JavaScript is disabled in your browser. Please enable JavaScript to view this website.
AB279302

Anti-GFAP antibody [EPR1034Y] - Mouse IgG2a (Chimeric) - BSA and Azide free

Be the first to review this product! Submit a review

|

(1 Publication)

Mouse Recombinant Monoclonal GFAP antibody. Carrier free. Suitable for IHC-P, ICC, IP, WB, IHC-Fr, Flow Cyt (Intra) and reacts with Human, Mouse, Rat samples. Cited in 1 publication.

View Alternative Names

Glial fibrillary acidic protein, GFAP

7 Images
Immunohistochemistry (Formalin/PFA-fixed paraffin-embedded sections) - Anti-GFAP antibody [EPR1034Y] - Mouse IgG2a (Chimeric) - BSA and Azide free (AB279302)
  • IHC-P

Lab

Immunohistochemistry (Formalin/PFA-fixed paraffin-embedded sections) - Anti-GFAP antibody [EPR1034Y] - Mouse IgG2a (Chimeric) - BSA and Azide free (AB279302)

This data was produced using ab279290, the same clone in a different formulation.

IHC image of GFAP staining in a section of formalin-fixed paraffin-embedded normal human cerebral cortex performed on a Leica BONDTM system using the standard protocol F.

The section was pre-treated using heat mediated antigen retrieval with sodium citrate buffer (pH6, epitope retrieval solution 1) for 20mins. The section was then incubated with ab279290, 1μg/ml, for 15 mins at room temperature. A rabbit anti-mouse IgG2a, was added for 8 mins at room temperature and detected using an HRP conjugated goat anti-rabbit compact polymer system. DAB was used as the chromogen.

The section was then counterstained with haematoxylin and mounted with DPX. The inset secondary-only control image is taken from an identical assay without primary antibody.
For other IHC staining systems (automated and non-automated) customers should optimize variable parameters such as antigen retrieval conditions, primary antibody concentration and antibody incubation times.

Flow Cytometry (Intracellular) - Anti-GFAP antibody [EPR1034Y] - Mouse IgG2a (Chimeric) - BSA and Azide free (AB279302)
  • Flow Cyt (Intra)

Supplier Data

Flow Cytometry (Intracellular) - Anti-GFAP antibody [EPR1034Y] - Mouse IgG2a (Chimeric) - BSA and Azide free (AB279302)

This data was produced using ab279290, the same clone in a different formulation.

Flow cytometric analysis of 4% paraformaldehyde fixed 90% methanol permeabilized rat primary neural/glia cells labelling GFAP with ab279290 at 1/1000 dilution (0.1μg)/ Right compared with a Mouse monoclonal IgG isotype control/ Left. Goat Anti-Mouse IgG (Alexa Fluor® 647, ab150119) at 1/2000 dilution was used as the secondary antibody.

Immunocytochemistry - Anti-GFAP antibody [EPR1034Y] - Mouse IgG2a (Chimeric) - BSA and Azide free (AB279302)
  • ICC

Supplier Data

Immunocytochemistry - Anti-GFAP antibody [EPR1034Y] - Mouse IgG2a (Chimeric) - BSA and Azide free (AB279302)

This data was developed using ab279290, the same antibody clone in a different buffer formulation.

Immunocytochemical analysis of 4% PFA-fixed, 0.1% Triton X-100 permeabilized mouse neural/glia tissue labeling GFAP with ab279290 at 1/50 (16 μg/ml) dilution followed by ab98736 Goat Anti-Mouse IgG (DyLight® 488) pre-adsorbed at 1/1000 dilution (Green). Positive staining on mouse primary astrocytes is observed. The nuclear counterstain was DAPI (Blue).

Counterstain : ab207165 anti-GFAP rabbit mAb at 1/1000 dilution with secondary antibody ab150088 Goat Anti-Rabbit IgG H&L (Alexa Fluor® 594) pre-adsorbed at 1/1000 dilution.

Negative controls : ab279290 with secondary ab150080 at 1/500 dilution; and ab207165 at 1/1000 dilution with secondary ab98376 at 1/1000 dilution

Immunohistochemistry (Frozen sections) - Anti-GFAP antibody [EPR1034Y] - Mouse IgG2a (Chimeric) - BSA and Azide free (AB279302)
  • IHC-Fr

Lab

Immunohistochemistry (Frozen sections) - Anti-GFAP antibody [EPR1034Y] - Mouse IgG2a (Chimeric) - BSA and Azide free (AB279302)

Immunohistochemical analysis of 4% PFA-fixed, 0.2% Triton X-100 permeabilized fresh frozen mouse cerebrum tissue labeling GFAP with ab279290 at 1/200 (10 µg/ml) dilution followed by ab150113 Goat Anti-Mouse IgG H&L (Alexa Fluor® 488) at 1/1000 (2μg/mL) dilution. Positive staining on mouse cerebrum is observed. The nuclear counterstain was DAPI (blue).

Secondary antibody control : Secondary antibody is ab150113 Goat Anti-Mouse IgG H&L (Alexa Fluor® 488) at 1/1000 dilution.

This data was developed using ab279290, the same antibody clone in a different buffer formulation.

Immunohistochemistry (Frozen sections) - Anti-GFAP antibody [EPR1034Y] - Mouse IgG2a (Chimeric) - BSA and Azide free (AB279302)
  • IHC-Fr

Lab

Immunohistochemistry (Frozen sections) - Anti-GFAP antibody [EPR1034Y] - Mouse IgG2a (Chimeric) - BSA and Azide free (AB279302)

Immunohistochemical analysis of 4% PFA-fixed, 0.2% Triton X-100 permeabilized fresh frozen rat cerebrum tissue labeling GFAP with ab279290 at 1/200 (10 µg/ml) dilution followed by ab150113 Goat Anti-Mouse IgG H&L (Alexa Fluor® 488) at 1/1000 (2μg/mL) dilution. Positive staining on rat cerebrum is observed. The nuclear counterstain was DAPI (blue).

Secondary antibody control : Secondary antibody is ab150113 Goat Anti-Mouse IgG H&L (Alexa Fluor® 488) at 1/1000 dilution.

This data was developed using ab279290, the same antibody clone in a different buffer formulation.

Immunoprecipitation - Anti-GFAP antibody [EPR1034Y] - Mouse IgG2a (Chimeric) - BSA and Azide free (AB279302)
  • IP

Supplier Data

Immunoprecipitation - Anti-GFAP antibody [EPR1034Y] - Mouse IgG2a (Chimeric) - BSA and Azide free (AB279302)

This data was produced using ab279290, the same clone in a different formulation.

GFAP was immunoprecipitated from 0.35 mg rat brain tissue lysate 10 μg with ab279290 at 1/30 dilution (2μg in 0.35mg lysates). Western blot was performed on the immunoprecipitate using ab279290 at 1/1000 dilution. mouse IgG for IP (HRP) (ab131368) was used at 1/5000 dilution.

Lane 1 : Rat brain tissue lysate 10μg.

Lane 2 : ab279290 IP in rat brain tissue lysate.

Lane 3 : Mouse monoclonal IgG2a (ab18413) instead of ab279290 in rat brain tissue lysate.

Blocking and dilution buffer and concentration : 5% NFDM/TBST.

Exposure time : 23 seconds.

All lanes:

Immunoprecipitation - Anti-GFAP antibody [EPR1034Y] - Astrocyte marker - Mouse IgG2a (Chimeric) (<a href='/en-us/products/primary-antibodies/gfap-antibody-epr1034y-astrocyte-marker-mouse-igg2a-chimeric-ab279290'>ab279290</a>)

Predicted band size: 49 kDa

Observed band size: 50 kDa

false

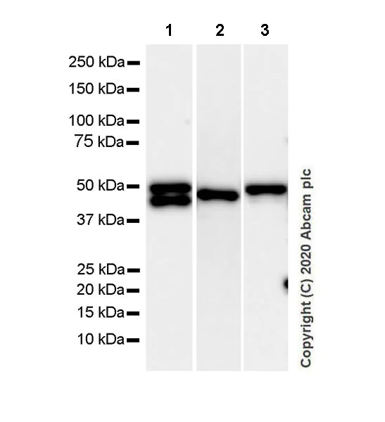
Western blot - Anti-GFAP antibody [EPR1034Y] - Mouse IgG2a (Chimeric) - BSA and Azide free (AB279302)
  • WB

Supplier Data

Western blot - Anti-GFAP antibody [EPR1034Y] - Mouse IgG2a (Chimeric) - BSA and Azide free (AB279302)

This data was produced using ab279290, the same clone in a different formulation.

Blocking/Dilution buffer : 5% NFDM/TBST.

The molecular weight observed is consistent with the literature (PMID : 824020, 2294, 6340792).

Exposure times : Lane 1 : 3.25 seconds; Lane 2 : 48 seconds; Lane 3 : 10 seconds.

All lanes:

Western blot - Anti-GFAP antibody [EPR1034Y] - Astrocyte marker - Mouse IgG2a (Chimeric) (<a href='/en-us/products/primary-antibodies/gfap-antibody-epr1034y-astrocyte-marker-mouse-igg2a-chimeric-ab279290'>ab279290</a>) at 1/1000 dilution

Lane 1:

Human brain tissue lysate at 20 µg

Lane 2:

Mouse brain tissue lysate at 20 µg

Lane 3:

Rat brain tissue lysate at 20 µg

Secondary

All lanes:

Peroxidase-Conjugated Goat anti-Mouse IgG (H+L) at 1/5000 dilution

Predicted band size: 49 kDa

Observed band size: 40-50 kDa

false

  • Unconjugated

    Anti-GFAP antibody [EPR1034Y] - Astrocyte marker - Mouse IgG2a (Chimeric)

  • 665 Alexa Fluor® 647

    Alexa Fluor® 647 Anti-GFAP antibody [EPR1034Y] - Mouse IgG2a (Chimeric)

  • 665 Alexa Fluor® 647

    Alexa Fluor® 647 Anti-GFAP antibody [EPR1034Y] - Rat IgG2a (Chimeric)

  • 519 Alexa Fluor® 488

    Alexa Fluor® 488 Anti-GFAP antibody [EPR1034Y] - Mouse IgG1 (Chimeric)

  • 519 Alexa Fluor® 488

    Alexa Fluor® 488 Anti-GFAP antibody [EPR1034Y] - Mouse IgG2a (Chimeric)

Key facts

Host species

Mouse

Clonality

Monoclonal

Clone number

EPR1034Y

Isotype

IgG2a

Carrier free

Yes

Reacts with

Mouse, Rat, Human

Applications

ICC, IHC-P, IHC-Fr, IP, Flow Cyt (Intra), WB

applications

Immunogen

The exact immunogen used to generate this antibody is proprietary information.

Reactivity data

{ "title": "Reactivity Data", "filters": { "stats": ["", "Species", "Dilution Info", "Notes"], "tabs": { "all-applications": {"fullname" : "All Applications", "shortname": "All Applications"}, "IHCP" : {"fullname" : "Immunohistochemistry (Formalin/PFA-fixed paraffin-embedded sections)", "shortname":"IHC-P"}, "ICC" : {"fullname" : "Immunocytochemistry", "shortname":"ICC"}, "IP" : {"fullname" : "Immunoprecipitation", "shortname":"IP"}, "WB" : {"fullname" : "Western blot", "shortname":"WB"}, "IHCFr" : {"fullname" : "Immunohistochemistry (Frozen sections)", "shortname":"IHC-Fr"}, "FlowCytIntra" : {"fullname" : "Flow Cytometry (Intracellular)", "shortname":"Flow Cyt (Intra)"} }, "product-promise": { "all": "all", "testedAndGuaranteed": "tested", "guaranteed": "expected", "predicted": "predicted", "notRecommended": "not-recommended" } }, "values": { "Human": { "IHCP-species-checked": "testedAndGuaranteed", "IHCP-species-dilution-info": "", "IHCP-species-notes": "<p></p>", "ICC-species-checked": "guaranteed", "ICC-species-dilution-info": "", "ICC-species-notes": "", "IP-species-checked": "guaranteed", "IP-species-dilution-info": "", "IP-species-notes": "", "WB-species-checked": "testedAndGuaranteed", "WB-species-dilution-info": "", "WB-species-notes": "<p></p>", "IHCFr-species-checked": "guaranteed", "IHCFr-species-dilution-info": "", "IHCFr-species-notes": "", "FlowCytIntra-species-checked": "guaranteed", "FlowCytIntra-species-dilution-info": "", "FlowCytIntra-species-notes": "" }, "Mouse": { "IHCP-species-checked": "guaranteed", "IHCP-species-dilution-info": "", "IHCP-species-notes": "", "ICC-species-checked": "testedAndGuaranteed", "ICC-species-dilution-info": "1/50", "ICC-species-notes": "<p></p>", "IP-species-checked": "guaranteed", "IP-species-dilution-info": "", "IP-species-notes": "", "WB-species-checked": "testedAndGuaranteed", "WB-species-dilution-info": "", "WB-species-notes": "<p></p>", "IHCFr-species-checked": "testedAndGuaranteed", "IHCFr-species-dilution-info": "", "IHCFr-species-notes": "<p>Heat mediated antigen retrieval using sodium citrate buffer (10mM citrate pH 6.0 + 0.05% Tween-20).</p>", "FlowCytIntra-species-checked": "guaranteed", "FlowCytIntra-species-dilution-info": "", "FlowCytIntra-species-notes": "" }, "Rat": { "IHCP-species-checked": "guaranteed", "IHCP-species-dilution-info": "", "IHCP-species-notes": "", "ICC-species-checked": "guaranteed", "ICC-species-dilution-info": "", "ICC-species-notes": "", "IP-species-checked": "testedAndGuaranteed", "IP-species-dilution-info": "", "IP-species-notes": "<p></p>", "WB-species-checked": "testedAndGuaranteed", "WB-species-dilution-info": "", "WB-species-notes": "<p></p>", "IHCFr-species-checked": "testedAndGuaranteed", "IHCFr-species-dilution-info": "", "IHCFr-species-notes": "<p></p>", "FlowCytIntra-species-checked": "testedAndGuaranteed", "FlowCytIntra-species-dilution-info": "", "FlowCytIntra-species-notes": "<p></p>" } } }

Product details

ab279302 is the carrier free version of ab279290.

This mouse monoclonal chimeric antibody has been engineered from a RabMAb parent antibody (ab68428). By necessity, some rabbit sequence is retained as part of the variable domain. When multiplexing with other rabbit-derived antibodies, using cross absorbed Fc-reactive secondary antibodies are recommended.

Conjugation ready
Our carrier-free antibodies are typically supplied in a PBS-only formulation, purified and free of BSA, sodium azide and glycerol. This conjugation-ready format is designed for use with fluorochromes, metal isotopes, oligonucleotides, and enzymes, which makes them ideal for antibody labelling, functional and cell-based assays, flow-based assays (e.g. mass cytometry) and Multiplex Imaging applications.

Use our conjugation kits for antibody conjugates that are ready-to-use in as little as 20 minutes with 1 minute hands-on-time and 100% antibody recovery: available for fluorescent dyes, HRP, biotin and gold.

Compatibility
This product is compatible with the Maxpar® Antibody Labeling Kit from Fluidigm, without the need for antibody preparation. Maxpar® is a trademark of Fluidigm Canada Inc.

Properties and storage information

Form
Liquid
Purification technique
Affinity purification Protein A
Storage buffer
pH: 7.2 - 7.4 Constituents: PBS
Shipped at conditions
Blue Ice
Appropriate short-term storage conditions
+4°C
Appropriate long-term storage conditions
+4°C

Product protocols

For this product, it's our understanding that no specific protocols are required. You can visit:

Target data

GFAP, a class-III intermediate filament, is a cell-specific marker that, during the development of the central nervous system, distinguishes astrocytes from other glial cells.
See full target information GFAP

Publications (1)

Recent publications for all applications. Explore the full list and refine your search

Pharmaceuticals (Basel, Switzerland) 16: PubMed37631068

2023

Gypenoside-14 Reduces Depression via Downregulation of the Nuclear Factor Kappa B (NF-kB) Signaling Pathway on the Lipopolysaccharide (LPS)-Induced Depression Model.

Applications

Unspecified application

Species

Unspecified reactive species

Yaqun Jiang,Xiang Cheng,Ming Zhao,Tong Zhao,Mengya Zhang,Zibi Shi,Xiangpei Yue,Yanan Geng,Jiayue Gao,Chengbo Wang,Junli Yang,Lingling Zhu
View all publications

Product promise

We are committed to supporting your work with high-quality reagents, and we're here for you every step of the way. In the unlikely event that one of our products does not perform as expected, you're protected by our Product Promise.
For full details, please see our Terms & Conditions

Please note: All products are 'FOR RESEARCH USE ONLY. NOT FOR USE IN DIAGNOSTIC OR THERAPEUTIC PROCEDURES'.

For licensing inquiries, please contact partnerships@abcam.com