JavaScript is disabled in your browser. Please enable JavaScript to view this website.
AB209792

Anti-GIP antibody [EPR20410]

  • BOND RX™ Validated
  • 20ul selling size
  • RabMAb
  • Advanced Validation
  • Recombinant
  • What is this?

Be the first to review this product! Submit a review

|

(6 Publications)

Rabbit Recombinant Monoclonal GIP antibody. Suitable for mIHC, IHC-Fr, IHC-P and reacts with Human, Mouse, Rat samples. Cited in 6 publications.

View Alternative Names

Gastric inhibitory polypeptide, GIP, Glucose-dependent insulinotropic polypeptide, Incretin hormone

13 Images
Immunohistochemistry (Formalin/PFA-fixed paraffin-embedded sections) - Anti-GIP antibody [EPR20410] (AB209792)
  • IHC-P

Supplier Data

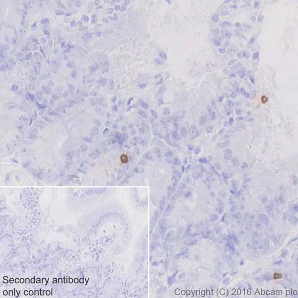
Immunohistochemistry (Formalin/PFA-fixed paraffin-embedded sections) - Anti-GIP antibody [EPR20410] (AB209792)

Immunohistochemical analysis of paraffin-embedded human duodenum tissue labeling GIP with ab209792 at 1/2000 dilution followed by Goat Anti-Rabbit IgG H&L (HRP) Ready to use.

Sporadic and cytoplasmic staining on human duodenum is observed (PMID : 4574902).

Counter stained with Hematoxylin.

Secondary antibody only control : Used PBS instead of primary antibody secondary antibody is Goat Anti-Rabbit IgG H&L (HRP) Ready to use.

Perform heat mediated antigen retrieval with Tris/EDTA buffer pH 9.0 before commencing with IHC staining protocol.

Multiplex immunohistochemistry - Anti-GIP antibody [EPR20410] (AB209792)
  • mIHC

Lab

Multiplex immunohistochemistry - Anti-GIP antibody [EPR20410] (AB209792)

Fluorescence multiplex immunohistochemical analysis of the human pancreas (Formalin/PFA-fixed paraffin-embedded sections). Panel A : merged staining of anti-Carboxypeptidase A (ab278044, gray; Opal™690), anti-GIP (ab271989, green; Opal™520) and anti-Somatostatin 28 (ab111912, red; Opal™570) on human pancreas. Panel B : anti-Carboxypeptidase A stained on acinar cells. Panel C : anti-GIP stained on alpha cells. Panel D : anti-Somatostatin 28 stained on delta cells. Opal Polymer HRP Ms + Rb was used as a secondary antibody. The section was incubated in three rounds of staining : in the order of ab278044 at 1/4000 dilution (0.135 μg/ml), ab271989 at 1/4000 dilution (0.27 μg/ml) and ab111912 at 1/9000 dilution (0.068 μg/ml) for 30 mins at room temperature. Each round was followed by a separate fluorescent tyramide signal amplification system. The immunostaining was performed on a Leica Biosystems BOND® RX instrument with an Opal™ 4-color kit. Image acquisition was performed with Leica SP8 confocal microscope. Heat mediated antigen retrieval with Tris-EDTA buffer (pH 9.0, epitope retrieval solution2) for 20 mins. DAPI (blue) was used as a nuclear counter stain. This data was developed using ab271989, the same antibody clone in a different buffer formulation.

Immunohistochemistry (Formalin/PFA-fixed paraffin-embedded sections) - Anti-GIP antibody [EPR20410] (AB209792)
  • IHC-P

Supplier Data

Immunohistochemistry (Formalin/PFA-fixed paraffin-embedded sections) - Anti-GIP antibody [EPR20410] (AB209792)

Immunohistochemical analysis of paraffin-embedded human pancreas tissue labeling GIP with ab209792 at 1/2000 dilution followed by Goat Anti-Rabbit IgG H&L (HRP) Ready to use.

Cytoplasmic staining on alpha cells of human pancreas islet is observed (PMID : 4574902).

Counter stained with Hematoxylin.

Secondary antibody only control : Used PBS instead of primary antibody secondary antibody is Goat Anti-Rabbit IgG H&L (HRP) Ready to use.

Perform heat mediated antigen retrieval with Tris/EDTA buffer pH 9.0 before commencing with IHC staining protocol.

Immunohistochemistry (Frozen sections) - Anti-GIP antibody [EPR20410] (AB209792)
  • IHC-Fr

Supplier Data

Immunohistochemistry (Frozen sections) - Anti-GIP antibody [EPR20410] (AB209792)

Immunohistochemical analysis of 4% paraformaldehyde-fixed 0.2% Triton X-100 permeabilized frozen mouse pancreas tissue labeling GIP with ab209792 at 1/100 dilution followed by Goat anti-rabbit IgG (Alexa Fluor® 488) (ab150077) secondary antibody at 1/1000 dilution (green).

Cytoplasmic staining on alpha cells of mouse pancreas islet is observed.

The nuclear counterstain is DAPI (blue).

Secondary antibody only control : Used PBS instead of primary antibody secondary antibody is Goat anti-rabbit IgG (Alexa Fluor® 488) (ab150077) at 1/1000 dilution.

Immunohistochemistry (Formalin/PFA-fixed paraffin-embedded sections) - Anti-GIP antibody [EPR20410] (AB209792)
  • IHC-P

Supplier Data

Immunohistochemistry (Formalin/PFA-fixed paraffin-embedded sections) - Anti-GIP antibody [EPR20410] (AB209792)

Immunohistochemical analysis of paraffin-embedded mouse small intestine tissue labeling GIP with ab209792 at 1/2000 dilution followed by Goat Anti-Rabbit IgG H&L (HRP) Ready to use.

Sporadic and cytoplasmic staining on mouse small intestine is observed (PMID : 4574902).

Counter stained with Hematoxylin.

Secondary antibody only control : Used PBS instead of primary antibody secondary antibody is Goat Anti-Rabbit IgG H&L (HRP) Ready to use.

Perform heat mediated antigen retrieval with Tris/EDTA buffer pH 9.0 before commencing with IHC staining protocol.

Immunohistochemistry (Formalin/PFA-fixed paraffin-embedded sections) - Anti-GIP antibody [EPR20410] (AB209792)
  • IHC-P

Supplier Data

Immunohistochemistry (Formalin/PFA-fixed paraffin-embedded sections) - Anti-GIP antibody [EPR20410] (AB209792)

Immunohistochemical analysis of paraffin-embedded rat pancreas tissue labeling GIP with ab209792 at 1/2000 dilution followed by Goat Anti-Rabbit IgG H&L (HRP) Ready to use.

Cytoplasmic staining on alpha cells of rat pancreas islet is observed (PMID : 4574902).

Counter stained with Hematoxylin.

Secondary antibody only control : Used PBS instead of primary antibody secondary antibody is Goat Anti-Rabbit IgG H&L (HRP) Ready to use.

Perform heat mediated antigen retrieval with Tris/EDTA buffer pH 9.0 before commencing with IHC staining protocol.

Multiplex immunohistochemistry - Anti-GIP antibody [EPR20410] (AB209792)
  • mIHC

Lab

Multiplex immunohistochemistry - Anti-GIP antibody [EPR20410] (AB209792)

Fluorescence multiplex immunohistochemical analysis of the rat pancreas (Formalin/PFA-fixed paraffin-embedded sections).

Panel A : merged staining of anti-Somatostatin 28 (yellow; Opal™520), anti-GIP (magenta; Opal™570) and anti-Pancreatic Polypeptide (green; Opal™690) on rat pancreas.
Panel B : anti-Somatostatin 28 staining the delta cells in rat pancreas islet.
Panel C : anti-GIP staining the alpha cells in rat pancreas islet.
Panel D : anti-Pancreatic Polypeptide staining the PP cells in rat pancreas islet.

Nuclear DNA was labelled with DAPI (shown in blue). The section was incubated in three rounds of staining : in the order of ab111912 at 1/9000 dilution (0.07 μg/ml), ab271989 at 1/4000 dilution (0.25 μg/ml) and ab255827 at 1/10000 dilution (0.05 μg/ml) for 30 mins at room temperature. Each round was followed by a separate fluorescent tyramide signal amplification system.

The immunostaining was performed on a Leica Biosystems BOND® RX instrument with an Opal™ 4-color kit. Image acquisition was performed with Leica SP8 confocal microscope.

Heat mediated antigen retrieval with Tris-EDTA buffer (pH 9.0, epitope retrieval solution2) for 20 mins.

This data was developed using ab271989, the same antibody clone in a different buffer formulation.

Multiplex immunohistochemistry - Anti-GIP antibody [EPR20410] (AB209792)
  • mIHC

Lab

Multiplex immunohistochemistry - Anti-GIP antibody [EPR20410] (AB209792)

Fluorescence multiplex immunohistochemical analysis of the rat pancreas (Formalin/PFA-fixed paraffin-embedded sections).

Panel A : merged staining of anti-SV2A (yellow; Opal™520), anti-GIP (magenta; Opal™570) and anti-Pancreatic Polypeptide (green; Opal™690) on rat pancreas.
Panel B : anti-SV2A staining predominantly the beta cells in mouse pancreas islet.
Panel C : anti-GIP staining the alpha cells in rat pancreas islet.
Panel D : anti-Pancreatic Polypeptide staining the PP cells in rat pancreas islet.

Nuclear DNA was labelled with DAPI (shown in blue). The section was incubated in three rounds of staining : in the order of ab254351 at 1/1000 dilution (0.48 μg/ml), ab271989 at 1/4000 dilution (0.25 μg/ml) and ab255827 at 1/10000 dilution (0.05 μg/ml) for 30 mins at room temperature. Each round was followed by a separate fluorescent tyramide signal amplification system.

The immunostaining was performed on a Leica Biosystems BOND® RX instrument with an Opal™ 4-color kit. Image acquisition was performed with Leica SP8 confocal microscope.

Heat mediated antigen retrieval with Tris-EDTA buffer (pH 9.0, epitope retrieval solution2) for 20 mins.

This data was developed using ab271989, the same antibody clone in a different buffer formulation.

Multiplex immunohistochemistry - Anti-GIP antibody [EPR20410] (AB209792)
  • mIHC

Lab

Multiplex immunohistochemistry - Anti-GIP antibody [EPR20410] (AB209792)
Multiplex immunohistochemistry - Anti-GIP antibody [EPR20410] (AB209792)
  • mIHC

Supplier Data

Multiplex immunohistochemistry - Anti-GIP antibody [EPR20410] (AB209792)

Multiplex immunohistochemistry analysis of formalin/PFA-fixed paraffin-embedded rat pancreas tissue staining MafA with ab324869 at a 1 : 100 (5.13 ug/ml) dilution, ab181547 anti-Insulin used at 1 : 20000 (0.053 ug/ml) dilution and ab209792 anti-GIP used at a 1 : 2000 (0.26 ug/ml) dilution.

Panel A : merged staining of anti-MafA (green; Opal™520), anti-Insulin (magenta; Opal™690) and anti-GIP (gray; Opal™570) on rat pancreas.
Panel B : anti-MafA staining nucleus of beta cells in rat pancreas islet.
Panel C : anti-Insulin staining cytoplasm of beta cells in rat pancreas islet.
Panel D : anti-GIP staining the alpha cells in rat pancreas islet.
Nuclear DNA was labeled with DAPI (shown in blue).

The section was incubated in three rounds of staining : in the order of ab324869, ab181547 and ab209792 for 30 mins at room temperature. Each round was followed by a separate fluorescent tyramide signal amplification system.

The immunostaining was performed on a Leica Biosystems BOND® RX instrument with an Opal™ 4-color kit. Image acquisition was performed with Leica SP8 confocal microscope.

Heat mediated antigen retrieval with Tris-EDTA buffer (pH 9.0, epitope retrieval solution2) for 20 mins.

Multiplex immunohistochemistry - Anti-GIP antibody [EPR20410] (AB209792)
  • mIHC

Lab

Multiplex immunohistochemistry - Anti-GIP antibody [EPR20410] (AB209792)

Fluorescence multiplex immunohistochemical analysis of the mouse pancreas (Formalin/PFA-fixed paraffin-embedded sections).

Panel A : merged staining of anti-Somatostatin 28 (yellow; Opal™520), anti-GIP (magenta; Opal™570) and anti-Pancreatic Polypeptide (green; Opal™690) on mouse pancreas.
Panel B : anti-Somatostatin 28 staining the delta cells in mouse pancreas islet.
Panel C : anti-GIP staining the alpha cells in mouse pancreas islet.
Panel D : anti-Pancreatic Polypeptide staining the PP cells in mouse pancreas islet.

Nuclear DNA was labelled with DAPI (shown in blue). The section was incubated in three rounds of staining : in the order of ab111912 at 1/9000 dilution (0.07 μg/ml), ab271989 at 1/4000 dilution (0.25 μg/ml) and ab255827 at 1/10000 dilution (0.05 μg/ml) for 30 mins at room temperature. Each round was followed by a separate fluorescent tyramide signal amplification system. The immunostaining was performed on a Leica Biosystems BOND® RX instrument with an Opal™ 4-color kit. Image acquisition was performed with Leica SP8 confocal microscope.

Heat mediated antigen retrieval with Tris-EDTA buffer (pH 9.0, epitope retrieval solution2) for 20 mins.

This data was developed using ab271989, the same antibody clone in a different buffer formulation.

Multiplex immunohistochemistry - Anti-GIP antibody [EPR20410] (AB209792)
  • mIHC

Supplier Data

Multiplex immunohistochemistry - Anti-GIP antibody [EPR20410] (AB209792)

Multiplex immunohistochemistry analysis of formalin/PFA-fixed paraffin-embedded mouse pancreas tissue staining MafA with ab324869 at a 1 : 100 (5.13 ug/ml) dilution, ab181547 anti-Insulin used at 1 : 20000 (0.053 ug/ml) dilution and ab209792 anti-GIP used at a 1 : 2000 (0.26 ug/ml) dilution.

Panel A : merged staining of anti-MafA (green; Opal™520), anti-Insulin (magenta; Opal™690) and anti-GIP (gray; Opal™570) on mouse pancreas.
Panel B : anti-MafA staining nucleus of beta cells in mouse pancreas islet.
Panel C : anti-Insulin staining cytoplasm of beta cells in mouse pancreas islet.
Panel D : anti-GIP staining the alpha cells in mouse pancreas islet.
Nuclear DNA was labeled with DAPI (shown in blue).

The section was incubated in three rounds of staining : in the order of ab324869, ab181547 and ab209792 for 30 mins at room temperature. Each round was followed by a separate fluorescent tyramide signal amplification system.

The immunostaining was performed on a Leica Biosystems BOND® RX instrument with an Opal™ 4-color kit. Image acquisition was performed with Leica SP8 confocal microscope.

Heat mediated antigen retrieval with Tris-EDTA buffer (pH 9.0, epitope retrieval solution2) for 20 mins.

Immunohistochemistry (Formalin/PFA-fixed paraffin-embedded sections) - Anti-GIP antibody [EPR20410] (AB209792)
  • IHC-P

Supplier Data

Immunohistochemistry (Formalin/PFA-fixed paraffin-embedded sections) - Anti-GIP antibody [EPR20410] (AB209792)

Immunohistochemical analysis of paraffin-embedded mouse pancreas tissue labeling GIP with ab209792 at 1/2000 dilution followed by Goat Anti-Rabbit IgG H&L (HRP) Ready to use.

Cytoplasmic staining on alpha cells of mouse pancreas islet is observed (PMID : 4574902).

Counter stained with Hematoxylin.

Secondary antibody only control : Used PBS instead of primary antibody secondary antibody is Goat Anti-Rabbit IgG H&L (HRP) Ready to use.

Perform heat mediated antigen retrieval with Tris/EDTA buffer pH 9.0 before commencing with IHC staining protocol.

Key facts

Host species

Rabbit

Clonality

Monoclonal

Clone number

EPR20410

Isotype

IgG

Carrier free

No

Reacts with

Mouse, Rat, Human

Applications

mIHC, IHC-Fr, IHC-P

applications

Immunogen

The exact immunogen used to generate this antibody is proprietary information.

Specificity

The antibody recognizes both full-length GIP and its active form.

Reactivity data

{ "title": "Reactivity Data", "filters": { "stats": ["", "Species", "Dilution Info", "Notes"], "tabs": { "all-applications": {"fullname" : "All Applications", "shortname": "All Applications"}, "mIHC" : {"fullname" : "Multiplex immunohistochemistry", "shortname":"mIHC"}, "IHCFr" : {"fullname" : "Immunohistochemistry (Frozen sections)", "shortname":"IHC-Fr"}, "IHCP" : {"fullname" : "Immunohistochemistry (Formalin/PFA-fixed paraffin-embedded sections)", "shortname":"IHC-P"} }, "product-promise": { "all": "all", "testedAndGuaranteed": "tested", "guaranteed": "expected", "predicted": "predicted", "notRecommended": "not-recommended" } }, "values": { "Human": { "mIHC-species-checked": "testedAndGuaranteed", "mIHC-species-dilution-info": "", "mIHC-species-notes": "<p></p>", "IHCFr-species-checked": "guaranteed", "IHCFr-species-dilution-info": "", "IHCFr-species-notes": "", "IHCP-species-checked": "testedAndGuaranteed", "IHCP-species-dilution-info": "1/2000", "IHCP-species-notes": "<p></p>" }, "Mouse": { "mIHC-species-checked": "testedAndGuaranteed", "mIHC-species-dilution-info": "", "mIHC-species-notes": "<p></p>", "IHCFr-species-checked": "testedAndGuaranteed", "IHCFr-species-dilution-info": "1/100", "IHCFr-species-notes": "<p>Antigen retrieval: Heated citrate solution (10mM citrate pH 6.0 + 0.05% Tween-20).</p>", "IHCP-species-checked": "testedAndGuaranteed", "IHCP-species-dilution-info": "1/2000", "IHCP-species-notes": "<p></p>" }, "Rat": { "mIHC-species-checked": "testedAndGuaranteed", "mIHC-species-dilution-info": "", "mIHC-species-notes": "<p></p>", "IHCFr-species-checked": "guaranteed", "IHCFr-species-dilution-info": "", "IHCFr-species-notes": "", "IHCP-species-checked": "testedAndGuaranteed", "IHCP-species-dilution-info": "1/2000", "IHCP-species-notes": "<p></p>" } } }

Product details

Patented technology
Our RabMAb® technology is a patented hybridoma-based technology for making rabbit monoclonal antibodies. For details on our patents, please refer to RabMAb® patents.

What are the advantages of a recombinant monoclonal antibody?
This product is a recombinant monoclonal antibody, which offers several advantages including:

  • - High batch-to-batch consistency and reproducibility
  • - Improved sensitivity and specificity
  • - Long-term security of supply
  • - Animal-free batch production

For more information, read more on recombinant antibodies.

Properties and storage information

Form
Liquid
Purification technique
Affinity purification Protein A
Storage buffer
pH: 7.2 - 7.4 Preservative: 0.01% Sodium azide Constituents: PBS, 40% Glycerol (glycerin, glycerine), 0.05% BSA
Shipped at conditions
Blue Ice
Appropriate short-term storage duration
1-2 weeks
Appropriate short-term storage conditions
+4°C
Appropriate long-term storage conditions
-20°C
Aliquoting information
Upon delivery aliquot
Storage information
Avoid freeze / thaw cycle

Supplementary information

This supplementary information is collated from multiple sources and compiled automatically.

The Glucose-dependent Insulinotropic Polypeptide (GIP) also known as gastric inhibitory polypeptide is a hormone with a molecular mass around 5 kDa. It is a 42-amino acid peptide secreted by the K cells in the duodenum and jejunum of the small intestine. This protein interacts with the GIP receptor which is found in various tissues including pancreatic beta cells adipose tissue and the central nervous system. Researchers utilize GIP ELISA for detecting and quantifying this peptide in research studies.
Biological function summary

The GIP plays a significant role in stimulating insulin secretion in response to glucose intake which does not function alone. It works as part of the enteroinsular axis influencing nutrient uptake and metabolism. GIP also regulates fat metabolism by acting on adipocytes therefore playing a part in energy homeostasis. The exploration of GIP activity often involves MSD assay development to better understand its biological implications.

Pathways

The glucose-stimulated insulin secretion pathway incorporates GIP to enhance the release of insulin from the pancreas. It interacts with other proteins such as insulin and glucagon-like peptide-1 (GLP-1) to exert its glucose-lowering effects. GIP's involvement in the incretin pathway supports the body's maintenance of energy balance and glucose homeostasis under normal physiological conditions.

Glucose homeostasis dysfunction links GIP to type 2 diabetes and obesity. Impairments in GIP secretion or receptor signaling are associated with these metabolic disorders. Studies suggest that dysregulation of GIP along with related proteins like insulin can contribute to disease progression. By targeting GIP researchers at places like Abcam are looking for potential therapies to tackle these health challenges.

Product protocols

For this product, it's our understanding that no specific protocols are required. You can visit:

Target data

Potent stimulator of insulin secretion and relatively poor inhibitor of gastric acid secretion.
See full target information Gastric inhibitory polypeptide

Publications (6)

Recent publications for all applications. Explore the full list and refine your search

World journal of diabetes 16:102277 PubMed40093272

2025

Role of duodenal mucosal resurfacing in controlling diabetes in rats.

Applications

Unspecified application

Species

Unspecified reactive species

Li-Juan Nie,Zhe Cheng,Yi-Xian He,Qian-Hua Yan,Yao-Huan Sun,Xin-Yi Yang,Jie Tian,Peng-Fei Zhu,Jiang-Yi Yu,Hui-Ping Zhou,Xi-Qiao Zhou

Genes & nutrition 19:24 PubMed39567934

2024

A double knockout for zinc transporter 8 and somatostatin in mice reveals their distinct roles in regulation of insulin secretion and obesity.

Applications

Unspecified application

Species

Unspecified reactive species

Zhongyue Yang,Catherine P Kirschke,Yimeng Cai,Liping Huang

Histology and histopathology 40:307-316 PubMed39069897

2024

Effects of preduodenal ileal surgical transposition on enteroendocrine intestinal cells in wistar rats: Histomorphological and serum changes.

Applications

Unspecified application

Species

Unspecified reactive species

Francisco-Javier Campos-Martínez,Jesús-María Salas-Álvarez,Joshua Falckenheiner-Soria,Carmen Murube-Algarra,Alonso Camacho-Ramírez,Francisco-Manuel Visiedo-García,J Arturo Prada-Oliveira,Gonzalo M Pérez-Arana,Antonio Ribelles-García

Histology and histopathology :18676 PubMed37997936

2023

WITHDRAWN: Ethyl acetate extracted from the chinese medicinal plant Caesalpinia sappan L alleviates gustatory response in diabetes mellitus rats.

Applications

Unspecified application

Species

Unspecified reactive species

Xun Cao,Li Cui,Wen Yang

Frontiers in microbiology 11:575595 PubMed33240233

2020

Regulation of Enteroendocrine Cell Networks by the Major Human Gut Symbiont .

Applications

Unspecified application

Species

Unspecified reactive species

Amisha Modasia,Aimee Parker,Emily Jones,Regis Stentz,Arlaine Brion,Andrew Goldson,Marianne Defernez,Tom Wileman,L Ashley Blackshaw,Simon R Carding

Peptides 131:170349 PubMed32561493

2020

Glucagon receptor antagonism promotes the production of gut proglucagon-derived peptides in diabetic mice.

Applications

Unspecified application

Species

Unspecified reactive species

Shan Lang,Rui Wei,Tianjiao Wei,Liangbiao Gu,Jin Feng,Hai Yan,Jin Yang,Tianpei Hong
View all publications

Product promise

We are committed to supporting your work with high-quality reagents, and we're here for you every step of the way. In the unlikely event that one of our products does not perform as expected, you're protected by our Product Promise.
For full details, please see our Terms & Conditions

Please note: All products are 'FOR RESEARCH USE ONLY. NOT FOR USE IN DIAGNOSTIC OR THERAPEUTIC PROCEDURES'.

For licensing inquiries, please contact partnerships@abcam.com