JavaScript is disabled in your browser. Please enable JavaScript to view this website.
AB300643

Anti-GFP antibody [EPR14104] - Chicken IgY (Chimeric)

  • BOND RX™ Validated
  • Recombinant
  • Lab Essentials
  • 20ul selling size
  • What is this?

Be the first to review this product! Submit a review

|

(2 Publications)

Chicken Recombinant Monoclonal GFP antibody. Suitable for WB, IHC-P, ICC/IF, Flow Cyt (Intra).

See more GFP antibodies and assay kits

View Alternative Names

Green fluorescent protein, GFP

9 Images
Immunohistochemistry (Formalin/PFA-fixed paraffin-embedded sections) - Anti-GFP antibody [EPR14104] - Chicken IgY (Chimeric) (AB300643)
  • IHC-P

Supplier Data

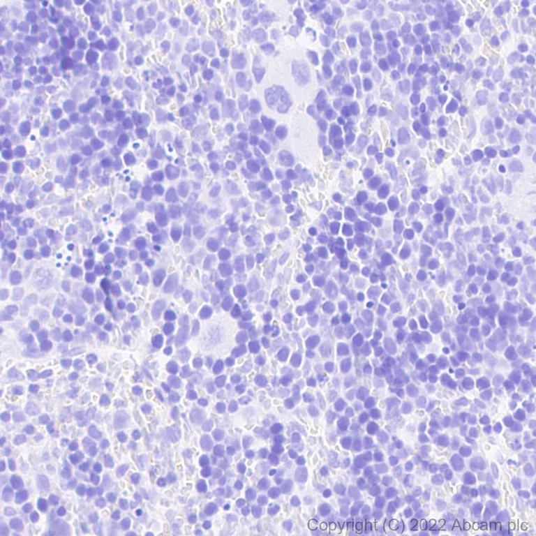
Immunohistochemistry (Formalin/PFA-fixed paraffin-embedded sections) - Anti-GFP antibody [EPR14104] - Chicken IgY (Chimeric) (AB300643)

Immunohistochemical analysis of paraffin-embedded human tonsil labeling GFP with ab300643 at 1/10000 dilution (0.996 µg/ml) followed by ready to use Leica DS9800 (BOND™ Polymer Refine Detection) kit. No staining on human tonsil. The section was incubated with ab300643 for 30 mins at room temperature followed by anti-chicken IgG antibody (ab97136) for 8 mins during the Leica DS9800 kit staining procedure. The immunostaining was performed on a Leica Biosystems BOND® RX instrument. Counterstained with Hematoxylin. Secondary antibody only control : Secondary antibody is a ready to use LeicaDS9800 (BOND™ Polymer Refine Detection). Heat mediated antigen retrieval with Citrate buffer (pH 6.0, epitope retrieval solution 1) for 20 mins.

Immunocytochemistry/ Immunofluorescence - Anti-GFP antibody [EPR14104] - Chicken IgY (Chimeric) (AB300643)
  • ICC/IF

Supplier Data

Immunocytochemistry/ Immunofluorescence - Anti-GFP antibody [EPR14104] - Chicken IgY (Chimeric) (AB300643)

Immunofluorescent analysis of 4% Paraformaldehyde fixed, 0.1% Triton X-100 permeabilized 293/GFP (human embryonic kidney epithelial cell) cells labeling GFP with ab300643 at 1/50 dilution followed by ab150175 Goat Anti-Chicken IgY H&L (Alexa Fluor® 647) preadsorbed secondary antibody at 1/1000 (2 μg/ml) dilution (red). Confocal image showing positive staining in 293/GFP cells. The nuclear counter stain is DAPI (blue).

Flow Cytometry (Intracellular) - Anti-GFP antibody [EPR14104] - Chicken IgY (Chimeric) (AB300643)
  • Flow Cyt (Intra)

Supplier Data

Flow Cytometry (Intracellular) - Anti-GFP antibody [EPR14104] - Chicken IgY (Chimeric) (AB300643)

Flow Cytometry (Intracellular) analysis of 293T transfected with GFP tagged Firefly Luciferase over expression vector labeling GFP (right) with ab300643 at a 1/500 dilution. Cells were fixed with 4% paraformaldehyde and permeabilized with 90% methanol. A Goat anti-Chicken IgY H&L (Alexa Fluor® 647, ab150175) was used as the secondary antibody at a 1/5000 dilution.  Chicken IgY Isotype control. (left)

Immunohistochemistry (Formalin/PFA-fixed paraffin-embedded sections) - Anti-GFP antibody [EPR14104] - Chicken IgY (Chimeric) (AB300643)
  • IHC-P

Supplier Data

Immunohistochemistry (Formalin/PFA-fixed paraffin-embedded sections) - Anti-GFP antibody [EPR14104] - Chicken IgY (Chimeric) (AB300643)

Immunohistochemical analysis of paraffin-embedded (A) HEK-293T transfected with GFP expression vector containing a his tag. (B) Wild type HEK-293T cells labeling GFP with ab300643 at 1/10000 dilution (0.996 µg/ml) followed by ready to use Leica DS9800 (BOND™ Polymer Refine Detection) kit. Positive staining on HEK-293T transfected with GFP expression vector containing a his tag (Image : A); No staining on Wild type HEK-293T cells (Image : B). The section was incubated with ab300643 for 30 mins at room temperature followed by anti-chicken IgG antibody (ab97136) for 8 mins during the LeicaDS9800 kit staining procedure. The immunostaining was performed on a Leica Biosystems BOND® RX instrument. Counterstained with Hematoxylin. Secondary antibody only control : Secondary antibody is ready to use LeicaDS9800 (BOND™ Polymer Refine Detection). Heat mediated antigen retrieval with Citrate buffer (pH 6.0, epitope retrieval solution 1) for 20 mins.

Immunocytochemistry/ Immunofluorescence - Anti-GFP antibody [EPR14104] - Chicken IgY (Chimeric) (AB300643)
  • ICC/IF

Supplier Data

Immunocytochemistry/ Immunofluorescence - Anti-GFP antibody [EPR14104] - Chicken IgY (Chimeric) (AB300643)

Immunofluorescent analysis of 4% Paraformaldehyde fixed, 0.1% Triton X-100 permeabilized HEK293T (human embryonic kidney epithelial cells) labeling GFP with ab300643 at 1/50 dilution followed by ab150175 Goat Anti-Chicken IgY H&L (Alexa Fluor® 647) preadsorbed secondary antibody at 1/1000 (2 μg/ml) dilution (red). Confocal image showing positive staining in HEK-293T cells transfected with a Firefly Luciferase expression vector containing a GFP tag. The nuclear counter stain is DAPI (blue).

Immunohistochemistry (Formalin/PFA-fixed paraffin-embedded sections) - Anti-GFP antibody [EPR14104] - Chicken IgY (Chimeric) (AB300643)
  • IHC-P

Supplier Data

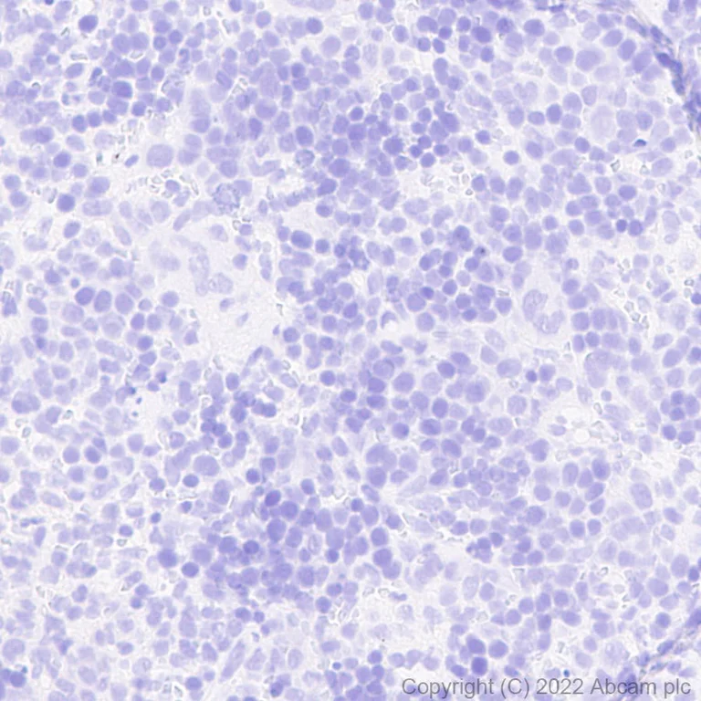
Immunohistochemistry (Formalin/PFA-fixed paraffin-embedded sections) - Anti-GFP antibody [EPR14104] - Chicken IgY (Chimeric) (AB300643)

Immunohistochemical analysis of paraffin-embedded mouse spleen labeling GFP with ab300643 at 1/10000 dilution (0.996 µg/ml) followed by ready to use Leica DS9800 (BOND™ Polymer Refine Detection) kit. No staining on mouse spleen. The section was incubated with ab300643 for 30 mins at room temperature followed by anti-chicken IgG antibody (ab97136) for 8 mins during the LeicaDS9800 kit staining procedure. The immunostaining was performed on a Leica Biosystems BOND® RX instrument. Counterstained with Hematoxylin. Secondary antibody only control : Secondary antibody is ready to use LeicaDS9800 (BOND™ Polymer Refine Detection). Heat mediated antigen retrieval with Citrate buffer (pH 6.0, epitope retrieval solution 1) for 20 mins.

Immunohistochemistry (Formalin/PFA-fixed paraffin-embedded sections) - Anti-GFP antibody [EPR14104] - Chicken IgY (Chimeric) (AB300643)
  • IHC-P

Supplier Data

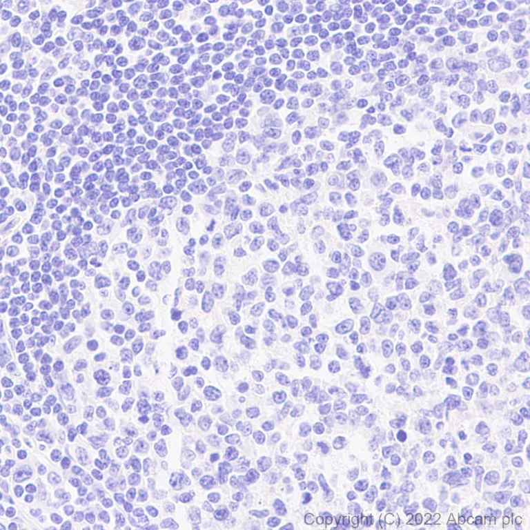
Immunohistochemistry (Formalin/PFA-fixed paraffin-embedded sections) - Anti-GFP antibody [EPR14104] - Chicken IgY (Chimeric) (AB300643)

Immunohistochemical analysis of paraffin-embedded rat spleen labeling GFP with ab300643 at 1/10000 dilution (0.996 µg/ml) followed by ready to use Leica DS9800 (BOND™ Polymer Refine Detection) kit. No staining on rat spleen. The section was incubated with ab300643 for 30 mins at room temperature followed by anti-chicken IgG antibody (ab97136) for 8 mins during the LeicaDS9800 kit staining procedure. The immunostaining was performed on a Leica Biosystems BOND® RX instrument. Counterstained with Hematoxylin. Secondary antibody only control : Secondary antibody is ready to use LeicaDS9800 (BOND™ Polymer Refine Detection). Heat mediated antigen retrieval with Citrate buffer (pH 6.0, epitope retrieval solution 1) for 20 mins.

Western blot - Anti-GFP antibody [EPR14104] - Chicken IgY (Chimeric) (AB300643)
  • WB

Supplier Data

Western blot - Anti-GFP antibody [EPR14104] - Chicken IgY (Chimeric) (AB300643)

Blocking / Diluting buffer and concentration : 5% NFDM/TBST Exposure time : 3.25 seconds

All lanes:

Western blot - Anti-GFP antibody [EPR14104] - Chicken IgY (Chimeric) (ab300643) at 1/1000 dilution

Lane 1:

Non-transfected 293T (human embryonic kidney epithelial cell) whole cell lysate at 20 µg

Lane 2:

GFP transfected 293 whole cell lysate at 20 µg

Secondary

All lanes:

Western blot - Goat Anti-Chicken IgY H&L (HRP) (<a href='/en-us/products/secondary-antibodies/goat-chicken-igy-h-l-hrp-ab6877'>ab6877</a>) at 1/20000 dilution

Observed band size: 27 kDa

false

Western blot - Anti-GFP antibody [EPR14104] - Chicken IgY (Chimeric) (AB300643)
  • WB

Supplier Data

Western blot - Anti-GFP antibody [EPR14104] - Chicken IgY (Chimeric) (AB300643)

In Western blot, anti-GAPDH antibody (ab181602) loading control staining.

Blocking and diluting buffer and concentration : 5% NFDM/TBST.

All lanes:

Western blot - Anti-GFP antibody [EPR14104] - Chicken IgY (Chimeric) (ab300643) at 1/1000 dilution

Lane 1:

293T (human embryonic kidney epithelial cell) whole cell lysate at 20 µg

Lane 2:

293T cells transfected with an empty vector whole cell lysate at 20 µg

Lane 3:

293T cells transfected with GFP tagged IFNA2 protein whole cell lysate at 20 µg

Secondary

All lanes:

Western blot - Goat Anti-Chicken IgY H&L (HRP) (<a href='/en-us/products/secondary-antibodies/goat-chicken-igy-h-l-hrp-ab6877'>ab6877</a>) at 1/20000 dilution

Observed band size: 50 kDa

false

Exposure time: 40s

Key facts

Host species

Chicken

Clonality

Monoclonal

Clone number

EPR14104

Isotype

IgY

Carrier free

No

Applications

WB, IHC-P, Flow Cyt (Intra), ICC/IF

applications

Immunogen

The exact immunogen used to generate this antibody is proprietary information.

Specificity

This product does not recognize RFP.

Reactivity data

{ "title": "Reactivity Data", "filters": { "stats": ["", "Species", "Dilution Info", "Notes"], "tabs": { "all-applications": {"fullname" : "All Applications", "shortname": "All Applications"}, "WB" : {"fullname" : "Western blot", "shortname":"WB"}, "IHCP" : {"fullname" : "Immunohistochemistry (Formalin/PFA-fixed paraffin-embedded sections)", "shortname":"IHC-P"}, "ICCIF" : {"fullname" : "Immunocytochemistry/ Immunofluorescence", "shortname":"ICC/IF"}, "FlowCytIntra" : {"fullname" : "Flow Cytometry (Intracellular)", "shortname":"Flow Cyt (Intra)"} }, "product-promise": { "all": "all", "testedAndGuaranteed": "tested", "guaranteed": "expected", "predicted": "predicted", "notRecommended": "not-recommended" } }, "values": { "Tag": { "WB-species-checked": "testedAndGuaranteed", "WB-species-dilution-info": "1/1000", "WB-species-notes": "<p></p>", "IHCP-species-checked": "testedAndGuaranteed", "IHCP-species-dilution-info": "1/10000", "IHCP-species-notes": "<p></p> Perform heat-mediated antigen retrieval with citrate buffer pH 6 before commencing with IHC staining protocol.", "ICCIF-species-checked": "testedAndGuaranteed", "ICCIF-species-dilution-info": "1/50", "ICCIF-species-notes": "<p></p>", "FlowCytIntra-species-checked": "testedAndGuaranteed", "FlowCytIntra-species-dilution-info": "1/500", "FlowCytIntra-species-notes": "<p></p>" }, "Transfected cell lysate - Human": { "WB-species-checked": "testedAndGuaranteed", "WB-species-dilution-info": "1/1000", "WB-species-notes": "<p></p>", "IHCP-species-checked": "notRecommended", "IHCP-species-dilution-info": "", "IHCP-species-notes": "", "ICCIF-species-checked": "notRecommended", "ICCIF-species-dilution-info": "", "ICCIF-species-notes": "", "FlowCytIntra-species-checked": "notRecommended", "FlowCytIntra-species-dilution-info": "", "FlowCytIntra-species-notes": "" } } }

Product details

This chicken monoclonal chimeric antibody has been engineered from a RabMAb parent antibody (ab183734). By necessity, some rabbit sequence is retained as part of the variable domain. When multiplexing with other rabbit-derived antibodies, using cross absorbed FC-reactive secondary antibodies are recommended.

What are the advantages of a recombinant monoclonal antibody?
This product is a recombinant monoclonal antibody, which offers several advantages including:

  • - High batch-to-batch consistency and reproducibility
  • - Improved sensitivity and specificity
  • - Long-term security of supply
  • - Animal-free batch production

For more information, read more on recombinant antibodies.

Properties and storage information

Form
Liquid
Purification technique
Affinity purification Thiophilic Resin
Storage buffer
pH: 7.2 - 7.4 Preservative: 0.01% Sodium azide Constituents: PBS, 40% Glycerol (glycerin, glycerine), 0.05% BSA
Shipped at conditions
Blue Ice
Appropriate short-term storage duration
1-2 weeks
Appropriate short-term storage conditions
+4°C
Appropriate long-term storage conditions
-20°C
Aliquoting information
Upon delivery aliquot
Storage information
Avoid freeze / thaw cycle

Product protocols

For this product, it's our understanding that no specific protocols are required. You can visit:

Target data

Energy-transfer acceptor. Its role is to transduce the blue chemiluminescence of the protein aequorin into green fluorescent light by energy transfer. Fluoresces in vivo upon receiving energy from the Ca(2+)-activated photoprotein aequorin.
See full target information GFP

Publications (2)

Recent publications for all applications. Explore the full list and refine your search

iScience 27:111285 PubMed39628570

2024

Circuit mechanism underlying fragmented sleep and memory deficits in 16p11.2 deletion mouse model of autism.

Applications

Unspecified application

Species

Unspecified reactive species

Ashley Choi,Bowon Kim,Eleanor Labriola,Alyssa Wiest,Yingqi Wang,Jennifer Smith,Hyunsoo Shin,Xi Jin,Isabella An,Jiso Hong,Hanna Antila,Steven Thomas,Janardhan P Bhattarai,Kevin Beier,Minghong Ma,Franz Weber,Shinjae Chung

Nature communications 14:7733 PubMed38007516

2023

Acetyl-CoA is a key molecule for nephron progenitor cell pool maintenance.

Applications

Unspecified application

Species

Unspecified reactive species

Fabiola Diniz,Nguyen Yen Nhi Ngo,Mariel Colon-Leyva,Francesca Edgington-Giordano,Sylvia Hilliard,Kevin Zwezdaryk,Jiao Liu,Samir S El-Dahr,Giovane G Tortelote
View all publications

Product promise

We are committed to supporting your work with high-quality reagents, and we're here for you every step of the way. In the unlikely event that one of our products does not perform as expected, you're protected by our Product Promise.
For full details, please see our Terms & Conditions

Please note: All products are 'FOR RESEARCH USE ONLY. NOT FOR USE IN DIAGNOSTIC OR THERAPEUTIC PROCEDURES'.

For licensing inquiries, please contact partnerships@abcam.com