JavaScript is disabled in your browser. Please enable JavaScript to view this website.
AB283862

Anti-GFAP antibody [RM1003] - BSA and Azide free

Be the first to review this product! Submit a review

|

(0 Publication)

Rabbit Recombinant Multiclonal GFAP antibody. Carrier free. Suitable for ICC/IF, IP, WB, IHC-P, IHC-Fr, Flow Cyt (Intra) and reacts with Rat, Mouse, Human samples.

View Alternative Names

Glial fibrillary acidic protein, GFAP

11 Images
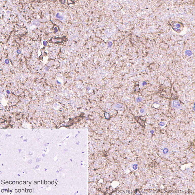
Immunohistochemistry (Formalin/PFA-fixed paraffin-embedded sections) - Anti-GFAP antibody [RM1003] - BSA and Azide free (AB283862)
  • IHC-P

Lab

Immunohistochemistry (Formalin/PFA-fixed paraffin-embedded sections) - Anti-GFAP antibody [RM1003] - BSA and Azide free (AB283862)

This data was developed using ab278054, the same antibody clone in a different buffer formulation.Immunohistochemical analysis of paraffin-embedded human cerebrum tissue labeling GFAP with ab278054 at 1/2000 (0.235 µg/ml) dilution followed by ready to use Rabbit specific IHC polymer detection kit HRP/DAB (ab209101). Positive staining on human cerebrum. The section was incubated with ab278054 for 30 mins at room temperature. The immunostaining was performed on a Leica Biosystems BOND® RX instrument. Counterstained with Hematoxylin.

Secondary antibody only control : Secondary antibody is a ready to use Rabbit specific IHC polymer detection kit HRP/DAB (ab209101).

Heat mediated antigen retrieval with Tris-EDTA buffer (pH 9.0, epitope retrieval solution2) for 20 mins.

Immunocytochemistry/ Immunofluorescence - Anti-GFAP antibody [RM1003] - BSA and Azide free (AB283862)
  • ICC/IF

Lab

Immunocytochemistry/ Immunofluorescence - Anti-GFAP antibody [RM1003] - BSA and Azide free (AB283862)

Immunofluorescence staining of GFAP using ab278054 in primary rat hippocampal mixed glia, (prepared from P2 rat hippocampal brain area, obtained from Transnetyx Tissue by BrainBits, LLC, cat.no. SDPHP4m), DIV4. The cells were fixed with 100% MeOH (5 min), permeabilized with 0.1% Triton-X-100 (in PBS) for 5 mins and then blocked with 1% BSA/10% normal goat serum/0.3M glycine in 0.1% PBS-Tween for 1h. The cells were then incubated overnight at +4°C with ab278054 at 0.1 μg/ml and ab4674, Anti-GFAP antibody, at 1/1000 dilution. Cells were then incubated with ab150081, Goat Anti-Rabbit IgG H&L (Alexa Fluor® 488) preadsorbed at 1/1000 dilution (shown in green) and ab150176, Goat Anti-Chicken IgY H&L (Alexa Fluor® 594) preadsorbed at 1/1000 dilution (shown in red). Nuclear DNA was labelled with DAPI (shown in blue). Images were acquired with the Perkin Elmer Operetta HCA and a maximum intensity projection of confocal sections is shown. The antibody ab278054 gave comparable results using 4% formaldehyde fixation (10 min). This data was developed using ab278054, the same antibody clone in a different buffer formulation.

Immunohistochemistry (Formalin/PFA-fixed paraffin-embedded sections) - Anti-GFAP antibody [RM1003] - BSA and Azide free (AB283862)
  • IHC-P

Lab

Immunohistochemistry (Formalin/PFA-fixed paraffin-embedded sections) - Anti-GFAP antibody [RM1003] - BSA and Azide free (AB283862)

This data was developed using ab278054, the same antibody clone in a different buffer formulation.Immunohistochemical analysis of paraffin-embedded mouse cerebrum tissue labeling GFAP with ab278054 at 1/2000 (0.235 µg/ml) dilution followed by ready to use Rabbit specific IHC polymer detection kit HRP/DAB (ab209101). Positive staining on mouse cerebrum. The section was incubated with ab278054 for 30 mins at room temperature. The immunostaining was performed on a Leica Biosystems BOND® RX instrument. Counterstained with Hematoxylin.

Secondary antibody only control : Secondary antibody is a ready to use Rabbit specific IHC polymer detection kit HRP/DAB (ab209101).

Heat mediated antigen retrieval with Tris-EDTA buffer (pH 9.0, epitope retrieval solution2) for 20 mins.

Immunocytochemistry/ Immunofluorescence - Anti-GFAP antibody [RM1003] - BSA and Azide free (AB283862)
  • ICC/IF

Supplier Data

Immunocytochemistry/ Immunofluorescence - Anti-GFAP antibody [RM1003] - BSA and Azide free (AB283862)

This data was developed using ab278054, the same antibody clone in a different buffer formulation.Immunofluorescent analysis of 4% Paraformaldehyde-fixed, 0.1% TritonX-100 permeabilized mouse primary neural/glia cells labelling GFAP with ab278054 at 1/500 (0.938 µg/ml) dilution, followed by ab150077 Goat Anti-Rabbit IgG H&L (Alexa Fluor® 488) antibody at 1/1000 dilution (Green).
Confocal image showing cytoplasmic staining in mouse primary astrocytes. Confocal scanning Z step was set as 0.3 μm followed by image processing with maximum Z projection.

ab10062 Anti-GFAP mouse monoclonal antibody at 1/200 dilution, followed by ab150120 Goat Anti-Mouse IgG H&L (Alexa Fluor® 594) at a 1/500 dilution (Red) to counterstain. The nuclear counterstain was DAPI (Blue).

Negative control 1 : ab278054 at a 1/500 dilution followed by ab150120 at a 1/500 dilution.

Negative control 2 : ab10062 at a 1/500 dilution followed by ab150077 at a 1/1000 dilution.

Immunohistochemistry (Frozen sections) - Anti-GFAP antibody [RM1003] - BSA and Azide free (AB283862)
  • IHC-Fr

Lab

Immunohistochemistry (Frozen sections) - Anti-GFAP antibody [RM1003] - BSA and Azide free (AB283862)

This data was developed using ab278054, the same antibody clone in a different buffer formulation.Immunohistochemical analysis of 4% PFA-fixed, 0.2% Triton X-100 permeabilized mouse cerebrum tissue labeling GFAP with ab278054 at 1/700 (0.938 µg/ml) dilution followed by ab150077 Goat Anti-Rabbit IgG H&L (Alexa Fluor® 488) at a 1/1000 dilution. Nuclear counterstain is DAPI. Positive staining on mouse cerebrum.

Secondary antibody only control : Secondary antibody is ab150077 Goat Anti-Rabbit IgG H&L (Alexa Fluor® 488) used at a 1/1000 dilution.

Heat mediated antigen retrieval using sodium citrate buffer (10 mM citrate pH 6.0 + 0.05% Tween-20).

Flow Cytometry (Intracellular) - Anti-GFAP antibody [RM1003] - BSA and Azide free (AB283862)
  • Flow Cyt (Intra)

Supplier Data

Flow Cytometry (Intracellular) - Anti-GFAP antibody [RM1003] - BSA and Azide free (AB283862)

This data was developed using ab278054, the same antibody clone in a different buffer formulation.Flow Cytometry analysis of 4% paraformaldehyde-fixed, 90% methanol-permeabilized mouse primary brain cells labeling GFAP using ab278054 at a 1/500 dilution (0.1 µg) (Right panel) compared to Rabbit monoclonal IgG (ab172730) (Left panel).

Secondary antibody is Goat anti rabbit IgG (Alexa Fluor® 488, ab150077) used at a 1/2000 dilution.

Immunohistochemistry (Formalin/PFA-fixed paraffin-embedded sections) - Anti-GFAP antibody [RM1003] - BSA and Azide free (AB283862)
  • IHC-P

Lab

Immunohistochemistry (Formalin/PFA-fixed paraffin-embedded sections) - Anti-GFAP antibody [RM1003] - BSA and Azide free (AB283862)

This data was developed using ab278054, the same antibody clone in a different buffer formulation.Immunohistochemical analysis of paraffin-embedded rat cerebrum tissue labeling GFAP with ab278054 at 1/2000 (0.235 µg/ml) dilution followed by ready to use Rabbit specific IHC polymer detection kit HRP/DAB (ab209101). Positive staining on rat cerebrum. The section was incubated with ab278054 for 30 mins at room temperature. The immunostaining was performed on a Leica Biosystems BOND® RX instrument. Counterstained with Hematoxylin.

Secondary antibody only control : Secondary antibody is a ready to use Rabbit specific IHC polymer detection kit HRP/DAB (ab209101).

Heat mediated antigen retrieval with Tris-EDTA buffer (pH 9.0, epitope retrieval solution2) for 20 mins.

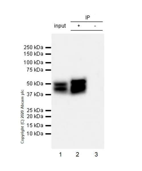
Immunoprecipitation - Anti-GFAP antibody [RM1003] - BSA and Azide free (AB283862)
  • IP

Lab

Immunoprecipitation - Anti-GFAP antibody [RM1003] - BSA and Azide free (AB283862)

This data was developed using ab278054, the same antibody clone in a different buffer formulation.GFAP was immunoprecipitated from 0.35 mg mouse brain lysate with ab278054 at 1/30 dilution (2µg in 0.35mg lysates). Western blot was performed on the immunoprecipitate using ab278054 at 1/1000 dilution. VeriBlot for IP Detection Reagent (HRP)(ab131366) was used at 1/5000 dilution.

Lane 1 : Mouse brain lysate 10 μg.
Lane 2 : ab278054 IP in mouse brain lysate.
Lane 3 : Rabbit monoclonal IgG (ab172730) instead of ab278054 in mouse brain lysate.

Blocking and dilution buffer and concentration : 5% NFDM/TBST.
Exposure time : 3 seconds.
The molecular weight observed is consistent with the literature (PMID : 824020; PMID : 2294; PMID : 6340792).

All lanes:

Immunoprecipitation - Anti-GFAP antibody [RM1003] - Astrocyte Marker (<a href='/en-us/products/primary-antibodies/gfap-antibody-rm1003-astrocyte-marker-ab278054'>ab278054</a>)

Predicted band size: 49 kDa

Observed band size: 40-54 kDa

false

Exposure time: 3s

Western blot - Anti-GFAP antibody [RM1003] - BSA and Azide free (AB283862)
  • WB

Lab

Western blot - Anti-GFAP antibody [RM1003] - BSA and Azide free (AB283862)

This data was developed using ab278054, the same antibody clone in a different buffer formulation.

Negative control : Human liver. (PMID : 25975510).

The molecular weight observed is consistent with the literature (PMID : 25975510).

Blocking/Diluting buffer : 5% NFDM/TBST.

All lanes:

Western blot - Anti-GFAP antibody [RM1003] - Astrocyte Marker (<a href='/en-us/products/primary-antibodies/gfap-antibody-rm1003-astrocyte-marker-ab278054'>ab278054</a>) at 1/1000 dilution

Lane 1:

Human brain lysate at 20 µg

Lane 2:

Human liver lysate at 20 µg

Secondary

All lanes:

Western blot - Goat Anti-Rabbit IgG H&L (HRP) (<a href='/en-us/products/secondary-antibodies/goat-rabbit-igg-h-l-hrp-ab97051'>ab97051</a>) at 1/100000 dilution

Predicted band size: 49 kDa

Observed band size: 40-54 kDa

false

Exposure time: 3s

Western blot - Anti-GFAP antibody [RM1003] - BSA and Azide free (AB283862)
  • WB

Lab

Western blot - Anti-GFAP antibody [RM1003] - BSA and Azide free (AB283862)

This data was developed using ab278054, the same antibody clone in a different buffer formulation.

The molecular weight observed is consistent with the literature (PMID : 25975510).

Blocking/Dilution buffer : 5% NFDM/TBST.

All lanes:

Western blot - Anti-GFAP antibody [RM1003] - Astrocyte Marker (<a href='/en-us/products/primary-antibodies/gfap-antibody-rm1003-astrocyte-marker-ab278054'>ab278054</a>) at 1/1000 dilution

Lane 1:

Mouse brain lysate at 20 µg

Lane 2:

Rat brain lysate at 20 µg

Secondary

All lanes:

Western blot - Goat Anti-Rabbit IgG H&L (HRP) (<a href='/en-us/products/secondary-antibodies/goat-rabbit-igg-h-l-hrp-ab97051'>ab97051</a>) at 1/100000 dilution

Predicted band size: 49 kDa

Observed band size: 40-54 kDa

false

Exposure time: 3s

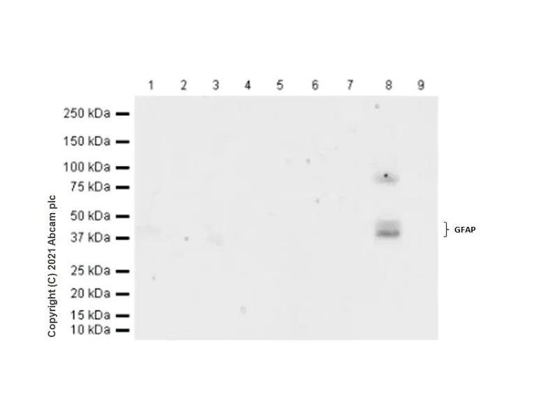
Western blot - Anti-GFAP antibody [RM1003] - BSA and Azide free (AB283862)
  • WB

Supplier Data

Western blot - Anti-GFAP antibody [RM1003] - BSA and Azide free (AB283862)

This data was developed using ab278054, the same antibody clone in a different buffer formulation.

Blocking and Diltuing buffer and concentration : 5% NFDM/TBST

GFAP is expressed primarily by astrocytes in the CNS as astrocytes marker. We have no suitable astrocyte for western blot testing.
U-87 MG and C6 were reported to express low level of GFAP (PMID : 23839947, PMID : 22096544, PMID : 20669222).

NIH/3T3, IMR-32, HeLa and PC-12 were reported as negative cell lines for GFAP (PMID : 824020; PMID : 2294; PMID : 6340792; PMID : 9466565, PMID : 7895062, PMID : 28700643, PMID : 19272755).

No literature was found to support the expression in SH-SY5Y, Neuro-2a and SK-N-BE (2) cell.

All lanes:

Western blot - Anti-GFAP antibody [RM1003] - BSA and Azide free (ab283862) at 1/1000 dilution

Lane 1:

U-87 MG (Human glioblastoma-astrocytoma epithelial cell) whole cell lysate at 20 µg

Lane 2:

SH-SY5Y (Human neuroblastoma epithelial cell) whole cell lysate at 20 µg

Lane 3:

SK-N-BE (2) (Human neuroblastoma neuroblast) whole cell lysate at 20 µg

Lane 4:

IMR-32 (Human lung fibroblast) whole cell lysate at 20 µg

Lane 5:

HeLa (Human cervix adenocarcinoma epithelial cell) whole cell lysate at 20 µg

Lane 6:

Neuro-2a (Mouse neuroblastoma neuroblast) whole cell lysate at 20 µg

Lane 7:

NIH/3T3 (Mouse embryonic fibroblast) whole cell lysate at 20 µg

Lane 8:

C6 (Rat glial tumor glial cell) whole cell lysate at 20 µg

Lane 9:

PC-12 (Rat adrenal gland pheochromocytoma) whole cell lysate at 20 µg

Secondary

All lanes:

Goat Anti-Rabbit IgG (HRP), specific to the non-reduced form of IgG at 1/20000 dilution

Predicted band size: 49 kDa

Observed band size: 40-54 kDa

false

Exposure time: 180s

  • Unconjugated

    Anti-GFAP antibody [RM1003] - Astrocyte Marker

Key facts

Host species

Rabbit

Clonality

Multiclonal

Clone number

RM1003

Isotype

IgG

Carrier free

Yes

Reacts with

Human, Mouse, Rat

Applications

WB, Flow Cyt (Intra), IP, ICC/IF, IHC-Fr, IHC-P

applications

Immunogen

The exact immunogen used to generate this antibody is proprietary information.

Reactivity data

{ "title": "Reactivity Data", "filters": { "stats": ["", "Species", "Dilution Info", "Notes"], "tabs": { "all-applications": {"fullname" : "All Applications", "shortname": "All Applications"}, "ICCIF" : {"fullname" : "Immunocytochemistry/ Immunofluorescence", "shortname":"ICC/IF"}, "IP" : {"fullname" : "Immunoprecipitation", "shortname":"IP"}, "WB" : {"fullname" : "Western blot", "shortname":"WB"}, "IHCP" : {"fullname" : "Immunohistochemistry (Formalin/PFA-fixed paraffin-embedded sections)", "shortname":"IHC-P"}, "IHCFr" : {"fullname" : "Immunohistochemistry (Frozen sections)", "shortname":"IHC-Fr"}, "FlowCytIntra" : {"fullname" : "Flow Cytometry (Intracellular)", "shortname":"Flow Cyt (Intra)"} }, "product-promise": { "all": "all", "testedAndGuaranteed": "tested", "guaranteed": "expected", "predicted": "predicted", "notRecommended": "not-recommended" } }, "values": { "Human": { "ICCIF-species-checked": "guaranteed", "ICCIF-species-dilution-info": "", "ICCIF-species-notes": "", "IP-species-checked": "guaranteed", "IP-species-dilution-info": "", "IP-species-notes": "", "WB-species-checked": "testedAndGuaranteed", "WB-species-dilution-info": "", "WB-species-notes": "<p></p>", "IHCP-species-checked": "testedAndGuaranteed", "IHCP-species-dilution-info": "", "IHCP-species-notes": "<p></p>", "IHCFr-species-checked": "guaranteed", "IHCFr-species-dilution-info": "", "IHCFr-species-notes": "", "FlowCytIntra-species-checked": "guaranteed", "FlowCytIntra-species-dilution-info": "", "FlowCytIntra-species-notes": "" }, "Mouse": { "ICCIF-species-checked": "testedAndGuaranteed", "ICCIF-species-dilution-info": "0.1-1 µg/mL", "ICCIF-species-notes": "<p></p>", "IP-species-checked": "testedAndGuaranteed", "IP-species-dilution-info": "", "IP-species-notes": "<p></p>", "WB-species-checked": "testedAndGuaranteed", "WB-species-dilution-info": "", "WB-species-notes": "<p></p>", "IHCP-species-checked": "testedAndGuaranteed", "IHCP-species-dilution-info": "", "IHCP-species-notes": "<p></p>", "IHCFr-species-checked": "testedAndGuaranteed", "IHCFr-species-dilution-info": "", "IHCFr-species-notes": "<p>Heat mediated antigen retrieval using sodium citrate buffer (10mM citrate pH 6.0 + 0.05% Tween-20).</p>", "FlowCytIntra-species-checked": "testedAndGuaranteed", "FlowCytIntra-species-dilution-info": "", "FlowCytIntra-species-notes": "<p></p>" }, "Rat": { "ICCIF-species-checked": "testedAndGuaranteed", "ICCIF-species-dilution-info": "0.1-1 µg/mL", "ICCIF-species-notes": "<p></p>", "IP-species-checked": "guaranteed", "IP-species-dilution-info": "", "IP-species-notes": "", "WB-species-checked": "testedAndGuaranteed", "WB-species-dilution-info": "", "WB-species-notes": "<p></p>", "IHCP-species-checked": "testedAndGuaranteed", "IHCP-species-dilution-info": "", "IHCP-species-notes": "<p></p>", "IHCFr-species-checked": "guaranteed", "IHCFr-species-dilution-info": "", "IHCFr-species-notes": "", "FlowCytIntra-species-checked": "guaranteed", "FlowCytIntra-species-dilution-info": "", "FlowCytIntra-species-notes": "" } } }

Product details

ab283862 is the carrier-free version of ab278054.

What are recombinant multiclonals?
Recombinant multiclonals are a mixture of recombinant antibodies co-expressed from a library of heavy and light chains. They offer several advantages including:

  • - The sensitivity of polyclonal antibodies by recognising multiple epitopes
  • - High batch-to-batch consistency and reproducibility
  • - Improved sensitivity and specificity
  • - Long-term security of supply
  • - Animal-free batch production

View our range of recombinant multiclonal antibodies.

Patented technology
Our RabMAb® technology is a patented hybridoma-based technology for making rabbit monoclonal antibodies. For details on our patents, please refer to RabMAb® patents.

Conjugation ready
Our carrier-free antibodies are typically supplied in a PBS-only formulation, purified and free of BSA, sodium azide and glycerol. This conjugation-ready format is designed for use with fluorochromes, metal isotopes, oligonucleotides, and enzymes, which makes them ideal for antibody labelling, functional and cell-based assays, flow-based assays (e.g. mass cytometry) and Multiplex Imaging applications.

Use our conjugation kits for antibody conjugates that are ready-to-use in as little as 20 minutes with 1 minute hands-on-time and 100% antibody recovery: available for fluorescent dyes, HRP, biotin and gold.

Compatibility
This product is compatible with the Maxpar® Antibody Labeling Kit from Fluidigm, without the need for antibody preparation. Maxpar® is a trademark of Fluidigm Canada Inc.

Properties and storage information

Form
Liquid
Purification technique
Affinity purification Protein A
Storage buffer
pH: 7.2 - 7.4 Constituents: PBS
Shipped at conditions
Blue Ice
Appropriate short-term storage conditions
+4°C
Appropriate long-term storage conditions
+4°C
Storage information
Do Not Freeze

Product protocols

For this product, it's our understanding that no specific protocols are required. You can visit:

Target data

GFAP, a class-III intermediate filament, is a cell-specific marker that, during the development of the central nervous system, distinguishes astrocytes from other glial cells.
See full target information GFAP

Product promise

We are committed to supporting your work with high-quality reagents, and we're here for you every step of the way. In the unlikely event that one of our products does not perform as expected, you're protected by our Product Promise.
For full details, please see our Terms & Conditions

Please note: All products are 'FOR RESEARCH USE ONLY. NOT FOR USE IN DIAGNOSTIC OR THERAPEUTIC PROCEDURES'.

For licensing inquiries, please contact partnerships@abcam.com