JavaScript is disabled in your browser. Please enable JavaScript to view this website.
AB314657

Anti-GFP antibody [EPR28018-38] - BSA and Azide free

5

(1 Review)

|

(0 Publication)

Rabbit Recombinant Monoclonal GFP antibody. Carrier free. Suitable for Flow Cyt (Intra), IHC-P, ICC/IF, WB, IP.

See more GFP antibodies and assay kits

View Alternative Names

Green fluorescent protein, GFP

9 Images
Immunohistochemistry (Formalin/PFA-fixed paraffin-embedded sections) - Anti-GFP antibody [EPR28018-38] - BSA and Azide free (AB314657)
  • IHC-P

Supplier Data

Immunohistochemistry (Formalin/PFA-fixed paraffin-embedded sections) - Anti-GFP antibody [EPR28018-38] - BSA and Azide free (AB314657)

This data was developed using ab314656, the same antibody clone in a different buffer formulation.

Immunohistochemical analysis of paraffin-embedded (A) 293T (human embryonic kidney epithelial cell) transfected with an empty vector containing a GFP-tag (B) 293T transfected with an empty vector containing an EGFP-myc-tag (C) 293T transfected with an empty vector containing a myc-His-tag® tissue labeling GFP with ab314656 at 1/4000 (0.127 ug/ml) followed by a ready to use LeicaDS9800 (Bond™ Polymer Refine Detection). Positive staining on 293T transfected with an empty vector containing a GFP-tag cell pellets (A) and 293T transfected with an empty vector containing an EGFP-myc-tag cell pellets (B). No staining on 293T transfected with an empty vector containing a myc-His-tag cell pellets (C). The section was incubated with ab314656 for 30 mins at room temperature. The immunostaining was performed on a Leica Biosystems BOND® RX instrument. Counterstained with Hematoxylin.

Secondary antibody only control : Secondary antibody is a ready to use LeicaDS9800 (Bond™ Polymer Refine Detection).

Heat mediated antigen retrieval was performed with Tris-EDTA buffer (pH 9.0, Epitope Retrieval Solution2) for 20 mins.

Immunocytochemistry/ Immunofluorescence - Anti-GFP antibody [EPR28018-38] - BSA and Azide free (AB314657)
  • ICC/IF

Supplier Data

Immunocytochemistry/ Immunofluorescence - Anti-GFP antibody [EPR28018-38] - BSA and Azide free (AB314657)

This data was developed using ab314656, the same antibody clone in a different buffer formulation.

Immunofluorescent analysis of 4% Paraformaldehyde-fixed, 0.1% TritonX-100 permeabilized 293T (human embryonic kidney epithelial cell) cells labelling GFP with ab314656 at 1/50 (10.18 ug/ml) dilution, followed by ab150088 Goat Anti-Rabbit IgG H&L (Alexa Fluor® 594) preadsorbed (ab150088) antibody at 1/1000 (2 ug/mL) dilution (Green). Confocal image showing positive staining in 293T cells transfected with a empty expression vector containing a GFP tag. Image was taken with a confocal microscope(Leica-Microsystems, TCS SP8). The Nuclear counterstain was DAPI (Blue).

Secondary antibody only control : Secondary antibody is ab150088 Goat Anti-Rabbit IgG H&L (Alexa Fluor® 594) preadsorbed (ab150088) at 1/1000 (2 ug/mL) dilution.

Immunohistochemistry (Formalin/PFA-fixed paraffin-embedded sections) - Anti-GFP antibody [EPR28018-38] - BSA and Azide free (AB314657)
  • IHC-P

Supplier Data

Immunohistochemistry (Formalin/PFA-fixed paraffin-embedded sections) - Anti-GFP antibody [EPR28018-38] - BSA and Azide free (AB314657)

This data was developed using ab314656, the same antibody clone in a different buffer formulation.

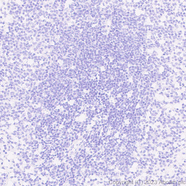
Immunohistochemical analysis of paraffin-embedded Human spleen tissue labeling GFP with ab314656 at 1/4000 (0.127 ug/ml) followed by a ready to use LeicaDS9800 (Bond™ Polymer Refine Detection). Negative control : No staining on human spleen. The section was incubated with ab314656 for 30 mins at room temperature. The immunostaining was performed on a Leica Biosystems BOND® RX instrument. Counterstained with Hematoxylin.

Secondary antibody only control : Secondary antibody is a ready to use LeicaDS9800 (Bond™ Polymer Refine Detection).

Heat mediated antigen retrieval was performed with Tris-EDTA buffer (pH 9.0, Epitope Retrieval Solution2) for 20 mins.

Flow Cytometry (Intracellular) - Anti-GFP antibody [EPR28018-38] - BSA and Azide free (AB314657)
  • Flow Cyt (Intra)

Supplier Data

Flow Cytometry (Intracellular) - Anti-GFP antibody [EPR28018-38] - BSA and Azide free (AB314657)

This data was developed using ab314656, the same antibody clone in a different buffer formulation.

Flow cytometric analysis of 4% paraformaldehyde fixed 90% methanol permeabilized Isotype (Left) / 293T cells transfected with a EGFP expression vector containing a EGFP tag (Right) cells labelling GFP with ab314656 at 1/500 dilution (0.1 ug)/Right (Red) compared with a Rabbit monoclonal isotype control - Alexa Fluor® 647 / Left isotype control and an unlabelled control (cells without incubation with primary antibody and secondary antibody) (Blue). A Goat anti-Rabbit IgG (Alexa Fluor® 647, ab150083) at 1/5000 dilution was used as the secondary antibody.

Immunohistochemistry (Formalin/PFA-fixed paraffin-embedded sections) - Anti-GFP antibody [EPR28018-38] - BSA and Azide free (AB314657)
  • IHC-P

Supplier Data

Immunohistochemistry (Formalin/PFA-fixed paraffin-embedded sections) - Anti-GFP antibody [EPR28018-38] - BSA and Azide free (AB314657)

This data was developed using ab314656, the same antibody clone in a different buffer formulation.

Immunohistochemical analysis of paraffin-embedded Rat spleen tissue labeling GFP with ab314656 at 1/4000 (0.127 ug/ml) followed by a ready to use LeicaDS9800 (Bond™ Polymer Refine Detection). Negative control : No staining on rat spleen. The section was incubated with ab314656 for 30 mins at room temperature. The immunostaining was performed on a Leica Biosystems BOND® RX instrument. Counterstained with Hematoxylin.

Secondary antibody only control : Secondary antibody is a ready to use LeicaDS9800 (Bond™ Polymer Refine Detection).

Heat mediated antigen retrieval was performed with Tris-EDTA buffer (pH 9.0, Epitope Retrieval Solution2) for 20 mins.

Immunohistochemistry (Formalin/PFA-fixed paraffin-embedded sections) - Anti-GFP antibody [EPR28018-38] - BSA and Azide free (AB314657)
  • IHC-P

Supplier Data

Immunohistochemistry (Formalin/PFA-fixed paraffin-embedded sections) - Anti-GFP antibody [EPR28018-38] - BSA and Azide free (AB314657)

This data was developed using ab314656, the same antibody clone in a different buffer formulation.

Immunohistochemical analysis of paraffin-embedded Mouse spleen tissue labeling GFP with ab314656 at 1/4000 (0.127 ug/ml) followed by a ready to use LeicaDS9800 (Bond™ Polymer Refine Detection). Negative control : No staining on mouse spleen. The section was incubated with ab314656 for 30 mins at room temperature. The immunostaining was performed on a Leica Biosystems BOND® RX instrument. Counterstained with Hematoxylin.

Secondary antibody only control : Secondary antibody is a ready to use LeicaDS9800 (Bond™ Polymer Refine Detection).

Heat mediated antigen retrieval was performed with Tris-EDTA buffer (pH 9.0, Epitope Retrieval Solution2) for 20 mins.

Immunoprecipitation - Anti-GFP antibody [EPR28018-38] - BSA and Azide free (AB314657)
  • IP

Supplier Data

Immunoprecipitation - Anti-GFP antibody [EPR28018-38] - BSA and Azide free (AB314657)

This data was developed using ab314656, the same antibody clone in a different buffer formulation.

GFP was immunoprecipitated from 0.35 mg 293T (human embryonic kidney epithelial cell) transfected with an empty vector containing a GFP-tag, whole cell lysate with ab314656 at 1/30 dilution (2ug in 0.35mg lysates). Western blot was performed on the immunoprecipitate using ab314656 at 1/1000 dilution. VeriBlot for IP secondary antibody(HRP)(ab131366) was used at 1/5000 dilution.

Lane 1 : 293T (human embryonic kidney epithelial cell) transfected with an empty vector containing a GFP-tag, whole cell lysate

Lane 2 : ab314656 IP in 293T (human embryonic kidney epithelial cell) transfected with an empty vector containing a GFP-tag, whole cell lysate

Lane 3 : Rabbit monoclonal IgG (ab172730) instead of ab314656 in 293T transfected with an empty vector containing a GFP-tag, whole cell lysate

Blocking and dilution buffer and concentration : 5% NFDM/TBST.

All lanes:

Immunoprecipitation - Anti-GFP antibody [EPR28018-38] (<a href='/en-us/products/primary-antibodies/gfp-antibody-epr28018-38-ab314656'>ab314656</a>) at 1/30 dilution

All lanes:

293T (human embryonic kidney epithelial cell) transfected with an empty vector containing a GFP-tag, whole cell lysate

Secondary

All lanes:

Immunoprecipitation - VeriBlot for IP Detection Reagent (HRP) (<a href='/en-us/products/reagents/veriblot-for-ip-detection-reagent-hrp-ab131366'>ab131366</a>) at 1/5000 dilution

false

Exposure time: 8s

Immunoprecipitation - Anti-GFP antibody [EPR28018-38] - BSA and Azide free (AB314657)
  • IP

Supplier Data

Immunoprecipitation - Anti-GFP antibody [EPR28018-38] - BSA and Azide free (AB314657)

This data was developed using ab314656, the same antibody clone in a different buffer formulation.

GFP was immunoprecipitated from 0.35 mg 293T (human embryonic kidney epithelial cell) transfected with an empty vector containing an EGFP-myc-tag, whole cell lysate with ab314656 at 1/30 dilution (2ug in 0.35mg lysates). Western blot was performed on the immunoprecipitate using ab314656 at 1/1000 dilution. VeriBlot for IP secondary antibody(HRP)(ab131366) was used at 1/5000 dilution.

Lane 1 : 293T (human embryonic kidney epithelial cell) transfected with an empty vector containing an EGFP-myc-tag, whole cell lysate

Lane 2 : ab314656 IP in 293T (human embryonic kidney epithelial cell) transfected with an empty vector containing an EGFP-myc-tag, whole cell lysate

Lane 3 : Rabbit monoclonal IgG (ab172730) instead of ab314656 in 293T transfected with an empty vector containing an EGFP-myc-tag, whole cell lysate

Blocking and dilution buffer and concentration : 5% NFDM/TBST.

All lanes:

Immunoprecipitation - Anti-GFP antibody [EPR28018-38] (<a href='/en-us/products/primary-antibodies/gfp-antibody-epr28018-38-ab314656'>ab314656</a>) at 1/30 dilution

All lanes:

293T (human embryonic kidney epithelial cell) transfected with an empty vector containing an EGFP-myc-tag, whole cell lysate

Secondary

All lanes:

Immunoprecipitation - VeriBlot for IP Detection Reagent (HRP) (<a href='/en-us/products/reagents/veriblot-for-ip-detection-reagent-hrp-ab131366'>ab131366</a>) at 1/5000 dilution

Observed band size: 26 kDa

false

Exposure time: 6s

Western blot - Anti-GFP antibody [EPR28018-38] - BSA and Azide free (AB314657)
  • WB

Supplier Data

Western blot - Anti-GFP antibody [EPR28018-38] - BSA and Azide free (AB314657)

This data was developed using314656, the same antibody clone in a different buffer formulation.

Blocking and diluting buffer and concentration : 5% NFDM/TBST,

In Western blot, Anti-GAPDH antibody [EPR16891] - Loading Control (ab181602) staining at 1/200000 dilution.

In Western blot, Anti-GFP antibody [EPR14104] (ab183734) staining at 1/5000 dilution.

All lanes:

Western blot - Anti-GFP antibody [EPR28018-38] (<a href='/en-us/products/primary-antibodies/gfp-antibody-epr28018-38-ab314656'>ab314656</a>) at 1/1000 dilution

Lane 1:

293T (human embryonic kidney epithelial cell) transfected with an empty vector containing a myc-His-tag®, whole cell lysate at 7 µg

Lane 2:

293T transfected with an empty vector containing an EGFP-myc-tag, whole cell lysate at 7 µg

Lane 3:

293T transfected with an empty vector containing a GFP-tag, whole cell lysate at 7 µg

Secondary

All lanes:

Western blot - Goat Anti-Rabbit IgG H&L (HRP) (<a href='/en-us/products/secondary-antibodies/goat-rabbit-igg-h-l-hrp-ab97051'>ab97051</a>) at 1/100000 dilution

Observed band size: 26 kDa,36 kDa

false

Exposure time: 3s

Key facts

Host species

Rabbit

Clonality

Monoclonal

Clone number

EPR28018-38

Isotype

IgG

Carrier free

Yes

Applications

Flow Cyt (Intra), WB, ICC/IF, IHC-P, IP

applications

Immunogen

The exact immunogen used to generate this antibody is proprietary information.

Reactivity data

{ "title": "Reactivity Data", "filters": { "stats": ["", "Species", "Dilution Info", "Notes"], "tabs": { "all-applications": {"fullname" : "All Applications", "shortname": "All Applications"}, "FlowCytIntra" : {"fullname" : "Flow Cytometry (Intracellular)", "shortname":"Flow Cyt (Intra)"}, "IHCP" : {"fullname" : "Immunohistochemistry (Formalin/PFA-fixed paraffin-embedded sections)", "shortname":"IHC-P"}, "ICCIF" : {"fullname" : "Immunocytochemistry/ Immunofluorescence", "shortname":"ICC/IF"}, "WB" : {"fullname" : "Western blot", "shortname":"WB"}, "IP" : {"fullname" : "Immunoprecipitation", "shortname":"IP"} }, "product-promise": { "all": "all", "testedAndGuaranteed": "tested", "guaranteed": "expected", "predicted": "predicted", "notRecommended": "not-recommended" } }, "values": { "Tag": { "FlowCytIntra-species-checked": "testedAndGuaranteed", "FlowCytIntra-species-dilution-info": "", "FlowCytIntra-species-notes": "<p></p>", "IHCP-species-checked": "testedAndGuaranteed", "IHCP-species-dilution-info": "", "IHCP-species-notes": "<p></p>", "ICCIF-species-checked": "testedAndGuaranteed", "ICCIF-species-dilution-info": "", "ICCIF-species-notes": "<p></p>", "WB-species-checked": "testedAndGuaranteed", "WB-species-dilution-info": "", "WB-species-notes": "<p></p>", "IP-species-checked": "testedAndGuaranteed", "IP-species-dilution-info": "", "IP-species-notes": "<p></p>" } } }

Product details

ab314657 is the carrier-free version of ab314656.

Patented technology
Our RabMAb® technology is a patented hybridoma-based technology for making rabbit monoclonal antibodies. For details on our patents, please refer to RabMAb® patents.

What are the advantages of a recombinant monoclonal antibody?
This product is a recombinant monoclonal antibody, which offers several advantages including:

  • - High batch-to-batch consistency and reproducibility
  • - Improved sensitivity and specificity
  • - Long-term security of supply
  • - Animal-free batch production

For more information, read more on recombinant antibodies.

Conjugation ready
Our carrier-free antibodies are typically supplied in a PBS-only formulation, purified and free of BSA, sodium azide and glycerol. This conjugation-ready format is designed for use with fluorochromes, metal isotopes, oligonucleotides, and enzymes, which makes them ideal for antibody labelling, functional and cell-based assays, flow-based assays (e.g. mass cytometry) and Multiplex Imaging applications.

Use our conjugation kits for antibody conjugates that are ready-to-use in as little as 20 minutes with 1 minute hands-on-time and 100% antibody recovery: available for fluorescent dyes, HRP, biotin and gold.

Compatibility
This product is compatible with the Maxpar® Antibody Labeling Kit from Fluidigm, without the need for antibody preparation. Maxpar® is a trademark of Fluidigm Canada Inc.

Properties and storage information

Form
Liquid
Purification technique
Affinity purification Protein A
Storage buffer
pH: 7.2 - 7.4 Constituents: PBS
Shipped at conditions
Blue Ice
Appropriate short-term storage conditions
+4°C
Appropriate long-term storage conditions
+4°C

Product protocols

For this product, it's our understanding that no specific protocols are required. You can visit:

Target data

Energy-transfer acceptor. Its role is to transduce the blue chemiluminescence of the protein aequorin into green fluorescent light by energy transfer. Fluoresces in vivo upon receiving energy from the Ca(2+)-activated photoprotein aequorin.
See full target information GFP

Product promise

We are committed to supporting your work with high-quality reagents, and we're here for you every step of the way. In the unlikely event that one of our products does not perform as expected, you're protected by our Product Promise.
For full details, please see our Terms & Conditions

Please note: All products are 'FOR RESEARCH USE ONLY. NOT FOR USE IN DIAGNOSTIC OR THERAPEUTIC PROCEDURES'.

For licensing inquiries, please contact partnerships@abcam.com