JavaScript is disabled in your browser. Please enable JavaScript to view this website.
AB32146

Anti-GFP antibody [E385]

  • RabMAb
  • Recombinant
  • Lab Essentials
  • 20ul selling size
  • What is this?

5

(4 Reviews)

|

(121 Publications)

Anti-GFP antibody [E385] (ab32146) is a rabbit monoclonal antibody detecting GFP in Western Blot.

- Biophysical QC for unrivalled batch-batch consistency
- Over 90 publications
- Trusted since 2006


See more GFP antibodies and assay kits

View Alternative Names

Green fluorescent protein, GFP

13 Images
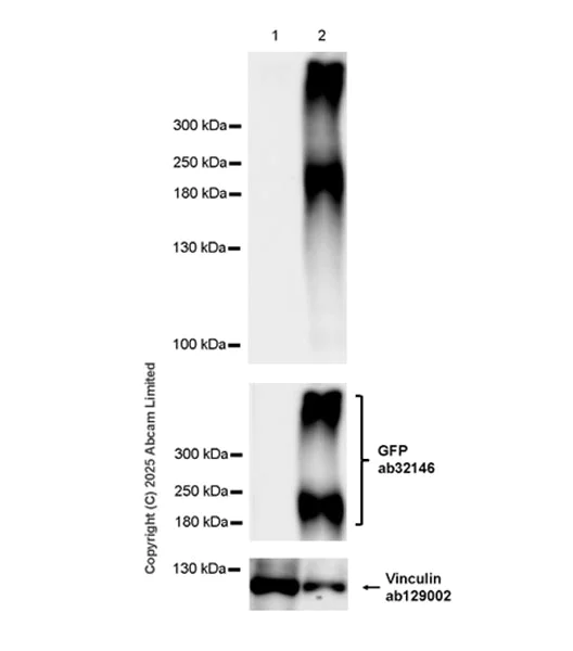
Western blot - Anti-GFP antibody [E385] (AB32146)
  • WB

Lab

Western blot - Anti-GFP antibody [E385] (AB32146)

Blocking and dilution buffer : 5% NFDM /TBST.

All lanes:

Western blot - Anti-GFP antibody [E385] (ab32146) at 1/20000 dilution

Lane 1:

HeLa whole cell lysate (negative control)

Lane 2:

HeLa whole cell lysate spike with recombinant proprietary tag-GFP fusion protein at 0.001 µg

Lane 3:

HeLa whole cell lysate spike with recombinant proprietary tag-GFP fusion protein at 0.002 µg

Lane 4:

HeLa whole cell lysate spike with recombinant proprietary tag-GFP fusion protein at 0.0025 µg

Secondary

All lanes:

Western blot - Goat Anti-Rabbit IgG H&L (HRP) (<a href='/en-us/products/secondary-antibodies/goat-rabbit-igg-h-l-hrp-ab97051'>ab97051</a>) at 1/20000 dilution

Predicted band size: 27 kDa

Observed band size: 27 kDa

false

Western blot - Anti-GFP antibody [E385] (AB32146)
  • WB

Supplier Data

Western blot - Anti-GFP antibody [E385] (AB32146)

Blocking and diluting buffer and concentration : 5% NFDM/TBST.

In Western blot, Anti-Vinculin antibody [EPR8185] - (ab129002) staining at 1/10000 dilution.

All lanes:

Western blot - Anti-Patched / PTCH1 antibody [EPR26072-78] (<a href='/en-us/products/primary-antibodies/patched-ptch1-antibody-epr26072-78-ab325234'>ab325234</a>) at 1/1000 dilution

Lane 1:

293T (human embryonic kidney epithelial cell) transfected with an empty vector containing a myc-His-tag® whole cell lysate at 10 µg

Lane 2:

293T transfected with PTCH1 (WT) expression vector containing an EGFP-Myc-tag whole cell lysate at 10 µg

Secondary

All lanes:

Western blot - Goat Anti-Rabbit IgG H&L (HRP) (<a href='/en-us/products/secondary-antibodies/goat-rabbit-igg-h-l-hrp-ab97051'>ab97051</a>) at 1/20000 dilution

Observed band size: 160-180 kDa,124 kDa,200 kDa

false

Exposure time: 6s

Western blot - Anti-GFP antibody [E385] (AB32146)
  • WB

Supplier Data

Western blot - Anti-GFP antibody [E385] (AB32146)

Blocking and diluting buffer and concentration : 5% NFDM/TBST.

In Western blot, Anti-Vinculin antibody [EPR8185] (ab129002) staining at 1/10000 dilution.

In Western blot, Anti-GFP antibody [E385] (ab32146) staining at 35kDa dilution.

All lanes:

Western blot - Anti-Rat Poly PR antibody [PERA534G] (<a href='/en-us/products/primary-antibodies/rat-poly-pr-antibody-pera534g-ab323367'>ab323367</a>) at 1/1000 dilution

Lane 1:

293T (human embryonic kidney epithelial cell) transfected with an empty vector containi a EGPF-tag whole cell lysate at 20 µg

Lane 2:

293T cells transfected with a poly (PR)20 expression vector containi a EGFP-tag whole cell lysate at 20 µg

Secondary

All lanes:

Western blot - Goat Anti-Rat IgG H&L (HRP) (<a href='/en-us/products/secondary-antibodies/goat-rat-igg-h-l-hrp-ab205720'>ab205720</a>) at 1/20000 dilution

Observed band size: 35 kDa,124 kDa

false

Exposure time: 1s

Western blot - Anti-GFP antibody [E385] (AB32146)
  • WB

Supplier Data

Western blot - Anti-GFP antibody [E385] (AB32146)

Blocking and diluting buffer and concentration : 5% NFDM/TBST.

This antibody does not cross-react with human PADI1, PADI3, PADI4 and PADI6.

In Western blot, Anti-GAPDH antibody [EPR16891] - Loading Control (ab181602) staining at 1/200000 dilution.

In Western blot, Anti-6X His tag® antibody [EPR20547] - ChIP Grade (ab213204) staining at 1/5000 dilution.

All lanes:

Western blot - Anti-PADI2 / PAD2 antibody [EPR26940-85] (<a href='/en-us/products/primary-antibodies/padi2-pad2-antibody-epr26940-85-ab322197'>ab322197</a>) at 1/1000 dilution

Lane 1:

293T cells transfected with an empty vector containing a myc-His-tag®, whole cell lysate at 20 µg

Lane 2:

293T cells transfected with a human PADI2 expression vector containing a GFP-tag, whole cell lysate at 20 µg

Lane 3:

293T cells transfected with a human PADI1 expression vector containing a GFP-tag, whole cell lysate at 20 µg

Lane 4:

293T cells transfected with a human PADI3 expression vector containing a GFP-tag, whole cell lysate at 20 µg

Lane 5:

293T cells transfected with a human PADI4 expression vector containing a myc-His-tag®, whole cell lysate at 20 µg

Lane 6:

293T cells transfected with a human PADI6 expression vector containing a myc-His-tag®, whole cell lysate at 20 µg

Secondary

All lanes:

Western blot - Goat Anti-Rabbit IgG H&L (HRP) (<a href='/en-us/products/secondary-antibodies/goat-rabbit-igg-h-l-hrp-ab97051'>ab97051</a>) at 1/100000 dilution

Observed band size: 110 kDa,36 kDa,75 kDa

false

Exposure time: 6s

Western blot - Anti-GFP antibody [E385] (AB32146)
  • WB

Supplier Data

Western blot - Anti-GFP antibody [E385] (AB32146)

Blocking and diluting buffer and concentration : 5% NFDM/TBST.

This antibody does not cross-react with human NUAK1.

In Western blot, Anti-Histone H3 antibody [EPR16987] - Nuclear Marker and ChIP Grade (ab176842) staining at 1/100000 dilution.

In Western blot, Anti-6X His tag® antibody [EPR20547] - ChIP Grade (ab213204) staining at 1/5000 dilution.

All lanes:

Western blot - Anti-NUAK2 antibody [EPR28627-717] (<a href='/en-us/products/primary-antibodies/nuak2-antibody-epr28627-717-ab322265'>ab322265</a>) at 1/1000 dilution

Lane 1:

293T (human embryonic kidney epithelial cell) cells transfected with an empty vector containing a His-tag whole cell lysate at 20 µg

Lane 2:

293T cells transfected with a human NUAK1 expression vector containing a His-tag, whole cell lysate at 20 µg

Lane 3:

293T cells transfected with a human NUAK2 expression vector containing a GFP-tag, whole cell lysate at 20 µg

Secondary

All lanes:

Western blot - Goat Anti-Rabbit IgG H&L (HRP) (<a href='/en-us/products/secondary-antibodies/goat-rabbit-igg-h-l-hrp-ab97051'>ab97051</a>) at 1/100000 dilution

Observed band size: 125 kDa,15 kDa,100 kDa

false

Exposure time: 3s

Western blot - Anti-GFP antibody [E385] (AB32146)
  • WB

Unknown

Western blot - Anti-GFP antibody [E385] (AB32146)

All lanes:

Western blot - Anti-GFP antibody [E385] (ab32146) at 1/20000 dilution

Lane 1:

HeLa cells lysate (negative control)

Lane 2:

HeLa cell lysate spike with recombinant Proprietary tag-GFP fusion protein at 0.1ng

Lane 3:

HeLa cell lysate spike with recombinant Proprietary tag-GFP fusion protein at 0.5ng

Lane 4:

HeLa cell lysate spike with recombinant Proprietary tag-GFP fusion protein at 1ng

Lane 5:

HeLa cell lysate spike with recombinant Proprietary tag-GFP fusion protein at 2ng

Lane 6:

HeLa cell lysate spike with recombinant Proprietary tag-GFP fusion protein at 2.5ng

Lane 7:

Proprietary tag-GFP 0.1mg/ml (positive control)

Predicted band size: 27 kDa

false

Western blot - Anti-GFP antibody [E385] (AB32146)
  • WB

Supplier Data

Western blot - Anti-GFP antibody [E385] (AB32146)

Blocking and diluting buffer and concentration : 5% NFDM/TBST.

Samples are non-boiled as boiling may cause protein aggregation.

In Western blot, Anti-Histone H3 antibody [EPR16987] - Nuclear Marker and ChIP Grade (ab176842) staining at 1/100000 dilution.

In Western blot, Anti-GFP antibody [E385] (ab32146) staining at 1/5000 dilution.

All lanes:

Western blot - Anti-GPCR GPRC5D antibody [EPR28376-41] (<a href='/en-us/products/primary-antibodies/gpcr-gprc5d-antibody-epr28376-41-ab315808'>ab315808</a>) at 1/1000 dilution

Lane 1:

293T cells transfected with an empty vector containing a GFP-tag, whole cell lysate at 20 µg

Lane 2:

293T cells transfected with a human GPCR GPRC5D expression vector containing a a GFP-tag, whole cell lysate at 20 µg

Secondary

All lanes:

Western blot - Goat Anti-Rabbit IgG H&L (HRP) (<a href='/en-us/products/secondary-antibodies/goat-rabbit-igg-h-l-hrp-ab97051'>ab97051</a>) at 1/100000 dilution

Observed band size: 33 kDa,15 kDa

false

Exposure time: 180s

Western blot - Anti-GFP antibody [E385] (AB32146)
  • WB

Supplier Data

Western blot - Anti-GFP antibody [E385] (AB32146)

Blocking and diluting buffer and concentration : 5% NFDM/TBST.

The identity of the bands higher than 100 kDa are unknown.

In Western blot, Anti-GAPDH antibody [EPR16891] - Loading Control (ab181602) staining at 1/200000 dilution.

All lanes:

Western blot - Anti-AKT (phospho T308) antibody [EPR26565-137] (<a href='/en-us/products/primary-antibodies/akt-phospho-t308-antibody-epr26565-137-ab324741'>ab324741</a>) at 1/5000 dilution

Lane 1:

Untreated 293T (human embryonic kidney epithelial cell) whole cell lysate at 20 µg

Lane 2:

293T treated with 100nM Calyculin A for 30min, whole cell lysate at 20 µg

Lane 3:

293T transfected with AKT1 (WT) expression vector containing a GFP-tag treated with 100nM Calyculin A for 30min, whole cell lysate at 20 µg

Lane 4:

293T transfected with AKT1 (T308A) expression vector containing a GFP-tag treated with 100nM Calyculin A for 30min, whole cell lysate at 20 µg

Secondary

All lanes:

Western blot - Goat Anti-Rabbit IgG H&L (HRP) (<a href='/en-us/products/secondary-antibodies/goat-rabbit-igg-h-l-hrp-ab97051'>ab97051</a>) at 1/100000 dilution

Observed band size: 60 kDa,36 kDa,86 kDa

false

Exposure time: 180s

Western blot - Anti-GFP antibody [E385] (AB32146)
  • WB

Supplier Data

Western blot - Anti-GFP antibody [E385] (AB32146)

Blocking and diluting buffer and concentration : 5% NFDM/TBST In Western blot, anti-GAPDH antibody (ab181602) loading control staining at 1/200000 dilution. Anti-GFP tag antibody (ab32146) staining at 1/1000 dilution. Exposure time : 10 seconds

All lanes:

Western blot - Anti-Vaccinia Virus antibody [EPR28236-80] (<a href='/en-us/products/primary-antibodies/vaccinia-virus-antibody-epr28236-80-ab312854'>ab312854</a>) at 1/1000 dilution

Lane 1:

293T cells transfected with an empty vector containi a GFP tag whole cell lysate at 20 µg

Lane 2:

293T transfected with a Virion membrane protein A21 expression vector containi a GFP tag whole cell lysate at 20 µg

Lane 3:

HeLa (human cervical adenocarcinoma epithelial cell) whole cell lysate at 20 µg

Lane 4:

NIH/3T3 (mouse embryonic fibroblast) whole cell lysate at 20 µg

Lane 5:

Human kidney tissue lysate at 20 µg

Lane 6:

Mouse kidney tissue lysate at 20 µg

Lane 7:

Rat kidney tissue lysate at 20 µg

Secondary

All lanes:

Western blot - Goat Anti-Rabbit IgG H&L (HRP) (<a href='/en-us/products/secondary-antibodies/goat-rabbit-igg-h-l-hrp-ab97051'>ab97051</a>) at 1/100000 dilution

Observed band size: 46 kDa

false

Exposure time: 10s

Western blot - Anti-GFP antibody [E385] (AB32146)
  • WB

Supplier Data

Western blot - Anti-GFP antibody [E385] (AB32146)

Blocking and diluting buffer and concentration : 5% NFDM/TBST.

This antibody does not cross-react with human PADI1, PADI2, PADI3 and PADI6.

In Western blot, Anti-GAPDH antibody [EPR16891] - Loading Control (ab181602) staining at 1/200000 dilution.

In Western blot, Anti-6X His tag® antibody [EPR20547] - ChIP Grade (ab213204) staining at 1/5000 dilution.

All lanes:

Western blot - Anti-PADI4 / PAD4 antibody [EPR26687-49] (<a href='/en-us/products/primary-antibodies/padi4-pad4-antibody-epr26687-49-ab315269'>ab315269</a>) at 1/1000 dilution

Lane 1:

293T cells transfected with an empty vector containing a myc-His-tag®, whole cell lysate at 20 µg

Lane 2:

293T cells transfected with a human PADI4 expression vector containing a myc-His-tag®, whole cell lysate at 20 µg

Lane 3:

293T cells transfected with a human PADI1 expression vector containing a GFP-tag, whole cell lysate at 20 µg

Lane 4:

293T cells transfected with a human PADI3 expression vector containing a GFP-tag, whole cell lysate at 20 µg

Lane 5:

293T cells transfected with a human PADI2 expression vector containing a GFP-tag, whole cell lysate at 20 µg

Lane 6:

293T cells transfected with a human PADI6 expression vector containing a myc-His-tag®, whole cell lysate at 20 µg

Secondary

All lanes:

Western blot - Goat Anti-Rabbit IgG H&L (HRP) (<a href='/en-us/products/secondary-antibodies/goat-rabbit-igg-h-l-hrp-ab97051'>ab97051</a>) at 1/100000 dilution

Observed band size: 75 kDa,36 kDa

false

Exposure time: 6s

Western blot - Anti-GFP antibody [E385] (AB32146)
  • WB

Supplier Data

Western blot - Anti-GFP antibody [E385] (AB32146)

Blocking and diluting buffer and concentration : 5% NFDM/TBST.

In Western blot, Anti-GAPDH antibody [EPR16891] - Loading Control (ab181602) staining at 1/200000 dilution.

In Western blot, Anti-GFP antibody [E385] (ab32146) staining at 1/5000 dilution.

All lanes:

Western blot - Anti-Smt3 antibody [EPR28614-578] (<a href='/en-us/products/primary-antibodies/smt3-antibody-epr28614-578-ab322402'>ab322402</a>) at 1/1000 dilution

Lane 1:

293T (human embryonic kidney epithelial cell) cells transfected with an empty vector containing a GFP-tag, whole cell lysate at 20 µg

Lane 2:

293T cells transfected with a Saccharomyces cerevisiae SMT3 expression vector containing a GFP-tag, whole cell lysate at 20 µg

Secondary

All lanes:

Western blot - Goat Anti-Rabbit IgG H&L (HRP) (<a href='/en-us/products/secondary-antibodies/goat-rabbit-igg-h-l-hrp-ab97051'>ab97051</a>) at 1/100000 dilution

Observed band size: 16 kDa,37 kDa,36 kDa

false

Exposure time: 10s

Western blot - Anti-GFP antibody [E385] (AB32146)
  • WB

Supplier Data

Western blot - Anti-GFP antibody [E385] (AB32146)

In Western blot, Anti-GAPDH antibody [EPR16891] - Loading Control (ab181602) staining at 1/200000 dilution.

In Western blot, Anti-GFP antibody [E385] (ab32146) staining at 1/10000 dilution.

In Western blot, Anti-TIM 4 antibody [EPR22304-3] (ab222093) staining at 1/1000 dilution.

All lanes:

Western blot - Anti-HA tag antibody [RM1058] (<a href='/en-us/products/primary-antibodies/ha-tag-antibody-rm1058-ab314237'>ab314237</a>) at 1/1000 dilution

Lane 1:

293T (human embryonic kidney) transfected with an empty vector (vector control), containing a myc-GFP-tag, whole cell lysate at 20 µg

Lane 2:

293T transfected with TIM 4 (WT) expression vector containing a HA-myc-His-GFP-tag and PDGFR TM domain, whole cell lysate at 20 µg

Secondary

All lanes:

Western blot - Goat Anti-Rabbit IgG H&L (HRP) (<a href='/en-us/products/secondary-antibodies/goat-rabbit-igg-h-l-hrp-ab97051'>ab97051</a>) at 1/100000 dilution

Observed band size: 78 kDa,36 kDa

false

Exposure time: 37s

Western blot - Anti-GFP antibody [E385] (AB32146)
  • WB

Supplier Data

Western blot - Anti-GFP antibody [E385] (AB32146)

In Western blot, Anti-GFP antibody [E385] (ab32146) staining at 1/10000 dilution.

All lanes:

Western blot - Anti-Cholera enterotoxin subunit B antibody [EPR27372-4] (<a href='/en-us/products/primary-antibodies/cholera-enterotoxin-subunit-b-antibody-epr27372-4-ab317738'>ab317738</a>) at 1/5000 dilution

Lane 1:

293T (human embryonic kidney epithelial cell) transfected with an empty vector containing a EGFP tag, whole cell lysate at 2 µg with NFDM/TBST

Lane 2:

293T transfected with a Cholera enterotoxin subunit B expression vector containing a EGFP tag, whole cell lysate 2 at 2 µg with NFDM/TBST

Secondary

All lanes:

Western blot - Goat Anti-Rabbit IgG H&L (HRP) (<a href='/en-us/products/secondary-antibodies/goat-rabbit-igg-h-l-hrp-ab97051'>ab97051</a>) at 1/100000 dilution

Observed band size: 40 kDa

false

Exposure time: 180s

  • HRP

    HRP Anti-GFP antibody [E385]

  • Carrier free

    Anti-GFP antibody [E385] - BSA and Azide free

Key facts

Host species

Rabbit

Clonality

Monoclonal

Clone number

E385

Isotype

IgG

Carrier free

No

Applications

WB

applications

Immunogen

The exact immunogen used to generate this antibody is proprietary information.

Specificity

This antibody is specific for GFP and GFP fusion proteins.

Reactivity data

{ "title": "Reactivity Data", "filters": { "stats": ["", "Species", "Dilution Info", "Notes"], "tabs": { "all-applications": {"fullname" : "All Applications", "shortname": "All Applications"}, "WB" : {"fullname" : "Western blot", "shortname":"WB"}, "ICCIF" : {"fullname" : "Immunocytochemistry/ Immunofluorescence", "shortname":"ICC/IF"}, "IP" : {"fullname" : "Immunoprecipitation", "shortname":"IP"} }, "product-promise": { "all": "all", "testedAndGuaranteed": "tested", "guaranteed": "expected", "predicted": "predicted", "notRecommended": "not-recommended" } }, "values": { "Tag": { "WB-species-checked": "testedAndGuaranteed", "WB-species-dilution-info": "1/1000 - 1/20000", "WB-species-notes": "<p>GFP - 27kDa, Proprietary tag/GFP fusion protein - 52kDa</p>", "ICCIF-species-checked": "notRecommended", "ICCIF-species-dilution-info": "", "ICCIF-species-notes": "<p></p>", "IP-species-checked": "notRecommended", "IP-species-dilution-info": "", "IP-species-notes": "<p></p>" } } }

Product details

What is this antibody validated in?
Anti-GFP antibody [E385] (ab32146) is a rabbit recombinant monoclonal antibody and is validated for use in Western Blot (WB). Trusted by the scientific community
Anti-GFP [E385] (ab32146) was first used in a scientific publication in 2006 and has been cited over 90 times in peer-reviewed journals.

Trial sizes available!
Test your antibody or perform pre-screening before committing to a larger quantity. Sold in 10µl. Discover our selection of trial-size antibodies.

Other related products
We have a range of other formats of antibody clone [E385] also available for your convenience: ab32146, HRP - ab190584, Carrier free - ab239807

Patented technology
Our RabMAb® technology is a patented hybridoma-based technology for making rabbit monoclonal antibodies. For details on our patents, please refer to RabMAb® patents.

What are the advantages of a recombinant monoclonal antibody?
This product is a recombinant monoclonal antibody, which offers several advantages including:

  • - High batch-to-batch consistency and reproducibility
  • - Improved sensitivity and specificity
  • - Long-term security of supply
  • - Animal-free batch production

For more information, read more on recombinant antibodies.

Properties and storage information

Form
Liquid
Purification technique
Affinity purification Protein A
Storage buffer
pH: 7.2 - 7.4 Preservative: 0.01% Sodium azide Constituents: PBS, 40% Glycerol (glycerin, glycerine), 0.05% BSA
Shipped at conditions
Blue Ice
Appropriate short-term storage duration
1-2 weeks
Appropriate short-term storage conditions
+4°C
Appropriate long-term storage conditions
-20°C
Aliquoting information
Upon delivery aliquot
Storage information
Avoid freeze / thaw cycle

Product protocols

For this product, it's our understanding that no specific protocols are required. You can visit:

Target data

Energy-transfer acceptor. Its role is to transduce the blue chemiluminescence of the protein aequorin into green fluorescent light by energy transfer. Fluoresces in vivo upon receiving energy from the Ca(2+)-activated photoprotein aequorin.
See full target information GFP

Publications (121)

Recent publications for all applications. Explore the full list and refine your search

Frontiers in plant science 16:1590359 PubMed40894500

2025

Involvement of the E2-like enzyme Atg3 in fungal development and virulence of .

Applications

Unspecified application

Species

Unspecified reactive species

Wenjiao Han,Yang Han,Yanru Ma,Guolei Yu,Xushi Jiang,Qian Yang,Na Liu,Caixia Wang,Baohua Li,Sen Lian,Weichao Ren

Nucleic acids research 53: PubMed40650980

2025

The Mgv1-Rlm1 axis orchestrates SAGA and SWI/SNF complexes at target promoters.

Applications

Unspecified application

Species

Unspecified reactive species

Chaoyun Xu,Yueqi Zhang,Chengqi Zhang,Li Chen,Yanni Yin,Yun Chen,Zunyong Liu,Zhonghua Ma

aBIOTECH 6:232-248 PubMed40641643

2025

Simultaneous knockout of multiple genes confers durable and broad-spectrum resistance to potyviruses in tobacco.

Applications

Unspecified application

Species

Unspecified reactive species

Yong Liu,Shuo Wang,Danyang Zhao,Chenglu Zhao,Haiqin Yu,Jianmin Zeng,Zhijun Tong,Cheng Yuan,Zhenghe Li,Changjun Huang

Cell death & disease 16:141 PubMed40016178

2025

PSMD14-mediated deubiquitination of CARM1 facilitates the proliferation and metastasis of hepatocellular carcinoma by inducing the transcriptional activation of FERMT1.

Applications

Unspecified application

Species

Unspecified reactive species

Jing Lu,Huita Wu,Ping Zhan,Yuyan Lu,Qinliang Fang,Changhong Luo,Fuqiang Wang,Jing Wen,Chengrong Xie,Zhenyu Yin

Nature communications 16:1683 PubMed39956820

2025

TaTCP6 is required for efficient and balanced utilization of nitrate and phosphorus in wheat.

Applications

Unspecified application

Species

Unspecified reactive species

Bin Liu,Weiya Xu,Yanxiao Niu,Qiuyuan Li,Beilu Cao,Jingyi Qi,Yidi Zhao,Yilan Zhou,Long Song,Dongkai Cui,Zhenshan Liu,Mingming Xin,Yingyin Yao,Mingshan You,Zhongfu Ni,Qixin Sun,Jiewen Xing

The Plant cell 37: PubMed39951393

2025

Decoupling the pleiotropic effects of VRT-A2 during reproductive development enhances wheat grain length and weight.

Applications

Unspecified application

Species

Unspecified reactive species

Jing Liu,Chaoqun Dong,Xiangqing Liu,Jinquan Guo,Lingling Chai,Weilong Guo,Zhongfu Ni,Qixin Sun,Jie Liu

Molecular therapy. Nucleic acids 36:102442 PubMed39897579

2025

Glutamine missense suppressor transfer RNAs inhibit polyglutamine aggregation.

Applications

Unspecified application

Species

Unspecified reactive species

Rasangi Tennakoon,Teija M I Bily,Farah Hasan,Sunidhi Syal,Aaron Voigt,Tugce B Balci,Kyle S Hoffman,Patrick O'Donoghue

Advanced science (Weinheim, Baden-Wurttemberg, Germany) 12:e2416484 PubMed39887931

2025

PRDX6 Prevents NNMT Ubiquitination and Degradation as a Nonenzymatic Mechanism to Promote Ovarian Cancer Progression.

Applications

Unspecified application

Species

Unspecified reactive species

Xingyun Wu,Li Luo,Mao Wang,Lixia Dong,Jiawu Fan,Yan Zeng,Sijia Li,Kui Wang

Acta biochimica et biophysica Sinica 57:805-817 PubMed39574164

2024

secretory protein VceA promotes FOXO1 entry into the nucleus to shift host cell metabolism toward glycolysis.

Applications

Unspecified application

Species

Unspecified reactive species

Shuzhu Cao,Xinxin Han,Xingmei Deng,Jia Guo,Liangbo Liu,Yu Zhang,Maratbek Suleimenov,Tianyi Zhao,Wei Li,Jian Ding,Songsong Xie,Hui Zhang

Cell death & disease 15:814 PubMed39528487

2024

PRMT1-mediated methylation of ME2 promotes hepatocellular carcinoma growth by inhibiting ubiquitination.

Applications

Unspecified application

Species

Unspecified reactive species

Shuai Zhang,Shuling Zhang,Baijuan Xia,Xueying Li,Hongyu Jiang,Su Feng,Yang Xiang,Ya Qiu,Shi Zhou,Peng Luo
View all publications

Product promise

We are committed to supporting your work with high-quality reagents, and we're here for you every step of the way. In the unlikely event that one of our products does not perform as expected, you're protected by our Product Promise.
For full details, please see our Terms & Conditions

Please note: All products are 'FOR RESEARCH USE ONLY. NOT FOR USE IN DIAGNOSTIC OR THERAPEUTIC PROCEDURES'.

For licensing inquiries, please contact partnerships@abcam.com