JavaScript is disabled in your browser. Please enable JavaScript to view this website.
AB223157

Anti-GIP antibody [EPR20410] - Low endotoxin, Azide free

Be the first to review this product! Submit a review

|

(1 Publication)

Rabbit Recombinant Monoclonal GIP antibody. Carrier free. Suitable for IHC-Fr, IHC-P, mIHC and reacts with Mouse, Rat, Human samples. Cited in 1 publication.

View Alternative Names

Gastric inhibitory polypeptide, GIP, Glucose-dependent insulinotropic polypeptide, Incretin hormone

6 Images
Immunohistochemistry (Formalin/PFA-fixed paraffin-embedded sections) - Anti-GIP antibody [EPR20410] - Low endotoxin, Azide free (AB223157)
  • IHC-P

Supplier Data

Immunohistochemistry (Formalin/PFA-fixed paraffin-embedded sections) - Anti-GIP antibody [EPR20410] - Low endotoxin, Azide free (AB223157)

Immunohistochemical analysis of paraffin-embedded human duodenum tissue labeling GIP with ab209792 at 1/2000 dilution followed by Goat Anti-Rabbit IgG H&L (HRP) Ready to use.

Sporadic and cytoplasmic staining on human duodenum is observed (PMID : 4574902).

Counter stained with Hematoxylin.

Perform heat mediated antigen retrieval with Tris/EDTA buffer pH 9.0 before commencing with IHC staining protocol.

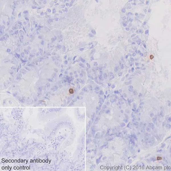
Secondary antibody only control : Used PBS instead of primary antibody secondary antibody is Goat Anti-Rabbit IgG H&L (HRP) Ready to use.

This data was developed using the same antibody clone in a different buffer formulation containing PBS BSA glycerol and sodium azide (ab209792).

Immunohistochemistry (Formalin/PFA-fixed paraffin-embedded sections) - Anti-GIP antibody [EPR20410] - Low endotoxin, Azide free (AB223157)
  • IHC-P

Supplier Data

Immunohistochemistry (Formalin/PFA-fixed paraffin-embedded sections) - Anti-GIP antibody [EPR20410] - Low endotoxin, Azide free (AB223157)

Immunohistochemical analysis of paraffin-embedded human pancreas tissue labeling GIP with ab209792 at 1/2000 dilution followed by Goat Anti-Rabbit IgG H&L (HRP) Ready to use.

Cytoplasmic staining on alpha cells of human pancreas islet is observed (PMID : 4574902).

Counter stained with Hematoxylin.

Perform heat mediated antigen retrieval with Tris/EDTA buffer pH 9.0 before commencing with IHC staining protocol.

Secondary antibody only control : Used PBS instead of primary antibody secondary antibody is Goat Anti-Rabbit IgG H&L (HRP) Ready to use.

This data was developed using the same antibody clone in a different buffer formulation containing PBS BSA glycerol and sodium azide (ab209792).

Immunohistochemistry (Formalin/PFA-fixed paraffin-embedded sections) - Anti-GIP antibody [EPR20410] - Low endotoxin, Azide free (AB223157)
  • IHC-P

Supplier Data

Immunohistochemistry (Formalin/PFA-fixed paraffin-embedded sections) - Anti-GIP antibody [EPR20410] - Low endotoxin, Azide free (AB223157)

Immunohistochemical analysis of paraffin-embedded mouse pancreas tissue labeling GIP with ab209792 at 1/2000 dilution followed by Goat Anti-Rabbit IgG H&L (HRP) Ready to use.

Cytoplasmic staining on alpha cells of mouse pancreas islet is observed (PMID : 4574902).

Counter stained with Hematoxylin.

Perform heat mediated antigen retrieval with Tris/EDTA buffer pH 9.0 before commencing with IHC staining protocol.

Secondary antibody only control : Used PBS instead of primary antibody secondary antibody is Goat Anti-Rabbit IgG H&L (HRP) Ready to use.

This data was developed using the same antibody clone in a different buffer formulation containing PBS BSA glycerol and sodium azide (ab209792).

Immunohistochemistry (Frozen sections) - Anti-GIP antibody [EPR20410] - Low endotoxin, Azide free (AB223157)
  • IHC-Fr

Supplier Data

Immunohistochemistry (Frozen sections) - Anti-GIP antibody [EPR20410] - Low endotoxin, Azide free (AB223157)

Immunohistochemical analysis of 4% paraformaldehyde-fixed 0.2% Triton X-100 permeabilized frozen mouse pancreas tissue labeling GIP with ab209792 at 1/100 dilution followed by Goat anti-rabbit IgG (Alexa Fluor® 488) (ab150077) secondary antibody at 1/1000 dilution (green).

Cytoplasmic staining on alpha cells of mouse pancreas islet is observed.

The nuclear counterstain is DAPI (blue).

Secondary antibody only control : Used PBS instead of primary antibody secondary antibody is Goat anti-rabbit IgG (Alexa Fluor® 488) (ab150077) at 1/1000 dilution.

This data was developed using the same antibody clone in a different buffer formulation containing PBS BSA glycerol and sodium azide (ab209792).

Immunohistochemistry (Formalin/PFA-fixed paraffin-embedded sections) - Anti-GIP antibody [EPR20410] - Low endotoxin, Azide free (AB223157)
  • IHC-P

Supplier Data

Immunohistochemistry (Formalin/PFA-fixed paraffin-embedded sections) - Anti-GIP antibody [EPR20410] - Low endotoxin, Azide free (AB223157)

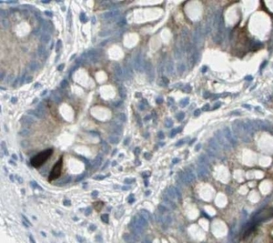
Immunohistochemical analysis of paraffin-embedded mouse small intestine tissue labeling GIP with ab209792 at 1/2000 dilution followed by Goat Anti-Rabbit IgG H&L (HRP) Ready to use.

Sporadic and cytoplasmic staining on mouse small intestine is observed (PMID : 4574902).

Counter stained with Hematoxylin.

Perform heat mediated antigen retrieval with Tris/EDTA buffer pH 9.0 before commencing with IHC staining protocol.

Secondary antibody only control : Used PBS instead of primary antibody secondary antibody is Goat Anti-Rabbit IgG H&L (HRP) Ready to use.

This data was developed using the same antibody clone in a different buffer formulation containing PBS BSA glycerol and sodium azide (ab209792).

Immunohistochemistry (Formalin/PFA-fixed paraffin-embedded sections) - Anti-GIP antibody [EPR20410] - Low endotoxin, Azide free (AB223157)
  • IHC-P

Supplier Data

Immunohistochemistry (Formalin/PFA-fixed paraffin-embedded sections) - Anti-GIP antibody [EPR20410] - Low endotoxin, Azide free (AB223157)

Immunohistochemical analysis of paraffin-embedded rat pancreas tissue labeling GIP with ab209792 at 1/2000 dilution followed by Goat Anti-Rabbit IgG H&L (HRP) Ready to use.

Cytoplasmic staining on alpha cells of rat pancreas islet is observed (PMID : 4574902).

Counter stained with Hematoxylin.

Perform heat mediated antigen retrieval with Tris/EDTA buffer pH 9.0 before commencing with IHC staining protocol.

Secondary antibody only control : Used PBS instead of primary antibody secondary antibody is Goat Anti-Rabbit IgG H&L (HRP) Ready to use.

This data was developed using the same antibody clone in a different buffer formulation containing PBS BSA glycerol and sodium azide (ab209792).

Key facts

Host species

Rabbit

Clonality

Monoclonal

Clone number

EPR20410

Isotype

IgG

Carrier free

Yes

Reacts with

Mouse, Rat, Human

Applications

IHC-P, mIHC, IHC-Fr

applications

Immunogen

The exact immunogen used to generate this antibody is proprietary information.

Specificity

The antibody recognizes both full-length GIP and its active form.

Reactivity data

{ "title": "Reactivity Data", "filters": { "stats": ["", "Species", "Dilution Info", "Notes"], "tabs": { "all-applications": {"fullname" : "All Applications", "shortname": "All Applications"}, "IHCFr" : {"fullname" : "Immunohistochemistry (Frozen sections)", "shortname":"IHC-Fr"}, "IHCP" : {"fullname" : "Immunohistochemistry (Formalin/PFA-fixed paraffin-embedded sections)", "shortname":"IHC-P"}, "mIHC" : {"fullname" : "Multiplex immunohistochemistry", "shortname":"mIHC"} }, "product-promise": { "all": "all", "testedAndGuaranteed": "tested", "guaranteed": "expected", "predicted": "predicted", "notRecommended": "not-recommended" } }, "values": { "Human": { "IHCFr-species-checked": "guaranteed", "IHCFr-species-dilution-info": "", "IHCFr-species-notes": "", "IHCP-species-checked": "testedAndGuaranteed", "IHCP-species-dilution-info": "", "IHCP-species-notes": "<p></p> Perform heat-mediated antigen retrieval with Tris/EDTA buffer pH 9.0 before commencing with IHC staining protocol.", "mIHC-species-checked": "testedAndGuaranteed", "mIHC-species-dilution-info": "", "mIHC-species-notes": "<p></p>" }, "Mouse": { "IHCFr-species-checked": "testedAndGuaranteed", "IHCFr-species-dilution-info": "", "IHCFr-species-notes": "<p>Antigen retrieval: Heated citrate solution (10mM citrate pH 6.0 + 0.05% Tween-20).</p>", "IHCP-species-checked": "testedAndGuaranteed", "IHCP-species-dilution-info": "", "IHCP-species-notes": "<p></p> Perform heat-mediated antigen retrieval with Tris/EDTA buffer pH 9.0 before commencing with IHC staining protocol.", "mIHC-species-checked": "testedAndGuaranteed", "mIHC-species-dilution-info": "", "mIHC-species-notes": "<p></p>" }, "Rat": { "IHCFr-species-checked": "guaranteed", "IHCFr-species-dilution-info": "", "IHCFr-species-notes": "", "IHCP-species-checked": "testedAndGuaranteed", "IHCP-species-dilution-info": "", "IHCP-species-notes": "<p></p> Perform heat-mediated antigen retrieval with Tris/EDTA buffer pH 9.0 before commencing with IHC staining protocol.", "mIHC-species-checked": "testedAndGuaranteed", "mIHC-species-dilution-info": "", "mIHC-species-notes": "<p></p>" } } }

Product details

ab223157 is the carrier-free version of ab209792.

Patented technology
Our RabMAb® technology is a patented hybridoma-based technology for making rabbit monoclonal antibodies. For details on our patents, please refer to RabMAb® patents.

Conjugation ready
Our carrier-free antibodies are typically supplied in a PBS-only formulation, purified and free of BSA, sodium azide and glycerol. This conjugation-ready format is designed for use with fluorochromes, metal isotopes, oligonucleotides, and enzymes, which makes them ideal for antibody labelling, functional and cell-based assays, flow-based assays (e.g. mass cytometry) and Multiplex Imaging applications.

Use our conjugation kits for antibody conjugates that are ready-to-use in as little as 20 minutes with 1 minute hands-on-time and 100% antibody recovery: available for fluorescent dyes, HRP, biotin and gold.

Compatibility
This product is compatible with the Maxpar® Antibody Labeling Kit from Fluidigm, without the need for antibody preparation. Maxpar® is a trademark of Fluidigm Canada Inc.

What does low endotoxin mean?
Our low endotoxin, azide-free formats have low endotoxin level (1 EU/mg, determined by the TAL assay) and are free from azide, to achieve consistent experimental results in functional assays.

Properties and storage information

Form
Liquid
Purification technique
Affinity purification Protein A
Storage buffer
pH: 7.2 - 7.4 Constituents: PBS
Shipped at conditions
Blue Ice
Appropriate short-term storage conditions
+4°C
Appropriate long-term storage conditions
+4°C
Storage information
Do Not Freeze

Supplementary information

This supplementary information is collated from multiple sources and compiled automatically.

The Glucose-dependent Insulinotropic Polypeptide (GIP) also known as gastric inhibitory polypeptide is a hormone with a molecular mass around 5 kDa. It is a 42-amino acid peptide secreted by the K cells in the duodenum and jejunum of the small intestine. This protein interacts with the GIP receptor which is found in various tissues including pancreatic beta cells adipose tissue and the central nervous system. Researchers utilize GIP ELISA for detecting and quantifying this peptide in research studies.
Biological function summary

The GIP plays a significant role in stimulating insulin secretion in response to glucose intake which does not function alone. It works as part of the enteroinsular axis influencing nutrient uptake and metabolism. GIP also regulates fat metabolism by acting on adipocytes therefore playing a part in energy homeostasis. The exploration of GIP activity often involves MSD assay development to better understand its biological implications.

Pathways

The glucose-stimulated insulin secretion pathway incorporates GIP to enhance the release of insulin from the pancreas. It interacts with other proteins such as insulin and glucagon-like peptide-1 (GLP-1) to exert its glucose-lowering effects. GIP's involvement in the incretin pathway supports the body's maintenance of energy balance and glucose homeostasis under normal physiological conditions.

Glucose homeostasis dysfunction links GIP to type 2 diabetes and obesity. Impairments in GIP secretion or receptor signaling are associated with these metabolic disorders. Studies suggest that dysregulation of GIP along with related proteins like insulin can contribute to disease progression. By targeting GIP researchers at places like Abcam are looking for potential therapies to tackle these health challenges.

Product protocols

For this product, it's our understanding that no specific protocols are required. You can visit:

Target data

Potent stimulator of insulin secretion and relatively poor inhibitor of gastric acid secretion.
See full target information Gastric inhibitory polypeptide

Publications (1)

Recent publications for all applications. Explore the full list and refine your search

Cell reports. Medicine 4:101015 PubMed37075701

2023

A kinome-wide CRISPR screen identifies CK1α as a target to overcome enzalutamide resistance of prostate cancer.

Applications

Unspecified application

Species

Unspecified reactive species

Jinghui Liu,Yue Zhao,Daheng He,Katelyn M Jones,Shan Tang,Derek B Allison,Yanquan Zhang,Jing Chen,Qiongsi Zhang,Xinyi Wang,Chaohao Li,Chi Wang,Lang Li,Xiaoqi Liu
View all publications

Product promise

We are committed to supporting your work with high-quality reagents, and we're here for you every step of the way. In the unlikely event that one of our products does not perform as expected, you're protected by our Product Promise.
For full details, please see our Terms & Conditions

Please note: All products are 'FOR RESEARCH USE ONLY. NOT FOR USE IN DIAGNOSTIC OR THERAPEUTIC PROCEDURES'.

For licensing inquiries, please contact partnerships@abcam.com