JavaScript is disabled in your browser. Please enable JavaScript to view this website.
AB197987

Anti-GilZ / TilZ antibody

Be the first to review this product! Submit a review

|

(3 Publications)

Rabbit Polyclonal GilZ / TilZ antibody. Suitable for WB, IHC-P and reacts with Human samples. Cited in 3 publications. Immunogen corresponding to Recombinant Full Length Protein corresponding to Human TSC22D3.

View Alternative Names

DSIPI, GILZ, TSC22D3, TSC22 domain family protein 3, DSIP-immunoreactive peptide, Delta sleep-inducing peptide immunoreactor, Glucocorticoid-induced leucine zipper protein, TSC-22-like protein, TSC-22-related protein, Protein DIP, hDIP, TSC-22R

3 Images
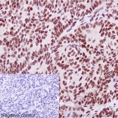
Immunohistochemistry (Formalin/PFA-fixed paraffin-embedded sections) - Anti-GilZ / TilZ antibody (AB197987)
  • IHC-P

Supplier Data

Immunohistochemistry (Formalin/PFA-fixed paraffin-embedded sections) - Anti-GilZ / TilZ antibody (AB197987)

Immunohistochemical analysis of paraffin-embedded Human liver cancer tissue labeling GilZ / TilZ with ab197987 at 1/40 dilution.

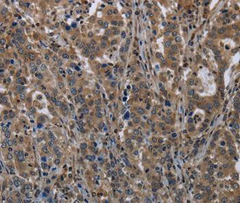
Immunohistochemistry (Formalin/PFA-fixed paraffin-embedded sections) - Anti-GilZ / TilZ antibody (AB197987)
  • IHC-P

Supplier Data

Immunohistochemistry (Formalin/PFA-fixed paraffin-embedded sections) - Anti-GilZ / TilZ antibody (AB197987)

Immunohistochemical analysis of paraffin-embedded Human colon cancer tissue labeling GilZ / TilZ with ab197987 at 1/40 dilution.

Western blot - Anti-GilZ / TilZ antibody (AB197987)
  • WB

Supplier Data

Western blot - Anti-GilZ / TilZ antibody (AB197987)

Gel : 12% SDS-PAGE.

All lanes:

Western blot - Anti-GilZ / TilZ antibody (ab197987) at 1/1350 dilution

All lanes:

HEK-293T (Human epithelial cell line from embryonic kidney transformed with large T antigen) whole cell lysate at 40 µg

Secondary

All lanes:

HRP-conjugated Goat anti rabbit IgG at 1/5000 dilution

Predicted band size: 15 kDa

false

Exposure time: 7s

Key facts

Host species

Rabbit

Clonality

Polyclonal

Isotype

IgG

Carrier free

No

Reacts with

Human

Applications

IHC-P, WB

applications

Immunogen

Recombinant Full Length Protein corresponding to Human TSC22D3.

Q99576

Reactivity data

{ "title": "Reactivity Data", "filters": { "stats": ["", "Species", "Dilution Info", "Notes"], "tabs": { "all-applications": {"fullname" : "All Applications", "shortname": "All Applications"}, "WB" : {"fullname" : "Western blot", "shortname":"WB"}, "IHCP" : {"fullname" : "Immunohistochemistry (Formalin/PFA-fixed paraffin-embedded sections)", "shortname":"IHC-P"} }, "product-promise": { "all": "all", "testedAndGuaranteed": "tested", "guaranteed": "expected", "predicted": "predicted", "notRecommended": "not-recommended" } }, "values": { "Human": { "WB-species-checked": "testedAndGuaranteed", "WB-species-dilution-info": "1/1000 - 1/5000", "WB-species-notes": "<p></p>", "IHCP-species-checked": "testedAndGuaranteed", "IHCP-species-dilution-info": "1/50 - 1/200", "IHCP-species-notes": "<p></p>" }, "Mouse": { "WB-species-checked": "predicted", "WB-species-dilution-info": "", "WB-species-notes": "", "IHCP-species-checked": "predicted", "IHCP-species-dilution-info": "", "IHCP-species-notes": "" }, "Rat": { "WB-species-checked": "predicted", "WB-species-dilution-info": "", "WB-species-notes": "", "IHCP-species-checked": "predicted", "IHCP-species-dilution-info": "", "IHCP-species-notes": "" }, "Orangutan": { "WB-species-checked": "predicted", "WB-species-dilution-info": "", "WB-species-notes": "", "IHCP-species-checked": "predicted", "IHCP-species-dilution-info": "", "IHCP-species-notes": "" }, "Pig": { "WB-species-checked": "predicted", "WB-species-dilution-info": "", "WB-species-notes": "", "IHCP-species-checked": "predicted", "IHCP-species-dilution-info": "", "IHCP-species-notes": "" } } }

Properties and storage information

Form
Liquid
Purification technique
Affinity purification Immunogen
Storage buffer
pH: 7.4 Preservative: 0.05% Sodium azide Constituents: PBS, 50% Glycerol (glycerin, glycerine)
Shipped at conditions
Blue Ice
Appropriate short-term storage duration
1-2 weeks
Appropriate short-term storage conditions
+4°C
Appropriate long-term storage conditions
-20°C
Aliquoting information
Upon delivery aliquot
Storage information
Avoid freeze / thaw cycle

Supplementary information

This supplementary information is collated from multiple sources and compiled automatically.

GilZ also known as glucocorticoid-induced leucine zipper is a protein with a mass of approximately 14 kDa. This protein acts mechanically as a transcriptional regulator and plays an important role in modulating immune cell functions. GilZ is widely expressed especially in lymphoid tissues and in cells involved in the immune response. It is also expressed in various other tissues including the brain and liver where it contributes to different cellular processes. This protein is linked to the suppression of certain inflammatory responses mediated by its interactions with key transcription factors.
Biological function summary

GilZ influences immune cell proliferation and differentiation impacting how the body responds to inflammation. It frequently forms complexes with other proteins to perform its functions. GilZ serves as a mediator of glucocorticoid actions which affects the expression of cytokines and other inflammatory mediators. Through its interactions with components of the immune system GilZ plays an important role in maintaining homeostasis under stress conditions such as during an inflammatory response or cell damage.

Pathways

The glucocorticoid pathway is central to the activities of GilZ. This pathway involves a complex network where GilZ interacts with proteins such as the NF-kB which is another transcription factor involved in the inflammatory response. GilZ affects this pathway by inhibiting the activity of NF-kB leading to decreased expression of pro-inflammatory cytokines. Additionally GilZ is involved in the T-cell receptor (TCR) signaling pathway where it modulates T-cell activation and survival affecting immune system regulation.

GilZ is relevant to conditions characterized by chronic inflammation such as rheumatoid arthritis and asthma. In these diseases the protein's ability to downregulate inflammation makes it a potential target for therapeutic intervention. GilZ influences the expression and activity of proteins like cytokines which are heavily involved in the inflammatory pathways of these diseases. Understanding the role of GilZ in these contexts could aid in designing more effective treatments for inflammatory conditions.

Product protocols

For this product, it's our understanding that no specific protocols are required. You can visit:

Target data

Protects T-cells from IL2 deprivation-induced apoptosis through the inhibition of FOXO3A transcriptional activity that leads to the down-regulation of the pro-apoptotic factor BCL2L11 (PubMed : 15031210). In macrophages, plays a role in the anti-inflammatory and immunosuppressive effects of glucocorticoids and IL10 (PubMed : 12393603). In T-cells, inhibits anti-CD3-induced NFKB1 nuclear translocation and thereby NFKB1 DNA-binding activities (PubMed : 11468175). In vitro, suppresses AP-1 transcription factor complex DNA-binding activities (By similarity).. Isoform 1. Inhibits myogenic differentiation and mediates anti-myogenic effects of glucocorticoids by binding and regulating MYOD1 and HDAC1 transcriptional activity resulting in reduced expression of MYOG.
See full target information TSC22D3

Publications (3)

Recent publications for all applications. Explore the full list and refine your search

Journal of Crohn's & colitis 19: PubMed39693354

2024

Disruption of Epithelial Barrier Integrity via Altered GILZ/c-Rel/RACK1 Signaling in Inflammatory Bowel Disease.

Applications

Unspecified application

Species

Unspecified reactive species

Erica Buoso,Mirco Masi,Roberta Valeria Limosani,Francesca Fagiani,Chiara Oliviero,Giorgia Colombo,Luigi Cari,Marco Gentili,Eleonora Lusenti,Lucrezia Rosati,Federica Pisati,Alessandra Pasini,Marco Vincenzo Lenti,Antonio Di Sabatino,Claire Louise Mobbs,Stefan Przyborski,Simona Ronchetti,Cristina Travelli,Marco Racchi

Virchows Archiv : an international journal of pathology 479:1197-1207 PubMed34331569

2021

LRIG1 is a positive prognostic marker in Merkel cell carcinoma and Merkel cell carcinoma expresses epithelial stem cell markers.

Applications

Unspecified application

Species

Unspecified reactive species

Benjamin Sundqvist,Harri Sihto,Maria von Willebrand,Tom Böhling,Virve Koljonen

Viruses 12: PubMed32630206

2020

Long Term Delta-9-tetrahydrocannabinol Administration Inhibits Proinflammatory Responses in Minor Salivary Glands of Chronically Simian Immunodeficieny Virus Infected Rhesus Macaques.

Applications

Unspecified application

Species

Unspecified reactive species

Xavier Alvarez,Karol Sestak,Siddappa N Byrareddy,Mahesh Mohan
View all publications

Product promise

We are committed to supporting your work with high-quality reagents, and we're here for you every step of the way. In the unlikely event that one of our products does not perform as expected, you're protected by our Product Promise.
For full details, please see our Terms & Conditions

Please note: All products are 'FOR RESEARCH USE ONLY. NOT FOR USE IN DIAGNOSTIC OR THERAPEUTIC PROCEDURES'.

For licensing inquiries, please contact partnerships@abcam.com