JavaScript is disabled in your browser. Please enable JavaScript to view this website.
AB271988

Anti-Ghrelin antibody [EPR20502] - BSA and Azide free

  • BOND RX™ Validated
  • RabMAb
  • Advanced Validation
  • Recombinant
  • What is this?

Be the first to review this product! Submit a review

|

(0 Publication)

Rabbit Recombinant Monoclonal GHRL antibody. Carrier free. Suitable for mIHC, IHC-P, IHC-Fr and reacts with Mouse, Human, Rat samples.

View Alternative Names

MTLRP, UNQ524/PRO1066, GHRL, Appetite-regulating hormone, Growth hormone secretagogue, Growth hormone-releasing peptide, Motilin-related peptide, Protein M46

8 Images
Immunohistochemistry (Formalin/PFA-fixed paraffin-embedded sections) - Anti-Ghrelin antibody [EPR20502] - BSA and Azide free (AB271988)
  • IHC-P

Supplier Data

Immunohistochemistry (Formalin/PFA-fixed paraffin-embedded sections) - Anti-Ghrelin antibody [EPR20502] - BSA and Azide free (AB271988)

Immunohistochemical analysis of paraffin-embedded human stomach tissue labeling Ghrelin with ab209790 at 1/8000 dilution, followed by Goat Anti-Rabbit IgG H&L (HRP) (ab97051) at 1/500 dilution. Cytoplasmic staining on endocrine cells of human stomach is observed [PMID : 18474938]. Counter stained with Hematoxylin.

Secondary antibody only control : Used PBS instead of primary antibody, secondary antibody is Goat Anti-Rabbit IgG H&L (HRP) (ab97051) at 1/500 dilution.

Perform heat mediated antigen retrieval with Tris/EDTA buffer pH 9.0 before commencing with IHC staining protocol.

This data was developed using the same antibody clone in a different buffer formulation containing PBS, BSA, glycerol, and sodium azide (ab209790).

Immunohistochemistry (Formalin/PFA-fixed paraffin-embedded sections) - Anti-Ghrelin antibody [EPR20502] - BSA and Azide free (AB271988)
  • IHC-P

Supplier Data

Immunohistochemistry (Formalin/PFA-fixed paraffin-embedded sections) - Anti-Ghrelin antibody [EPR20502] - BSA and Azide free (AB271988)

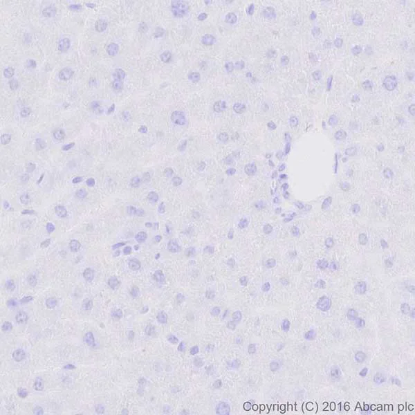
Immunohistochemical analysis of paraffin-embedded human liver tissue labeling Ghrelin with ab209790 at 1/8000 dilution, followed by Goat Anti-Rabbit IgG H&L (HRP) (ab97051) at 1/500 dilution.

Negative control : no staining on human liver [PMID : 10604470].

Counter stained with Hematoxylin.

Perform heat mediated antigen retrieval with Tris/EDTA buffer pH 9.0 before commencing with IHC staining protocol.

This data was developed using the same antibody clone in a different buffer formulation containing PBS, BSA, glycerol, and sodium azide (ab209790).

Immunohistochemistry (Formalin/PFA-fixed paraffin-embedded sections) - Anti-Ghrelin antibody [EPR20502] - BSA and Azide free (AB271988)
  • IHC-P

Supplier Data

Immunohistochemistry (Formalin/PFA-fixed paraffin-embedded sections) - Anti-Ghrelin antibody [EPR20502] - BSA and Azide free (AB271988)

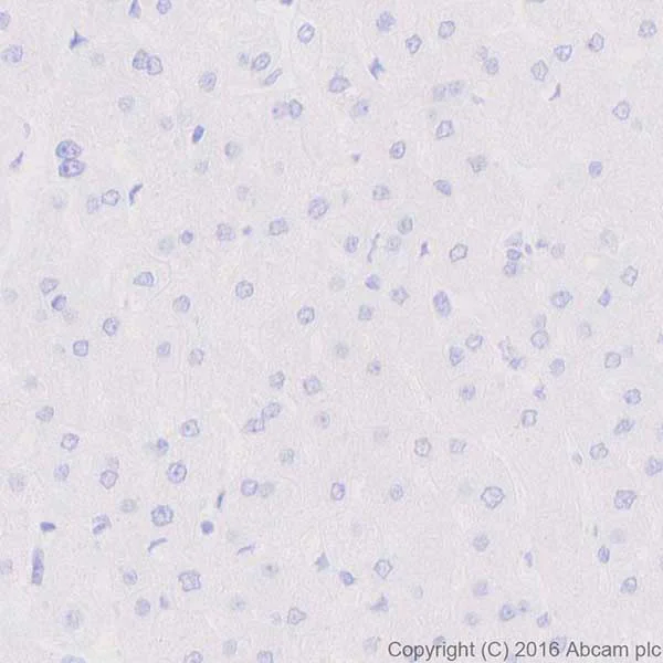
Immunohistochemical analysis of paraffin-embedded mouse liver tissue labeling Ghrelin with ab209790 at 1/8000 dilution, followed by Goat Anti-Rabbit IgG H&L (HRP) (ab97051) at 1/500 dilution.

Negative control : no staining on mouse liver [PMID : 10604470].

Counter stained with Hematoxylin.

Perform heat mediated antigen retrieval with Tris/EDTA buffer pH 9.0 before commencing with IHC staining protocol.

This data was developed using the same antibody clone in a different buffer formulation containing PBS, BSA, glycerol, and sodium azide (ab209790).

Immunohistochemistry (Formalin/PFA-fixed paraffin-embedded sections) - Anti-Ghrelin antibody [EPR20502] - BSA and Azide free (AB271988)
  • IHC-P

Supplier Data

Immunohistochemistry (Formalin/PFA-fixed paraffin-embedded sections) - Anti-Ghrelin antibody [EPR20502] - BSA and Azide free (AB271988)

Immunohistochemical analysis of paraffin-embedded rat stomach tissue labeling Ghrelin with ab209790 at 1/8000 dilution, followed by Goat Anti-Rabbit IgG H&L (HRP) (ab97051) at 1/500 dilution. Cytoplasmic staining on endocrine cells of rat stomach is observed [PMID : 18474938]. Counter stained with Hematoxylin.

Secondary antibody only control : Used PBS instead of primary antibody, secondary antibody is Goat Anti-Rabbit IgG H&L (HRP) (ab97051) at 1/500 dilution.

Perform heat mediated antigen retrieval with Tris/EDTA buffer pH 9.0 before commencing with IHC staining protocol.

This data was developed using the same antibody clone in a different buffer formulation containing PBS, BSA, glycerol, and sodium azide (ab209790).

Immunohistochemistry (Formalin/PFA-fixed paraffin-embedded sections) - Anti-Ghrelin antibody [EPR20502] - BSA and Azide free (AB271988)
  • IHC-P

Supplier Data

Immunohistochemistry (Formalin/PFA-fixed paraffin-embedded sections) - Anti-Ghrelin antibody [EPR20502] - BSA and Azide free (AB271988)

Immunohistochemical analysis of paraffin-embedded mouse stomach tissue labeling Ghrelin with ab209790 at 1/8000 dilution, followed by Goat Anti-Rabbit IgG H&L (HRP) (ab97051) at 1/500 dilution. Cytoplasmic staining on endocrine cells of mouse stomach is observed [PMID : 18474938]. Counter stained with Hematoxylin.

Secondary antibody only control : Used PBS instead of primary antibody, secondary antibody is Goat Anti-Rabbit IgG H&L (HRP) (ab97051) at 1/500 dilution.

Perform heat mediated antigen retrieval with Tris/EDTA buffer pH 9.0 before commencing with IHC staining protocol.

This data was developed using the same antibody clone in a different buffer formulation containing PBS, BSA, glycerol, and sodium azide (ab209790).

Immunohistochemistry (Frozen sections) - Anti-Ghrelin antibody [EPR20502] - BSA and Azide free (AB271988)
  • IHC-Fr

Supplier Data

Immunohistochemistry (Frozen sections) - Anti-Ghrelin antibody [EPR20502] - BSA and Azide free (AB271988)

Immunohistochemical analysis of 4% paraformaldehyde-fixed, 0.2% Triton X-100 permeabilized frozen mouse stomach tissue labeling Ghrelin with ab209790 at 1/100 dilution, followed by Goat anti-rabbit IgG (Alexa Fluor® 488) (ab150077) secondary antibody at 1/1000 dilution (green). Cytoplasmic staining on endocrine cells of mouse stomach is observed [PMID : 18474938]. The nuclear counterstain is DAPI (blue).

Secondary antibody only control : Used PBS instead of primary antibody, secondary antibody is Goat anti-rabbit IgG (Alexa Fluor® 488) (ab150077) at 1/1000 dilution.

This antibody worked well on mouse IHC-Frozen sections. Staining on rat sections was weak and human samples were not tested.

This data was developed using the same antibody clone in a different buffer formulation containing PBS, BSA, glycerol, and sodium azide (ab209790).

Multiplex immunohistochemistry - Anti-Ghrelin antibody [EPR20502] - BSA and Azide free (AB271988)
  • mIHC

Lab

Multiplex immunohistochemistry - Anti-Ghrelin antibody [EPR20502] - BSA and Azide free (AB271988)

This data was developed using ab209790, the same antibody clone in a different buffer formulation.

Multiplex immunohistochemistry analysis of formalin/PFA-fixed paraffin-embedded mouse stomach tissue staining CaMKII beta with ab314897 at 1/5000 dilution, ab315150 anti-Serotonin used at 1/5000 dilution and ab209790 anti-Ghrelin used at a 1/40000 dilution. Opal Polymer HRP Ms + Rb was used as a secondary antibody, and DAPI was used for a nuclear counter stain. Heat mediated antigen retrieval with Tris-EDTA buffer (pH 9.0, epitope retrieval solution2) for 20 mins.

Panel A : merged staining of anti-CaMKII beta (magenta; Opal690), anti-Serotonin (green; Opal520) and anti-Ghrelin (gray; Opal570) on mouse stomach.
Panel B : anti-CaMKII beta staining endocrine cells in mouse stomach.
Panel C : anti-Serotonin staining enterochromaffin cells in mouse stomach.
Panel D : anti-Ghrelin staining ghrelin in mouse stomach.
Nuclear DNA was labeled with DAPI (shown in blue).

The section was incubated in three rounds of staining : in the order of ab314897, ab315150 and ab209790 for 30 mins at room temperature. Each round was followed by a separate fluorescent tyramide signal amplification system.

The immunostaining was performed on a Leica Biosystems BOND® RX instrument with an Opal 4-color kit. Image acquisition was performed with Leica SP8 confocal microscope.

Immunohistochemistry (Formalin/PFA-fixed paraffin-embedded sections) - Anti-Ghrelin antibody [EPR20502] - BSA and Azide free (AB271988)
  • IHC-P

Supplier Data

Immunohistochemistry (Formalin/PFA-fixed paraffin-embedded sections) - Anti-Ghrelin antibody [EPR20502] - BSA and Azide free (AB271988)

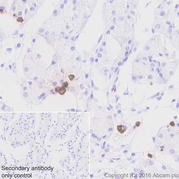
Immunohistochemical analysis of paraffin-embedded rat liver tissue labeling Ghrelin with ab209790 at 1/8000 dilution, followed by Goat Anti-Rabbit IgG H&L (HRP) (ab97051) at 1/500 dilution.

Negative control : no staining on rat liver [PMID : 10604470].

Counter stained with Hematoxylin.

Perform heat mediated antigen retrieval with Tris/EDTA buffer pH 9.0 before commencing with IHC staining protocol.

This data was developed using the same antibody clone in a different buffer formulation containing PBS, BSA, glycerol, and sodium azide (ab209790).

Key facts

Host species

Rabbit

Clonality

Monoclonal

Clone number

EPR20502

Isotype

IgG

Carrier free

Yes

Reacts with

Mouse, Rat, Human

Applications

mIHC, IHC-Fr, IHC-P

applications

Immunogen

The exact immunogen used to generate this antibody is proprietary information.

Reactivity data

{ "title": "Reactivity Data", "filters": { "stats": ["", "Species", "Dilution Info", "Notes"], "tabs": { "all-applications": {"fullname" : "All Applications", "shortname": "All Applications"}, "mIHC" : {"fullname" : "Multiplex immunohistochemistry", "shortname":"mIHC"}, "IHCP" : {"fullname" : "Immunohistochemistry (Formalin/PFA-fixed paraffin-embedded sections)", "shortname":"IHC-P"}, "IHCFr" : {"fullname" : "Immunohistochemistry (Frozen sections)", "shortname":"IHC-Fr"} }, "product-promise": { "all": "all", "testedAndGuaranteed": "tested", "guaranteed": "expected", "predicted": "predicted", "notRecommended": "not-recommended" } }, "values": { "Human": { "mIHC-species-checked": "guaranteed", "mIHC-species-dilution-info": "", "mIHC-species-notes": "", "IHCP-species-checked": "testedAndGuaranteed", "IHCP-species-dilution-info": "", "IHCP-species-notes": "<p></p>", "IHCFr-species-checked": "guaranteed", "IHCFr-species-dilution-info": "", "IHCFr-species-notes": "" }, "Mouse": { "mIHC-species-checked": "testedAndGuaranteed", "mIHC-species-dilution-info": "", "mIHC-species-notes": "<p></p>", "IHCP-species-checked": "testedAndGuaranteed", "IHCP-species-dilution-info": "", "IHCP-species-notes": "<p></p>", "IHCFr-species-checked": "testedAndGuaranteed", "IHCFr-species-dilution-info": "", "IHCFr-species-notes": "<p>Antigen retrieval: Heated citrate solution (10mM citrate PH 6.0 + 0.05% Tween-20).This antibody worked well on mouse IHC-Frozen sections. Staining on rat sections was weak and human samples were not tested.</p>" }, "Rat": { "mIHC-species-checked": "guaranteed", "mIHC-species-dilution-info": "", "mIHC-species-notes": "", "IHCP-species-checked": "testedAndGuaranteed", "IHCP-species-dilution-info": "", "IHCP-species-notes": "<p></p>", "IHCFr-species-checked": "guaranteed", "IHCFr-species-dilution-info": "", "IHCFr-species-notes": "" } } }

Product details

ab271988 is the carrier-free version of ab209790.

Patented technology
Our RabMAb® technology is a patented hybridoma-based technology for making rabbit monoclonal antibodies. For details on our patents, please refer to RabMAb® patents.

What are the advantages of a recombinant monoclonal antibody?
This product is a recombinant monoclonal antibody, which offers several advantages including:

  • - High batch-to-batch consistency and reproducibility
  • - Improved sensitivity and specificity
  • - Long-term security of supply
  • - Animal-free batch production

For more information, read more on recombinant antibodies.

Conjugation ready
Our carrier-free antibodies are typically supplied in a PBS-only formulation, purified and free of BSA, sodium azide and glycerol. This conjugation-ready format is designed for use with fluorochromes, metal isotopes, oligonucleotides, and enzymes, which makes them ideal for antibody labelling, functional and cell-based assays, flow-based assays (e.g. mass cytometry) and Multiplex Imaging applications.

Use our conjugation kits for antibody conjugates that are ready-to-use in as little as 20 minutes with 1 minute hands-on-time and 100% antibody recovery: available for fluorescent dyes, HRP, biotin and gold.

Compatibility
This product is compatible with the Maxpar® Antibody Labeling Kit from Fluidigm, without the need for antibody preparation. Maxpar® is a trademark of Fluidigm Canada Inc.

Properties and storage information

Form
Liquid
Purification technique
Affinity purification Protein A
Storage buffer
pH: 7.2 - 7.4 Constituents: PBS
Shipped at conditions
Blue Ice
Appropriate short-term storage conditions
+4°C
Appropriate long-term storage conditions
+4°C
Storage information
Do Not Freeze

Supplementary information

This supplementary information is collated from multiple sources and compiled automatically.

Ghrelin also known as the "hunger hormone" or GH secretagogue is a peptide hormone with a mass of 28 amino acids. Ghrelin is mainly expressed in the stomach particularly in the enteroendocrine cells but it can also be found in small amounts in the lungs pancreas and hypothalamus. The hormone increases food intake and promotes fat storage by signaling the brain to stimulate hunger. Its secretion occurs in response to fasting and is suppressed by food intake reflecting its role in energy balance.
Biological function summary

Ghrelin influences a variety of physiological processes beyond hunger regulation. It plays a role in modulating the release of growth hormone by acting on the growth hormone secretagogue receptor (GHS-R). Ghrelin also affects gastric motility and acid secretion due to its expression in the gastrointestinal tract. Though not part of a larger complex its interaction with GHS-R strongly influences its biological functions. Ghrelin may also impact insulin secretion and sensitivity linking it to glucose metabolism processes.

Pathways

Ghrelin interacts with several critical biological networks. Ghrelin is involved in the neuroendocrine pathway that connects the gut to the brain and contributes significantly to energy homeostasis. Within this pathway it influences proteins like leptin which exerts opposite effects by suppressing hunger. Additionally ghrelin functions in the hedonic control of eating which relates to the rewarding aspects of food intake controlled by pathways involving dopamine.

Ghrelin holds relevance to obesity and cachexia a form of extreme weight loss often seen in chronic illness. Ghrelin promotes adiposity by stimulating appetite which can contribute to obesity. Conversely in cachexia the decrease in ghrelin activity is thought to exacerbate weight loss. Its role in energy balance associates ghrelin with the protein leptin which counterbalances its effects and connections to metabolic disorders. Understanding ghrelin’s functions and pathways provides insight into therapeutic strategies for these conditions.

Product protocols

For this product, it's our understanding that no specific protocols are required. You can visit:

Target data

Ghrelin-27. Ghrelin is the ligand for growth hormone secretagogue receptor type 1 (GHSR) (PubMed : 10604470). Induces the release of growth hormone from the pituitary (PubMed : 10604470). Has an appetite-stimulating effect, induces adiposity and stimulates gastric acid secretion. Involved in growth regulation.. Ghrelin-28. Ghrelin is the ligand for growth hormone secretagogue receptor type 1 (GHSR) (PubMed : 10604470). Induces the release of growth hormone from the pituitary (PubMed : 10604470). Has an appetite-stimulating effect, induces adiposity and stimulates gastric acid secretion. Involved in growth regulation.. Obestatin. May be the ligand for GPR39. May have an appetite-reducing effect resulting in decreased food intake. May reduce gastric emptying activity and jejunal motility (By similarity).
See full target information GHRL

Product promise

We are committed to supporting your work with high-quality reagents, and we're here for you every step of the way. In the unlikely event that one of our products does not perform as expected, you're protected by our Product Promise.
For full details, please see our Terms & Conditions

Please note: All products are 'FOR RESEARCH USE ONLY. NOT FOR USE IN DIAGNOSTIC OR THERAPEUTIC PROCEDURES'.

For licensing inquiries, please contact partnerships@abcam.com