with DAPI.

Heat mediated antigen retrieval with Tris-EDTA buffer (pH 9.0, epitope retrieval solution2) for 20 mins.

The immunostaining was performed on a Leica Biosystems BOND® RX instrument with an Opal™ 4-color kit. Image acquisition was performed with Leica SP8 confocal microscope.

This data was developed using ab68428 the same antibody clone in a different buffer formulation.

Immunohistochemistry (Formalin/PFA-fixed paraffin-embedded sections) - Anti-GFAP antibody [EPR1034Y] - BSA and Azide free (AB218309)
  • IHC-P

Unknown

Immunohistochemistry (Formalin/PFA-fixed paraffin-embedded sections) - Anti-GFAP antibody [EPR1034Y] - BSA and Azide free (AB218309)

Immunohistochemical analysis of paraffin-embedded mouse cerebral cortex tissue sections labelling GFAP with purified ab68428 at a dilution of 1/500. The secondary antibody used was ab97051, Goat Anti-Rabbit IgG H&L (HRP) at a dilution of 1/500. The sample was counterstained with hematoxylin. Antigen retrieval was performed using EDTA Buffer; pH 9.0. PBS was used instead of the primary antibody as the negative control and is shown in the inset.

This data was developed using the same antibody clone in a different buffer formulation containing PBS, BSA, glycerol, and sodium azide (ab68428).

Flow Cytometry (Intracellular) - Anti-GFAP antibody [EPR1034Y] - BSA and Azide free (AB218309)
  • Flow Cyt (Intra)

Supplier Data

Flow Cytometry (Intracellular) - Anti-GFAP antibody [EPR1034Y] - BSA and Azide free (AB218309)

This data was developed using ab68428, the same antibody clone in a different buffer formulation.

Flow cytometric analysis of 4% paraformaldehyde fixed 90% methanol permeabilized Mouse primary brain cells cells labelling GFAP with ab68428 at 1/500 dilution (0.1ug)/ Right compared with a Rabbit monoclonal IgG (ab172730) / Left isotype control. A Goat anti rabbit IgG (Alexa Fluor® 488, ab150077) at 1/2000 dilution was used as the secondary antibody.

Immunohistochemistry (Frozen sections) - Anti-GFAP antibody [EPR1034Y] - BSA and Azide free (AB218309)
  • IHC-Fr

Unknown

Immunohistochemistry (Frozen sections) - Anti-GFAP antibody [EPR1034Y] - BSA and Azide free (AB218309)

This data was developed using ab68428, the same antibody clone in a different buffer formulation.

Immunohistochemical analysis of 4% PFA-fixed, 0.2% Triton X-100 permeabilized frozen Mouse cerebrum tissue labeling GFAP with ab68428 at 1/1000 dilution (2.011 μg/mL) followed by ab150077 Goat Anti-Rabbit IgG H&L (Alexa Fluor® 488) at 1/1000 dilution (2 μg/mL) (Green). Positive staining on mouse cerebrum is observed. The nuclear counterstain was DAPI (Blue).

Secondary antibody control : Secondary antibody is ab150077 Goat Anti-Rabbit IgG H&L (Alexa Fluor® 488) at 1/1000 dilution (2 μg/mL).

Heat mediated antigen retrieval using sodium citrate buffer (10mM citrate pH 6.0 + 0.05% Tween-20).

Immunohistochemistry (Formalin/PFA-fixed paraffin-embedded sections) - Anti-GFAP antibody [EPR1034Y] - BSA and Azide free (AB218309)
  • IHC-P

Unknown

Immunohistochemistry (Formalin/PFA-fixed paraffin-embedded sections) - Anti-GFAP antibody [EPR1034Y] - BSA and Azide free (AB218309)

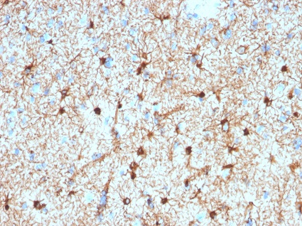
Immunohistochemical analysis of formalin-fixed paraffin-embedded mouse brain tissue section labelling GFAP with unpurified ab68428 at dilution of 1/250.

This data was developed using the same antibody clone in a different buffer formulation containing PBS, BSA, glycerol, and sodium azide (ab68428).

Heat mediated antigen retrieval was performed before commencing with IHC staining protocol.

Immunohistochemistry (Frozen sections) - Anti-GFAP antibody [EPR1034Y] - BSA and Azide free (AB218309)
  • IHC-Fr

Unknown

Immunohistochemistry (Frozen sections) - Anti-GFAP antibody [EPR1034Y] - BSA and Azide free (AB218309)

This data was developed using ab68428, the same antibody clone in a different buffer formulation.

Immunohistochemical analysis of 4% PFA-fixed, 0.2% Triton X-100 permeabilized frozen Rat cerebrum tissue labeling GFAP with ab68428 at 1/1000 dilution (2.011 μg/mL) followed by ab150077 Goat Anti-Rabbit IgG H&L (Alexa Fluor® 488) at 1/1000 dilution (2 μg/mL) (Green). Positive staining on rat cerebrum is observed. The nuclear counterstain was DAPI (Blue).

Secondary antibody control : Secondary antibody is ab150077 Goat Anti-Rabbit IgG H&L (Alexa Fluor® 488) at 1/1000 dilution (2 μg/mL).

Heat mediated antigen retrieval using sodium citrate buffer (10mM citrate pH 6.0 + 0.05% Tween-20).

Immunocytochemistry/ Immunofluorescence - Anti-GFAP antibody [EPR1034Y] - BSA and Azide free (AB218309)
  • ICC/IF

Lab

Immunocytochemistry/ Immunofluorescence - Anti-GFAP antibody [EPR1034Y] - BSA and Azide free (AB218309)

Immunofluorescent analysis of 4% Paraformaldehyde-fixed, 0.1% TritonX-100 permeabilized mouse primary neural mix culture cells labelling GFAP with ab68428 at 1/250 dilution, followed by ab150077 AlexaFluor®488 Goat anti-Rabbit secondary antibody at 1/1000 dilution (Green). Confocal scanning Z step was set as 0.3 μm followed by image processing with maximum Z projection. ab10062 anti-GFAP antibody [GF5] at 1/100 dilution followed by ab150120 Goat Anti-Mouse IgG H&L (Alexa Fluor® 594) at 1/1000 (2μg/ml) was used as a counterstain. The Nuclear counterstain was DAPI (Blue).

This data was developed using the same antibody clone in a different buffer formulation containing PBS, BSA, glycerol, and sodium azide (ab68428).

Immunohistochemistry (Formalin/PFA-fixed paraffin-embedded sections) - Anti-GFAP antibody [EPR1034Y] - BSA and Azide free (AB218309)
  • IHC-P

Unknown

Immunohistochemistry (Formalin/PFA-fixed paraffin-embedded sections) - Anti-GFAP antibody [EPR1034Y] - BSA and Azide free (AB218309)

Immunohistochemical analysis of paraffin-embedded mouse liver tissue sections labelling GFAP with purified ab68428 at a dilution of 1/500. The secondary antibody used was ab97051, Goat Anti-Rabbit IgG H&L (HRP) at a dilution of 1/500. The sample was counterstained with hematoxylin. Antigen retrieval was performed using EDTA Buffer; pH 9.0.

This data was developed using the same antibody clone in a different buffer formulation containing PBS, BSA, glycerol, and sodium azide (ab68428).

Immunocytochemistry/ Immunofluorescence - Anti-GFAP antibody [EPR1034Y] - BSA and Azide free (AB218309)
  • ICC/IF

Lab

Immunocytochemistry/ Immunofluorescence - Anti-GFAP antibody [EPR1034Y] - BSA and Azide free (AB218309)

Immunofluorescence staining of GFAP using ab68428 in primary rat hippocampal mixed glia, (prepared from P2 rat hippocampal brain area, obtained from Transnetyx Tissue by BrainBits, LLC, cat.no. SDPHP4m), DIV4. The cells were fixed with 100% MeOH (5 min), permeabilized with 0.1% Triton-X-100 (in PBS) for 5 mins and then blocked with 1% BSA/10% normal goat serum/0.3M glycine in 0.1% PBS-Tween for 1h. The cells were then incubated overnight at +4°C with ab68428 at 0.1 μg/ml and ab4674, Anti-GFAP antibody, at 1/1000 dilution. Cells were then incubated with ab150081, Goat Anti-Rabbit IgG H&L (Alexa Fluor® 488) preadsorbed at 1/1000 dilution (shown in green) and ab150176, Goat Anti-Chicken IgY H&L (Alexa Fluor® 594) preadsorbed at 1/1000 dilution (shown in red). Nuclear DNA was labelled with DAPI (shown in blue). Images were acquired with the Perkin Elmer Operetta HCA and a maximum intensity projection of confocal sections is shown. The antibody ab68428 gave comparable results using 4% formaldehyde fixation (10 min). This data was developed using the same antibody clone in a different buffer formulation containing PBS, BSA, glycerol, and sodium azide (ab68428).

Multiplex immunohistochemistry - Anti-GFAP antibody [EPR1034Y] - BSA and Azide free (AB218309)
  • mIHC

Lab

Multiplex immunohistochemistry - Anti-GFAP antibody [EPR1034Y] - BSA and Azide free (AB218309)

Multiplex immunohistochemistry analysis of formalin/PFA-fixed paraffin-embedded Mouse midbrain tissue staining THP2 with ab288067 at a 1/2000 (0.315 ug/ml) dilution, P2Y12 with ab300140 at 1/40000 (0.013 ug/ml) dilution and GFAP with ab218309 at 1/1000 ( 1.325 ug/ml) dilution.

Panel A : merged staining of anti-THP2 (green; Opal™520), anti-P2Y12 (grey; Opal™570) and anti-GFAP (magenta; Opal™690) on mouse midbrain.
Panel B : anti-THP2 staining the serotonergic neurons in mouse midbrain.
Panel C : anti-P2Y12 staining microglia in mouse midbrain.
Panel D : anti-GFAP staining astrocytes in mouse midbrain.
Nuclear DNA was labeled with DAPI (shown in blue).

The section was incubated in three rounds of staining : in the order of ab2888067, ab300140 and ab218309 for 30 mins at room temperature. Each round was followed by a separate fluorescent tyramide signal amplification system.

The immunostaining was performed on a Leica Biosystems BOND® RX instrument with an Opal™ 4-color kit. Image acquisition was performed with Leica SP8 confocal microscope.

Heat mediated antigen retrieval with Tris-EDTA buffer (pH 9.0, epitope retrieval solution2) for 20 mins.

Multiplex immunohistochemistry - Anti-GFAP antibody [EPR1034Y] - BSA and Azide free (AB218309)
  • mIHC

Lab

Multiplex immunohistochemistry - Anti-GFAP antibody [EPR1034Y] - BSA and Azide free (AB218309)

Fluorescence multiplex immunohistochemical analysis of formalin/PFA-fixed paraffin-embedded mouse spinal cord tissue sections.

Panel A : merged staining of anti-GPR17 (magenta; Opal™690), anti-P2RY12 (green; Opal™520) and anti-GFAP (red; Opal™570) on mouse spinal cord.

Panel B : anti-GPR17 staining oligodendrocytes in mouse spinal cord.

Panel C : anti-P2RY12 staining microglia in mouse spinal cord.

Panel D : anti-GFAP staining astrocytes in mouse spinal cord.

The section was incubated in three rounds of staining : in the order of ab316105 at a 1/500 dilution, ab300140 at a 1/40000 dilution, and ab218309 at a 1/1000 dilution for 30 mins at room temperature. Each round was followed by a separate fluorescent tyramide signal amplification system.

Nuclear counterstaining with DAPI.

Heat mediated antigen retrieval with Tris-EDTA buffer (pH 9.0, epitope retrieval solution2) for 20 mins.

The immunostaining was performed on a Leica Biosystems BOND® RX instrument with an Opal™ 4-color kit. Image acquisition was performed with Leica SP8 confocal microscope.

Multiplex immunohistochemistry - Anti-GFAP antibody [EPR1034Y] - BSA and Azide free (AB218309)
  • mIHC

Lab

Multiplex immunohistochemistry - Anti-GFAP antibody [EPR1034Y] - BSA and Azide free (AB218309)

Fluorescence multiplex immunohistochemical analysis of formalin/PFA-fixed paraffin-embedded mouse cerebellum tissue sections.

Panel A : merged staining of anti-GPR17 (magenta; Opal™690), anti-P2RY12 (green; Opal™520) and anti-GFAP (red; Opal™570) on mouse cerebellum.

Panel B : anti-GPR17 staining oligodendrocytes in mouse cerebellum.

Panel C : anti-P2RY12 staining microglia in mouse cerebellum.

Panel D : anti-GFAP staining astrocytes in mouse cerebellum.

The section was incubated in three rounds of staining : in the order of ab316105 at a 1/500 dilution, ab300140 at a 1/40000 dilution, and ab218309 at a 1/1000 dilution for 30 mins at room temperature. Each round was followed by a separate fluorescent tyramide signal amplification system.

Nuclear counterstaining with DAPI.

Heat mediated antigen retrieval with Tris-EDTA buffer (pH 9.0, epitope retrieval solution2) for 20 mins.

The immunostaining was performed on a Leica Biosystems BOND® RX instrument with an Opal™ 4-color kit. Image acquisition was performed with Leica SP8 confocal microscope.

Multiplex immunohistochemistry - Anti-GFAP antibody [EPR1034Y] - BSA and Azide free (AB218309)
  • mIHC

Lab

Multiplex immunohistochemistry - Anti-GFAP antibody [EPR1034Y] - BSA and Azide free (AB218309)

Fluorescence multiplex immunohistochemical analysis of formalin/PFA-fixed paraffin-embedded rat spinal cord tissue sections.

Panel A : merged staining of anti-GPR17 (magenta; Opal™690), anti-P2RY12 (green; Opal™520) and anti-GFAP (red; Opal™570) on rat spinal cord.

Panel B : anti-GPR17 staining oligodendrocytes in rat spinal cord.

Panel C : anti-P2RY12 staining microglia in rat spinal cord.

Panel D : anti-GFAP staining astrocytes in rat spinal cord.

The section was incubated in three rounds of staining : in the order of ab316105 at a 1/500 dilution, ab300140 at a 1/40000 dilution, and ab218309 at a 1/1000 dilution for 30 mins at room temperature. Each round was followed by a separate fluorescent tyramide signal amplification system.

Nuclear counterstaining with DAPI.

Heat mediated antigen retrieval with Tris-EDTA buffer (pH 9.0, epitope retrieval solution2) for 20 mins.

The immunostaining was performed on a Leica Biosystems BOND® RX instrument with an Opal™ 4-color kit. Image acquisition was performed with Leica SP8 confocal microscope.

Multiplex immunohistochemistry - Anti-GFAP antibody [EPR1034Y] - BSA and Azide free (AB218309)
  • mIHC

Lab

Multiplex immunohistochemistry - Anti-GFAP antibody [EPR1034Y] - BSA and Azide free (AB218309)

Fluorescence multiplex immunohistochemical analysis of formalin/PFA-fixed paraffin-embedded mouse hippocampus tissue sections.

Panel A : merged staining of anti-GPR17 (magenta; Opal™690), anti-P2RY12 (green; Opal™520) and anti-GFAP (red; Opal™570) on mouse hippocampus.

Panel B : anti-GPR17 staining oligodendrocytes in mouse hippocampus.

Panel C : anti-P2RY12 staining microglia in mouse hippocampus.

Panel D : anti-GFAP staining astrocytes in mouse hippocampus.

The section was incubated in three rounds of staining : in the order of ab316105 at a 1/500 dilution, ab300140 at a 1/40000, and ab218309 at a 1/1000 dilution for 30 mins at room temperature. Each round was followed by a separate fluorescent tyramide signal amplification system.

Nuclear counterstaining with DAPI.

Heat mediated antigen retrieval with Tris-EDTA buffer (pH 9.0, epitope retrieval solution2) for 20 mins.

The immunostaining was performed on a Leica Biosystems BOND® RX instrument with an Opal™ 4-color kit. Image acquisition was performed with Leica SP8 confocal microscope.

Multiplex immunohistochemistry - Anti-GFAP antibody [EPR1034Y] - BSA and Azide free (AB218309)
  • mIHC

Lab

Multiplex immunohistochemistry - Anti-GFAP antibody [EPR1034Y] - BSA and Azide free (AB218309)

Fluorescence multiplex immunohistochemical analysis of formalin/PFA-fixed paraffin-embedded mouse cerebrum tissue sections.

Panel A : merged staining of anti-GPR17 (magenta; Opal™690), anti-P2RY12 (green; Opal™520) and anti-GFAP (red; Opal™570) on mouse cerebrum.

Panel B : anti-GPR17 staining oligodendrocytes in mouse cerebrum.

Panel C : anti-P2RY12 staining microglia in mouse cerebrum.

Panel D : anti-GFAP staining astrocytes in mouse cerebrum.

The section was incubated in three rounds of staining : in the order of ab316105 at a 1/500 dilution, ab300140 at a 1/140000 dilution, and ab218309 at a 1/1000 dilution for 30 mins at room temperature. Each round was followed by a separate fluorescent tyramide signal amplification system. Nuclear counterstaining with DAPI.

Heat mediated antigen retrieval with Tris-EDTA buffer (pH 9.0, epitope retrieval solution2) for 20 mins.

The immunostaining was performed on a Leica Biosystems BOND® RX instrument with an Opal™ 4-color kit. Image acquisition was performed with Leica SP8 confocal microscope.

Immunoprecipitation - Anti-GFAP antibody [EPR1034Y] - BSA and Azide free (AB218309)
  • IP

Unknown

Immunoprecipitation - Anti-GFAP antibody [EPR1034Y] - BSA and Azide free (AB218309)

ab68428 at 1/20 dilution immunoprecipitating GFAP in rat brain whole cell lysate observed at 50 KDa (lanes 1 and 2).

Lane 1 (input) : Rat brain whole cell lysate 10ug

Lane 2 (+) : ab68428 + Rat brain whole cell lysate

Lane 3 (-) : Rabbit monoclonal IgG (ab172730) instead of ab68428 in Rat brain whole cell lysate

For western blotting, ab68428 was used followed by VeriBlot for IP (HRP) (ab131366) for detection at a dilution of 1/10,000.

Blocking and Diluting buffer and concentration : 5% NFDM/TBST.

This data was developed using the same antibody clone in a different buffer formulation containing PBS, BSA, glycerol, and sodium azide (ab68428).

All lanes:

Immunoprecipitation - Anti-GFAP antibody [EPR1034Y] - Astrocyte Marker (<a href='/en-us/products/primary-antibodies/gfap-antibody-epr1034y-astrocyte-marker-ab68428'>ab68428</a>)

Predicted band size: 49 kDa

false

  • Unconjugated

    Anti-GFAP antibody [EPR1034Y] - Astrocyte Marker

  • 519 Alexa Fluor® 488

    Alexa Fluor® 488 Anti-GFAP antibody [EPR1034Y] - Mouse IgG1 (Chimeric)

  • 665 Alexa Fluor® 647

    Alexa Fluor® 647 Anti-GFAP antibody [EPR1034Y] - Mouse IgG2a (Chimeric)

  • 665 Alexa Fluor® 647

    Alexa Fluor® 647 Anti-GFAP antibody [EPR1034Y] - Rat IgG2a (Chimeric)

  • 519 Alexa Fluor® 488

    Alexa Fluor® 488 Anti-GFAP antibody [EPR1034Y] - Rat IgG2a (Chimeric)

  • 519 Alexa Fluor® 488

    Alexa Fluor® 488 Anti-GFAP antibody [EPR1034Y] - Mouse IgG2a (Chimeric)

  • 421 Alexa Fluor® 405

    Alexa Fluor® 405 Anti-GFAP antibody [EPR1034Y] - Astrocyte Marker

  • 665 Alexa Fluor® 647

    Alexa Fluor® 647 Anti-GFAP antibody [EPR1034Y] - Astrocyte Marker

  • 565 Alexa Fluor® 555

    Alexa Fluor® 555 Anti-GFAP antibody [EPR1034Y] - Astrocyte Marker

  • 603 Alexa Fluor® 568

    Alexa Fluor® 568 Anti-GFAP antibody [EPR1034Y] - Astrocyte Marker

  • 519 Alexa Fluor® 488

    Alexa Fluor® 488 Anti-GFAP antibody [EPR1034Y] - Astrocyte Marker

  • 617 Alexa Fluor® 594

    Alexa Fluor® 594 Anti-GFAP antibody [EPR1034Y] - Astrocyte Marker

  • 578 PE

    PE Anti-GFAP antibody [EPR1034Y] - Astrocyte Marker

  • 660 APC

    APC Anti-GFAP antibody [EPR1034Y] - Astrocyte Marker

  • HRP

    HRP Anti-GFAP antibody [EPR1034Y] - Astrocyte Marker

  • Biotin

    Biotin Anti-GFAP antibody [EPR1034Y] - Astrocyte Marker

  • 665 Alexa Fluor® 647

    Alexa Fluor® 647 Anti-GFAP antibody [EPR1034Y] - Mouse IgG1 Chimeric

Key facts

Host species

Rabbit

Clonality

Monoclonal

Clone number

EPR1034Y

Isotype

IgG

Carrier free

Yes

Reacts with

Mouse, Rat, Human

Applications

IHC-Fr, IHC-P, ICC/IF, Flow Cyt (Intra), mIHC, WB, IP

applications

Immunogen

The exact immunogen used to generate this antibody is proprietary information.

Reactivity data

{ "title": "Reactivity Data", "filters": { "stats": ["", "Species", "Dilution Info", "Notes"], "tabs": { "all-applications": {"fullname" : "All Applications", "shortname": "All Applications"}, "mIHC" : {"fullname" : "Multiplex immunohistochemistry", "shortname":"mIHC"}, "IHCP" : {"fullname" : "Immunohistochemistry (Formalin/PFA-fixed paraffin-embedded sections)", "shortname":"IHC-P"}, "ICCIF" : {"fullname" : "Immunocytochemistry/ Immunofluorescence", "shortname":"ICC/IF"}, "IP" : {"fullname" : "Immunoprecipitation", "shortname":"IP"}, "WB" : {"fullname" : "Western blot", "shortname":"WB"}, "IHCFr" : {"fullname" : "Immunohistochemistry (Frozen sections)", "shortname":"IHC-Fr"}, "FlowCytIntra" : {"fullname" : "Flow Cytometry (Intracellular)", "shortname":"Flow Cyt (Intra)"} }, "product-promise": { "all": "all", "testedAndGuaranteed": "tested", "guaranteed": "expected", "predicted": "predicted", "notRecommended": "not-recommended" } }, "values": { "Human": { "mIHC-species-checked": "testedAndGuaranteed", "mIHC-species-dilution-info": "", "mIHC-species-notes": "<p></p>", "IHCP-species-checked": "testedAndGuaranteed", "IHCP-species-dilution-info": "", "IHCP-species-notes": "<p></p>", "ICCIF-species-checked": "guaranteed", "ICCIF-species-dilution-info": "", "ICCIF-species-notes": "", "IP-species-checked": "guaranteed", "IP-species-dilution-info": "", "IP-species-notes": "", "WB-species-checked": "guaranteed", "WB-species-dilution-info": "", "WB-species-notes": "<p></p>", "IHCFr-species-checked": "guaranteed", "IHCFr-species-dilution-info": "", "IHCFr-species-notes": "", "FlowCytIntra-species-checked": "guaranteed", "FlowCytIntra-species-dilution-info": "", "FlowCytIntra-species-notes": "<p></p>" }, "Mouse": { "mIHC-species-checked": "testedAndGuaranteed", "mIHC-species-dilution-info": "", "mIHC-species-notes": "<p></p>", "IHCP-species-checked": "guaranteed", "IHCP-species-dilution-info": "", "IHCP-species-notes": "", "ICCIF-species-checked": "testedAndGuaranteed", "ICCIF-species-dilution-info": "", "ICCIF-species-notes": "<p></p>", "IP-species-checked": "guaranteed", "IP-species-dilution-info": "", "IP-species-notes": "", "WB-species-checked": "guaranteed", "WB-species-dilution-info": "", "WB-species-notes": "<p></p>", "IHCFr-species-checked": "guaranteed", "IHCFr-species-dilution-info": "", "IHCFr-species-notes": "<p></p>", "FlowCytIntra-species-checked": "guaranteed", "FlowCytIntra-species-dilution-info": "", "FlowCytIntra-species-notes": "<p></p>" }, "Rat": { "mIHC-species-checked": "testedAndGuaranteed", "mIHC-species-dilution-info": "", "mIHC-species-notes": "<p></p>", "IHCP-species-checked": "guaranteed", "IHCP-species-dilution-info": "", "IHCP-species-notes": "", "ICCIF-species-checked": "guaranteed", "ICCIF-species-dilution-info": "", "ICCIF-species-notes": "", "IP-species-checked": "testedAndGuaranteed", "IP-species-dilution-info": "", "IP-species-notes": "<p></p>", "WB-species-checked": "guaranteed", "WB-species-dilution-info": "", "WB-species-notes": "<p></p>", "IHCFr-species-checked": "testedAndGuaranteed", "IHCFr-species-dilution-info": "", "IHCFr-species-notes": "<p></p>", "FlowCytIntra-species-checked": "guaranteed", "FlowCytIntra-species-dilution-info": "", "FlowCytIntra-species-notes": "<p></p>" } } }

Product details

What is this antibody validated in?
Anti-GFAP antibody [EPR1034Y] - BSA and Azide free (ab218309) is a rabbit recombinant monoclonal antibody and is validated for use in Western Blot (WB), Flow Cytometry (Intra), Flow Cytometry (Flow Cyt), Immunoprecipitation (IP), Immunohistochemistry (IHC-P), Immunohistochemistry (IHC-Fr), Immunocytochemistry/immunofluorescence (ICC/IF), Multiplex IHC (mIHC) in Human, Mouse, Rat samples.

What is the molecular weight of GFAP?
Anti-GFAP [EPR1034Y] - BSA and Azide free (ab218309) specifically detects a band for GFAP (UniProt: P14136) at a molecular weight of 50kDa.

Trial sizes available!
Test your antibody or perform pre-screening before committing to a larger quantity. Sold in 10µl. Discover our selection of trial-size antibodies.

Other related products
We have a range of other formats of antibody clone [EPR1034Y] also available for your convenience: ab68428, Alexa Fluor® 488 - ab194324, Alexa Fluor® 647 - ab194325, Alexa Fluor® 594 - ab201732, Alexa Fluor® 555 - ab201735, Alexa Fluor® 568 - ab201736, Alexa Fluor® 405 - ab206586, Carrier free - ab218309, ab279289, ab279290, ab279291, Carrier free - ab279301, Carrier free - ab279302, Carrier free - ab279303, PE - ab303005, APC - ab303006, HRP - ab303007, Alkaline Phosphatase - ab308965, Alexa Fluor® 647 - ab313596, Biotin - ab314264, Alexa Fluor® 488 - ab317669, Alexa Fluor® 647 - ab317720, Alexa Fluor® 647 - ab317721, Alexa Fluor® 488 - ab317762, Alexa Fluor® 488 - ab319022, ab323239, Carrier free - ab323248

Patented technology
Our RabMAb® technology is a patented hybridoma-based technology for making rabbit monoclonal antibodies. For details on our patents, please refer to RabMAb® patents.

What are the advantages of a recombinant monoclonal antibody?
This product is a recombinant monoclonal antibody, which offers several advantages including:

  • - High batch-to-batch consistency and reproducibility
  • - Improved sensitivity and specificity
  • - Long-term security of supply
  • - Animal-free batch production

For more information, read more on recombinant antibodies.

Conjugation ready
Our carrier-free antibodies are typically supplied in a PBS-only formulation, purified and free of BSA, sodium azide and glycerol. This conjugation-ready format is designed for use with fluorochromes, metal isotopes, oligonucleotides, and enzymes, which makes them ideal for antibody labelling, functional and cell-based assays, flow-based assays (e.g. mass cytometry) and Multiplex Imaging applications.

Use our conjugation kits for antibody conjugates that are ready-to-use in as little as 20 minutes with 1 minute hands-on-time and 100% antibody recovery: available for fluorescent dyes, HRP, biotin and gold.

Compatibility
This product is compatible with the Maxpar® Antibody Labeling Kit from Fluidigm, without the need for antibody preparation. Maxpar® is a trademark of Fluidigm Canada Inc.

Properties and storage information

Form
Liquid
Purification technique
Affinity purification Protein A
Storage buffer
pH: 7.2 - 7.4 Constituents: PBS
Shipped at conditions
Blue Ice
Appropriate short-term storage conditions
+4°C
Appropriate long-term storage conditions
+4°C
Storage information
Do Not Freeze

Product protocols

For this product, it's our understanding that no specific protocols are required. You can visit:

Target data

GFAP, a class-III intermediate filament, is a cell-specific marker that, during the development of the central nervous system, distinguishes astrocytes from other glial cells.
See full target information GFAP

Publications (9)

Recent publications for all applications. Explore the full list and refine your search

Developmental cell 59:869-881.e6 PubMed38359832

2024

Multimodal mass spectrometry imaging identifies cell-type-specific metabolic and lipidomic variation in the mammalian liver.

Applications

mIHC

Species

Mouse

Hua Tian,Presha Rajbhandari,Jay Tarolli,Aubrianna M Decker,Taruna V Neelakantan,Tina Angerer,Fereshteh Zandkarimi,Helen Remotti,Gilles Frache,Nicholas Winograd,Brent R Stockwell

Neuro-oncology 25:1236-1248 PubMed36689332

2023

GBMdeconvoluteR accurately infers proportions of neoplastic and immune cell populations from bulk glioblastoma transcriptomics data.

Applications

Unspecified application

Species

Unspecified reactive species

Shoaib Ajaib,Disha Lodha,Steven Pollock,Gemma Hemmings,Martina A Finetti,Arief Gusnanto,Aruna Chakrabarty,Azzam Ismail,Erica Wilson,Frederick S Varn,Bethany Hunter,Andrew Filby,Asa A Brockman,David McDonald,Roel G W Verhaak,Rebecca A Ihrie,Lucy F Stead

Anatomical record (Hoboken, N.J. : 2007) 304:2506-2520 PubMed34319000

2021

Effect of Schwann cell transplantation combined with electroacupuncture on axonal regeneration and remyelination in rats with spinal cord injury.

Applications

Unspecified application

Species

Unspecified reactive species

Chengfang Tan,Cheng Yang,Hui Liu,Chenglin Tang,Siqin Huang

Laboratory investigation; a journal of technical methods and pathology 99:1056-1067 PubMed30573871

2018

Luminex-based quantification of Alzheimer's disease neuropathologic change in formalin-fixed post-mortem human brain tissue.

Applications

Unspecified application

Species

Unspecified reactive species

C Dirk Keene,Angela M Wilson,Mitchell D Kilgore,Lauren T Bruner,Nadia O Postupna,Martin Darvas

Molecular vision 22:970-89 PubMed27559293

2016

Expression of the type VI intermediate filament proteins CP49 and filensin in the mouse lens epithelium.

Applications

Unspecified application

Species

Unspecified reactive species

Paul FitzGerald,Ning Sun,Brad Shibata,John F Hess

Journal of cerebral blood flow and metabolism : of 37:1080-1094 PubMed27207167

2016

Partial white and grey matter protection with prolonged infusion of recombinant human erythropoietin after asphyxia in preterm fetal sheep.

Applications

Unspecified application

Species

Unspecified reactive species

Guido Wassink,Joanne O Davidson,Simerdeep K Dhillon,Mhoyra Fraser,Robert Galinsky,Laura Bennet,Alistair J Gunn

BBA clinical 3:126-34 PubMed26673877

2015

Increased cerebrospinal fluid osteopontin levels and its involvement in macrophage infiltration in neuromyelitis optica.

Applications

Unspecified application

Species

Unspecified reactive species

Yoshinobu Kariya,Yukiko Kariya,Toshie Saito,Shuhei Nishiyama,Takashi Honda,Keiko Tanaka,Mari Yoshida,Kazuo Fujihara,Yasuhiro Hashimoto

Behavioural brain research 227:7-11 PubMed22061798

2011

Long-term effects of neonatal stress on adult conditioned place preference (CPP) and hippocampal neurogenesis.

Applications

Unspecified application

Species

Unspecified reactive species

Sarah L Hays,Ronald J McPherson,Sandra E Juul,Gerard Wallace,Abigail G Schindler,Charles Chavkin,Christine A Gleason

FASEB journal : official publication of the Federa 25:1519-30 PubMed21248240

2011

Carbon monoxide protects against oxidant-induced apoptosis via inhibition of Kv2.1.

Applications

Unspecified application

Species

Unspecified reactive species

Mark L Dallas,John P Boyle,Carol J Milligan,Rachael Sayer,Talitha L Kerrigan,Connor McKinstry,Peiyuan Lu,Jamel Mankouri,Mark Harris,Jason L Scragg,Hugh A Pearson,Chris Peers
View all publications

Product promise

We are committed to supporting your work with high-quality reagents, and we're here for you every step of the way. In the unlikely event that one of our products does not perform as expected, you're protected by our Product Promise.
For full details, please see our Terms & Conditions

Please note: All products are 'FOR RESEARCH USE ONLY. NOT FOR USE IN DIAGNOSTIC OR THERAPEUTIC PROCEDURES'.

For licensing inquiries, please contact partnerships@abcam.com