JavaScript is disabled in your browser. Please enable JavaScript to view this website.
AB121784

Anti-GIGYF1 antibody

Be the first to review this product! Submit a review

|

(3 Publications)

Rabbit Polyclonal GIGYF1 antibody. Suitable for IHC-P, ICC/IF and reacts with Human samples. Cited in 3 publications. Immunogen corresponding to Recombinant Fragment Protein within Human GIGYF1 aa 400-500.

View Alternative Names

CDS2, PERQ1, PP3360, GIGYF1, GRB10-interacting GYF protein 1, PERQ amino acid-rich with GYF domain-containing protein 1

2 Images
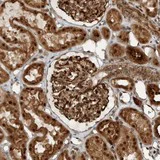
Immunohistochemistry (Formalin/PFA-fixed paraffin-embedded sections) - Anti-GIGYF1 antibody (AB121784)
  • IHC-P

Unknown

Immunohistochemistry (Formalin/PFA-fixed paraffin-embedded sections) - Anti-GIGYF1 antibody (AB121784)

ab121784, at 1/150 dilution, staining GIGYF1 in paraffin-embedded Human kidney tissue, by Immunohistochemistry.

Immunocytochemistry/ Immunofluorescence - Anti-GIGYF1 antibody (AB121784)
  • ICC/IF

Unknown

Immunocytochemistry/ Immunofluorescence - Anti-GIGYF1 antibody (AB121784)

Immunofluorescent staining of Human cell line U-251MG shows positivity in vesicles. Recommended concentration of ab121784 1-4 µg/ml. Cells treated with PFA/Triton X-100.

Key facts

Host species

Rabbit

Clonality

Polyclonal

Isotype

IgG

Carrier free

No

Reacts with

Human

Applications

ICC/IF, IHC-P

applications

Immunogen

Recombinant Fragment Protein within Human GIGYF1 aa 400-500. The exact immunogen used to generate this antibody is proprietary information.

O75420

Reactivity data

{ "title": "Reactivity Data", "filters": { "stats": ["", "Species", "Dilution Info", "Notes"], "tabs": { "all-applications": {"fullname" : "All Applications", "shortname": "All Applications"}, "IHCP" : {"fullname" : "Immunohistochemistry (Formalin/PFA-fixed paraffin-embedded sections)", "shortname":"IHC-P"}, "ICCIF" : {"fullname" : "Immunocytochemistry/ Immunofluorescence", "shortname":"ICC/IF"} }, "product-promise": { "all": "all", "testedAndGuaranteed": "tested", "guaranteed": "expected", "predicted": "predicted", "notRecommended": "not-recommended" } }, "values": { "Human": { "IHCP-species-checked": "testedAndGuaranteed", "IHCP-species-dilution-info": "1/50 - 1/200", "IHCP-species-notes": "<p></p> Perform heat-mediated antigen retrieval with citrate buffer pH 6 before commencing with IHC staining protocol.", "ICCIF-species-checked": "testedAndGuaranteed", "ICCIF-species-dilution-info": "0.25-2 µg/mL", "ICCIF-species-notes": "<p></p>" } } }

Properties and storage information

Form
Liquid
Purification technique
Affinity purification Immunogen
Storage buffer
pH: 7.2 Preservative: 0.02% Sodium azide Constituents: PBS, 40% Glycerol (glycerin, glycerine)
Shipped at conditions
Blue Ice
Appropriate short-term storage conditions
+4°C
Appropriate long-term storage conditions
-20°C
Aliquoting information
Upon delivery aliquot
Storage information
Avoid freeze / thaw cycle

Supplementary information

This supplementary information is collated from multiple sources and compiled automatically.

GIGYF1 also known as Grb10 Interacting GYF Protein 1 is a protein involved in cellular signaling. The protein has a mass of approximately 140 kDa. It is expressed widely in various tissues with significant expression in the brain pancreas and testis. GIGYF1 contains the GYF domain which enables interaction with other proteins involved in signal transduction.
Biological function summary

GIGYF1 interacts with the insulin receptor pathway playing a role in growth factor signaling. It forms a complex with Grb10 working together to affect cellular responses to insulin. This protein is essential for growth regulation and metabolic processes offering a bridge between external signals and internal cellular mechanisms. GIGYF1's interaction with insulin signaling makes it a significant player in maintaining energy homeostasis.

Pathways

GIGYF1 impacts both the insulin and IGF signaling pathways which are important for regulating metabolism and growth. It interacts closely with proteins such as mTOR and Akt influencing cell survival and growth processes. GIGYF1 acts as a mediator in transmitting signals from these pathways affecting overall cellular responses to insulin.

GIGYF1 has been linked to diabetes and some forms of cancer. Alterations in GIGYF1 expression may disrupt normal insulin signaling contributing to insulin resistance associated with diabetes. In cancer its interaction with mTOR could influence cancer cell growth and survival given mTOR’s role in cell proliferation and metabolism. Understanding GIGYF1's role in these disorders could provide insights into disease mechanisms and potential therapeutic targets.

Product protocols

For this product, it's our understanding that no specific protocols are required. You can visit:

Target data

May act cooperatively with GRB10 to regulate tyrosine kinase receptor signaling. May increase IGF1 receptor phosphorylation under IGF1 stimulation as well as phosphorylation of IRS1 and SHC1 (By similarity).
See full target information GIGYF1

Publications (3)

Recent publications for all applications. Explore the full list and refine your search

Discover oncology 15:157 PubMed38733530

2024

circPDK1 competitively binds miR-4731-5p to mediate GIGYF1 expression and increase paclitaxel sensitivity in non-small cell lung cancer.

Applications

Unspecified application

Species

Unspecified reactive species

YunYin Feng,TaoLong Zhang,Hong Liu

International journal of molecular sciences 22: PubMed34502507

2021

Regulation of the Golgi Apparatus by p38 and JNK Kinases during Cellular Stress Responses.

Applications

Unspecified application

Species

Unspecified reactive species

Cathrine Nordgaard,Maxim A X Tollenaere,Ana Martinez Del Val,Dorte B Bekker-Jensen,Melanie Blasius,Jesper V Olsen,Simon Bekker-Jensen

Cell reports 26:3511-3521.e4 PubMed30917308

2019

GIGYF1/2-Driven Cooperation between ZNF598 and TTP in Posttranscriptional Regulation of Inflammatory Signaling.

Applications

Unspecified application

Species

Unspecified reactive species

Maxim A X Tollenaere,Christopher Tiedje,Simon Rasmussen,Julie C Nielsen,Anna C Vind,Melanie Blasius,Tanveer S Batth,Niels Mailand,Jesper V Olsen,Matthias Gaestel,Simon Bekker-Jensen
View all publications

Product promise

We are committed to supporting your work with high-quality reagents, and we're here for you every step of the way. In the unlikely event that one of our products does not perform as expected, you're protected by our Product Promise.
For full details, please see our Terms & Conditions

Please note: All products are 'FOR RESEARCH USE ONLY. NOT FOR USE IN DIAGNOSTIC OR THERAPEUTIC PROCEDURES'.

For licensing inquiries, please contact partnerships@abcam.com