JavaScript is disabled in your browser. Please enable JavaScript to view this website.
AB239807

Anti-GFP antibody [E385] - BSA and Azide free

5

(1 Review)

|

(1 Publication)

Rabbit Recombinant Monoclonal GFP antibody. Carrier free. Suitable for WB.

See more GFP antibodies and assay kits

View Alternative Names

Green fluorescent protein, GFP

2 Images
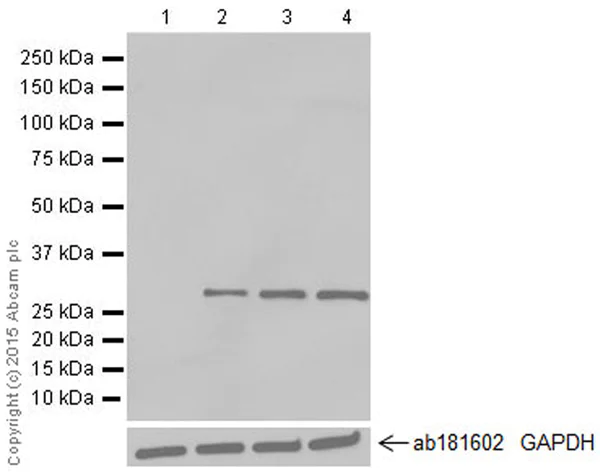
Western blot - Anti-GFP antibody [E385] - BSA and Azide free (AB239807)
  • WB

Lab

Western blot - Anti-GFP antibody [E385] - BSA and Azide free (AB239807)

This data was developed using ab32146, the same antibody clone in a different buffer formulation.

Blocking and dilution buffer : 5% NFDM/TBST.

All lanes:

Western blot - Anti-GFP antibody [E385] (<a href='/en-us/products/primary-antibodies/gfp-antibody-e385-ab32146'>ab32146</a>) at 1/20000 dilution

Lane 1:

HeLa whole cell lysate (negative control)

Lane 2:

HeLa whole cell lysate spike with recombinant proprietary tag-GFP fusion protein at 0.001 µg

Lane 3:

HeLa whole cell lysate spike with recombinant proprietary tag-GFP fusion protein at 0.002 µg

Lane 4:

HeLa whole cell lysate spike with recombinant proprietary tag-GFP fusion protein at 0.0025 µg

Secondary

All lanes:

Western blot - Goat Anti-Rabbit IgG H&L (HRP) (<a href='/en-us/products/secondary-antibodies/goat-rabbit-igg-h-l-hrp-ab97051'>ab97051</a>) at 1/20000 dilution

Predicted band size: 27 kDa

Observed band size: 27 kDa

false

Western blot - Anti-GFP antibody [E385] - BSA and Azide free (AB239807)
  • WB

Unknown

Western blot - Anti-GFP antibody [E385] - BSA and Azide free (AB239807)

This data was developed using ab32146, the same antibody clone in a different buffer formulation.

All lanes:

Western blot - Anti-GFP antibody [E385] (<a href='/en-us/products/primary-antibodies/gfp-antibody-e385-ab32146'>ab32146</a>) at 1/20000 dilution

Lane 1:

HeLa cells lysate (negative control)

Lane 2:

HeLa cell lysate spike with recombinant Proprietary tag-GFP fusion protein at 0.1ng

Lane 3:

HeLa cell lysate spike with recombinant Proprietary tag-GFP fusion protein at 0.5ng

Lane 4:

HeLa cell lysate spike with recombinant Proprietary tag-GFP fusion protein at 1ng

Lane 5:

HeLa cell lysate spike with recombinant Proprietary tag-GFP fusion protein at 2ng

Lane 6:

HeLa cell lysate spike with recombinant Proprietary tag-GFP fusion protein at 2.5ng

Lane 7:

Proprietary tag-GFP 0.1mg/ml (positive control)

Predicted band size: 27 kDa

false

Key facts

Host species

Rabbit

Clonality

Monoclonal

Clone number

E385

Isotype

IgG

Carrier free

Yes

Applications

WB

applications

Immunogen

The exact immunogen used to generate this antibody is proprietary information.

Specificity

This antibody is specific for GFP and GFP fusion proteins.

Reactivity data

{ "title": "Reactivity Data", "filters": { "stats": ["", "Species", "Dilution Info", "Notes"], "tabs": { "all-applications": {"fullname" : "All Applications", "shortname": "All Applications"}, "ICCIF" : {"fullname" : "Immunocytochemistry/ Immunofluorescence", "shortname":"ICC/IF"}, "IP" : {"fullname" : "Immunoprecipitation", "shortname":"IP"}, "WB" : {"fullname" : "Western blot", "shortname":"WB"} }, "product-promise": { "all": "all", "testedAndGuaranteed": "tested", "guaranteed": "expected", "predicted": "predicted", "notRecommended": "not-recommended" } }, "values": { "Tag": { "ICCIF-species-checked": "notRecommended", "ICCIF-species-dilution-info": "", "ICCIF-species-notes": "<p></p>", "IP-species-checked": "notRecommended", "IP-species-dilution-info": "", "IP-species-notes": "<p></p>", "WB-species-checked": "testedAndGuaranteed", "WB-species-dilution-info": "", "WB-species-notes": "<p>GFP - 27kDa, Proprietary tag/GFP fusion protein - 52kDa</p>" } } }

Product details

ab239807 is the carrier-free version of ab32146.

On the basis of low sequence homology, ab32146 is predicted to show no or limited cross-reactivity to RFP, YFP, BFP, and CFP.

Patented technology
Our RabMAb® technology is a patented hybridoma-based technology for making rabbit monoclonal antibodies. For details on our patents, please refer to RabMAb® patents.

What are the advantages of a recombinant monoclonal antibody?
This product is a recombinant monoclonal antibody, which offers several advantages including:

  • - High batch-to-batch consistency and reproducibility
  • - Improved sensitivity and specificity
  • - Long-term security of supply
  • - Animal-free batch production

For more information, read more on recombinant antibodies.

Conjugation ready
Our carrier-free antibodies are typically supplied in a PBS-only formulation, purified and free of BSA, sodium azide and glycerol. This conjugation-ready format is designed for use with fluorochromes, metal isotopes, oligonucleotides, and enzymes, which makes them ideal for antibody labelling, functional and cell-based assays, flow-based assays (e.g. mass cytometry) and Multiplex Imaging applications.

Use our conjugation kits for antibody conjugates that are ready-to-use in as little as 20 minutes with 1 minute hands-on-time and 100% antibody recovery: available for fluorescent dyes, HRP, biotin and gold.

Compatibility
This product is compatible with the Maxpar® Antibody Labeling Kit from Fluidigm, without the need for antibody preparation. Maxpar® is a trademark of Fluidigm Canada Inc.

Properties and storage information

Form
Liquid
Purification technique
Affinity purification Protein A
Storage buffer
pH: 7.2 - 7.4 Constituents: PBS
Shipped at conditions
Blue Ice
Appropriate short-term storage conditions
+4°C
Appropriate long-term storage conditions
+4°C
Storage information
Do Not Freeze

Product protocols

For this product, it's our understanding that no specific protocols are required. You can visit:

Target data

Energy-transfer acceptor. Its role is to transduce the blue chemiluminescence of the protein aequorin into green fluorescent light by energy transfer. Fluoresces in vivo upon receiving energy from the Ca(2+)-activated photoprotein aequorin.
See full target information GFP

Publications (1)

Recent publications for all applications. Explore the full list and refine your search

Biomedicines 12: PubMed39200236

2024

The Impact of DAXX, HJURP and CENPA Expression in Uveal Melanoma Carcinogenesis and Associations with Clinicopathological Parameters.

Applications

Unspecified application

Species

Unspecified reactive species

Alexandros Pergaris,Georgia Levidou,Georgios Mandrakis,Maria-Ioanna Christodoulou,Michail V Karamouzis,Jerzy Klijanienko,Stamatios Theocharis
View all publications

Product promise

We are committed to supporting your work with high-quality reagents, and we're here for you every step of the way. In the unlikely event that one of our products does not perform as expected, you're protected by our Product Promise.
For full details, please see our Terms & Conditions

Please note: All products are 'FOR RESEARCH USE ONLY. NOT FOR USE IN DIAGNOSTIC OR THERAPEUTIC PROCEDURES'.

For licensing inquiries, please contact partnerships@abcam.com