JavaScript is disabled in your browser. Please enable JavaScript to view this website.
AB250282

Anti-GGA3 antibody [EPR14340] - BSA and Azide free

Be the first to review this product! Submit a review

|

(0 Publication)

Rabbit Recombinant Monoclonal GGA3 antibody. Carrier free. Suitable for WB, Flow Cyt (Intra), IHC-P and reacts with Human samples.

View Alternative Names

KIAA0154, GGA3, ADP-ribosylation factor-binding protein GGA3

3 Images
Immunohistochemistry (Formalin/PFA-fixed paraffin-embedded sections) - Anti-GGA3 antibody [EPR14340] - BSA and Azide free (AB250282)
  • IHC-P

Supplier Data

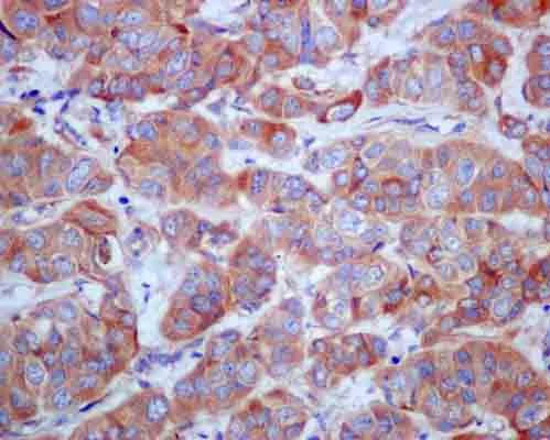
Immunohistochemistry (Formalin/PFA-fixed paraffin-embedded sections) - Anti-GGA3 antibody [EPR14340] - BSA and Azide free (AB250282)

This data was developed using ab180951, the same antibody clone in a different buffer formulation.

Immunohistochemical analysis of paraffin-embedded Human Iifiltrating duct carcinoma of breast tissue labeling GGA3 using ab180951 at a 1/50 dilution, and counterstained with Hematoxylin. Prediluted (ready to use) HRP Polymer for Rabbit IgG was used as a secondary antibody.

Perform heat mediated antigen retrieval with EDTA buffer pH 9 before commencing with IHC staining protocol.

Flow Cytometry (Intracellular) - Anti-GGA3 antibody [EPR14340] - BSA and Azide free (AB250282)
  • Flow Cyt (Intra)

Supplier Data

Flow Cytometry (Intracellular) - Anti-GGA3 antibody [EPR14340] - BSA and Azide free (AB250282)

This data was developed using ab180951, the same antibody clone in a different buffer formulation.

Intracellular flow cytometric analysis of 2% paraformaldehyde fixed SH-SY5Y cells labeling GGA3 using ab180951 at a 1/20 dilutioin, or Rabbit monoclonal IgG (isotype control). Goat anti rabbit IgG (FITC) at a 1/50 dilution was used as a secondary antibody.

Western blot - Anti-GGA3 antibody [EPR14340] - BSA and Azide free (AB250282)
  • WB

Supplier Data

Western blot - Anti-GGA3 antibody [EPR14340] - BSA and Azide free (AB250282)

This data was developed using ab180951, the same antibody clone in a different buffer formulation.

Blocking and dilution buffer : 5% NFDM/TBST.

All lanes:

Western blot - Anti-GGA3 antibody [EPR14340] (<a href='/en-us/products/primary-antibodies/gga3-antibody-epr14340-ab180951'>ab180951</a>) at 1/5000 dilution

Lane 1:

SH-SY5Y cell lysate at 20 µg

Lane 2:

293 cell lysate at 20 µg

Lane 3:

A431 cell lysate at 20 µg

Secondary

All lanes:

Peroxidase conjugated goat anti-rabbit IgG, (H+L) at 1/1000 dilution

Predicted band size: 78 kDa

false

Key facts

Host species

Rabbit

Clonality

Monoclonal

Clone number

EPR14340

Isotype

IgG

Carrier free

Yes

Reacts with

Human

Applications

WB, Flow Cyt (Intra), IHC-P

applications

Immunogen

The exact immunogen used to generate this antibody is proprietary information.

Reactivity data

{ "title": "Reactivity Data", "filters": { "stats": ["", "Species", "Dilution Info", "Notes"], "tabs": { "all-applications": {"fullname" : "All Applications", "shortname": "All Applications"}, "WB" : {"fullname" : "Western blot", "shortname":"WB"}, "FlowCytIntra" : {"fullname" : "Flow Cytometry (Intracellular)", "shortname":"Flow Cyt (Intra)"}, "IHCP" : {"fullname" : "Immunohistochemistry (Formalin/PFA-fixed paraffin-embedded sections)", "shortname":"IHC-P"} }, "product-promise": { "all": "all", "testedAndGuaranteed": "tested", "guaranteed": "expected", "predicted": "predicted", "notRecommended": "not-recommended" } }, "values": { "Human": { "WB-species-checked": "testedAndGuaranteed", "WB-species-dilution-info": "", "WB-species-notes": "<p></p>", "FlowCytIntra-species-checked": "testedAndGuaranteed", "FlowCytIntra-species-dilution-info": "", "FlowCytIntra-species-notes": "<p></p>", "IHCP-species-checked": "testedAndGuaranteed", "IHCP-species-dilution-info": "", "IHCP-species-notes": "<p></p>" }, "Mouse": { "WB-species-checked": "predicted", "WB-species-dilution-info": "", "WB-species-notes": "", "FlowCytIntra-species-checked": "predicted", "FlowCytIntra-species-dilution-info": "", "FlowCytIntra-species-notes": "", "IHCP-species-checked": "predicted", "IHCP-species-dilution-info": "", "IHCP-species-notes": "" }, "Rat": { "WB-species-checked": "predicted", "WB-species-dilution-info": "", "WB-species-notes": "", "FlowCytIntra-species-checked": "predicted", "FlowCytIntra-species-dilution-info": "", "FlowCytIntra-species-notes": "", "IHCP-species-checked": "predicted", "IHCP-species-dilution-info": "", "IHCP-species-notes": "" } } }

Product details

ab250282 is the carrier-free version of ab180951.

Patented technology
Our RabMAb® technology is a patented hybridoma-based technology for making rabbit monoclonal antibodies. For details on our patents, please refer to RabMAb® patents.

What are the advantages of a recombinant monoclonal antibody?
This product is a recombinant monoclonal antibody, which offers several advantages including:

  • - High batch-to-batch consistency and reproducibility
  • - Improved sensitivity and specificity
  • - Long-term security of supply
  • - Animal-free batch production

For more information, read more on recombinant antibodies.

Conjugation ready
Our carrier-free antibodies are typically supplied in a PBS-only formulation, purified and free of BSA, sodium azide and glycerol. This conjugation-ready format is designed for use with fluorochromes, metal isotopes, oligonucleotides, and enzymes, which makes them ideal for antibody labelling, functional and cell-based assays, flow-based assays (e.g. mass cytometry) and Multiplex Imaging applications.

Use our conjugation kits for antibody conjugates that are ready-to-use in as little as 20 minutes with 1 minute hands-on-time and 100% antibody recovery: available for fluorescent dyes, HRP, biotin and gold.

Compatibility
This product is compatible with the Maxpar® Antibody Labeling Kit from Fluidigm, without the need for antibody preparation. Maxpar® is a trademark of Fluidigm Canada Inc.

Properties and storage information

Form
Liquid
Purification technique
Affinity purification
Storage buffer
pH: 7.2 - 7.4 Constituents: PBS
Shipped at conditions
Blue Ice
Appropriate short-term storage conditions
+4°C
Appropriate long-term storage conditions
+4°C
Storage information
Do Not Freeze

Product protocols

For this product, it's our understanding that no specific protocols are required. You can visit:

Target data

Plays a role in protein sorting and trafficking between the trans-Golgi network (TGN) and endosomes. Mediates the ARF-dependent recruitment of clathrin to the TGN and binds ubiquitinated proteins and membrane cargo molecules with a cytosolic acidic cluster-dileucine (DXXLL) motif (PubMed : 11301005). Mediates export of the GPCR receptor ADRA2B to the cell surface (PubMed : 26811329). nvolved in BACE1 transport and sorting as well as regulation of BACE1 protein levels (PubMed : 15615712, PubMed : 17553422, PubMed : 20484053). Regulates retrograde transport of BACE1 from endosomes to the trans-Golgi network via interaction through the VHS motif and dependent of BACE1 phosphorylation (PubMed : 15615712). Modulates BACE1 protein levels independently of the interaction between VHS domain and DXXLL motif through recognition of ubiquitination (PubMed : 20484053). Key player in a novel DXXLL-mediated endosomal sorting machinery to the recycling pathway that targets NTRK1 to the plasma membrane (By similarity).
See full target information GGA3

Product promise

We are committed to supporting your work with high-quality reagents, and we're here for you every step of the way. In the unlikely event that one of our products does not perform as expected, you're protected by our Product Promise.
For full details, please see our Terms & Conditions

Please note: All products are 'FOR RESEARCH USE ONLY. NOT FOR USE IN DIAGNOSTIC OR THERAPEUTIC PROCEDURES'.

For licensing inquiries, please contact partnerships@abcam.com