JavaScript is disabled in your browser. Please enable JavaScript to view this website.
AB276062

Anti-GILT antibody [003] - BSA and Azide free

Be the first to review this product! Submit a review

|

(0 Publication)

Rabbit Recombinant Monoclonal GILT antibody. Carrier free. Suitable for ICC, IHC-P and reacts with Human samples. Immunogen corresponding to Recombinant Fragment Protein within Human IFI30 aa 1 to C-terminus.

View Alternative Names

GILT, IP30, IFI30, Gamma-interferon-inducible lysosomal thiol reductase, Gamma-interferon-inducible protein IP-30, Legumaturain

3 Images
Immunocytochemistry - Anti-GILT antibody [003] - BSA and Azide free (AB276062)
  • ICC

Unknown

Immunocytochemistry - Anti-GILT antibody [003] - BSA and Azide free (AB276062)

Immunofluorescence staining of IFI30 in HeLa cells. Cells were fixed with 4% PFA, permeabilzed with 0.1% Triton X-100 in PBS,blocked with 10% serum, and incubated with ab276062 1/30 dilution at 4°C overnight. Then cells were stained with the Alexa Fluor®488-conjugated Goat Anti-rabbit IgG secondary antibody (green). Positive staining was localized to Cytoplasm.

Immunohistochemistry (Formalin/PFA-fixed paraffin-embedded sections) - Anti-GILT antibody [003] - BSA and Azide free (AB276062)
  • IHC-P

Unknown

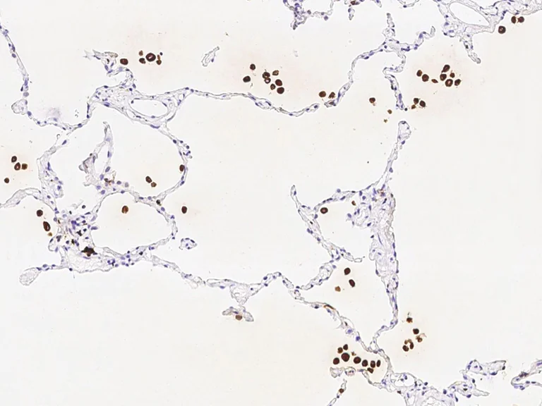
Immunohistochemistry (Formalin/PFA-fixed paraffin-embedded sections) - Anti-GILT antibody [003] - BSA and Azide free (AB276062)

Immunochemical staining of human IFI30 in human lung with ab276062 at 1/20000 dilution, formalin-fixed paraffin embedded sections.

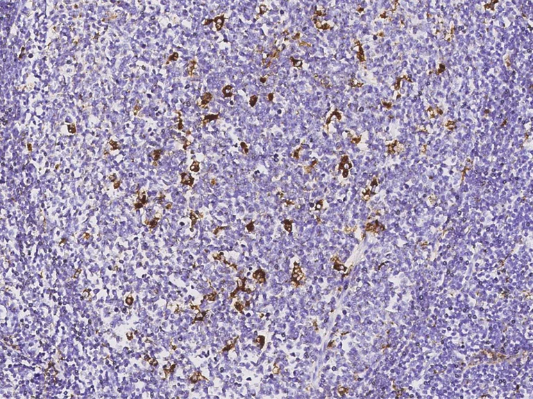
Immunohistochemistry (Formalin/PFA-fixed paraffin-embedded sections) - Anti-GILT antibody [003] - BSA and Azide free (AB276062)
  • IHC-P

Unknown

Immunohistochemistry (Formalin/PFA-fixed paraffin-embedded sections) - Anti-GILT antibody [003] - BSA and Azide free (AB276062)

Immunochemical staining of human IFI30 in human tonsil with ab276062 at 1/20000 dilution, formalin-fixed paraffin embedded sections.

Key facts

Host species

Rabbit

Clonality

Monoclonal

Clone number

003

Isotype

IgG

Carrier free

Yes

Reacts with

Human

Applications

ICC, IHC-P

applications

Immunogen

Recombinant Fragment Protein within Human IFI30 aa 1 to C-terminus. The exact immunogen used to generate this antibody is proprietary information.

P13284

Reactivity data

{ "title": "Reactivity Data", "filters": { "stats": ["", "Species", "Dilution Info", "Notes"], "tabs": { "all-applications": {"fullname" : "All Applications", "shortname": "All Applications"}, "ICC" : {"fullname" : "Immunocytochemistry", "shortname":"ICC"}, "IHCP" : {"fullname" : "Immunohistochemistry (Formalin/PFA-fixed paraffin-embedded sections)", "shortname":"IHC-P"} }, "product-promise": { "all": "all", "testedAndGuaranteed": "tested", "guaranteed": "expected", "predicted": "predicted", "notRecommended": "not-recommended" } }, "values": { "Human": { "ICC-species-checked": "testedAndGuaranteed", "ICC-species-dilution-info": "1/20 - 1/100", "ICC-species-notes": "<p></p>", "IHCP-species-checked": "testedAndGuaranteed", "IHCP-species-dilution-info": "1/10000 - 1/20000", "IHCP-species-notes": "<p></p>" } } }

Properties and storage information

Form
Liquid
Purification technique
Affinity purification Protein A
Storage buffer
Constituents: PBS
Shipped at conditions
Blue Ice
Appropriate short-term storage conditions
+4°C
Appropriate long-term storage conditions
+4°C

Supplementary information

This supplementary information is collated from multiple sources and compiled automatically.

Gamma-interferon-inducible lysosomal thiol reductase often called GILT is a thiol reductase enzyme with a mass of about 35 kDa. GILT is expressed predominantly in antigen-presenting cells where it resides in the lysosomes. Mechanically GILT catalyzes the reduction of disulfide bonds in proteins which enables proteins to unfold under mild acidic conditions found in lysosomal compartments. GILT activity requires the catalytic cysteine residue which is essential for its function as a reductase.
Biological function summary

GILT contributes to the processing and presentation of antigens. By reducing disulfide bonds in endocytosed proteins GILT prepares them for subsequent degradation by lysosomal proteases. This function means it plays a significant role in the immune response as it aids the generation of peptides presented on major histocompatibility complex (MHC) class II molecules. GILT is not known to be part of a larger protein complex but interacts with other components within the lysosome to accomplish its task.

Pathways

GILT is integral to the antigen processing and presentation pathway mediated by MHC class II molecules. This pathway is critical for the initiation of immune responses and involves collaboration with other proteins such as cathepsins. The reduction of disulfide bonds by GILT allows cathepsins to efficiently degrade proteins into peptide fragments. These peptides then bind to MHC class II molecules which are presented on the cell surface for recognition by CD4+ T cells.

Altered GILT function has been linked to autoimmune diseases and cancer. In certain autoimmune disorders dysregulation of GILT can lead to improper antigen presentation contributing to the body's immune response against its own tissues. In cancer some tumors may downregulate GILT to escape immune surveillance by reducing antigen presentation. Interactions between GILT and other proteins such as MHC class II facilitate these pathological processes highlighting the importance of GILT in maintaining immune system balance.

Product protocols

For this product, it's our understanding that no specific protocols are required. You can visit:

Target data

Lysosomal thiol reductase that can reduce protein disulfide bonds. May facilitate the complete unfolding of proteins destined for lysosomal degradation. Plays an important role in antigen processing. Facilitates the generation of MHC class II-restricted epitodes from disulfide bond-containing antigen by the endocytic reduction of disulfide bonds (By similarity). Facilitates also MHC class I-restricted recognition of exogenous antigens containing disulfide bonds by CD8+ T-cells or crosspresentation (By similarity).
See full target information IFI30

Product promise

We are committed to supporting your work with high-quality reagents, and we're here for you every step of the way. In the unlikely event that one of our products does not perform as expected, you're protected by our Product Promise.
For full details, please see our Terms & Conditions

Please note: All products are 'FOR RESEARCH USE ONLY. NOT FOR USE IN DIAGNOSTIC OR THERAPEUTIC PROCEDURES'.

For licensing inquiries, please contact partnerships@abcam.com